Hématologie. Les cryoglobulines de type I sont associées à une hémopathie lymphoïde B monoclonale. Les cryoglobulines mixtes (types II et III) sont liées à des stimulations antigéniques variées dont en particulier l’hépatite chronique C.
Mise au point
Une cryoglobuline est une immunoglobuline (Ig) ayant la propriété de précipiter à des températures inférieures à 37 °C et qui se dissout de nouveau après réchauffement.
Une cryoglobuline est une immunoglobuline (Ig) ayant la propriété de précipiter à des températures inférieures à 37 °C et qui se dissout de nouveau après réchauffement.
Classification et physiopathologie
La classification des cryoglobulines établie par Jean-Claude Brouet en 1974 est toujours d’actualité.1 Elle repose sur la composition du cryoprécipité (fig. 1) :
– les cryoglobulines de type I sont composées d’une unique immunoglobuline monoclonale ;
– les cryoglobulines de types II et III sont dites mixtes, le précipité est composé de plusieurs immunoglobulines : type II, une immunoglobuline monoclonale, le plus souvent IgM, associée à des IgG polyclonales ; type III, complexes d’IgM polyclonales et d’IgG polyclonales.
Les raisons pour lesquelles certaines immunoglobulines perdent leur solubilité au froid restent mal connues et diffèrent selon les types.2
Lorsqu’il s’agit d’une cryoglobuline monoclonale (type I), l’immunoglobuline cristallise et précipite seule du fait de forces d’interactions moléculaires faibles. Ce phénomène est dépendant de la température et de la concentration de l’immunoglobuline (d’où les localisations préférentielles : extrémités par exposition au froid, reins par augmentation de la concentration du cryoprécipité dans la vascularisation glomérulaire). Les symptômes sont alors liés à une obstruction vasculaire mécanique avec ischémie d’aval. Le cryocrite correspond à une appréciation du précipité après centrifugation du sérum total dans un tube à hématocrite. Le pourcentage du volume total occupé par le cryoprécipité est déterminé visuellement ou par dosage (mg/L).
Pour les cryoglobulines mixtes (types II et III), la précipitation est liée à la formation d’un complexe immun entre :
– une ou des immunoglobulines (le plus souvent IgM) à activité facteur rhumatoïde, c’est-à-dire ayant une activité dirigée contre le fragment Fc des IgG polyclonales ;
– des IgG polyclonales justement, dirigées contre des antigènes viraux, bactériens ou des auto-antigènes ;
– les immunoglobulines purifiées (monoclonales et polyclonales) ne précipitent pas à +4 °C lorsqu’elles sont isolées mais le cryoprécipité apparaît lorsqu’on les mélange ;
– s’y associe des éléments du complément.
Ces complexes immuns se fixent sur les cellules endothéliales, avec recrutement de cellules de l’inflammation, et sont à l’origine d’une vascularite, le plus souvent des petits vaisseaux.
– les cryoglobulines de type I sont composées d’une unique immunoglobuline monoclonale ;
– les cryoglobulines de types II et III sont dites mixtes, le précipité est composé de plusieurs immunoglobulines : type II, une immunoglobuline monoclonale, le plus souvent IgM, associée à des IgG polyclonales ; type III, complexes d’IgM polyclonales et d’IgG polyclonales.
Les raisons pour lesquelles certaines immunoglobulines perdent leur solubilité au froid restent mal connues et diffèrent selon les types.2
Lorsqu’il s’agit d’une cryoglobuline monoclonale (type I), l’immunoglobuline cristallise et précipite seule du fait de forces d’interactions moléculaires faibles. Ce phénomène est dépendant de la température et de la concentration de l’immunoglobuline (d’où les localisations préférentielles : extrémités par exposition au froid, reins par augmentation de la concentration du cryoprécipité dans la vascularisation glomérulaire). Les symptômes sont alors liés à une obstruction vasculaire mécanique avec ischémie d’aval. Le cryocrite correspond à une appréciation du précipité après centrifugation du sérum total dans un tube à hématocrite. Le pourcentage du volume total occupé par le cryoprécipité est déterminé visuellement ou par dosage (mg/L).
Pour les cryoglobulines mixtes (types II et III), la précipitation est liée à la formation d’un complexe immun entre :
– une ou des immunoglobulines (le plus souvent IgM) à activité facteur rhumatoïde, c’est-à-dire ayant une activité dirigée contre le fragment Fc des IgG polyclonales ;
– des IgG polyclonales justement, dirigées contre des antigènes viraux, bactériens ou des auto-antigènes ;
– les immunoglobulines purifiées (monoclonales et polyclonales) ne précipitent pas à +4 °C lorsqu’elles sont isolées mais le cryoprécipité apparaît lorsqu’on les mélange ;
– s’y associe des éléments du complément.
Ces complexes immuns se fixent sur les cellules endothéliales, avec recrutement de cellules de l’inflammation, et sont à l’origine d’une vascularite, le plus souvent des petits vaisseaux.
Lire aussi | Vascularites cryoglobulinémiques
Données épidémiologiques
Il est impossible de connaître la prévalence exacte de la présence d’une cryoglobuline dans la population générale. Une équipe a montré qu’on pouvait trouver une cryoglobuline chez des sujets parfaitement sains mais à des taux assez faibles.
Au sein des cryoglobulines, environ 10 à 15 % sont de type I, les autres sont mixtes (50-60 % de type II et 30-40 % de type III).
En ce qui concerne les cryoglobulinémies mixtes, la cause la plus fréquente est l’infection chronique par le VHC : environ 50 % des patients ont une cryoglobuline circulante (avec une variabilité géographique), même si seuls 10-15 % sont symptomatiques.3
Au sein des cryoglobulines, environ 10 à 15 % sont de type I, les autres sont mixtes (50-60 % de type II et 30-40 % de type III).
