Le carcinome hépatocellulaire, dont l’incidence augmente constamment, peut pourtant bénéficier d’une prévention primaire et d’un dépistage précoce. Sa prise en charge, complexe, nécessite une approche multidisciplinaire. Les avancées thérapeutiques récentes, telles que l’immunothérapie et les thérapies ciblées, en ont révolutionné le traitement systémique, offrant de nouvelles options pour les patients qui en sont atteints.

Le carcinome hépatocellulaire (CHC) est un véritable défi de santé publique à l’échelle mondiale, étant donné ses caractéristiques complexes et ses conséquences graves. Il est souvent diagnostiqué à un stade avancé, en raison de l’absence de dépistage systématique et de la prévalence élevée de la cirrhose et de ses complications. De plus, la résis­tance aux traitements et la variabilité de la réponse thérapeutique en compliquent d’autant la prise en charge. Les médecins généralistes jouent un rôle essentiel dans la prévention primaire en sensibilisant aux facteurs de risque et en encourageant les mesures préventives : ils sont au premier plan dans la lutte contre les effets de l’alcoolisme chronique, dans les indications de la vaccination contre l’hépatite B, le suivi de l’adhésion aux traitements des hépatites B et C, dans la sensibilisation sur les effets de l’obésité, du surpoids, du diabète, ainsi que dans leur prise en charge, et dans la promotion de l’importance de l’activité physique.

Face à ces défis, une approche intégrée et collaborative entre les différents intervenants est essentielle pour améliorer les résultats cliniques et la qualité de vie des patients atteints de cette maladie complexe.

Le CHC en quelques chiffres 

Le CHC est le cancer du foie le plus courant, constituant environ 90 % des cancers hépatiques primitifs. Selon les estimations, sont dénombrés environ 854 000 nouveaux cas de CHC et 810 000 décès par an, ce qui en fait la deuxième cause la plus fréquente de décès liés au cancer dans le monde.1 La mortalité globale du CHC est particulièrement élevée, avec une survie nette standardisée à cinq ans inférieure à 20 % et une médiane de survie de 9,4 mois. Ces statistiques soulignent l’urgence d’une détection précoce et d’une prise en charge appropriée.

Selon l’Institut national du cancer (INCa), environ 75 % des cas de CHC sont associés à des facteurs évitables liés au mode de vie. En adoptant des mesures pour lutter contre les habitudes de vie à risque, il est possible de prévenir une grande partie des cas de CHC.

Il est essentiel de sensibiliser la population à ces facteurs de risque et de promouvoir des mesures préventives telles que la vaccination contre l’hépatite B, la réduction de la consommation d’alcool, le traitement des infections virales chroniques et la gestion du syndrome métabolique. Une meilleure compréhension de l’épidémiologie du CHC peut contribuer à en améliorer la prévention, le dépistage et le traitement.

Causes et facteurs de risque du CHC : l’hépatite virale chronique en premier lieu

Le CHC est étroitement lié à la présence d’une maladie chronique du foie ou d’une cirrhose. Plusieurs facteurs de risque sont associés à la cirrhose et au développement ultérieur du CHC. Parmi eux figurent les infections virales chroniques telles que l’hépatite B (associée ou non à l’hépatite D) et l’hépatite C, ainsi que la consommation excessive et chronique d’alcool. D’autres causes de cirrhose incluent la stéatose hépatique non alcoolique (NAFLD), une maladie métabolique liée à l’accumulation de graisse dans le foie, ainsi que, moins fréquemment, l’hémochromatose génétique, les atteintes hépatiques auto-immunes et le déficit en alpha- 1­­­-antitrypsine. Bien que toutes les causes de cirrhose puissent entraîner la formation de tumeurs, le risque de développer un CHC est plus élevé chez les patients atteints d’hépatite virale chronique. Des études de suivi à long terme ont révélé qu’environ 1 à 8 % des patients atteints de cirrhose développent un CHC chaque année. Au total, environ un tiers des patients cirrhotiques auront un CHC au cours de leur vie.

Les recommandations de dépistage précoce devraient davantage être suivies ! 

Le dépistage du CHC chez les personnes à haut risque est crucial, indépendamment de l’origine de l’atteinte hépatique. Un programme de dépistage régulier est associé à une détection précoce du CHC, une meilleure accessibilité aux traitements curatifs, une amélioration de la survie et une réduction des coûts.2,3 

Les patients ayant un risque élevé de développer un CHC, comme ceux atteints d’hépatite chronique virale B ou ayant une cirrhose doivent être inclus dans un programme de surveillance. Il est recommandé de réaliser une échographie abdominale tous les six mois dans les populations à haut risque (fig. 1).

