objectifs
Diagnostiquer une grossesse extra-utérine.
Identifier les situations d'urgences et planifier leur prise en charge.
La grossesse extra-utérine, également appelée grossesse ectopique, est une grossesse développée en dehors de la cavité utérine. La présentation la plus fréquente est la grossesse tubaire, avec une nidation dans la trompe : dans sa partie ampullaire dans 70 % des cas, isthmique dans 20 % des cas, et plus occasionnellement pavillonnaire dans 5 % des cas.
Dans de rares cas, on peut assister à une nidation dans la partie interstitielle de la trompe (grossesse interstitielle), dans l’ovaire (grossesse ovarienne), dans l’abdomen (grossesse abdominale), dans le col de l’utérus (grossesse cervicale) ou sur une cicatrice de césarienne (fig. 1).
Le terme de grossesse ectopique est donc plus approprié que celui de grossesse extra-utérine étant donné la localisation de certaines grossesses ectopiques au niveau du col utérin, d’une cicatrice de césarienne ou de la portion interstitielle de la trompe qui sont des grossesses ectopiques intra-utérines mais extra- cavitaires. Le terme de grossesse ectopique sera donc utilisé par la suite.
L’incidence des grossesses ectopiques est en constante augmentation. Elle est estimée en France à 2 % des grossesses. Elle demeure la première cause de décès maternel au premier trimestre de grossesse.

Facteurs de risque

Physiologiquement, la fécondation a lieu dans le tiers distal de la trompe, puis l’œuf fécondé migre vers la cavité utérine où il entame sa nidation 7 jours après.
Les facteurs de risque de grossesse ectopique sont donc tous les facteurs altérant la motilité des cils de la trompe responsables du cheminement de l’œuf jusqu’à la cavité utérine.
Les infections génitales hautes incluent les salpingites, les endo­métrites et leurs complications. Les salpingites sont des infections sexuellement transmissibles. Le risque relatif de grossesse ectopique est de 6 en cas d’antécédent d’infection génitale haute et le germe le plus fréquemment en cause est Chlamydia trachomatis.
La relation causale entre tabac et grossesse ectopique est établie avec une relation dose-effet.
Les antécédents de chirurgie tubaire mais aussi abdomino­pelvienne à risque d’adhérences.
Les autres causes d’altération de la paroi tubaire : endométriose, tuber­culose, bilharziose, malformation utérine ou tubaire.
L’âge maternel élevé, notamment après 35 ans.
Certains types de contraception : microprogestatif, dispositif intra- utérin (risque relatif = 3).
La fécondation in vitro (des grossesses ectopiques surviennent dans 4,5 % des cas). Pour ces patientes, il faut penser aux grossesses hétérotopiques qui correspondent à la coexistence de deux grossesses simultanées : une grossesse intra-utérine et une grossesse ectopique.

Diagnostic

La grossesse extra-utérine est une urgence diagnostique et thérapeutique. Elle doit être suspectée chez toute femme en âge de procréer consultant pour des douleurs pelviennes associées à des métrorragies. Cet élément justifie la réalisation systématique de bêta-HCG urinaires chez toute femme en âge de procréer consultant pour des douleurs pelviennes.

Interrogatoire

Il doit s’atteler à rechercher des facteurs de risque de grossesse extra-utérine. Il doit aussi faire préciser la parité, la date des dernières règles, l’utilisation d’une éventuelle contraception, la notion de rapports sexuels récents. Il faut aussi faire préciser la localisation de la douleur, son intensité et l’existence d’épisodes de malaise qui sont un élément de gravité et orientent vers une grossesse ectopique compliquée d’une rupture tubaire. L’existence d’une douleur projetée au niveau des épaules est en faveur de l’existence d’un épanchement pelvien pouvant correspondre à un hémopéritoine. La symptomatologie peut être extrêmement variable, allant de la douleur peu intense à la grossesse extra-utérine rompue avec douleurs abdominales intenses, malaise et instabilité hémodynamique. Des métrorragies brunâtres (ou sépia) de faible abondance sont souvent présentes.

Examen clinique

Le premier temps essentiel de l’examen clinique est la prise des constantes afin d’éliminer une instabilité hémodynamique.
La présence de signes d’insuffisance circulatoire aiguë oriente vers le diagnostic de grossesse ectopique compliquée d’une rupture tubaire, qui est une urgence vitale.
Réalisation d’une bandelette urinaire ainsi que de bêta-HCG urinaires.
La palpation abdominale recherchera une douleur pelvienne latéralisée, ou une défense, présente en cas d’hémopéritoine associé. L’examen sous spéculum visualise un col sain avec des métrorragies peu abondantes de sang marron issues de l’endo­col. Le toucher vaginal objective une douleur à la palpation du cul-de-sac de Douglas latéralisée du côté de la grossesse ectopique.

