Les infections nécrosantes des tissus mous sont un groupe hétérogène de pathologies dont la diversité physiopathologique découle notamment d’une diversité microbiologique (infections monomicrobiennes à streptocoque du groupe A ou à Clostridium difficile, infections polymicrobiennes à entérobactéries…) et anatomique (pyomyosite, fasciite, gangrène…). Leur prise en charge initiale est pourtant à ce jour commune, fondée sur une antibiothérapie à large spectre et un débridement chirurgical urgent. Ceci résulte notamment de l’absence d’éléments cliniques ou paracliniques disponibles à l’admission du patient pour distinguer chaque entité nosologique.
Seule la classification topographique apporte une aide, et les formes cervico-faciales ou abdomino-périnéales (également appelées gangrènes de Fournier) présentent un certain nombre de spécificités diagnostiques et thérapeutiques, qu’il convient de détailler (fig. 1 ).
Les éléments majeurs sont :
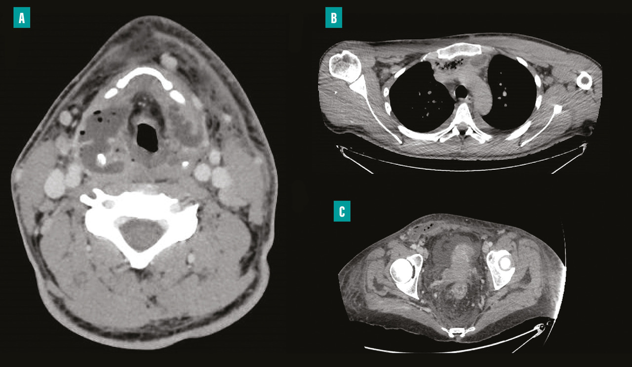
– la présence dans la majorité des cas d’une porte d’entrée à identifier et à traiter dès la phase initiale, avec une importance de l’imagerie pour guider le geste chirurgical (et non pour faire le diagnostic qui reste clinique) [fig. 2 ] ;
– une microbiologie particulière, qui peut faire discuter certaines modifications de l’antibiothérapie initiale ;
– une prise en charge chirurgicale nécessitant l’intervention d’équipes spécialisées ;
– des séquelles fonctionnelles mais aussi psychologiques spécifiques nécessitant une prise en charge adéquate.
Ainsi, les infections nécrosantes des tissus mous cervico-faciales ou abdomino-périnéales imposent, probablement encore plus que celles touchant les membres, une prise en charge dans des centres expérimentés.1
Seule la classification topographique apporte une aide, et les formes cervico-faciales ou abdomino-périnéales (également appelées gangrènes de Fournier) présentent un certain nombre de spécificités diagnostiques et thérapeutiques, qu’il convient de détailler (
Les éléments majeurs sont :
– la présence dans la majorité des cas d’une porte d’entrée à identifier et à traiter dès la phase initiale, avec une importance de l’imagerie pour guider le geste chirurgical (et non pour faire le diagnostic qui reste clinique) [
– une microbiologie particulière, qui peut faire discuter certaines modifications de l’antibiothérapie initiale ;
– une prise en charge chirurgicale nécessitant l’intervention d’équipes spécialisées ;
– des séquelles fonctionnelles mais aussi psychologiques spécifiques nécessitant une prise en charge adéquate.
Ainsi, les infections nécrosantes des tissus mous cervico-faciales ou abdomino-périnéales imposent, probablement encore plus que celles touchant les membres, une prise en charge dans des centres expérimentés.1
Fasciites cervico-faciales : toujours rechercher une extension médiastinale
Du fait de l’existence d’une porte d’entrée potentielle et de leur risque d’extension, les infections nécrosantes cervico-faciales peuvent nécessiter l’intervention simultanée ou coordonnée de chirurgiens stomatologues, maxillo-faciaux, ORL, plasticiens, thoraciques, voire ophtalmologues.