En ce qui concerne les cryoglobulinémies mixtes, la cause la plus fréquente est l’infection chronique par le VHC : environ 50 % des patients ont une cryoglobuline circulante (avec une variabilité géographique), même si seuls 10-15 % sont symptomatiques.3
Quelles manifestations cliniques ?
Beaucoup de patients sont a- ou pauci-symptomatiques (tableau 1) .
Bien que la physiopathologie soit différente en fonction du typage de la cryoglobuline, les organes le plus souvent atteints sont, dans les deux cas, la peau, le nerf et le rein.
Bien que la physiopathologie soit différente en fonction du typage de la cryoglobuline, les organes le plus souvent atteints sont, dans les deux cas, la peau, le nerf et le rein.
Cryoglobulines de type I
Les symptômes sont le plus souvent liés à l’occlusion mécanique des vaisseaux de petit calibre par des thrombus fait du cryoprécipité.4, 5
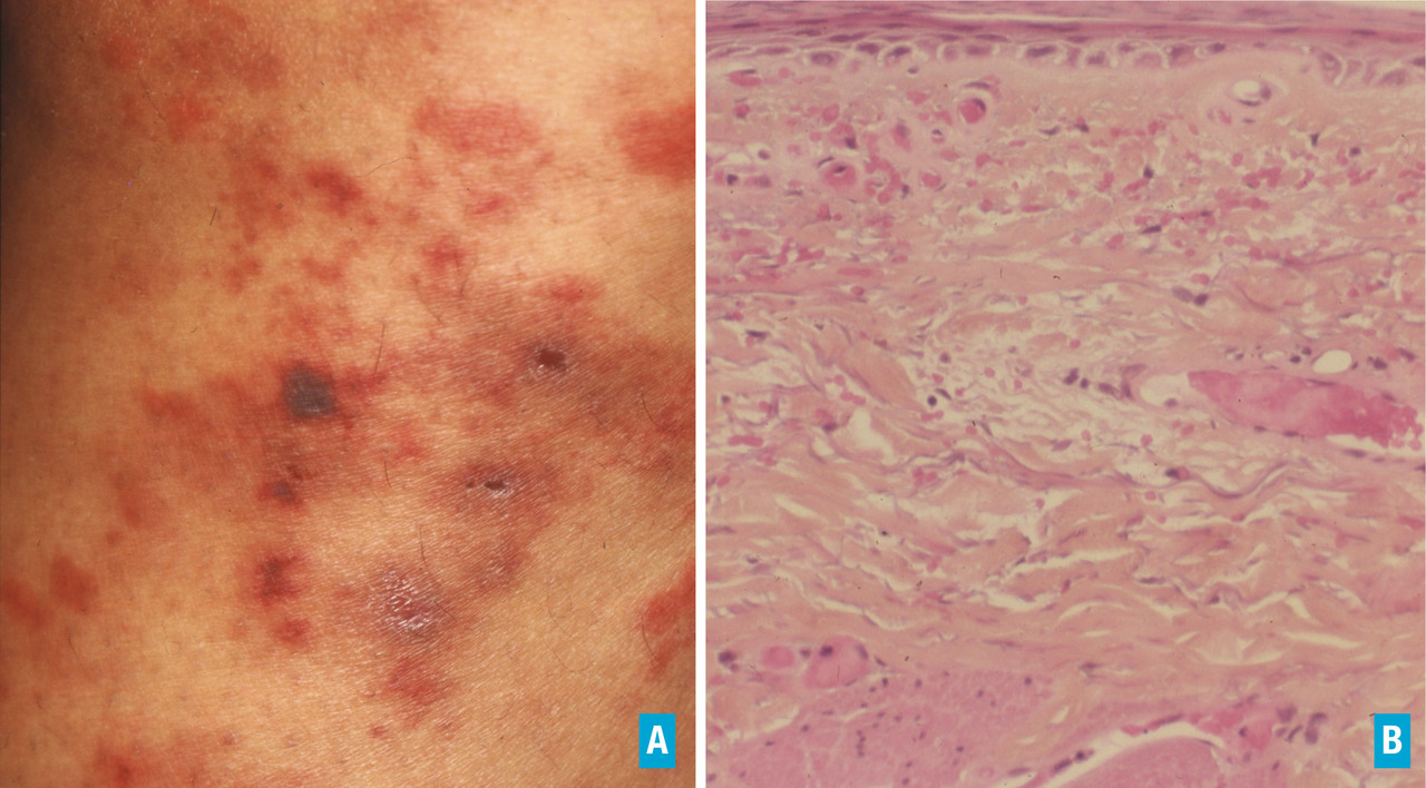
Les manifestations cutanées sont les plus fréquentes (69-86 % des patients). Ce sont (isolés ou associés) : phénomène de Raynaud, urticaire, livedo reticularis, acrocyanose, nécrose cutanée pouvant aller jusqu’à la gangrène. Le purpura vasculaire n’est pas un symptôme fréquent dans la cryoglobulinémie de type I. Ces symptômes touchent le plus souvent les extrémités (membres inférieurs, oreilles, nez) et sont aggravés par le froid. Les manifestations neurologiques existent chez 19-44 % des patients. Il s’agit le plus souvent d’une neuropathie périphérique des membres inférieurs, à prédominance sensitive.
Les manifestations rénales touchent 20-35 % des patients. Elles sont liées à une glomérulopathie et révélées par une albuminurie parfois de rang néphrotique le plus souvent associée à une hypertension artérielle, une hématurie et/ou une insuffisance rénale. De façon mal comprise, ces atteintes rénales sont plus fréquentes quand la gammapathie sous-jacente est une IgG, par rapport aux IgM.
Dans les autres manifestations, on note qu’environ 20 % des patients se plaignent d’arthralgies.