Échographie pelvienne

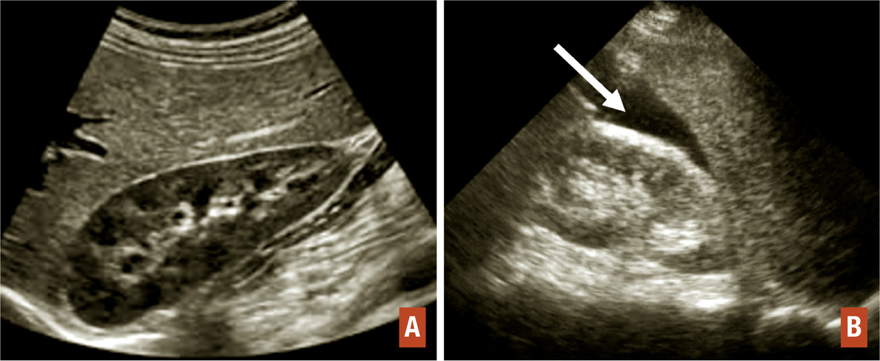
Elle constitue l’examen clé du diagnostic. Elle doit être réalisée par voie abdominale, puis par voie endovaginale à vessie vide. L’espace de Morrison situé entre le foie et le rein droit doit être systématiquement examiné par voie abdominale. La présence d’un épanchement dans cet espace signe la présence d’un hémopéritoine abondant (fig. 2).
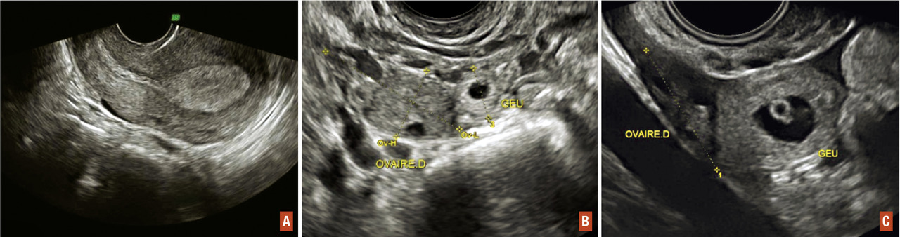
L’échographie par voie endovaginale visualise (fig. 3) des signes indirects tels que :
  • un endomètre épaissi ;
  • une vacuité utérine ;
  • un épanchement péritonéal en cas de grossesse ectopique compliquée d’une rupture tubaire ;
ou des signes directs :
  • une masse latéro-utérine entre l’utérus et l’ovaire qui est constituée d’un sac gestationnel dans seulement 20 % des cas (où il faut alors rechercher un embryon et une éventuelle activité cardiaque). Dans la majorité des cas, il s’agit d’une masse hétérogène (hématosalpinx ou trophoblaste intratubaire).

Examens biologiques

Le dosage quantitatif d’HCG plasmatique est indispensable. À la valeur seuil de 1 500 UI/mL, la non-visualisation d’un sac intra-­utérin est fortement évocatrice du diagnostic de grossesse ectopique.
En cas de suspicion de grossesse ectopique, il faudra réaliser le bilan suivant :
  • Hémocue en cas d’instabilité hémodynamique ;
  • bilan préopératoire : NFS, TP, TCA ;
  • bilan pré-méthotrexate : bilan hépatique, ionogramme sanguin, urée, créatininémie ;
  • groupe sanguin, rhésus, RAI : la détermination du groupe sanguin est primordiale dans ce contexte afin d’éviter une allo-­immunisation rhésus en administrant des immunoglobulines anti-D (Rhophylac) aux patientes de Rhésus négatif. De même, le groupe sanguin est indispensable en raison du risque de transfusion.
La patiente devra également avoir une consultation d’anesthésie dans l’éventualité d’une chirurgie.

