Observation. Mme C., 59 ans, se plaint depuis 2 mois d’une diplopie de survenue brutale, qui s’est progressivement aggravée et est devenue permanente, avec apparition d’un ptosis bilatéral. Elle ressent une difficulté à respirer et une fatigue survenant pour des efforts d’intensité modérée ainsi que lors de la mastication prolongée, sans troubles de la déglutition. Elle n’a pas d’antécédent particulier, n’a jamais fumé et ne prend aucun traitement. Elle est cadre dans le secteur du tourisme, mariée et mère d’une fille en bonne santé.
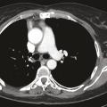
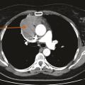
Une imagerie par résonance magnétique (IRM) du crâne réalisée 15 jours après le début des symptômes n’a pas montré d’anomalie. Toutefois, leur persistance et leur aggravation ont fait demander à son médecin traitant un dosage des anticorps antirécepteurs à l’acétylcholine, qui s’est révélé positif, conduisant au diagnostic de myasthénie. Des anticholinestérasiques ont alors été prescrits en première intention, permettant d’améliorer transitoirement les symptômes musculaires. Leur effet est de prolonger l’action de l’acétylcholine au niveau de la membrane post-synaptique par blocage réversible de l’acétylcholinestérase (deux médicaments sont disponibles : la pyridostigmine et l’ambénomium). Dans le cadre du bilan de cette myasthénie, une tomodensitométrie thoracique est pratiquée, qui met en évidence une masse médiastinale antérieure, volumineuse et polylobée évoquant une tumeur thymique (fig. 1).1

Thymome ou hyperplasie thymique ?

Le diagnostic différentiel d’un thymome est l’hyperplasie thymique, vraie ou lymphoïde. L’hyper­plasie thymique vraie, « rebond », doit être envisagée après un stress, des brûlures, l’administration d’une chimiothérapie, d’une radiothérapie, d’un traitement anti­hormonal, ou en cours de grossesse. Une hyperplasie lymphoïde thymique est fréquemment observée chez les patients atteints de vas­cularite, de connectivite, d’hyperthyroïdie ou de myasthénie. Sur la tomodensitométrie, l’hyperplasie thymique est une lésion médiastinale antérieure triangulaire, hétérogène, de densité mixte graisseuse. L’IRM, utilisant des séquences en contraste de phase (shift chimique/séquences Dixon), peut permettre une meilleure identification de cette infiltration graisseuse typique non tumorale : on observe alors une chute du signal en contraste de phase. La tomographie par émission de positons au 18-fluorodésoxyglucose n’est pas utile pour ce diag­nostic différentiel, mais peut être réalisée pour caractériser une lésion métastatique ou récidivante.
Une thymectomie peut être indiquée en cas de myasthénie sans tumeur thymique. Elle a un effet bénéfique sur l’évolutivité de la maladie myasthénique sévère chez le sujet jeune de moins de 40 ans porteur d’une hyperplasie thymique.
En cas de diagnostic de myasthénie, une hyperplasie thymique est notée dans 65 % des cas, mais un thymome dans seulement 15 % des cas.
Une myasthénie existe chez près d’un tiers des patients atteints de ­thymome.2, 3 À l’inverse, seuls 15 % des patients ayant une myasthénie ont un thymome.
La myasthénie peut survenir de façon précessive, synchrone, ou métachrone au diagnostic de thymome. Elle doit faire rechercher une ou des maladie(s) auto-immune(s) associée(s) et nécessite, en cas de suspicion de tumeur thymique, le bilan biologique minimal suivant : hémogramme avec taux de réticulocytes ; électrophorèse des ­protéines sériques avec dosage pon­déral des immunoglobulines ; dosage des créatines phosphokinases (CPK) ; dosage des anticorps antinucléaires et des anticorps antirécepteurs à l’acétylcholine (si positif, pas d’indication d’électromyogramme) ; dosage de la thyréostimuline (TSH).