Enfin, rarement le tableau clinique peut être systémique, avec une défaillance multiviscérale, des troubles neurologiques centraux. Certains auteurs expliquent cette gravité par une hyperviscosité liée à la quantité du composant monoclonal et le volume de cryocrite. Cependant, il n’y a pas de corrélation parfaite entre gravité des symptômes et cryocrite.
Les manifestations cutanées sont les plus fréquentes (69-86 % des patients). Ce sont (isolés ou associés) : phénomène de Raynaud, urticaire, livedo reticularis, acrocyanose, nécrose cutanée pouvant aller jusqu’à la gangrène. Le purpura vasculaire n’est pas un symptôme fréquent dans la cryoglobulinémie de type I. Ces symptômes touchent le plus souvent les extrémités (membres inférieurs, oreilles, nez) et sont aggravés par le froid. Les manifestations neurologiques existent chez 19-44 % des patients. Il s’agit le plus souvent d’une neuropathie périphérique des membres inférieurs, à prédominance sensitive.
Les manifestations rénales touchent 20-35 % des patients. Elles sont liées à une glomérulopathie et révélées par une albuminurie parfois de rang néphrotique le plus souvent associée à une hypertension artérielle, une hématurie et/ou une insuffisance rénale. De façon mal comprise, ces atteintes rénales sont plus fréquentes quand la gammapathie sous-jacente est une IgG, par rapport aux IgM.
Dans les autres manifestations, on note qu’environ 20 % des patients se plaignent d’arthralgies.
Enfin, rarement le tableau clinique peut être systémique, avec une défaillance multiviscérale, des troubles neurologiques centraux. Certains auteurs expliquent cette gravité par une hyperviscosité liée à la quantité du composant monoclonal et le volume de cryocrite. Cependant, il n’y a pas de corrélation parfaite entre gravité des symptômes et cryocrite.
Cryoglobulines mixtes
Dans les cryoglobulinémies mixtes, on note plus souvent des signes généraux : asthénie, myalgies, fièvre, témoins du processus auto-immun.
Le signe le plus fréquent est le purpura vasculaire, qui touche jusqu’à 90 % des patients selon les séries. Il peut être chronique ou évoluer par crise. Il touche le plus souvent les membres inférieurs (élément de gravité). Les déclencheurs de la crise sont l’exercice, la station debout prolongée, tout épisode infectieux, certains médicaments. Le purpura peut être isolé ou accompagné de livedo ou de lésions ulcéreuses (moins que dans les cryoglobulinémies de type I).
Les arthralgies sont fréquentes, les arthrites vraies beaucoup moins. La classique triade purpura-arthralgies-fatigue touche un tiers des patients. Les atteintes rénales et neurologiques sont cliniquement très similaires à celles liées aux cryoglobulines de type I.
Enfin, l’atteinte d’autres organes est rare mais plus fréquente que dans les cryoglobulinémies de type I. Des atteintes pulmonaires révélées par une dyspnée et une toux ont été décrites, avec pneumopathie organisée ou hémorragies alvéolaires à la tomodensitométrie. Les atteintes gastro-intestinales sont à suspecter devant des douleurs abdominales intenses, des saignements digestifs qui sont le signe d’une vascularite intestinale avec un risque d’ischémie et de perforation digestive. Les atteintes neurologiques centrales correspondent à des accidents ischémiques. Enfin, les atteintes cardiaques correspondent à des myocardites ischémiques et des cardiomyopathies dilatées.
Au total, on estime que 10-15 % des patients ayant une cryoglobulinémie mixte (les mieux étudiées étant celles liées au VHC) vont avoir une atteinte d’organe mettant en jeu leur pronostic vital. Ces patients ont plus souvent de la fièvre, une cryoglobulinémie mixte de type II, un cryocrité élevé, un C3 plus bas.6
Le signe le plus fréquent est le purpura vasculaire, qui touche jusqu’à 90 % des patients selon les séries. Il peut être chronique ou évoluer par crise. Il touche le plus souvent les membres inférieurs (élément de gravité). Les déclencheurs de la crise sont l’exercice, la station debout prolongée, tout épisode infectieux, certains médicaments. Le purpura peut être isolé ou accompagné de livedo ou de lésions ulcéreuses (moins que dans les cryoglobulinémies de type I).
Les arthralgies sont fréquentes, les arthrites vraies beaucoup moins. La classique triade purpura-arthralgies-fatigue touche un tiers des patients. Les atteintes rénales et neurologiques sont cliniquement très similaires à celles liées aux cryoglobulines de type I.
Enfin, l’atteinte d’autres organes est rare mais plus fréquente que dans les cryoglobulinémies de type I. Des atteintes pulmonaires révélées par une dyspnée et une toux ont été décrites, avec pneumopathie organisée ou hémorragies alvéolaires à la tomodensitométrie. Les atteintes gastro-intestinales sont à suspecter devant des douleurs abdominales intenses, des saignements digestifs qui sont le signe d’une vascularite intestinale avec un risque d’ischémie et de perforation digestive. Les atteintes neurologiques centrales correspondent à des accidents ischémiques. Enfin, les atteintes cardiaques correspondent à des myocardites ischémiques et des cardiomyopathies dilatées.
Au total, on estime que 10-15 % des patients ayant une cryoglobulinémie mixte (les mieux étudiées étant celles liées au VHC) vont avoir une atteinte d’organe mettant en jeu leur pronostic vital. Ces patients ont plus souvent de la fièvre, une cryoglobulinémie mixte de type II, un cryocrité élevé, un C3 plus bas.6
Quelles pathologies sous- jacentes révèlent-elles ?
