à Objectifs :
– éviter une prise en charge retardée qui peut doubler la morbidité ;
– diminuer le diagnostic par excès, et donc un traitement inutile, source de complications.
à C’est une urgence chirurgicale.
ÃParticularités chez l’enfant
à Plus rare et potentiellement plus trompeuse et grave chez l’enfant d’âge préscolaire (tableau 1 ).
à Pathologie associant obstruction, ischémie et infection secondaire, évoluant en 24 à 36 heures selon 5 stades (tableau 2 ).
à Première consultation : tardive, surtout chez les jeunes enfants qui ne se sont pas plaints, et les adolescents qui l’ont négligée.
à Si retard initial (parfois de 24 heures ou plus) : demander un avis urgent en chirurgie pédiatrique +++
à Bactéries en cause : résistantes, dans un quart à un tiers des cas, aux antibiotiques courants, en particulier l’amoxicilline-acide clavulanique.
à Chez les petits enfants, le grand omentum (ou grand épiploon), court, n’isole pas l’appendice infecté, qui peut ainsi inoculer la cavité abdomino- pelvienne, favorisant la survenue rapide d’abcès.
à Quand l’évoquer ?
– éviter une prise en charge retardée qui peut doubler la morbidité ;
– diminuer le diagnostic par excès, et donc un traitement inutile, source de complications.
à C’est une urgence chirurgicale.
ÃParticularités chez l’enfant
à Plus rare et potentiellement plus trompeuse et grave chez l’enfant d’âge préscolaire (
à Pathologie associant obstruction, ischémie et infection secondaire, évoluant en 24 à 36 heures selon 5 stades (
à Première consultation : tardive, surtout chez les jeunes enfants qui ne se sont pas plaints, et les adolescents qui l’ont négligée.
à Si retard initial (parfois de 24 heures ou plus) : demander un avis urgent en chirurgie pédiatrique +++
à Bactéries en cause : résistantes, dans un quart à un tiers des cas, aux antibiotiques courants, en particulier l’amoxicilline-acide clavulanique.
à Chez les petits enfants, le grand omentum (ou grand épiploon), court, n’isole pas l’appendice infecté, qui peut ainsi inoculer la cavité abdomino- pelvienne, favorisant la survenue rapide d’abcès.
à Quand l’évoquer ?
Devant une histoire typique
à Signes (après 5 ans) :
– douleurs abdominales récentes (moins de 3 jours), initialement modérées, épigastriques ou péri-ombilicales, migrant en quelques heures à la fosse iliaque droite ;
– avec anorexie, nausées, vomissements et fièvre (37,5-38 °C).
à Cliniquement :
– langue saburrale ;
– défense ou au moins douleur provoquée de la fosse iliaque droite ;
– tendance à marcher penché à droite.
à Éliminer un diagnostic différentiel par un bilan exhaustif : lymphadénite mésentérique aiguë, inflammation d’un diverticule de Meckel, appendicite à adénovirus, péritonite primitive à pneumocoques, maladie de Crohn, yersiniose, tuberculose.
– douleurs abdominales récentes (moins de 3 jours), initialement modérées, épigastriques ou péri-ombilicales, migrant en quelques heures à la fosse iliaque droite ;
– avec anorexie, nausées, vomissements et fièvre (37,5-38 °C).
à Cliniquement :
– langue saburrale ;
– défense ou au moins douleur provoquée de la fosse iliaque droite ;
– tendance à marcher penché à droite.
à Éliminer un diagnostic différentiel par un bilan exhaustif : lymphadénite mésentérique aiguë, inflammation d’un diverticule de Meckel, appendicite à adénovirus, péritonite primitive à pneumocoques, maladie de Crohn, yersiniose, tuberculose.
Devant un tableau trompeur
à Chez le nouveau-né à terme :
– très grave, elle évoque une entérocolite nécrosante atypique ;
– prise en charge en réanimation et chirurgie pédiatrique.
à Chez les moins de 5 ans (d’autant plus qu’ils sont plus jeunes) :
– température souvent > 38 °C ;
– pas de défense pariétale ;
– inflammation péritonéale se traduisant par un ballonnement et une diarrhée (à ne pas confondre avec une gastroentérite aiguë).
à Douleur spontanée et provoquée du flanc droit évoluant jusqu’au stade d’abcès fébrile sans le moindre trouble digestif, en cas d’appendice rétrocæcal (pouvant être complètement extrapéritonéal).
à Boiterie par contracture réflexe du psoas, en arrière d’un appendice enflammé rétrocæcal ou non. Entre 3 et 10 ans, ne pas conclure hâtivement à un rhume de hanche.
à Douleur hypogastrique ou iliaque droite déclenchée ou exacerbée par la miction (fausse dysurie) si appendicite aiguë pelvienne (au stade d’abcès du Douglas). Une bandelette urinaire positive aux leucocytes peut faire errer (un toucher rectal est utile).
à Symptômes + signes à gauche et occlusion fébrile, comme chez l’adulte, en cas d’appendicite en position mésocæliaque.
– très grave, elle évoque une entérocolite nécrosante atypique ;
– prise en charge en réanimation et chirurgie pédiatrique.
à Chez les moins de 5 ans (d’autant plus qu’ils sont plus jeunes) :
– température souvent > 38 °C ;
– pas de défense pariétale ;
– inflammation péritonéale se traduisant par un ballonnement et une diarrhée (à ne pas confondre avec une gastroentérite aiguë).
à Douleur spontanée et provoquée du flanc droit évoluant jusqu’au stade d’abcès fébrile sans le moindre trouble digestif, en cas d’appendice rétrocæcal (pouvant être complètement extrapéritonéal).