Malheureusement, et malgré l’existence de cette recommandation depuis de nombreuses années, sa mise en pratique reste insuffisante. Il est donc essentiel de sensibiliser les professionnels de santé et les patients à l’importance du dépistage régulier.

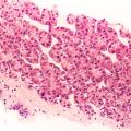
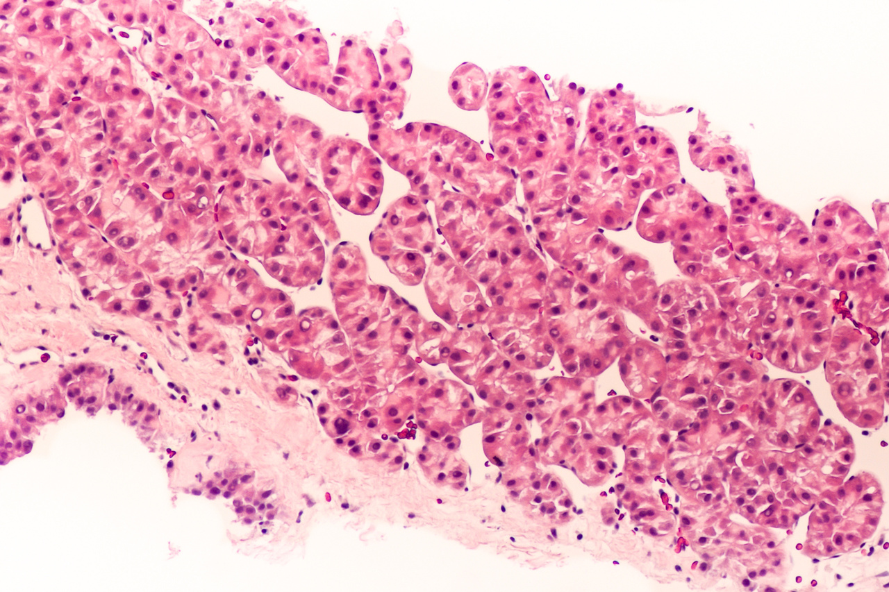
Biopsie, la référence diagnostique

Une fois la tumeur dépistée chez les patients atteints de cirrhose, le diagnostic du CHC repose principalement sur des modalités d’imagerie simples : scanner multiphasique et/ou IRM dynamique. Les nodules sont considérés comme typiques s’ils montrent une prise de contraste artérielle et un lavage portal. 

L’utilisation du TEP-scan par glucose et fluor- 18 (FDG) n’est pas recommandée pour le diagnostic précoce du CHC en raison de son taux élevé de faux négatifs.

Chez les patients non cirrhotiques, le diagnostic de CHC doit être confirmé par une biopsie hépatique trans­pariétale afin d’obtenir une histologie. Celle-ci joue un rôle essentiel pour éliminer les diagnostics différentiels, déterminer le sous-type de CHC, diag­nostiquer des tumeurs mixtes (CHC et cholangiocarcinome) et évaluer les éléments pronostiques tels que le degré de diffé­ren­ciation, l’invasion microvasculaire et le degré de fibrose du foie sous-jacent. Ainsi, la biopsie hépatique devient de plus en plus l’outil diag­nostique de référence et doit être privilégiée chez la majorité des patients (fig. 2).

Parcours de soins : une approche globale et intégrée

Le parcours de soins des patients atteints de CHC est indéniablement complexe, combinant différents impératifs liés à cette maladie. 

D’une part, les besoins relatifs au traitement du cancer englobent l’annonce diagnostique, la gestion des traitements variés, la prise en charge des effets in­dési­rables, les hospitalisations répétées et éventuellement les soins palliatifs ; tout cela requérant une coordination des soins multidisciplinaire efficace (fig. 3). 

D’autre part, la nature chronique de la maladie hépatique implique une approche transversale, visant à traiter les causes sous-jacentes telles que les problèmes addictologiques, le diabète, les hépatites virales, etc. Enfin, la prévention des complications potentielles de la maladie hépatique chronique, comme l’ascite, l’hémorragie digestive et l’encéphalopathie hépatique, nécessite également une attention particulière.