Cryoglobulines de type I
Elles sont invariablement associées à une hémopathie lymphoïde B. L’immunoglobuline cryoprécipitante est directement sécrétée par le clone tumoral. Il est primordial de caractériser cette hémopathie : quelle est la prolifération cellulaire sous-jacente ? Quel est son stade ?
Ainsi quand le composant monoclonal est une IgG ou une IgA, la prolifération médullaire est le plus souvent purement plasmocytaire. Il peut s’agir d’une gammapathie monoclonale de signification indéterminée (GMSI ou monoclonal gammapathy of undetermined signi- ficance [MGUS]) : prolifération indolente, avec un myélogramme contenant moins de 10 % de plasmocytes, sans symptômes de myélome, ou plus rarement d’un myélome, hémopathie avec plus de 10 % de plasmocytes dystrophiques au myélogramme et des symptômes à type de lésions osseuses, d’hypercalcémie, d’insuffisance rénale et/ou d’anémie.
Quand le composant monoclonal est une IgM, la prolifération cellulaire est le plus souvent lympho-plasmocytaire. Là encore, cela peut correspondre également à une GMSI (composant monoclonal isolé) ou à une maladie de Waldenström symptomatique ou non, avec des cytopénies et/ou un syndrome tumoral (adénopathies, splénomégalie).
L’examen médullaire est, dans tous les cas, fondamental.
Ainsi quand le composant monoclonal est une IgG ou une IgA, la prolifération médullaire est le plus souvent purement plasmocytaire. Il peut s’agir d’une gammapathie monoclonale de signification indéterminée (GMSI ou monoclonal gammapathy of undetermined signi- ficance [MGUS]) : prolifération indolente, avec un myélogramme contenant moins de 10 % de plasmocytes, sans symptômes de myélome, ou plus rarement d’un myélome, hémopathie avec plus de 10 % de plasmocytes dystrophiques au myélogramme et des symptômes à type de lésions osseuses, d’hypercalcémie, d’insuffisance rénale et/ou d’anémie.
Quand le composant monoclonal est une IgM, la prolifération cellulaire est le plus souvent lympho-plasmocytaire. Là encore, cela peut correspondre également à une GMSI (composant monoclonal isolé) ou à une maladie de Waldenström symptomatique ou non, avec des cytopénies et/ou un syndrome tumoral (adénopathies, splénomégalie).
L’examen médullaire est, dans tous les cas, fondamental.
Cryoglobulines mixtes, types II et III
Leurs causes sont beaucoup plus variées. Le point commun est qu’il s’agit de situations favorisant l’émergence de clones B autoréactifs via une stimulation antigénique chronique (dans le cadre d’une infection chronique ou d’une maladie auto-immune).7, 8
Le modèle le mieux étudié est celui de la stimulation antigénique chronique par le virus de l’hépatite C (VHC). L’infection virale aboutit à une stimulation antigénique chronique, une pression de sélection qui fait émerger des clones B autoréactifs. Ils sont polyclonaux au début, pouvant donner des cryoglobulines de type III, puis peuvent apparaître des clones dominants à l’origine d’une cryoglobuline de type II. Enfin, si la stimulation antigénique persiste, peut apparaître un lymphome B, qui au début reste dépendant du VHC (le traitement antiviral permet alors un contrôle du lymphome). La dernière phase correspond à un lymphome qui évolue pour son propre compte.
Sur le même modèle, on retrouve également des patients ayant un syndrome de Gougerot-Sjögren, une cryoglobulinémie mixte de type II ou III et un lymphome B de bas grade.
Les causes des cryoglobulinémies mixtes sont décrites dans letableau 2 . On peut les regrouper par grandes familles :
– causes infectieuses ; ce sont souvent des infections chroniques. La cause la plus fréquente de cryoglobulinémie mixte est l’hépatite C (40-90 % des cryoglobulinémies mixtes en fonction des séries). Il existe également des cryoglobulinémies mixtes associées aux virus des hépatites B et E, et au virus de l’immunodéficience humaine. D’autres agents infectieux peuvent être impliqués mais de façon plus anecdotique(tableau 2) ;
– causes auto-immunes ; la maladie auto-immune la plus fréquemment associée est le syndrome de Gougerot-Sjögren, elle constitue un facteur de mauvais pronostic. Dans le lupus érythémateux disséminé et la polyarthrite rhumatoïde, une cryoglobulinémie mixte est décrite chez 10 % des patients mais de façon beaucoup plus rare et avec un cryocrite moins important que dans le syndrome de Goujerot-Sjögren et beaucoup moins souvent symptomatique. Des causes beaucoup plus rares sont décrites dans letableau 2 ;
– hémopathies lymphoïdes B ; 5 à 10 % des cryoglobulinémies mixtes sont associées à un lymphome B. Le plus souvent, il s’agit de lymphomes de bas grade : zone marginale (lymphome du MALT, lymphome splénique de la zone marginale ou à lymphocytes villeux). Mais ce peut être aussi des lymphomes B diffus à grandes cellules, des lymphomes folliculaires, des leucémies lymphoïdes chroniques. Le lien entre le lymphome et la cryoglobulinémie mixte est alors indirect, contrairement au type I. Ce sont plutôt deux états pouvant émerger dans des situations similaires de stimulation lymphocytaire B chronique ;
– autres causes ; elles sont rares et à évoquer surtout dans les cryoglobulinémies de type III. Elles sont décrites dans letableau 2 ;
– cryoglobulinémies mixtes essentielles ou idiopathiques ; dans près de 10 % des cryoglobulinémies mixtes, aucune cause n’est retrouvée, ces cryoglobulinémies sont dites idiopathiques (pourcentage s’élevant à 25 % chez les patients séronégatifs pour le VHC).
