Ce contenu est exclusivement réservé aux abonnés

L’intégralité des articles parus dans nos revues

promo
Illustration
Innovations en oncologie
La prise en charge des cancers repose sur une approche multidisciplinaire associant les expertises complémentaires des oncologues et des médecins non oncologues. Des avancées en imagerie médicale aux nouveaux standards thérapeutiques en oncologie médicale, en passant par la chirurgie, la…
Hypertension pulmonaire
L’hypertension pulmonaire (HTP) se définit par une élévation permanente des pressions artérielles pulmonaires, qui peut être la conséquence d’une maladie vasculaire pulmonaire (HTP précapillaire), d’une augmentation passive des pressions liée à une cardiopathie gauche (HTP post-capillaire…
VOS PATIENTS
Fracture de l’os trigone
Miguel, 41 ans, consulte à la suite d’une chute mal réceptionnée dans le bassin d’un toboggan de parc aquatique. Depuis, il a une douleur...
cb86f6d3-11f9-417b-b5d8-49f579de37f0.jpg
vos images
Lichen plan buccal
Une femme de 61 ans consulte pour des érosions et des lésions croûteuses et douloureuses au niveau des lèvres...
64a60e8c-61b6-4bd5-ac5d-ebbd412f7420.jpg
vos images
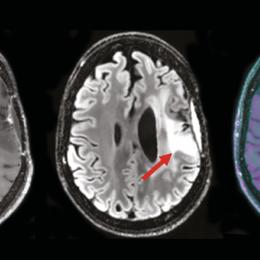
Toxoplasmose cérébrale révélant une infection par le VIH
Un homme âgé de 51 ans, sans antécédents particuliers, a depuis deux semaines une hémiplégie droite et une dysarthrie...
edd7c61a-89cc-4c80-9568-3cc9dfa58b38.jpg
vos images
Maladie de Thévenard : une acroneuropathie familiale
Un patient de 19 ans, aux antécédents de consanguinité parentale de premier degré, a une sœur aînée suivie pour maladie...
arrêt sur image
Poïkilodermie de Civatte
Marcel, 71 ans, consulte pour une dermatose de la région sous-mentonnière (figure) se caractérisant par une zone limitée...
arrêt sur image
Nævus bleu cellulaire atypique
Lilian, 18 ans, consulte pour une formation bicolore apparue sur le dos de sa main (figure). Une exérèse est effectuée.
éditorial
La définition de l’obésité clinique évolue !
La définition actuelle de l’obésité, fondée sur l’indice de masse corporelle (IMC), peut à la fois sous-estimer et surestimer l’adiposité et fournir des informations inadéquates sur la santé de…
TRIBUNE LIBRE
Analyse scientifique 2017-2024 de la crise du Levothyrox par l’Association française des malades de la thyroïde
En 2017, quand une nouvelle formule de Levothyrox a été commercialisée pour améliorer la stabilité du produit, de nombreux effets indésirables ont été signalés par les patients. Retour sur la « crise du Levothyrox » à…
Santé Société
Principe d’égal accès aux soins des détenus
La loi du 18 janvier 1994 a confié la santé des détenus à l’hôpital public. Or, trente ans plus tard, l’égal accès des détenus aux soins n’est toujours pas complètement assuré. Les unités sanitaires restent encore…
Santé Société
Accidents de ski provoqués par autrui
La pratique du ski alpin est considérée comme un sport familial bénéfique pour la santé et sans danger. Pourtant, plus de 100 000 accidents de ski sont recensés chaque année. Les lésions sont en général plus graves en…
Santé Société
Douleur : histoire d’un préjugé  ?
Diverses explications physiologiques et anatomiques sont avancées pour expliquer la différence de ressenti face à la douleur entre les hommes et les femmes ; elles influent sur la prise en charge. Toutefois, des…
promo