L’appendicectomie est l’opération chirurgicale digestive la plus fréquente selon la Société française de gastroentérologie. Traitement de référence de l’appendicite aiguë, elle est actuellement remise en question dans les formes non compliquées, au profit d’une prise en charge médicale par antibiothérapie seule. Un changement de paradigme thérapeutique est-il vraiment en cours ?

L’appendicite aiguë est une affection fréquente, touchant environ une personne sur dix au cours de sa vie dans les pays développés. Elle est caractérisée par l’inflammation de l’appendice, structure de forme vermiculaire implantée en continuité du côlon au niveau du cæcum. Le traitement de cette pathologie a été marqué récemment par des évolutions médicales et des avancées chirurgicales. 

En France, l’appendicectomie est le traitement standard de l’appendicite aiguë depuis la fin du XIXsiècle.1 C’est le décès de Léon Gambetta (ancien président du Conseil sous la IIIe République) des suites d’une péritonite appendiculaire en 1882 qui a marqué un tournant dans les modalités de prise en charge de cette pathologie ; il a en effet été victime de l’attitude attentiste de ses médecins, qui ont refusé une prise en charge chirurgicale malgré les conseils avisés du chirurgien Odilon Lannelongue. Au cours du XXe siècle, les progrès dans les techniques chirurgicales – notamment l’introduction de la laparoscopie dans les ­années 1980 – ont permis des interventions moins invasives pour les patients atteints d’appendicite aiguë.

Cependant, malgré ces avancées, la chirurgie n’est jamais dénuée de risques, et des travaux récents ont évalué la possibilité de ne plus opérer certaines formes d’appendicite aiguë, proposant un traitement par ­antibiothérapie seule.

Qu’est-ce que l’appendicite aiguë ?

L’appendicite aiguë est une pathologie fréquente et potentiellement grave, pouvant survenir à tout âge, avec un pic de fréquence entre 10 et 20 ans. La Direction de la recherche, des études, de l’évaluation et des statistiques (Drees) a dénombré 83 400 appendicectomies pratiquées en France en 2012,2 un chiffre en diminution ­significative par rapport à 1997 (162 500 appendicec­tomies). Cette diminution s’explique par l’essor de l’imagerie dans le diagnostic d’appendicite aiguë, qui a permis de réduire considérablement le nombre ­d’appendicectomies dites « blanches », c’est-à-dire sans appendicite sur la pièce opératoire.

L’appendicite aiguë est caractérisée par l’inflammation de l’appendice, une petite structure borgne de 5 à 12 cm appendue au cæcum, située dans le quadrant inférieur droit de l’abdomen. La cause de cette inflammation et infection reste incertaine. L’hypothèse le plus souvent avancée est une obstruction de la lumière appendiculaire (notamment par un stercolithe, un corps étranger, une hypertrophie des tissus lymphoïdes, un parasite ou une tumeur appendiculaire) qui entraînerait un cloisonnement de son contenu, favorisant ainsi la pullulation microbienne et sa nécrose.

Poser le diagnostic d’appendicite aiguë

Signes cliniques caractéristiques 

Le symptôme principal de l’appendicite aiguë est une douleur abdominale continue, sans irradiation, généralement localisée en fosse iliaque droite. Cette douleur peut débuter dans la région périombilicale ou au niveau épigastrique, avant de migrer dans la partie inférieure droite de l’abdomen. Il existe des variations anatomiques de l’appendice qui modifient la localisation des douleurs et des symptômes associés (encadré 1). Outre la douleur abdominale, les patients peuvent avoir d’autres symptômes tels que nausées (60 %), vomissements (30 %), anorexie, constipation (30 %) et/ou diarrhée (10 %). L’état général est le plus souvent conservé. Une fièvre est souvent observée, même si la moitié des patients sont apyrétiques au diagnostic. 