Le modèle le mieux étudié est celui de la stimulation antigénique chronique par le virus de l’hépatite C (VHC). L’infection virale aboutit à une stimulation antigénique chronique, une pression de sélection qui fait émerger des clones B autoréactifs. Ils sont polyclonaux au début, pouvant donner des cryoglobulines de type III, puis peuvent apparaître des clones dominants à l’origine d’une cryoglobuline de type II. Enfin, si la stimulation antigénique persiste, peut apparaître un lymphome B, qui au début reste dépendant du VHC (le traitement antiviral permet alors un contrôle du lymphome). La dernière phase correspond à un lymphome qui évolue pour son propre compte.
Sur le même modèle, on retrouve également des patients ayant un syndrome de Gougerot-Sjögren, une cryoglobulinémie mixte de type II ou III et un lymphome B de bas grade.
Les causes des cryoglobulinémies mixtes sont décrites dans le
– causes infectieuses ; ce sont souvent des infections chroniques. La cause la plus fréquente de cryoglobulinémie mixte est l’hépatite C (40-90 % des cryoglobulinémies mixtes en fonction des séries). Il existe également des cryoglobulinémies mixtes associées aux virus des hépatites B et E, et au virus de l’immunodéficience humaine. D’autres agents infectieux peuvent être impliqués mais de façon plus anecdotique
– causes auto-immunes ; la maladie auto-immune la plus fréquemment associée est le syndrome de Gougerot-Sjögren, elle constitue un facteur de mauvais pronostic. Dans le lupus érythémateux disséminé et la polyarthrite rhumatoïde, une cryoglobulinémie mixte est décrite chez 10 % des patients mais de façon beaucoup plus rare et avec un cryocrite moins important que dans le syndrome de Goujerot-Sjögren et beaucoup moins souvent symptomatique. Des causes beaucoup plus rares sont décrites dans le
– hémopathies lymphoïdes B ; 5 à 10 % des cryoglobulinémies mixtes sont associées à un lymphome B. Le plus souvent, il s’agit de lymphomes de bas grade : zone marginale (lymphome du MALT, lymphome splénique de la zone marginale ou à lymphocytes villeux). Mais ce peut être aussi des lymphomes B diffus à grandes cellules, des lymphomes folliculaires, des leucémies lymphoïdes chroniques. Le lien entre le lymphome et la cryoglobulinémie mixte est alors indirect, contrairement au type I. Ce sont plutôt deux états pouvant émerger dans des situations similaires de stimulation lymphocytaire B chronique ;
– autres causes ; elles sont rares et à évoquer surtout dans les cryoglobulinémies de type III. Elles sont décrites dans le
– cryoglobulinémies mixtes essentielles ou idiopathiques ; dans près de 10 % des cryoglobulinémies mixtes, aucune cause n’est retrouvée, ces cryoglobulinémies sont dites idiopathiques (pourcentage s’élevant à 25 % chez les patients séronégatifs pour le VHC).
Quels examens prescrire ?
Mise en évidence d’une cryoglobuline dans le sérum
Le prélèvement doit être réalisé dans des conditions précises : le sérum doit constamment rester à 37 °C pour éviter la formation du cryoprécipité avant le moment voulu. Les tubes doivent être chauffés avant le prélèvement, puis être maintenus à 37 °C pendant le transport, la coagulation et la centrifugation. Ce n’est qu’ensuite que les tubes sont placés à 4 °C pendant 7 jours. S’il existe, le cryoprécipité est ensuite isolé et quantifié par mesure du cryocrite.
Enfin, pour le cryotypage, le précipité est de nouveau dissous en le remettant à 37 °C, et une immunofixation est réalisée. Ce cryotypage peut être compliqué, voire impossible à réaliser si le cryocrite est de trop petite taille. Il existe de nombreux faux négatifs et, en cas de suspicion clinique de cryoglobulinémie, il ne faut pas hésiter à répéter la recherche de cryoglobuline à plusieurs reprises. Il n’y a pas de grande différence dans la technique entre les cryoglobulinémies de type I et les cryoglobulinémies mixtes : en général, le cryoprécipité apparaît plus vite dans les cryoglobulinémies de type I que dans les cryoglobulinémies mixtes (quelques heures vs plusieurs jours). Le cryocrite est en moyenne plus élevé dans les cryoglobulinémies de type I que dans les cryoglobulinémies mixtes. Mais ce ne sont pas des critères diagnostiques.
Enfin, pour le cryotypage, le précipité est de nouveau dissous en le remettant à 37 °C, et une immunofixation est réalisée. Ce cryotypage peut être compliqué, voire impossible à réaliser si le cryocrite est de trop petite taille. Il existe de nombreux faux négatifs et, en cas de suspicion clinique de cryoglobulinémie, il ne faut pas hésiter à répéter la recherche de cryoglobuline à plusieurs reprises. Il n’y a pas de grande différence dans la technique entre les cryoglobulinémies de type I et les cryoglobulinémies mixtes : en général, le cryoprécipité apparaît plus vite dans les cryoglobulinémies de type I que dans les cryoglobulinémies mixtes (quelques heures vs plusieurs jours). Le cryocrite est en moyenne plus élevé dans les cryoglobulinémies de type I que dans les cryoglobulinémies mixtes. Mais ce ne sont pas des critères diagnostiques.
Autres anomalies biologiques
Lors du dosage du complément, on note une diminution des composants précoces de la cascade du complément : C1q, C2, C4, CH50. Cette diminution du complément est systématique dans les cryoglobulinémies mixtes, le complément étant consommé dans le complexe immun. Dans les cryoglobulinémies de type I, le complément peut être normal ou abaissé.
Le dosage du facteur rhumatoïde, témoin de la présence d’une immunoglobuline (le plus souvent IgM) ayant une activité anti-IgG, est systématiquement positif dans les cryoglobulinémies mixtes. Il doit logiquement être négatif dans les cryoglobulinémies de type I.