En effet, elles compliquent un foyer infectieux dentaire ou ORL dans respectivement 50 et 20 % des cas, avec une extension médiastinale secondaire objectivée chez 30 % des patients. Cette dernière doit être systématiquement recherchée car elle peut être à l’origine de complications nécessitant dans quelques cas un abord chirurgical thoracique (fig. 2 ).2 Enfin, une thrombose jugulaire n’est pas rare et doit être recherchée sur les examens d’imagerie, en premier lieu un scanner avec injection, afin d’associer un traitement anticoagulant à l’antibiothérapie.
La prise d’anti-inflammatoires non stéroïdiens semble associée à ces infections (bien qu’un lien de causalité ne puisse être réellement affirmé), la prescription de ces molécules étant particulièrement fréquente en dentisterie. De même, la prise de corticoïdes semble associée à un sur-risque de médiastinite.3
Les données microbiologiques disponibles suggèrent que ces infections cervico-faciales sont essentiellement causées par des cocci à Gram positif et des anaérobies sensibles à l’amoxicilline-clavulanate, molécules proposées dans les dernières recommandations françaises, déjà anciennes.2, 4 En pratique, les experts suggèrent l’utilisation en première intention de l’association d’une céphalosporine de 3e génération et du métronidazole, dans l’idée d’optimiser la diffusion au sein des multiples abcès ou logettes fréquemment présents. Une surveillance active de la microbiologie reste de mise et les facteurs habituels d’acquisition de germes résistants doivent être pris en compte.5
Les fasciites cervico-faciales sont particulières en raison de leur communication avec la cavité oropharyngée qui peut alimenter en continu le foyer infectieux. Des pansements plurijournaliers (trois fois par jour en général) peuvent être nécessaires.
Enfin, la gestion des voies aériennes est un enjeu du fait d’un risque d’obstruction de la sphère oropharyngée.
En effet, elles compliquent un foyer infectieux dentaire ou ORL dans respectivement 50 et 20 % des cas, avec une extension médiastinale secondaire objectivée chez 30 % des patients. Cette dernière doit être systématiquement recherchée car elle peut être à l’origine de complications nécessitant dans quelques cas un abord chirurgical thoracique (
La prise d’anti-inflammatoires non stéroïdiens semble associée à ces infections (bien qu’un lien de causalité ne puisse être réellement affirmé), la prescription de ces molécules étant particulièrement fréquente en dentisterie. De même, la prise de corticoïdes semble associée à un sur-risque de médiastinite.3
Les données microbiologiques disponibles suggèrent que ces infections cervico-faciales sont essentiellement causées par des cocci à Gram positif et des anaérobies sensibles à l’amoxicilline-clavulanate, molécules proposées dans les dernières recommandations françaises, déjà anciennes.2, 4 En pratique, les experts suggèrent l’utilisation en première intention de l’association d’une céphalosporine de 3e génération et du métronidazole, dans l’idée d’optimiser la diffusion au sein des multiples abcès ou logettes fréquemment présents. Une surveillance active de la microbiologie reste de mise et les facteurs habituels d’acquisition de germes résistants doivent être pris en compte.5
Les fasciites cervico-faciales sont particulières en raison de leur communication avec la cavité oropharyngée qui peut alimenter en continu le foyer infectieux. Des pansements plurijournaliers (trois fois par jour en général) peuvent être nécessaires.
Enfin, la gestion des voies aériennes est un enjeu du fait d’un risque d’obstruction de la sphère oropharyngée.