Confirmation du diagnostic, chimiothérapie néoadjuvante

Le dossier de Mme C. est discuté en réunion de concertation pluridisciplinaire (RCP) RYTHMIC (Réseau tumeurs thymiques et cancer ; www.rythmic.org). Face à cette volumineuse masse thymique avec un doute sur sa réséca­bilité d’emblée, il est décidé dans un premier temps de s’assurer du diagnostic par une biopsie, qui est réalisée par ponction transthoracique. L’analyse du prélèvement effectué confirme le diagnostic de thymome de sous-type B2.
Il existe plusieurs sous-types histologiques des tumeurs thymiques :4
– le thymome A à prédominance de cellules épithéliales fusiformes ;
– le thymome AB, association de ­thymome A et de zones riches en ­lymphocytes ;
– le thymome B1, constitué de cellules épithéliales polygonales peu nombreuses ;
– le thymome B2, association de ­cellules épithéliales polygonales et tumeur riche en lymphocytes ;
– le thymome B3, constitué de cellules épithéliales polygonales avec atypies modérées ;
– le carcinome thymique, constitué de cellules épithéliales polygonales avec fortes atypies, et avec une expression de GLUT1+ fréquente.
On distingue aujourd’hui deux groupes de tumeurs thymiques dites de bas grade (thymome A, AB, B1) et de haut grade (thymome B2 et B3). Le carcinome thymique est de moins bon pronostic car plus agressif que le thymome.
L’évaluation de la résécabilité, fondée sur l’expertise du chirurgien, est la première étape de la prise en charge d’une tumeur thymique. La possibilité d’une résection complète est en effet le facteur pronostique favorable le plus constant et le plus significatif sur la survie sans progression et la survie globale.5
En cas de tumeur localement avancée, la chimiothérapie d’induction a pour objectif l’obtention d’une réponse tumorale permettant une résection chirurgicale complète secondaire.
Chez cette patiente, on décide de prescrire une chimiothérapie néoadjuvante par CAP (cisplatine 50 mg/m², adriamycine 50 mg/m², cyclophosphamide 500 mg/m²). Trois cycles sont reçus, avec une bonne tolérance. L’évaluation RECIST 1.1 décrit une stabilité globale tumorale avec cependant une diminution de 10 % en taille de la lésion. La tumeur est résécable.
Lire aussi | Myasthénie

Prise en charge chirurgicale

Une évaluation neurologique est nécessaire afin d’encadrer le geste chirurgical. Mme C. reçoit ainsi en préopératoire une injection d’immunoglobulines par voie intraveineuse afin d’éviter une exacerbation des symptômes myasthéniques en périopératoire. La chirurgie consiste en une sternotomie médiane, avec exérèse de la tumeur médiastinale et bilobectomie supérieure. Face à l’envahissement péricardique et pulmonaire adjacent, la tumeur est classée stade III (dans la classification de Masaoka-Koga), et stade T3N0M0, soit IIIA (dans la classification TNM). Les marges de résection sont saines (R0).6, 7
La sternotomie médiane est la voie d’abord historique pour la résection des tumeurs thymiques. La thoracotomie antérieure bilatérale avec sternotomie transverse ou la sternotomie longitudinale partielle peuvent être préconisées pour de très volumineuses tumeurs, ou lorsqu’une exérèse pulmonaire semble prévisible.
Les approches à thorax fermé sont aujourd’hui souvent proposées en cas de tumeur de moins de 4 cm sans signes d’invasion.8
L’exérèse complète monobloc doit être le souci permanent, garantissant à elle seule un bon pronostic.
La thymectomie doit être associée à la thymomectomie.