Diagnostics différentiels

Chez une patiente présentant des douleurs et/ou des métrorragies, d’autres diagnostics peuvent être évoqués, mais la grossesse ectopique doit être éliminée en priorité.
En cas de bêta-HCG positifs :
  • grossesse de localisation indéterminée ;
  • grossesse intra-utérine évolutive ou non ;
  • fausse couche spontanée ;
  • môle hydatiforme.
En cas de bêta-HCG négatifs :
  • kyste ovarien et ses complications : rupture hémorragique du corps jaune, torsion d’annexe, kyste hémorragique ;
  • autres causes de métrorragies : tumeur du col utérin, lésion traumatique cervico-vaginale, fibrome ;
  • autres causes de douleurs pelviennes : salpingite aiguë, colique néphrétique.
Pour comprendre les grossesses de localisation indéterminée : une grossesse de localisation indéterminée correspond à une grossesse pour laquelle le taux de bêta-HCG est inférieur à 1 500 UI/L sans visualisation de sac gestationnel intra-utérin ni de masse latéro-utérine à l’échographie pelvienne. Cette situation peut correspondre à 3 diagnostics différents : une grossesse intra- utérine évolutive, une grossesse intra-utérine arrêtée ou une grossesse ectopique. En effet, dans certains cas de grossesse intra-utérine évolutive, il n’est pas forcément anormal de ne pas visualiser de sac gestationnel intra-utérin en dessous du seuil de bêta-HCG de 1 500 UI/L.
Comment faire en pratique ?
Il faut répéter le dosage de bêta-HCG sanguin ainsi que l’échographie pelvienne toutes les 48 heures jusqu’à aboutir à un diagnostic formel.
Grossesse intra-utérine évolutive :
  • doublement des bêta-HCG sanguins toutes les 48 heures ;
  • apparition d’un sac gestationnel intra-utérin avec vésicule vitelline. La présence d’une vésicule vitelline signe de manière certaine la localisation intra-utérine de la grossesse.
Grossesse ectopique :
  • augmentation sans doublement, voire stagnation des bêta-HCG sanguins toutes les 48 heures ;
  • vacuité utérine et apparition d’une masse latéro-utérine.
  • grossesse intra-utérine arrêtée ;
  • décroissance des bêta-HCG sanguins toutes les 48 heures ;
  • pas d’apparition de sac gestationnel intra-utérin ni de masse latéro-utérine.

Prise en charge

Urgence

La présence d’un seul de ces critères définit l’urgence chirurgicale :
  • instabilité hémodynamique ;
  • défense abdominale ;
  • hémopéritoine à l’échographie.
Conduite à tenir :
  • mise en place de 2 voies veineuses périphériques de bon calibre ;
  • mise en place de 500 mL de sérum physiologique en débit libre ;
  • appel du médecin anesthésiste ;
  • laisser la patiente à jeun ;
  • passage rapide au bloc opératoire pour cœlioscopie exploratrice et thérapeutique.
Un traitement chirurgical sera également indiqué en cas de :
  • taux de bêta-HCG sanguin supérieur à 5 000 UI/L ;
  • grossesse ectopique tubaire avec embryon ayant une activité cardiaque ;
  • patiente algique.
Pour les autres patientes sans critères d’instabilité hémodynamique, il existe deux options thérapeutiques pour la prise en charge des grossesses ectopiques tubaires : le traitement médical ou le traitement chirurgical par cœlioscopie.

Traitement médical

Le traitement médical correspond à une injection intramusculaire de méthotrexate à la dose de 1 mg/kg avec surveillance de 2 heures au décours. Cette injection s’effectue après avoir vérifié l’absence de contre-indication (tableau).
La patiente doit être informée des effets secondaires possibles du métho­trexate : hématologiques (leucopénie, anémie, thrombopénie), digestifs (nausées), hépatiques (élévation des transaminases, hépatite aiguë), rénaux (insuffisance rénale), cutanés (prurit, érythème) et respiratoires (pneumopathie interstitielle). La patiente doit être informée qu’en cas de douleur brutale ou de malaise, elle doit revenir aux urgences en raison du risque de rupture tubaire. Elle doit aussi être informée du risque de douleur peu intense du côté de la grossesse ectopique autour de J3 de l’injection de méthotrexate. Le risque d’échec du traitement médical avec recours à un traitement chirurgical est d’environ 25 %.
Surveillance après traitement par méthotrexate : les patientes sont systématiquement reconvoquées à J7 pour un dosage des bêta- HCG sanguins et pour un examen clinique afin de vérifier l’efficacité et la tolérance du traitement. Un contrôle écho­graphique peut être réalisé au moindre doute sur un hémopéritoine. Si une élévation des bêta-HCG est constatée à J7, une deuxième injection de méthotrexate est possible.
On surveille également la bonne tolérance du traitement en prélevant un bilan hépatique et rénal. Il existe effectivement de rares cas d’hépatites aiguës post-méthotrexate.
Le taux de bêta-HCG sanguin est ensuite surveillé chaque semaine jusqu’à négativation correspondant à un taux inférieur à 2 UI/L.