Formes abdomino-périnéales : particulièrement délabrantes
Décrites par Jean-Alfred Fournier en 1883, les formes abdomino-périnéales sont particulièrement délabrantes et complexes à prendre en charge : une récente série recense 83 % d’admission en réanimation, contre 50 % seulement pour les infections nécrosantes des tissus mous toutes localisations confondues.6 Comme les atteintes cervico-faciales, elles compliquent dans la majorité des cas une porte d’entrée locale. Dans une revue rétrospective de 1 726 cas, une porte d’entrée cutanée, digestive, proctologique, urologique ou gynécologique était retrouvée à la prise en charge initiale dans 64 % des cas.7 Les chirurgiens des différentes spécialités peuvent donc être amenés à intervenir conjointement de façon urgente, et la prise en charge dans un centre expérimenté pourrait améliorer le pronostic.1 Il est important de noter que, comme dans les infections nécrosantes des tissus mous en général, un retard diagnostique est fréquent. Une récente étude suggère que cela serait un facteur modifiable, la moitié des patients consultant un praticien dans les semaines précédant le diagnostic de gangrène de Fournier.8
La documentation est polymicrobienne dans la majorité des cas, avec une sur-représentation des anaérobies du genre Bacteroides, des entérocoques et des bactéries non fermentantes par rapport aux atteintes des autres sites.7, 9, 10 Cela justifie une antibiothérapie de large spectre de type pipéracilline-tazobactam et peut faire discuter l’adjonction de métronidazole, même si cela ne figure pas stricto sensu dans les recommandations françaises ou internationales.
La localisation des plaies postopératoires les rend particulièrement à risque d’infections secondaires par souillure directe. Des gestes de dérivation digestive ou urinaire temporaires sont nécessaires dans un cas sur deux.6 Bien que largement fondé sur l’expérience, l’apport des pansements à pression négative semble avoir amélioré la prise en charge postopératoire de ces patients.
Les séquelles sphinctériennes, la dysfonction sexuelle et les conséquences psychologiques associées à ces atteintes abdomino-périnéales nécessitent un dépistage et un suivi particulier.11
La documentation est polymicrobienne dans la majorité des cas, avec une sur-représentation des anaérobies du genre Bacteroides, des entérocoques et des bactéries non fermentantes par rapport aux atteintes des autres sites.7, 9, 10 Cela justifie une antibiothérapie de large spectre de type pipéracilline-tazobactam et peut faire discuter l’adjonction de métronidazole, même si cela ne figure pas stricto sensu dans les recommandations françaises ou internationales.
La localisation des plaies postopératoires les rend particulièrement à risque d’infections secondaires par souillure directe. Des gestes de dérivation digestive ou urinaire temporaires sont nécessaires dans un cas sur deux.6 Bien que largement fondé sur l’expérience, l’apport des pansements à pression négative semble avoir amélioré la prise en charge postopératoire de ces patients.
Les séquelles sphinctériennes, la dysfonction sexuelle et les conséquences psychologiques associées à ces atteintes abdomino-périnéales nécessitent un dépistage et un suivi particulier.11
Références
1. Sorensen MD, Krieger JN. Fournier’s gangrene: Epidemiology and outcomes in the general US population. Urol Int 2016;97(3):249-59.
2. Gunaratne DA, Tseros EA, Hasan Z, Kudpaje AS, Suruliraj A, Smith MC, et al. Cervical necrotizing fasciitis: Systematic review and analysis of 1235 reported cases from the literature. Head Neck 2018;40(9):2094-102.
3. Nougué H, Le Maho AL, Boudiaf M, Blancal JP, Gayat E, Le Dorze M, et al. Clinical and imaging factors associated with severe complications of cervical necrotizing fasciitis. Intensive Care Med 2015;41(7):1256-63.
4. SPILF et SFD. Conférence de consensus. Érysipèle et fasciite nécrosante : prise en charge. Med Mal Inf 2000;30:241-5.
5. Thy M, Tanaka S, Tran-Dinh A, Ribeiro L, Lortat-Jacob B, Donadio J, et al. Dynamic changes in microbial composition during necrotizing soft-tissue infections in ICU patients. Front Med 2021;7:609497.