Prise en charge postopératoire

Le dossier de Mme C. est de nouveau présenté en postopé­ratoire à la RCP RYTHMIC. Le stade III de la tumeur a conduit à l’indication d’une radiothérapie. Celle-ci est réalisée après un bilan comportant des explorations fonctionnelles respiratoires et une évaluation de la fonction cardiaque par une échographie transthoracique. La patiente fait l’objet depuis d’une surveillance régulière, sans récidive de sa pathologie tumorale.
La radiothérapie postopératoire doit être validée après discussion en RCP RYTHMIC. Elle est habituellement proposée dans les situations de ­tumeurs invasives, de carcinome ­thymique, ou en cas de résection ­incomplète.
Le suivi régulier est indispensable, car les tumeurs thymiques peuvent récidiver même après plusieurs ­années, et un traitement curatif doit être envisagé à la rechute.
Les modalités de suivi oncologique sont fondées sur un consensus ­d’experts. La proposition de suivi est la suivante :
– première tomodensitométrie thoracique à 3 mois après la résection chirurgicale ;
– en cas de thymome de stade I ou II, après résection complète : tomo­densitométrie thoracique annuelle pendant 5 ans, puis bisannuelle ;
– en cas de thymome de stade III ou IV, de carcinome thymique, ou après ­résection R1 ou R2 : tomodensito­métrie thoracique à 3 mois, puis tous les 6 mois pendant 3 à 5 ans, puis annuellement ;
– poursuite du suivi pendant 10 à 15 années.
La réapparition de signes d’un syndrome auto-immun, en particulier de myasthénie, doit conduire à une recherche précoce de récidive. Ce­pendant, les manifestations auto-­immunes métachrones peuvent apparaître, indépendamment d’une récidive tumorale.

Les tumeurs thymiques : à retenir

Les tumeurs épithéliales du thymus (incluant thymome et carcinome thymique) sont des tumeurs rares (entre 200 et 250 nouveaux cas par an en France). Aucun facteur favorisant le développement de ces tumeurs, en particulier environnemental ou infectieux, n’a été identifié à ce jour.
Près d’un tiers des patients atteints de tumeur épithéliale thymique sont asymptomatiques au diagnostic ; ­environ un tiers des patients ont des symptômes locaux liés à la compression médiastinale (douleurs thoraciques, toux, dyspnée) ; et le tiers restant a une maladie auto-immune associée.

Diagnostic

La première étape face à une lésion médiastinale suspecte de tumeur épithéliale thymique consiste en l’établissement du diagnostic différentiel avec les autres tumeurs du médiastin antérieur et les lésions thymiques non malignes. La tomodensitométrie thoracique est l’examen clé dans ce contexte. La nécessité d’une biopsie préthérapeutique dépend du doute diagnostique, et en outre de la résécabilité de la tumeur.
Les tumeurs épithéliales thymiques représentent la première cause de masse médiastinale antérieure (35 % des cas) ; les diagnostics différentiels les plus pertinents sont les lymphomes (25 % des cas) – maladie de Hodgkin et lymphomes malins non hodgkiniens – et les tumeurs germinales (20 % des cas) – tératomes, ­séminomes, tumeurs germinales malignes non séminomateuses.

Pronostic des tumeurs thymiques

Les facteurs pronostiques les plus significatifs pour la survie des patients atteints de tumeur thymique sont la résection complète chirurgicale et le stade tumoral.
Un élément à prendre en compte est le fait que jusqu’à 60 % des patients atteints de thymome ne décèdent pas de progression tumorale. Le décès est en effet rapporté à une autre cause pour plus d’un tiers des patients, et lié à l’évolution d’une affection auto-­immune dans près de 25 % des cas.

Prise en charge initiale

La chirurgie complète du thymome (thymomectomie) ainsi que du thymus sain (thymectomie) est la priorité.
La chimiothérapie néoadjuvante peut être discutée en fonction de la résécabilité initiale. Une radiothérapie postopératoire doit être validée en RCP RYTHMIC.