À la palpation, l’un des signes les plus classiques est la douleur provoquée en fosse iliaque droite, maximale au point de McBurney. Ce point se situe à la jonction du tiers externe et des deux tiers internes d’une droite allant de l’épine iliaque antérosupérieure droite à l’ombilic. Une défense localisée est possible. La douleur en fosse iliaque droite peut être exacerbée par la décompression brusque de la pression exercée sur la zone (signe de Blumberg) ou par décompression de la fosse iliaque gauche (signe de Rovsing). Le toucher rectal retrouve typiquement une douleur latérorectale droite ;3 il n’est actuellement plus réalisé en pratique courante car peu utile pour compléter la suspicion clinique d’appendicite.

La présence d’une défense généralisée et d’une fièvre élevée avec altération de l’état général marquée chez un patient prostré sont des signes évocateurs d’une appendicite aiguë compliquée d’une péritonite.

Confirmer le diagnostic

En cas de suspicion clinique d’appendicite aiguë, le bilan doit d’abord être complété par une analyse sanguine, puis par une imagerie. L’examen clinique n’est pas suffisant pour affirmer le diagnostic et conduire le patient au bloc opératoire. 

Examens complémentaires biologiques

L’hémogramme met en évidence une hyperleuco­cytose à polynucléaires neutrophiles supérieure à 10 000/mL dans plus de 80 % des cas. 

Un taux élevé de protéine C-réactive (CRP) est un ­paramètre de bonnes sensibilité et spécificité pour le diagnostic. Néanmoins, sa cinétique est lente et il s’agit de ne pas méconnaître une appendicite aiguë débutante lorsque la CRP est négative. 

Les autres tests biologiques d’urgence sont effectués dans le but d’exclure un diagnostic différentiel. Il est impératif de réaliser une bandelette urinaire, éventuellement suivie d’un examen cytobactériologique des urines afin d’écarter une cystite ou une pyélonéphrite aiguë droite. De plus, il est essentiel de procéder au dosage de bêta-hCG chez les femmes en âge de procréer afin d’exclure une grossesse extra-utérine.

Examens complémentaires radiologiques 

Avant l’ère des explorations radiologiques, la triade fièvre-défense en fosse iliaque droite-hyperleucocytose poussait à l’indication chirurgicale, avec un taux non négligeable (jusqu’à 25 %) d’appendicectomies effectuées sur un appendice sain. La réalisation systématique d’une imagerie abdominale a permis de diminuer significativement le taux d’appendicectomies inutiles. Les recommandations émises par les Sociétés françaises de chirurgie digestive et de radiologie préconisent donc la réalisation systématique d’une imagerie lors de la suspicion clinico-biologique d’appendicite aiguë (fig. 1).

Scanner abdominopelvien injecté : la référence 

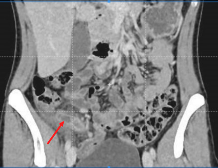
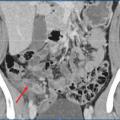
Le scanner abdominopelvien avec injection intraveineuse de produit de contraste est l’examen de référence, avec une excellente performance diagnostique. Il permet, dans le même temps, d’éliminer de nombreux diag­nostics différentiels et détermine la présence ou non d’une complication de l’appendicite, telle qu’un abcès ou une péritonite. Le diagnostic ­positif repose sur une augmentation du diamètre de l’appendice, une infiltration de la graisse périappendiculaire, un épaississement et une prise de contraste de ses parois (fig. 2).

Échographie abdominale chez l’enfant  et la femme enceinte 

L’échographie abdominale est l’examen de référence chez l’enfant et la femme enceinte, car non irradiant. Le résultat de cet examen est très dépendant de l’opérateur et n’est utile qu’en cas de visualisation de l’appendice : lorsque l’appendice est vu, sa performance diagnostique est similaire à celle du scanner abdominal injecté. Il s’agit donc d’une alternative non irradiante particulièrement utile. Le diagnostic d’appendicite aiguë est porté sur l’augmentation du diamètre de l’appendice associée à un épaississement de ses parois, un aspect en cocarde, une hyperéchogénicité de la graisse périappendiculaire et une douleur provoquée au passage de la sonde au point de McBurney en regard de l’appendice. 