Tout au long du parcours de soins, avant et après le diagnostic de CHC, il est crucial de promouvoir des pratiques collaboratives entre les professionnels de santé en milieu hospitalier et en ambulatoire. Les infirmiers en pratique avancée ont un rôle essentiel dans cette dynamique, en participant activement au suivi des patients, en étroite collaboration avec les médecins traitants et spécialistes. Ils pourront devenir, à terme, des acteurs clés dès le stade précoce de la maladie, en menant des missions de prévention, de promotion de la santé et d’éducation sanitaire, en étroite collaboration avec les médecins généralistes.

Cette approche globale et intégrée vise à offrir un parcours de soins plus cohérent et mieux coordonné pour les patients atteints de CHC, en répondant de manière davantage holistique à leurs besoins médicaux et en améliorant ainsi leur qualité de vie et leur pronostic.

Le choix du traitement est fonction du stade du CHC

Les systèmes de stadification pour la prise de décision dans le CHC doivent inclure la charge tumorale, la fonction hépatique et l’état de performance. Le système de stadification BCLC (Barcelona Clinic Liver Cancer) a été validé à plusieurs reprises et est recommandé pour la prédiction pronostique et l’attribution du traitement.3 Le Thésaurus national de cancérologie digestive a également proposé des recommandations sur la prise en charge du cancer du foie (fig. 4).

Les stratégies thérapeutiques sont discutées au cours d’une réunion de concertation multidisciplinaire et dépendent du stade du CHC.

CHC localisé

Ce stade (BCLC 0 et A) correspond à un nodule unique ou trois nodules de moins de 3 cm.

La résection hépatique est le traitement de choix chez les patients non cirrhotiques. Chez les patients cirrhotiques, la prise en charge chirurgicale doit se faire dans un centre expert et après évaluation précise de la fonction hépatique et de l’hypertension portale.

Les patients cirrhotiques âgés de moins de 70 ans avec un  CHC dans les critères de Milan (un nodule de moins de 5 cm ou trois nodules de moins de 3 cm) et a fortiori ceux avec une fonction hépatique altérée qui ne peuvent avoir accès au traitement chirurgical doivent être adressés à un centre expert pour évaluation d’un projet de greffe.

L’ablation thermique percutanée des tumeurs uniques de 2 à 3 cm est une alternative à la résection chirurgicale en fonction de facteurs techniques (localisation de la tumeur), de l’état hépatique et extrahépatique du patient. Plusieurs techniques existent : radio­fréquence, micro-ondes, cryothérapie, électroporation. L’intervention a lieu sous anesthésie générale avec une courte hospitalisation (48 heures).

CHC intermédiaire

 Ce stade (BCLC B) est multinodulaire, avec des lésions de taille supérieure à 3 cm.

Deux modalités thérapeutiques sont envisageables :

l

a chimio-embolisation intra-artérielle correspond à la perfusion intra-artérielle d’un agent cytotoxique suivie d’une embolisation des vaisseaux sanguins alimentant la tumeur. Elle a un fort effet cytotoxique et ischémique ciblé sur la tumeur, qui a tendance à être entièrement alimentée par l’afflux artériel, contrairement au parenchyme hépatique, qui reçoit la majorité de l’afflux à travers le système porte. Le traitement est effectué sous anesthésie locale avec une hospitalisation de soixante-douze heures ;

la radio-embolisation intra-artérielle est définie comme la perfusion dans l’artère hépatique de sub­stances radio­actives telles que le lipiodol marqué à l’iode 131, des micro­sphères contenant de l’yttrium 90 (Y90)511 ou des agents similaires. Le traitement est effectué sous anesthésie locale et peut être réalisé en ambulatoire. 

CHC avancé

Le stade de carcinome hépatocellulaire avancé correspond à une invasion porte tumorale ou métastatique (BCLC C). 

D’abord l’association immunothérapie et anti-VEGF

Le traitement systémique du CHC en première ligne à ce stade a connu une révolution depuis 2020, avec l’introduction de l’immunothérapie (atézolizumab) associée à une thérapie ciblée anti-VEGF (bévacizumab et biosimilaires), comme démontré dans l’essai pivot IMBRAVE 150.5 

Ces anticorps monoclonaux sont administrés par voie intraveineuse périphérique tous les vingt et un jours afin de stimuler l’immunité antitumorale et cibler la néo-angiogenèse tumorale. Depuis 2023, l’association durvalumab-trémélimumab est indiquée en cas de contre-indication à l’association atézolizumab-bévacizumab, selon les résultats de l’étude pivot HIMALAYA.6

Inhibiteurs de tyrosine kinases en deuxième ligne

En cas de progression tumorale sous traitements de première ligne, les inhibiteurs de tyrosine kinases administrés par voie orale (sorafénib, régorafénib, cabozantinib et lenvatinib) sont utilisés en deuxième ligne et lignes ultérieures. 