6. Mongereau M, Hua C, Urbina T, Woerther PL, Pelegrin T, de Angelis N, et al. Abdominoperineal necrotizing soft tissue infection: A single-center retrospective study of 61 patients including short- and medium-term source of infection check. J Eur Acad Dermatol Venereol 2022;online.
7. Eke N. Fournier’s gangrene: A review of 1726 cases. British Journal of Surgery 2002;87(6):718-28.
8. Erickson BA, Miller AC, Warner HL, Drobish JN, Koeneman SH, Cavanaugh JE, et al. Understanding the prodrome of necrotizing soft tissue infections of the genitalia (Fournier’s gangrene) and the incidence, duration, and risk factors associated with potential missed opportunities for an earlier diagnosis: A population-based longitudinal study. J Urol 2022;10:1097.
9. Madsen MB, Skrede S, Perner A, Arnell P, Nekludov M, Bruun T, et al. Patient’s characteristics and outcomes in necrotizing soft-tissue infections: Results from a Scandinavian, multicentre, prospective cohort study. Intensive Care Med 2019;45(9):1241-51.
10. Tang LM, Su YJ, Lai YC. The evaluation of microbiology and prognosis of Fournier’s gangrene in past five years. SpringerPlus 2015;4(1):14.
11. Urbina T, Canoui-Poitrine F, Hua C, Layese R, Alves A, Ouedraogo R, et al. Long-term quality of life in necrotizing soft-tissue infection survivors: A monocentric prospective cohort study. Ann Intensive Care 2021;11(1):102.
2. Gunaratne DA, Tseros EA, Hasan Z, Kudpaje AS, Suruliraj A, Smith MC, et al. Cervical necrotizing fasciitis: Systematic review and analysis of 1235 reported cases from the literature. Head Neck 2018;40(9):2094-102.
3. Nougué H, Le Maho AL, Boudiaf M, Blancal JP, Gayat E, Le Dorze M, et al. Clinical and imaging factors associated with severe complications of cervical necrotizing fasciitis. Intensive Care Med 2015;41(7):1256-63.
4. SPILF et SFD. Conférence de consensus. Érysipèle et fasciite nécrosante : prise en charge. Med Mal Inf 2000;30:241-5.
5. Thy M, Tanaka S, Tran-Dinh A, Ribeiro L, Lortat-Jacob B, Donadio J, et al. Dynamic changes in microbial composition during necrotizing soft-tissue infections in ICU patients. Front Med 2021;7:609497.
6. Mongereau M, Hua C, Urbina T, Woerther PL, Pelegrin T, de Angelis N, et al. Abdominoperineal necrotizing soft tissue infection: A single-center retrospective study of 61 patients including short- and medium-term source of infection check. J Eur Acad Dermatol Venereol 2022;online.
7. Eke N. Fournier’s gangrene: A review of 1726 cases. British Journal of Surgery 2002;87(6):718-28.
8. Erickson BA, Miller AC, Warner HL, Drobish JN, Koeneman SH, Cavanaugh JE, et al. Understanding the prodrome of necrotizing soft tissue infections of the genitalia (Fournier’s gangrene) and the incidence, duration, and risk factors associated with potential missed opportunities for an earlier diagnosis: A population-based longitudinal study. J Urol 2022;10:1097.
9. Madsen MB, Skrede S, Perner A, Arnell P, Nekludov M, Bruun T, et al. Patient’s characteristics and outcomes in necrotizing soft-tissue infections: Results from a Scandinavian, multicentre, prospective cohort study. Intensive Care Med 2019;45(9):1241-51.
10. Tang LM, Su YJ, Lai YC. The evaluation of microbiology and prognosis of Fournier’s gangrene in past five years. SpringerPlus 2015;4(1):14.
11. Urbina T, Canoui-Poitrine F, Hua C, Layese R, Alves A, Ouedraogo R, et al. Long-term quality of life in necrotizing soft-tissue infection survivors: A monocentric prospective cohort study. Ann Intensive Care 2021;11(1):102.