L’IRM est rarement utile au diagnostic 

L’IRM abdominale permet aussi le diagnostic de l’appendicite aiguë, avec une excellente performance. Son coût et son accessibilité conduisent néanmoins à ne presque jamais la proposer, même si elle peut être utile en cas de suspicion d’appendicite aiguë chez une femme ­enceinte avec un appendice non vu à l’échographie.5  

Modalités de prise en charge de l’appendicite aiguë non compliquée  

Une appendicite aiguë non compliquée correspond à une inflammation aiguë de l’appendice sans perforation – donc sans formation d’abcès –, sans plastron appendiculaire et sans péritonite.

Ces dernières décennies ont vu une évolution notable dans la manière dont l’appendicite aiguë non compliquée est traitée, tant sur le plan chirurgical que ­médical. De la traditionnelle laparotomie à l’intro­duction de la laparoscopie et de la chirurgie ambulatoire, les approches thérapeutiques se diversifient. Un intérêt croissant pour le traitement médical exclusif de l’appendicite aiguë simple offre une perspective de prise en charge mais n’est pas dénué de risque.

Chirurgie : voie ouverte ou laparoscopie

Initialement, l’appendicectomie par voie ouverte était considérée comme le traitement standard pour tous les cas d’appendicite, simples ou compliqués. Elle consiste en une incision en fosse iliaque droite au niveau du point de McBurney. Cette technique est restée pratiquement inchangée pendant plus d’un siècle, combinant une efficacité thérapeutique avec de faibles taux de morbidité et de mortalité.

Depuis plusieurs décennies, l’approche mini-invasive par laparoscopie s’est développée et est aujourd’hui la voie d’abord le plus souvent proposée dans le traitement chirurgical de l’appendicite. Elle permet une diminution des douleurs postopératoires dès le premier jour, une réduction du risque d’infection de la paroi abdominale, un raccourcissement de la durée d’hospitalisation et du délai de récupération pour reprendre une activité normale. Cependant, il convient de noter une augmentation faible mais significative du risque d’abcès intra-abdominal postopératoire par cette approche laparoscopique. C’est pourquoi les recommandations françaises laissent le choix entre la laparoscopie et la voie ouverte, bien qu’en pratique la voie laparoscopique soit bien plus fréquemment pratiquée.4 L’intervention est faite sous anesthésie générale chez un patient à jeun. En cas d’appendicite non compliquée, une simple antibioprophylaxie est administrée au bloc opératoire par le médecin anesthésiste et aucune antibiothérapie postopératoire n’est proposée.

Le degré d’urgence du traitement chirurgical de l’appen­dicite est évalué selon la présence ou non de complication : en cas d’appendicite simple, il a été démontré qu’une chirurgie retardée de douze à vingt-quatre heures après le diagnostic n’expose pas le patient à un sur-risque de complication secondaire. En revanche, le ­traitement d’une appendicite aiguë compliquée ne peut être différé.

Chirurgie ambulatoire : des indications plus larges

L’approche ambulatoire de la chirurgie pour appendicite aiguë est aujourd’hui possible dans les structures équipées pour ce parcours de soins. Le principe est de ne pas hospitaliser le patient diagnostiqué aux ­urgences pour une appendicectomie : il est admis dans l’unité d’hospitalisation ambulatoire à ses heures ouvrables pour être directement opéré puis sort de l’hôpital deux heures après l’intervention chirurgicale, en l’absence de complication. Lorsque l’unité d’hospitalisation ambulatoire est fermée, notamment la nuit, une antibiothérapie orale est proposée au patient qui regagne son domicile avec le diagnostic d’appendicite aiguë non compliquée. Il est ensuite reconvoqué le lendemain, à jeun, pour être opéré dans la journée suivant les principes précédemment décrits. À la suite d’une récente publication sur le sujet, les critères de sélection pour déterminer les patients éligibles se sont étendus. L’imagerie joue un rôle crucial dans cette ­sélection, visant principalement à exclure d’une prise en charge ambulatoire toute suspicion d’appendicite aiguë perforée.6  

Traitement médical exclusif

Le principe du traitement médical exclusif repose sur  la seule administration d’une antibiothérapie en cas de diagnostic d’appendicite aiguë non compliquée, dans l’objectif d’éviter définitivement l’ablation chirurgicale de l’appendice. Il a été largement évalué à ce jour, avec huit essais randomisés comparant l’anti­biothérapie seule à l’appendicectomie chez l’adulte.7  

Efficace et sûr… 

Les résultats de ces huit essais sont similaires, tous démontrant un taux initial de succès relativement élevé du traitement antibiotique seul (environ 80 %). De plus, la sécurité de cette option non chirurgicale est établie par ces essais qui soulignent l’absence de sur-risque d’évolution vers une appendicite aiguë compliquée lors d’un traitement par antibiotiques seuls. 