Il convient de noter que le lenvatinib n’est, à ce jour, remboursé en France dans cette indication oncologique que pour les cancers de la thyroïde. 

Ces traitements sont administrés en ambulatoire. 

Leur efficacité dépend de l’observance des patients et de leur exposition plasmatique aux médicaments. 

Ils peuvent faire l’objet d’interactions médica­menteuses, notamment avec l’alimentation ou les thérapies alternatives complémentaires telles que la phytothérapie. Les inhibiteurs de tyrosine kinases par voie orale peuvent également entraîner des effets indésirables, parfois invalidants, nécessitant une surveillance clinico-biologique régulière.

Les progrès thérapeutiques majeurs observés ces dernières années se sont principalement concentrés sur les traitements systémiques. Le tableau reprend les effets indésirables de ces thérapeutiques, ainsi que leurs principales interactions médicamenteuses. 

Quels bilans clinico-biologiques de suivi ?

Pour assurer un suivi adéquat des patients sous médica­ments ayant une composante anti-VEGF (les anti­angiogéniques), il est essentiel de surveiller la pression artérielle et la cicatrisation en cas de plaie ou d’intervention chirurgicale. De plus, des électro­cardio­grammes doivent être réalisés régulièrement en cas de prise de sorafénib, de lenvatinib et de cabozantinib, en raison de leur potentiel d’allongement de l’intervalle QT. 

Les bilans biologiques de suivi pour les inhibiteurs de tyrosine kinases comprennent un hémogramme, un bilan thyroïdien, un ionogramme, un bilan phosphocalcique, un bilan hépatique, pancréatique, rénal, (avec surveillance de la protéinurie), un bilan lipidique et des glycémies régulières.

Concernant le traitement par immunothérapie (atézolizumab, durvalumab, trémélimumab), le suivi doit inclure un hémogramme, un ionogramme complet comprenant les taux de phosphore, magnésium, calcium et acide urique, une mesure de la protéine C-­réactive (CRP) ainsi qu’un bilan hépatique, thyroïdien et glycémique.

Gérer les effets indésirables de façon optimale 

En cas d’hypertension artérielle, la surveillance régulière et l’adoption des mesures hygiénodiététiques appropriées sont importantes. Si nécessaire, des médicaments antihypertenseurs peuvent être prescrits, et la posologie de l’agent anticancéreux en cause peut être ajustée.

Pour prévenir et traiter les syndromes mains-pieds ou syndrome d’érythrodysesthésie palmoplantaire, il est essentiel d’appliquer quotidiennement des crèmes émollientes. En cas de symptômes, des mesures peuvent être prises : glace à travers un linge, bains de mains et de pieds à l’eau tiède, intensification de l’hydratation cutanée (par exemple en utilisant des crèmes kératolytiques à base d’urée ou d’acide salicylique pour les formes hyperkératosiques), utilisation de dermocorticoïdes si nécessaire, et d’orthèses siliconées.

Pour les troubles digestifs, des mesures hygiéno­diététiques sont recommandées. En cas de diarrhée, il faut privilégier les féculents tout en limitant la consommation de laitages, de café et d’alcool. En cas de constipation, il faut préférer une alimentation riche en fibres. Il est essentiel de maintenir une bonne hydratation par voie orale dans les deux cas. Si les symptômes persistent, des médicaments tels que des laxatifs pour la constipation (à prendre à distance des autres médicaments pour ne pas en affecter l’absorption digestive), des antidiarrhéiques tels que le racécadotril ou le lopéramide, ou des antinauséeux tels que le métoclopramide peuvent être prescrits. Un support sous forme de compléments nutritionnels oraux peut être nécessaire si les apports alimentaires sont insuffisants et/ou la perte de poids importante.

En cas d’hypothyroïdie persistante, un traitement par hormones thyroïdiennes (lévothyroxine) peut être envisagé.

 Toujours plus d’essais cliniques…

Plusieurs essais cliniques évaluant de nouvelles approches de traitement en adjuvant, néo-adjuvant et de combinaison avec les traitements locorégionaux sont en cours dans le CHC. Ces essais représentent une opportunité unique de participer à la recherche de solutions novatrices qui pourraient améliorer les résultats cliniques et la prise en charge des patients.