Le dosage du facteur rhumatoïde, témoin de la présence d’une immunoglobuline (le plus souvent IgM) ayant une activité anti-IgG, est systématiquement positif dans les cryoglobulinémies mixtes. Il doit logiquement être négatif dans les cryoglobulinémies de type I.
Examen anatomopathologique
Quand cela est possible, il faut biopsier le ou les organes atteints pour confirmer le lien avec la présence de la cryoglobuline. L’aspect diffère en fonction du cryotypage.
Schématiquement, dans les cryoglobulinémies de type I, on observe le cryoprécipité sous forme d’un thrombus hyalin obstruant les vaisseaux de petit calibre. Le plus souvent, il n’y a pas de vascularite associée, même si cela est possible. En immunofluorescence, ce dépôt hyalin est monotypique, IgG ou IgM. Il n’y a pas de dépôt de complément.
Dans les cryoglobulinémies mixtes, l’aspect est celui d’une vascularite avec un infiltrat inflammatoire mixte infiltrant les vaisseaux de petit et moins souvent de moyen calibre. Ainsi, dans la peau, c’est celui d’une vascularite leucocytoclasique. L’aspect habituel dans le rein est celui d’une glomérulonéphrite membranoproliférative de type I très particulière (prolifération endocapillaire faite de monocytes associée à des thrombus capillaires et des membranes basales épaissies en double contour). On note également dans le rein une vascularite des petits vaisseaux péri- et endoneuronaux. À chaque fois, l’immunofluorescence montre des dépôts polytypiques faits d’IgG et d’IgM mais aussi de dépôts de C3.
Schématiquement, dans les cryoglobulinémies de type I, on observe le cryoprécipité sous forme d’un thrombus hyalin obstruant les vaisseaux de petit calibre. Le plus souvent, il n’y a pas de vascularite associée, même si cela est possible. En immunofluorescence, ce dépôt hyalin est monotypique, IgG ou IgM. Il n’y a pas de dépôt de complément.
Dans les cryoglobulinémies mixtes, l’aspect est celui d’une vascularite avec un infiltrat inflammatoire mixte infiltrant les vaisseaux de petit et moins souvent de moyen calibre. Ainsi, dans la peau, c’est celui d’une vascularite leucocytoclasique. L’aspect habituel dans le rein est celui d’une glomérulonéphrite membranoproliférative de type I très particulière (prolifération endocapillaire faite de monocytes associée à des thrombus capillaires et des membranes basales épaissies en double contour). On note également dans le rein une vascularite des petits vaisseaux péri- et endoneuronaux. À chaque fois, l’immunofluorescence montre des dépôts polytypiques faits d’IgG et d’IgM mais aussi de dépôts de C3.
Bilan causal
Il est orienté en fonction du typage de la cryoglobuline (tableau 3) .
Quel traitement ?
Le principe du traitement est différent en fonction du type de la cryoglobuline.9
Cryoglobulines de type I
Le traitement dépend de l’intensité des symptômes liés à la cryoglobuline et du typage exact de l’hémopathie sous-jacente. Il est indispensable de caractériser au mieux le clone, en particulier avec l’examen médullaire :
– s’agit-il d’un clone plasmocytaire (pic le plus souvent IgG ou IgA) ou lymphoplasmocytaire (pic le plus souvent IgM) ?
– s’agit-il d’un clone indolent (myélogramme normal, pic de moins de 20 g/L, stable dans le temps) ou d’une hémopathie évolutive ?
Chez les patients pauci-symptomatiques de leur cryoglobulinémie et avec un clone non évolutif, de simples mesures de protection au froid sont recommandées.
Quand les patients ont des symptômes handicapants en lien avec la cryoglobuline, il faut traiter le clone sous-jacent. S’il s’agit d’une prolifération plasmocytaire, le traitement fait appel à un inhibiteur du protéasome (surtout en cas d’insuffisance rénale), un immunomodulateur type lénalidomide [Revlimid] (en cas de neuropathie) et/ou des agents alkylants. Il n’y a, dans cette situation, aucune indication à proposer une immunothérapie par rituximab.
En revanche, s’il s’agit d’une gammapathie monoclonale de signification indéterminée à IgM ou d’une macroglobulinémie de Waldenström (prolifération CD20+), les traitements de fond qui se discutent sont l’association rituximab-agents alkylants ou rituximab-inhibiteur du protéasome.
Dans les atteintes viscérales graves, il est urgent de faire baisser le taux du composant monoclonal, et les échanges plasmatiques sont alors indiqués, associés à des bolus de corticoïdes et au début rapide la chimiothérapie.
– s’agit-il d’un clone plasmocytaire (pic le plus souvent IgG ou IgA) ou lymphoplasmocytaire (pic le plus souvent IgM) ?
– s’agit-il d’un clone indolent (myélogramme normal, pic de moins de 20 g/L, stable dans le temps) ou d’une hémopathie évolutive ?
Chez les patients pauci-symptomatiques de leur cryoglobulinémie et avec un clone non évolutif, de simples mesures de protection au froid sont recommandées.
Quand les patients ont des symptômes handicapants en lien avec la cryoglobuline, il faut traiter le clone sous-jacent. S’il s’agit d’une prolifération plasmocytaire, le traitement fait appel à un inhibiteur du protéasome (surtout en cas d’insuffisance rénale), un immunomodulateur type lénalidomide [Revlimid] (en cas de neuropathie) et/ou des agents alkylants. Il n’y a, dans cette situation, aucune indication à proposer une immunothérapie par rituximab.
En revanche, s’il s’agit d’une gammapathie monoclonale de signification indéterminée à IgM ou d’une macroglobulinémie de Waldenström (prolifération CD20+), les traitements de fond qui se discutent sont l’association rituximab-agents alkylants ou rituximab-inhibiteur du protéasome.