... au prix d’un risque de récidive 

Néanmoins, une limite majeure à cette option conservatrice, retrouvée dans tous les essais randomisés, est le risque de récidive de l’appendicite aiguë, estimé à environ 18 % à un an de l’initiation du traitement. Ce risque de récidive persiste au-delà d’un an, puisqu’il a été rapporté 39 % de récidive à cinq ans du traitement initial. Enfin, bien que rare, une tumeur appendi­culaire (moins de 1 %) peut être observée sur la pièce d’appendicectomie. Même si ce risque est très faible en l’absence d’argument pour une tumeur appendiculaire à l’imagerie, il doit être pris en considération.

Critères d’éligibilité  

La sélection des patients éligibles au traitement médical de l’appendicite aiguë non compliquée repose sur plusieurs critères essentiels. En premier lieu, il est impératif d’avoir la certitude diagnostique d’une appendicite simple par l’imagerie, car l’absence d’exploration chirurgicale dans cette approche alternative peut entraîner des conséquences possiblement graves en cas d’erreur diagnostique initiale. Pour cette raison, le patient doit impérativement être évalué par un chirurgien digestif ; un traitement par antibiotiques seuls pour traiter une appendicite aiguë ne doit en aucun cas être initié sans l’avis d’un spécialiste. 

La prise en compte des comorbidités est également nécessaire, bien que peu de données spécifiques existent à ce sujet. Par bon sens, il est préférable d’éviter de proposer un traitement non chirurgical aux patients aux lourds antécédents.8 

Enfin, concernant le cas spécifique de l’appendicite aiguë chez la femme enceinte, des études ont montré un risque accru de fausse couche et d’accouchement prématuré chez celles traitées par antibiotiques seuls plutôt que par chirurgie. Dans ce groupe particulier, l’appendicectomie doit donc rester la règle.

L’appendicectomie reste le traitement de référence 

Au total, l’option thérapeutique médicale exclusive par antibiothérapie n’a pas été retenue comme un traitement de première ligne dans les recommandations de la Société française de chirurgie digestive, principalement en raison du taux conséquent de récidive à distance. La sécurité de cette option thérapeutique en fait cependant une alternative acceptable lorsque cela est nécessaire.4 

Bien entendu, les appendicites compliquées d’une perforation conduisant à une péritonite (autour de 20 % des appendicites aiguës) doivent être opérées en urgence. Proposer une antibiothérapie exclusive n’a jamais été étudié dans ce cas, car cela exposerait les patients à un sur-risque de complications graves pouvant conduire au décès.

L’encadré 2 propose des pistes pour informer le patient et analyser la place qu’il pourrait prendre dans le choix thérapeutique.

Appendicite aiguë compliquée : abcès, plastron, péritonite

Il a longtemps été affirmé que l’appendicite compliquée, résultant de la perforation de l’appendice infecté, était l’évolution d’une appendicite non compliquée qui n’avait pas été prise en charge à temps. Cette hypothèse est aujourd’hui largement contestée, puisque les formes d’appendicite compliquée se présentent, pour la grande majorité, d’emblée à ce stade d’évolution, tandis que les formes non compliquées d’appendicite n’évoluent pas vers la perforation lorsque le traitement est retardé de vingt-quatre à quarante-huit heures. À ce jour, l’hypothèse avancée est que l’atteinte initiale diffère entre les appendicites simples et les cas d’appendicite compliquée d’une perforation.

Au diagnostic de ces formes compliquées, les signes cliniques sont plus marqués que pour l’appendicite non compliquée : douleur plus importante et fièvre plus fréquente. Le diagnostic est posé grâce à l’imagerie abdominale, qui permet la visualisation des complications.