Traitement chirurgical

La voie d’abord privilégiée est la cœlioscopie. Elle est réalisée sous anesthésie générale au bloc opératoire. Elle comporte deux temps : l’exploration de la cavité péritonéale et le traitement.
L’exploration recherche un hémopéritoine, explore l’utérus, les ovaires et les trompes et recherche des facteurs évoquant une infection génitale haute (péri-hépatite à Chlamydia notamment, autrement appelée syndrome de Fitz-Hugh-Curtis) et confirme le diagnostic de la grossesse ectopique ainsi que son siège.
En fonction de l’aspect de la trompe, deux traitements sont possibles : la salpingotomie ou la salpingectomie. La salpingotomie doit toujours être préférée (fig. 4).
La salpingotomie consiste en une incision à la pointe monopolaire sur la trompe en regard de l’hématosalpinx. On réalise ensuite une aspiration du contenu tubaire. Si la trompe est trop abîmée ou qu’elle saigne abondamment après la salpingotomie, on peut être amené à réaliser l’exérèse de la trompe (salpingectomie). Les pièces opératoires sont adressées pour analyse anatomopathologique.
En cas de salpingectomie, il n’y a pas de surveillance des bêta-HCG sanguins nécessaire car le traitement a été radical. En revanche, si on réalise une salpingotomie, il faut suivre de manière hebdomadaire le taux des bêta-HCG de la patiente jusqu’à négativation. Une contraception efficace est nécessaire pendant toute la durée de la surveillance.

Traitement des grossesses ectopiques autres que tubaires

Pour les localisations interstitielles, cervicales ou sur cicatrice de césarienne, l’administration du méthotrexate peut se faire également in situ en administration unique à la même dose de 1 mg/kg. Le méthotrexate sera injecté directement dans le siège de la grossesse ectopique, sous contrôle échoguidé par voie vaginale. La surveillance post-thérapeutique de la patiente est identique que pour les grossesses tubaires avec une surveillance hebdomadaire des bêta-HCG jusqu’à négativation. Une contraception efficace pour une durée de 3 mois est également nécessaire.

Fertilité ultérieure

Le traitement conservateur (méthotrexate ou salpingotomie) doit toujours être privilégié pour préserver la fertilité, surtout chez les patientes de plus de 35 ans et/ou ayant un antécédent d’infertilité ou de maladie tubaire. Il faut toutefois rappeler que deux essais randomisés n’ont pas montré de différence de fertilité après salpingectomie ou salpingotomie. Le risque de récidive est d’environ 20 % et ne varie pas selon le type de traitement. Devant le risque accru de grossesse ectopique dans cette population de patientes, il est recommandé de réaliser de manière précoce une échographie de localisation de la grossesse pour les grossesses ultérieures.•
Points forts

Grossesse extra-utérine

La grossesse ectopique est une urgence diagnostique et thérapeutique.

Elle doit être évoquée chez toute patiente en âge de procréer consultant pour des douleurs abdominales associées à des métrorragies.

Le diagnostic repose sur le dosage des bêta-HCG sanguins associé à une échographie pelvienne.

En fonction de l’état clinique de la patiente, le traitement peut être médical ou chirurgical par cœlioscopie.

Penser à la prévention de l’allo-immunisation rhésus chez les patientes de rhésus négatif.

Contraception systématique pour une durée de 3 mois après traitement conservateur (méthotrexate ou salpingotomie).

Échographie pelvienne précoce pour les grossesses ultérieures en raison du risque de récidive.

Message auteur

Message de l'auteur

La question sur la grossesse extra-utérine est une question d’ECN classique. Un dossier sur une grossesse extra-utérine du diagnostic à la prise en charge peut faire l’objet d’un dossier aux ECN. Le choix entre traitement médical ou chirurgical et la précocité diagnostique sont les éléments clés de cette question. Le diagnostic et la prise en charge des grossesses de localisation indéterminée est aussi une question classique. Enfin, les diagnostics différentiels en contexte d’urgence doivent aussi être maîtrisés.

Dans cet article

Ce contenu est exclusivement réservé aux abonnés