Dans les atteintes viscérales graves, il est urgent de faire baisser le taux du composant monoclonal, et les échanges plasmatiques sont alors indiqués, associés à des bolus de corticoïdes et au début rapide la chimiothérapie.
Cryoglobulines mixtes
Là encore, le choix du traitement dépend de l’intensité des symptômes liés à la cryoglobulinémie et de la présence ou non d’une pathologie causale facilement accessible à un traitement.
Le traitement de la cause, quand il est possible, est indispensable.10 Si cela est impossible ou si les symptômes de la cryoglobulinémie sont sévères et ne permettent pas d’attendre le contrôle de la pathologie sous-jacente, les traitements immunosuppresseurs, qui, par leur action directe, vont éviter la formation du complexe immun, sont alors indiqués. Que ce soit dans les cryoglobulinémies mixtes liées au VHC ou dans celles relevant d’autres causes, plusieurs séries permettent de recommander l’association rituximab-corticoïdes en première ligne. En effet, dans la littérature, on rapporte plus de 440 patients traités par rituximab dans le cadre de cryoglobulinémies mixtes le plus souvent associées au VHC. On note un taux de rémission complète de 68 %, un taux de rémission partielle de 14 %, et seuls 10 % des patients ne s’améliorent pas. Toutes les atteintes peuvent s’améliorer : ulcères cutanés, manifestations rénales dans 75-90 % des cas et symptômes de neuropathies dans 70 % des cas. De plus, en déplétant les lymphocytes B, on note une diminution du taux de cryoglobuline, du taux de facteur rhumatoïde et une augmentation du nombre de lymphocytes C4, même en l’absence de traitement de la cause. Tous ses résultats sont obtenus sans toxicité significative.11
D’autres traitements immunosuppresseurs comme le cyclophosphamide sont utilisés fréquemment. On peut également citer le mycophénolate mofétil. Ces thérapeutiques doivent être maniées avec prudence dans les cryoglobulémies mixtes d’origine infectieuse car elles peuvent exacerber l’agent infectieux.
Enfin, dans les atteintes sévères et urgentes, les échanges plasmatiques sont utiles dans les premiers temps associés aux corticoïdes puis au rituximab.
Le traitement de la cause est évidement primordial. Il peut suffire quand les symptômes de la cryoglobulinémie sont peu marqués. La plupart des données concernent les cryoglobulinémies dans le cadre d’une hépatite C chronique. Évidemment, le contrôle de l’infection permet un contrôle à long terme de la cryoglobulinémie. Du temps de l’association ribavirine-interféron pégylé, il avait été montré que les meilleurs résultats étaient obtenus en associant cette combinaison avec le rituximab. À l’heure des nouveaux agents antiviraux, plusieurs séries permettent d’affirmer que la présence d’une cryoglobuline mixte ne change rien à leur efficacité sur le contrôle de la virémie ; il est plus difficile de se prononcer sur leur action directe sur les symptômes de la cryoglobulinémie car dans beaucoup de cas rapportés les patients ont reçu du rituximab en même temps.12
En ce qui concerne les autres causes de cryoglobulinémie mixte : en cas de cause infectieuse, on essaie toujours de la traiter. Quand un traitement spécifique est nécessaire, on préfère le rituximab qui a moins de chance d’aggraver l’agent infectieux que les autres immunosuppresseurs.
Dans les cryoglobulinémies mixtes compliquant une pathologie auto-immune, le traitement de la cause et celui de la cryoglobulinémie se rejoignent, et les agents immunosuppresseurs sont à discuter en fonction de la sévérité de la cryoglobulémie et de la pathologie auto-immune.
Le traitement de la cause, quand il est possible, est indispensable.10 Si cela est impossible ou si les symptômes de la cryoglobulinémie sont sévères et ne permettent pas d’attendre le contrôle de la pathologie sous-jacente, les traitements immunosuppresseurs, qui, par leur action directe, vont éviter la formation du complexe immun, sont alors indiqués. Que ce soit dans les cryoglobulinémies mixtes liées au VHC ou dans celles relevant d’autres causes, plusieurs séries permettent de recommander l’association rituximab-corticoïdes en première ligne. En effet, dans la littérature, on rapporte plus de 440 patients traités par rituximab dans le cadre de cryoglobulinémies mixtes le plus souvent associées au VHC. On note un taux de rémission complète de 68 %, un taux de rémission partielle de 14 %, et seuls 10 % des patients ne s’améliorent pas. Toutes les atteintes peuvent s’améliorer : ulcères cutanés, manifestations rénales dans 75-90 % des cas et symptômes de neuropathies dans 70 % des cas. De plus, en déplétant les lymphocytes B, on note une diminution du taux de cryoglobuline, du taux de facteur rhumatoïde et une augmentation du nombre de lymphocytes C4, même en l’absence de traitement de la cause. Tous ses résultats sont obtenus sans toxicité significative.11
D’autres traitements immunosuppresseurs comme le cyclophosphamide sont utilisés fréquemment. On peut également citer le mycophénolate mofétil. Ces thérapeutiques doivent être maniées avec prudence dans les cryoglobulémies mixtes d’origine infectieuse car elles peuvent exacerber l’agent infectieux.
Enfin, dans les atteintes sévères et urgentes, les échanges plasmatiques sont utiles dans les premiers temps associés aux corticoïdes puis au rituximab.