Les avantages des essais cliniques ne se limitent pas aux patients qui y participent mais bénéficient également à l’ensemble de la communauté médicale. Les résultats obtenus peuvent conduire à l’approbation de nouvelles thérapies et à l’amélioration des standards de soins pour tous les patients atteints de cancer du foie. Il est donc crucial que les médecins restent informés des essais cliniques en cours et des opportunités de participation pour leurs patients.

En encourageant la participation aux essais cliniques, les médecins généralistes peuvent contribuer activement à l’avancement des connaissances médicales et donner la possibilité à leurs patients de bénéficier de traitements les plus innovants et prometteurs disponibles. La collaboration entre les médecins et les chercheurs est indispensable au développement de nouvelles approches thérapeutiques.

Les auteurs remercient le Dr Vincent Leclerc, pharmacien clinicien à l’hôpital Beaujon, pour son aide dans la réalisation du tableau. 
Encadre

Que dire à vos patients ?

Le carcinome hépatocellulaire peut être diagnostiqué à des stades précoces, permettant un traitement à visée curative.

Il est important d’en traiter les causes sous-jacentes, telles que les infections virales chroniques, la consommation excessive d’alcool et le syndrome métabolique, afin de prévenir son développement.

Il est essentiel d’adhérer au programme de dépistage en soins primaires, qui consiste en des échographies semestrielles pour les personnes considérées à haut risque.

Le suivi du carcinome hépatocellulaire se fait sur une longue période et nécessite une coordination entre la ville et l’hôpital afin d’assurer une prise en charge optimale.

Pour soutenir les professionnels de santé et les patients, la Société française de pharmacie oncologique met à disposition des fiches d’information et des vidéos sur les traitements anticancéreux oraux, traduites en plusieurs langues : https ://oncolien.sfpo.com/ 

Références
1 . Akinyemiju T, Abera S, Ahmed M, et al. The Burden of Primary Liver Cancer and Underlying Etiologies From 1990 to 2015 at the Global, Regional, and National Level: Results From the Global Burden of Disease Study 2015. JAMA Oncol 2017;3(12):1683-91. 
2. Stratégie de dépistage des personnes à risque de maladie chronique du foie en médecine générale. Adapté de « Recommandations pour le diagnostic et le suivi non invasif des maladies chroniques du foie », AFEF 2020. https://bit.ly/43EDsZt
3. Singal AG, Zhang E, Narasimman M, et al. HCC surveillance improves early detection, curative treatment receipt, and survival in patients with cirrhosis: A meta-analysis. J Hepatol 2022;77(1):128-39.
3. Reig M, Forner A, Rimola J, et al. BCLC stra­tegy for prognosis prediction and treatment recommendation: The 2022 update. J Hepatol 2022;76(3):681-93. 
4. Blanc JF, Debaillon-Vesque A, Roth G, et al. Thésaurus national de dancérologie digestive (TNCD); (SNFGE, FFCD, GERCOR, UNICANCER, SFCD, SFED, SFRO, AFEF, SIAD, SFR/FRI). Clin Res Hepatol Gastroenterol 2021;45(2):101590. https://bit.ly/3OsNtVk
5. Finn RS, Qin S, Ikeda M, et al. Atezolizumab plus Bevacizumab in Unresectable Hepatocellular Carcinoma. N Engl J Med 2020;382(20):1894‑905. 
6. Abou-Alfa GK, Chan SL, Kudo M, et al. Phase 3 randomized, open-label, multicenter study of tremelimumab (T) and durvalumab (D) as first-line therapy in patients (pts) with unresectable hepatocellular carcinoma (uHCC): HIMALAYA. J Clin Oncol 2022;40(4_suppl):379.

Dans cet article

Ce contenu est exclusivement réservé aux abonnés
essentiel

L’incidence du carcinome hépatocellulaire est en constante augmentation. 

Il se développe habituellement sur une maladie chronique du foie, souvent causée par des facteurs de risque tels que la séropositivité pour les virus de l’hépatite B et C, la consommation excessive d’alcool, le syndrome métabolique, l’hémochromatose.

Une prévention primaire est possible : sensibilisation sur les effets de l’alcoolisme, promotion de la vaccination contre l’hépatite B, traitement des hépatites B et C, sensibilisation aux effets de l’obésité, du surpoids, du diabète et sur l’importance de l’activité physique. 

Pour les personnes à haut risque, en soins primaires, la réalisation régulière d’échographies semestrielles constitue un moyen de dépistage accessible.

L’évolution des traitements systémiques, notamment l’immunothérapie, offre de nouveaux espoirs thérapeutiques. 

Un suivi au long cours, articulé entre la ville et l'hôpital, est essentiel pour une prise en charge optimale des patients.