Prise en charge des récidives

La prise en charge des récidives de tumeur épithéliale thymique repose sur une stratégie identique à celle conduite lors du traitement initial. Les récidives, observées plus fréquemment en cas de tumeur avancée au diagnostic, de résection chirurgicale incomplète, ou chez les patients non opérés, surviennent le plus souvent dans les 5 années suivant le diag­nostic.
Près de 75 % des récidives surviennent au niveau pleural. Une nouvelle résection complète des lésions récidivantes représente le facteur pronostique le plus significatif dans cette situation, et la chirurgie est ainsi recommandée en cas de lésion récidivante résécable.
En cas de récidive non résécable, ­plusieurs lignes consécutives de chimiothérapie peuvent être administrées. 
Encadre

Le réseau RYTHMIC (Réseau tumeurs thymiques et cancer)

À la suite d’un appel d’offres de l’Institut national du cancer (INCa) en 2010, un réseau de soins national de centres experts sur les thymomes et carcinomes thymiques a été mis en place en 2012 : le réseau RYTHMIC (Réseau tumeurs thymiques et cancer). Les cas de plus de 3 000 patients ont été discutés dans le cadre des réunions de concertation pluridisciplinaires (RCP) organisées par le réseau à ce jour.

Ce réseau s’articule sur 15 centres experts, dont un centre expert national bi-site (institut Gustave-Roussy, Villejuif, et institut Curie, Paris) et 13 centres régionaux ou inter-régionaux. Le coordonnateur en est le Pr Benjamin Besse. L’objectif du réseau est d’uniformiser la prise en charge des patients atteints de tumeur thymique, en particulier grâce à la rédaction du référentiel national et la mise en œuvre de RCP nationales RYTHMIC (par webconférence, deux fois par mois) et régionales.

La recommandation est de présenter tout nouveau dossier de tumeur thymique en réunion de recours régionale afin de valider l’attitude thérapeutique selon le référentiel national et d’enregistrer le dossier dans la base de données nationale. Si le dossier présente des difficultés diagnostiques ou thérapeutiques, il est alors discuté en réunion de concertation pluridisciplinaire de recours national.

Une relecture anatomopathologique nationale, coordonnée par le Pr Thierry Molina (hôpital Necker, Paris), est organisée pour tous les cas présentés en RCP de recours national. £Le réseau permet également la mise en œuvre d’essais thérapeutiques, de programmes de biologie moléculaire et la diffusion d’informations grâce à une formation médicale continue ainsi que grâce au site internet dédié.4

références
1. Bluthgen M, Dansin E, Kerjouan M, et al. P2.04-006 updated incidence of thymic epithelial tumors (TET) in France and clinical presentation at diagnosis. J Thorac Oncol 2017;12:S1000.
2. Evoli A, Lancaster E. Paraneoplastic disorders in thymoma patients. J Thorac Oncol 2014;9:S143-7.
3. Girard N, Mornex F, Van Houtte P, Cordier JF. Thymoma: a focus on current therapeutic management. J Thorac Oncol 2009;4:119-26.
4. www.rythmic.org
5. Girard N, Dansin E, Lena H, et al. MINI25.08 systemic treatment in advanced thymic epithelial tumors. Insights from a prospective cohort of 888 patients enrolled in RYTHMIC. J Thorac Oncol 2015;10:S353.
6. Detterbeck F, Nicholson AG, Kondo K, et al. The Masaoka-Koga stage classification for thymic malignancies: clarification and definition of terms. J Thoracic Oncol 2011;6:S1710-6.
7. Nicholson AG, Detterbeck FC, Marino M, et al. The IASLC/ITMIG thymic epithelial tumors staging project: proposals for the component for the forthcoming (8th) edition of teh TNM classification of malignant tumors. J Thor Oncol 2014;9(9 Suppl 2):S73-80.
8. Toker A, Sonett J, Zielinski M, et al. Standard terms, definitions and policies for minimally invasive resection of thymoma. J Thoracic Oncol 2011;6:S1739-42.

Dans cet article

Ce contenu est exclusivement réservé aux abonnés