Ne pas passer à côté d’un plastron ou d’une péritonite

Le plastron appendiculaire correspond à une infil­tration diffuse de la région périappendiculaire qui se traduit localement par un accolement des structures digestives autour de l’appendice perforé. Le signe ­clinique pathognomonique est l’empâtement de la fosse iliaque droite où une masse indurée sensible est palpée.

La péritonite appendiculaire aiguë peut survenir en un temps (inaugural de l’appendicite), en deux temps (par rupture d’un abcès appendiculaire) ou en trois temps (par rupture d’un abcès compliquant un plastron appendiculaire). Elle est caractérisée par une douleur abdominale intense et diffuse, une fièvre ­supérieure à 38,5 °C et surtout une contracture à la palpation. Cette contracture peut manquer chez les patients obèses, âgés ou immunodéprimés. L’imagerie abdominale permet de confirmer la suspicion clinique de péritonite, avec notamment un épanchement péritonéal associé à un épaississement inflammatoire du péritoine.

Hospitalisation d’emblée !

Dans tous les cas, le patient doit être hospitalisé pour une surveillance rapprochée. Une antibiothérapie probabiliste est débutée dès le diagnostic et, si possible, secondairement adaptée aux prélèvements ­bactériologiques effectués en peropératoire, pour une durée courte (classiquement de trois jours).

Abcès : drainage ou chirurgie ? 

La prise en charge de l’abcès appendiculaire dépend de sa taille :

  • si l’abcès est de taille inférieure à 3 cm, le traitement est chirurgical d’emblée puisque l’appendicectomie va permettre l’ablation de l’abcès dans le même temps ;
  • si l’abcès est très volumineux, un drainage percutané radioguidé peut être discuté en alternative au traitement chirurgical d’emblée.

Plastron : d’abord diminuer l’inflammation locale

La prise en charge du plastron appendiculaire est initialement médicale, du fait d’une inflammation locale majeure associée à un risque de plaie du grêle important en cas de traitement chirurgical en urgence. 

En cas de succès du traitement non chirurgical d’un abcès ou d’un plastron, une chirurgie est systématiquement indiquée dans un second temps, du fait du risque de récidive et de néoplasie appendiculaire. Elle est généralement programmée deux à quatre mois après la prise en charge initiale.

Péritonite appendiculaire : urgence thérapeutique ! 

La prise en charge d’une péritonite appendiculaire est une urgence médico-chirurgicale, avec un risque vital lié au délai de prise en charge. Le traitement chirurgical peut être réalisé par cœlioscopie en l’absence de contre-indication. Outre l’appendicectomie, un lavage abondant de la cavité péritonéale est nécessaire, plus ou moins associé à un drainage, ainsi que des prélèvements bactériologiques. 

Quelle surveillance après le traitement…

… si la prise en charge est chirurgicale ?

La surveillance postopératoire vise à dépister les complications précoces et tardives de la chirurgie. Les consignes postopératoires sont la contre-indication au sport, au port de charges lourdes et à la baignade/bain pendant quatre semaines, afin d’assurer une bonne cicatrisation de la paroi abdominale. Aucun régime alimentaire particulier n’est recommandé.

Le patient doit être sensibilisé aux symptômes nécessitant une consultation en urgence : toute anomalie au niveau de la cicatrice (rougeur, douleur et/ou écoulement purulent) doit faire évoquer un abcès de la paroi abdominale. Il doit être traité par évacuation locale de la collection et des pansements appropriés. De même, la présence de fièvre doit alerter sur la possibilité d’un abcès intra-abdominal ou d’un lâchage du moignon appendiculaire, nécessitant le plus souvent une antibiothérapie systémique associée ou non à un drainage percutané radiologique.

Les complications tardives sont communes à toute chirurgie abdominale, incluant notamment l’occlusion intestinale aiguë du grêle sur bride (1 %) responsable d’un arrêt du transit, ainsi qu’une éventration (0,7 %) en regard des ex-orifices de trocarts ou de l’incision de McBurney selon la voie d’abord utilisée.

Une consultation avec le chirurgien est systématiquement prévue un mois après l’intervention afin d’évaluer la cicatrisation, le rétablissement du patient et les résultats anatomopathologiques de l’appendice.