Le traitement de la cause est évidement primordial. Il peut suffire quand les symptômes de la cryoglobulinémie sont peu marqués. La plupart des données concernent les cryoglobulinémies dans le cadre d’une hépatite C chronique. Évidemment, le contrôle de l’infection permet un contrôle à long terme de la cryoglobulinémie. Du temps de l’association ribavirine-interféron pégylé, il avait été montré que les meilleurs résultats étaient obtenus en associant cette combinaison avec le rituximab. À l’heure des nouveaux agents antiviraux, plusieurs séries permettent d’affirmer que la présence d’une cryoglobuline mixte ne change rien à leur efficacité sur le contrôle de la virémie ; il est plus difficile de se prononcer sur leur action directe sur les symptômes de la cryoglobulinémie car dans beaucoup de cas rapportés les patients ont reçu du rituximab en même temps.12
En ce qui concerne les autres causes de cryoglobulinémie mixte : en cas de cause infectieuse, on essaie toujours de la traiter. Quand un traitement spécifique est nécessaire, on préfère le rituximab qui a moins de chance d’aggraver l’agent infectieux que les autres immunosuppresseurs.
Dans les cryoglobulinémies mixtes compliquant une pathologie auto-immune, le traitement de la cause et celui de la cryoglobulinémie se rejoignent, et les agents immunosuppresseurs sont à discuter en fonction de la sévérité de la cryoglobulémie et de la pathologie auto-immune.
Références
1. Brouet JC, Clauvel JP, Danon F, Klein M, Seligmann M. Biologic and clinical significance of cryoglobulins. A report of 86 cases. Am J Med 1974;57:775-88.
2. Ramos-Casals M, Stone JH, Cid MC, Bosch X. The cryoglobulinaemias. Lancet 2012;379:348-60.
3. Monti G, Saccardo F, Pioltelli P, Rinaldi G. The natural history of cryoglobulinemia: symptoms at onset and during follow-up. A report by the Italian Group for the Study of Cryoglobulinemias (GISC). Clin Exp Rheumatol 1995;13:S129-133.
4. Harel S, Mohr M, Jahn I, et al. Clinico-biological characteristics and treatment of type I monoclonal cryoglobulinaemia: a study of 64 cases. Br J Haematol 2015;168:671-8.
5. Terrier B, Karras A, Kahn J-E, et al. The spectrum of type I cryoglobulinemia vasculitis: new insights based on 64 cases. Medicine (Baltimore) 2013;92:61-8.
6. Retamozo S, Díaz-Lagares C, Bosch X, et al. Life-threatening cryoglobulinemic patients with hepatitis C: clinical description and outcome of 279 patients. Medicine (Baltimore) 2013;92:273-84.
7. Trejo O, Ramos-Casals M, García- Carrasco M, et al. Cryoglobulinemia: study of etiologic factors and clinical and immunologic features in 443 patients from a single center. Medicine (Baltimore) 2001;80:252-62.
8. Terrier B, Krastinova E, Marie I, et al. Management of noninfectious mixed cryoglobulinemia vasculitis: data from 242 cases included in the CryoVas survey. Blood 2012;119:5996-6004.
9. Muchtar E, Magen H, Gertz MA. How I treat cryoglobulinemia. Blood 2017;129(3):289–98.
10. Dammacco F, Sansonno D. Therapy for hepatitis C virus-related cryoglobulinemic vasculitis. N Engl J Med 013;369(11):1035–45.
11. Roccatello D, Sciascia S, Rossi D, et al. The challenge of treating hepatitis C virus-associated cryoglobulinemic vasculitis in the era of anti-CD20 monoclonal antibodies and direct antiviral agents. Oncotarget 2017;8(25):41764–77.
12. Sise ME, Bloom AK, Wisocky J, et al. Treatment of hepatitis C virus-associated mixed cryoglobulinemia with direct-acting antiviral agents. Hepatol Baltim Md 2016;63(2):408-17.
2. Ramos-Casals M, Stone JH, Cid MC, Bosch X. The cryoglobulinaemias. Lancet 2012;379:348-60.
3. Monti G, Saccardo F, Pioltelli P, Rinaldi G. The natural history of cryoglobulinemia: symptoms at onset and during follow-up. A report by the Italian Group for the Study of Cryoglobulinemias (GISC). Clin Exp Rheumatol 1995;13:S129-133.
4. Harel S, Mohr M, Jahn I, et al. Clinico-biological characteristics and treatment of type I monoclonal cryoglobulinaemia: a study of 64 cases. Br J Haematol 2015;168:671-8.
5. Terrier B, Karras A, Kahn J-E, et al. The spectrum of type I cryoglobulinemia vasculitis: new insights based on 64 cases. Medicine (Baltimore) 2013;92:61-8.
6. Retamozo S, Díaz-Lagares C, Bosch X, et al. Life-threatening cryoglobulinemic patients with hepatitis C: clinical description and outcome of 279 patients. Medicine (Baltimore) 2013;92:273-84.
7. Trejo O, Ramos-Casals M, García- Carrasco M, et al. Cryoglobulinemia: study of etiologic factors and clinical and immunologic features in 443 patients from a single center. Medicine (Baltimore) 2001;80:252-62.
8. Terrier B, Krastinova E, Marie I, et al. Management of noninfectious mixed cryoglobulinemia vasculitis: data from 242 cases included in the CryoVas survey. Blood 2012;119:5996-6004.
9. Muchtar E, Magen H, Gertz MA. How I treat cryoglobulinemia. Blood 2017;129(3):289–98.
10. Dammacco F, Sansonno D. Therapy for hepatitis C virus-related cryoglobulinemic vasculitis. N Engl J Med 013;369(11):1035–45.
11. Roccatello D, Sciascia S, Rossi D, et al. The challenge of treating hepatitis C virus-associated cryoglobulinemic vasculitis in the era of anti-CD20 monoclonal antibodies and direct antiviral agents. Oncotarget 2017;8(25):41764–77.
12. Sise ME, Bloom AK, Wisocky J, et al. Treatment of hepatitis C virus-associated mixed cryoglobulinemia with direct-acting antiviral agents. Hepatol Baltim Md 2016;63(2):408-17.