à Boiterie par contracture réflexe du psoas, en arrière d’un appendice enflammé rétrocæcal ou non. Entre 3 et 10 ans, ne pas conclure hâtivement à un rhume de hanche.
à Douleur hypogastrique ou iliaque droite déclenchée ou exacerbée par la miction (fausse dysurie) si appendicite aiguë pelvienne (au stade d’abcès du Douglas). Une bandelette urinaire positive aux leucocytes peut faire errer (un toucher rectal est utile).
à Symptômes + signes à gauche et occlusion fébrile, comme chez l’adulte, en cas d’appendicite en position mésocæliaque.
Autres circonstances de découverte
à Sepsis très grave :
– forme évoluée compliquée de septicémie et/ou de phlébite de la veine porte (VP) avec abcès hépatiques ;
– seule l’imagerie oriente dans ce cas.
à Au cours d’une autre maladie : survenue d’une phlébite de la VP lors d’une varicelle ou exceptionnellement dans l’évolution d’un purpura rhumatoïde.
ÃArguments paracliniques
– forme évoluée compliquée de septicémie et/ou de phlébite de la veine porte (VP) avec abcès hépatiques ;
– seule l’imagerie oriente dans ce cas.
à Au cours d’une autre maladie : survenue d’une phlébite de la VP lors d’une varicelle ou exceptionnellement dans l’évolution d’un purpura rhumatoïde.
ÃArguments paracliniques
Signes d’infection bactérienne
à En faveur du diagnostic : leucocytes > 12 000/mm3, neutrophiles > 10 000/mm3, CRP > 30 mg/L, procalcitonine (PCT) > 0,18 mg/L (taux croissant avec la gravité des lésions).
à CRP et/ou PCT normales : valeur prédictive négative de 90 à 95 %.
à Interleukines 6 et 8 : marqueurs plus sensibles et précoces, mais non courants.
à CRP et/ou PCT normales : valeur prédictive négative de 90 à 95 %.
à Interleukines 6 et 8 : marqueurs plus sensibles et précoces, mais non courants.
Imagerie
à Pas d’ASP en première intention (directive européenne 97/43) car très peu contributive au diagnostic.
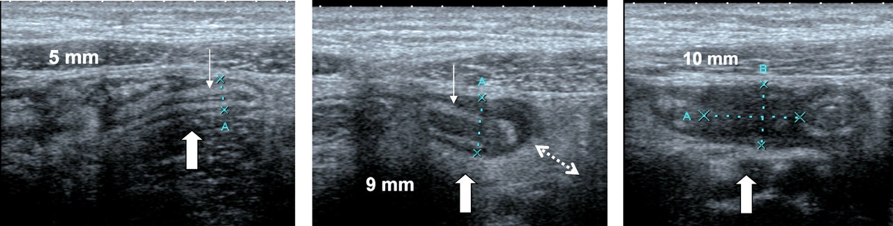
à Échographie avec compression dosée :
– non irradiante, peut être répétée ;
– l’examen de l’ensemble de l’abdomen peut montrer d’autres lésions : fréquentes (hyperplasie lymphoïde, lymphadénite) ou rares (tumeur, kyste du cholédoque), évitant chirurgie et appendicectomie inutiles ;
– critères consensuels : importance d’un examen exhaustif de la valvule à la pointe (figure ) ;
– permettrait de limiter à 8 %, sans erreur par défaut, le taux de chirurgies superflues ;
– autre avantage : précise la topographie de l’appendice malade et d’éventuelles collections.
à Tomodensitométrie avec injection :
– difficile à interpréter chez le petit enfant à la graisse absente ou mince ;
– seulement si échographie non concluante, et si gravité imposant une décision thérapeutique rapide.
à Clinique pauvre : que faire ?
à Chez l’enfant d’âge scolaire : possible appendicite aiguë au stade initial => répéter l’examen clinique, au mieux par le même médecin, les dosages biologiques et l’échographie dans les 12-24 heures.
à Si âge préscolaire : retard non tolérable => adresser rapidement vers une équipe spécialisée (avec expérience en échographie pédiatrique).
à Antalgiques : pas contre-indiqués, surtout si l’on réexamine l’enfant périodiquement.
à Jeûne : à éviter, peut masquer l’évolution vers une occlusion (les vomissements alertent).
à Tout traitement antibiotique « d’épreuve » est à proscrire.
à Échographie avec compression dosée :
– non irradiante, peut être répétée ;
– l’examen de l’ensemble de l’abdomen peut montrer d’autres lésions : fréquentes (hyperplasie lymphoïde, lymphadénite) ou rares (tumeur, kyste du cholédoque), évitant chirurgie et appendicectomie inutiles ;
– critères consensuels : importance d’un examen exhaustif de la valvule à la pointe (
– permettrait de limiter à 8 %, sans erreur par défaut, le taux de chirurgies superflues ;
– autre avantage : précise la topographie de l’appendice malade et d’éventuelles collections.
à Tomodensitométrie avec injection :
– difficile à interpréter chez le petit enfant à la graisse absente ou mince ;
– seulement si échographie non concluante, et si gravité imposant une décision thérapeutique rapide.
à Clinique pauvre : que faire ?
à Chez l’enfant d’âge scolaire : possible appendicite aiguë au stade initial => répéter l’examen clinique, au mieux par le même médecin, les dosages biologiques et l’échographie dans les 12-24 heures.
à Si âge préscolaire : retard non tolérable => adresser rapidement vers une équipe spécialisée (avec expérience en échographie pédiatrique).
à Antalgiques : pas contre-indiqués, surtout si l’on réexamine l’enfant périodiquement.
à Jeûne : à éviter, peut masquer l’évolution vers une occlusion (les vomissements alertent).
à Tout traitement antibiotique « d’épreuve » est à proscrire.