… si la prise en charge est exclusivement médicale ?  

Le patient doit être informé des symptômes nécessitant une consultation en urgence, à savoir une recrudescence des douleurs, de la fièvre, des nausées ou vomissements ou un arrêt du transit, pouvant ­signer la récidive de l’appendicite aiguë et indiquant la réalisation d’une imagerie diagnostique. 

À l’inverse, en l’absence de récidive clinique de l’appendicite, il n’est pas recommandé de proposer un contrôle scanographique ultérieur ni une appendi­cectomie à distance.10  

Encadre

1. Variations anatomiques de l’appendice et symptomatologie 

  • Douleur hypogastrique associée à des signes urinaires (pollakiurie, dysurie) en cas d’appendicite pelvienne.
  • Douleur lombaire associée à un psoïtis en cas d’appendicite rétrocæcale.
  • Douleur de l’hypochondre droit pouvant mimer une cholécystite aiguë en cas d’appendicite sous-hépatique.
  • Syndrome occlusif fébrile par iléus réflexe en cas d’appendicite mésocœliaque.
  • Au cours de la grossesse, le cæcum peut être refoulé vers le haut par l’utérus, se retrouvant alors souvent en position sous-hépatique, raison pour laquelle une douleur fébrile en hypochondre droit chez une femme enceinte à un terme avancé doit faire suspecter une appendicite aiguë.
Encadre

2. Expliquer au patient les différentes options thérapeutiques et lui faire une place dans le choix

• Le traitement chirurgical est le traitement standard de l’appendicite aiguë. En l’absence de comorbidités ou de perforation, il peut être effectué par laparoscopie en ambulatoire. La laparotomie par incision de McBurney, moins pratiquée de nos jours, est également une option valable.

• Le traitement médical exclusif n’est possible que si un diagnostic de certitude est posé par l’imagerie, excluant une appendicite aiguë compliquée ou la présence d’un stercolithe (selle calcifiée dans l’appendice), facteur prédictif de perforation et d’échec du traitement par antibiotiques seuls. Le terrain doit également être pris en compte, afin d’exclure les patients aux lourdes comorbidités et les femmes enceintes. Si le patient est éligible, il doit être informé qu’à ce jour les recommandations françaises se sont prononcées en défaveur de ce traitement non chirurgical en première intention en raison du risque élevé de récidive.

• Il est intéressant de noter qu’une enquête11 menée auprès de 278 chirurgiens allemands en 2020 a révélé que s’ils étaient eux-mêmes, ou un proche, atteints d’appendicite aiguë non compliquée, 30 % opteraient pour un traitement antibiotique contre 40 % pour un traitement chirurgical (30 % étaient indécis ou avaient déjà subi une appendicectomie).

• Une autre étude12, cette fois menée auprès de 1 728 patients, a montré qu’une large majorité choisirait le traitement chirurgical (91 % dont 86 % par laparoscopie). Un niveau d’éducation élevé était corrélé au choix du traitement médical exclusif par antibiothérapie. Le principal critère justifiant la préférence pour l’appendicectomie était le risque d’échec ou de récidive à long terme.

• Ces données sur questionnaire ouvrent la perspective de la place du choix du patient dans la décision du traitement. Des études sont en cours pour tenter d’affiner la place de l’antibiothérapie seule, au regard des préférences du patient. Dans l’attente de ces résultats, les dernières recommandations restent formelles sur l’indication chirurgicale première dans le traitement de l’appendicite aiguë, qu’elle soit compliquée ou non d’une perforation.

Encadre

Que dire à vos patients ? 

• L’appendicite aiguë est une pathologie très fréquente dont les symptômes classiques sont la douleur abdominale, généralement localisée au niveau du bas-ventre à droite, parfois accompagnée de fièvre.

• En cas d’apparition de ces symptômes, une consultation en urgence est indiquée.

• À ce jour, aucune méthode n’est connue pour prévenir son apparition.

• Si le diagnostic est posé, le traitement chirurgical d’emblée par ablation de l’appendice reste la règle aujourd’hui. Des études sont en cours pour évaluer la possibilité d’un traitement non chirurgical, mais le risque élevé de récidive associé conduit aujourd’hui à préférer l’ablation de l’appendice.

• Le site internet de la Société française de chirurgie digestive offre un libre accès aux dernières recommandations françaises concernant la prise en charge de l’appendicite aiguë : https ://www.sfchirurgiedigestive.fr/ressources/recommandations/appendicite 

Références 
1. Bonnichon P, Berrod JL, Berger JP. L’histoire extravagante de l’appendice et de l’appendicectomie : de la Renaissance à la vidéochirurgie. J Chir Viscérale 2013;150(1):78‑83. 
2. Oberlin P, Mouquet MC. La longue diminution des appendicectomies en France. Études et résultats, n° 868, 14 septembre 2014.
3. Moris D, Paulson EK, Pappas TN. Diagnosis and Management of Acute Appendicitis in Adults: A Review. JAMA 2021;326(22):2299. 
4. Collard MK, Christou N, Lakkis Z, et al. Appendicite de l’adulte : recommandations pour la pratique clinique de la Société française de chirurgie digestive (SFCD) et de la Société d’imagerie abdominale et digestive (SIAD). J Chir Viscérale 2020;S1878786X20304447. 
5. D’Souza N, Hicks G, Beable R, et al. Magnetic resonance imaging (MRI) for diagnosis of acute appendicitis. Cochrane Database Syst Rev 2021;12(12):CD012028.
6. Raimbert P, Voron T, Laroche S, et al. Ambulatory appendectomy for acute appendicitis: Can we treat all the patients? A pros­pective study of 451 consecutive ambulatory appendectomies out of nearly 2,000 procedures. Surgery 2023;173(5):1129‑36.
7. De Almeida Leite RM, Seo DJ, Gomez-­Eslava B, et al. Non­operative vs Operative Management of Uncomplicated Acute Appendicitis: A Systematic Review and Meta-analysis. JAMA Surg 2022;157(9):828.
8. Wilms IM, De Hoog DE, De Visser DC, et al. Appendectomy versus antibiotic treatment for acute appendicitis. Cochrane Database Syst Rev 2011:(11):CD008359.
9. Di Saverio S, Podda M, De Simone B, et al. Diagnosis and treatment of acute appendicitis: 2020 update of the WSES Jerusalem guidelines. World J Emerg Surg 2020;15(1):27. 
10. Collard M, Lakkis Z, Loriau J, et al. Crise sanitaire liée au ­COVID-­19 : modalités du traitement de l’appendicite aiguë non compliquée de l’adulte par antibiothérapie seule comme alternative à l’appendicectomie. J Chir Viscerale 2020;157(3):S33‑43.
11. Reinisch A, Reichert M, Andreas Hecker A ,et al. Nonoperative Antibiotic Treatment of Appendicitis in Adults: A Survey among Clinically Active Surgeons. Visc Med 2020;36(6):494-500.
12. Hanson A, Crosby R, Basson M. Patient Preferences for Surgery or Antibiotics for the Treatment of Acute Appendicitis. JAMA Surg 2018;153(5):471-8.

Dans cet article

Ce contenu est exclusivement réservé aux abonnés
essentiel

L’appendicite aiguë concerne une personne sur dix dans les pays développés.

Les signes cliniques typiques incluent une douleur abdominale continue, en fosse iliaque droite, souvent accompagnée de nausées, vomissements et fièvre modérée. Un syndrome inflammatoire biologique est habituellement présent mais peut manquer à la phase précoce.

Le diagnostic ne doit pas être retenu sur les seules données clinico-­biologiques ; la réa­lisation d’une imagerie abdominale est indispensable.

La prise en charge d’une appendicite aiguë simple selon les recommandations françaises récentes reste l’appendicec­tomie chirurgicale. L’alternative non chirurgicale par anti­biothérapie seule est une option de seconde ligne pour certains patients, entreprise en milieu spécialisé après avis d’un chirurgien digestif.

La péritonite appendiculaire reste une urgence chirurgicale en raison de la gravité du sepsis. Un retard de prise en charge médico-chirurgicale est délétère pour le patient.