Traitement impératif, mais pas toujours suffisant, contre l’hypertension intracrânienne.
Le liquide céphalo-rachidien (LCR) est sécrété par les plexus choroïdes à partir du plasma sanguin, à un débit d’environ 500 mL/24 h. Il circule selon un flux périodique, rythmé par la systole/diastole cardiaque et les mouvements respiratoires, dans les ventricules cérébraux, les espaces sous-arachnoïdiens (crâne et rachis), les citernes de la base du crâne. Il est résorbé au niveau des sinus veineux crâniens par les granulations de Pacchioni.1
Témoignant d’une altération de cette hydrodynamique, l’hydrocéphalie augmente le volume ventriculaire,2 ce qui élève la pression dans cet espace fermé et inextensible, avec un risque important d’hypertension intracrânienne (HTIC) et de troubles neurologiques (ischémiques et par compression vasculaire).

Pathogénie : trois causes3

Obstacle à la circulation du LCR, majoritairement (encadré). Selon la position de l’obstacle à l’écoulement et le nombre de ventricules dilatés, l’hydrocéphalie est dite bi-, tri- ou tétra-ventriculaire (fig. 1). La cause peut être malformative (sténose de l’aqueduc de Sylvius par exemple), vasculaire (hémorragie sous-arachnoïdienne, intraventriculaire), infectieuse (méningite, méningo-encéphalite), tumorale, dégénérative ou post-traumatique (sévère).
Défaut de résorption par altération des granulations de Pacchioni. Il peut faire suite à une hémorragie sous-arachnoïdienne, une méningite ou un traumatisme crânien. Ou se produire par augmentation de la pression veineuse intracérébrale : thrombophlébite cérébrale, HTIC dite « bénigne » (observée quelques heures chez le nourrisson avec bombement des fontanelles, attribuée à un surdosage en vitamines A et D), ou certaines cranio- sténoses chez l’enfant.
Hyperproduction : elle est rare et concerne presqu’exclusivement les tumeurs des plexus choroïdes (papillome, carcinome).

Clinique

L’hydrocéphalie aiguë se manifeste le plus souvent par une HTIC – céphalées, nausées, vomissements, troubles de la conscience – avec ou sans retentissement visuel tel que : vision floue par œdème papillaire, éclipses visuelles, paralysie du nerf crânien VI (diplopie binoculaire horizontale) de valeur topographique non spécifique ; ou par un regard en coucher de soleil chez l’enfant. L’absence d’œdème papillaire au fond d’œil n’élimine pas une HTIC.
Chez le nouveau-né et le nourrisson, elle peut entraîner un bombement de la fontanelle, une macrocéphalie avec ou sans disjonction des sutures (intérêt de la mesure du périmètre crânien, augmenté au-delà de 2 déviations standard) et aboutir à un retard des acquisitions psychomotrices. Le fond d’œil recherche un œdème papillaire caractéristique.
À part, la forme chronique de l’adulte (ancienne hydrocéphalie à pression normale) touche surtout les hommes, après 60 ans. Son intrication potentielle avec les maladies neurodégénératives ou d’autres pathologies liées au vieillissement rend son diagnostic difficile. On l’évoque sur la triade caractéristique d’Adams et Hakim : troubles de la marche (à petits pas +++), des sphincters (mictions impérieuses) et des fonctions supérieures (apraxie, démence frontale). L’amélioration clinique après ponction lombaire évacuatrice est un facteur prédictif d’efficacité du traitement chirurgical (dérivation ventriculaire interne, cf. infra).

Imagerie

En aigu, le scanner cérébral sans injection de produit de contraste est l’examen de choix. Il montre la taille des ventricules et une éventuelle cause hémorragique. Chez les malades ayant une dérivation ventriculaire interne, il doit être comparé aux images antérieures de référence.
La suspicion d’un dysfonctionnement de cette valve impose de vérifier son trajet, avec des radiographies et un scanner, à la recherche d’une déconnexion du système.4
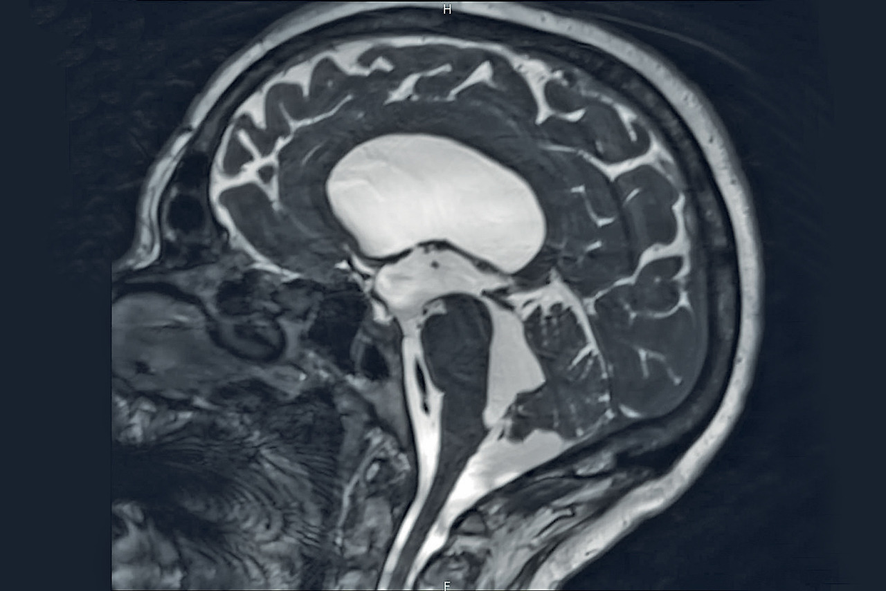
L’IRM cérébrale est nécessaire en cas d’hydrocéphalie triventriculaire (les 2 ventricules latéraux et le 3e). Elle met en évidence un obstacle à l’écoulement du LCR (+++), son flux étant analysé grâce à des séquences dynamiques. Après chirurgie, on y contrôle l’efficacité d’une procédure de ventriculocisternostomie. Elle complète le bilan en cas de tumeur cérébrale et confirme une imperforation des trous de Magendie et/ou de Luschka (orifices de sortie du 4e ventricule ; fig. 2), essentiellement congénitale (malformation de Dandy-Walker, agénésie ; encadré).
Chez le nouveau-né et le nourrisson, une échographie transfontanellaire peut être réalisée pour voir les ventricules et les espaces péricérébraux, et rechercher des stigmates d’hémorragie intraventri- culaire.

Trois types d’intervention

Ventriculocisternostomie : procédure endoscopique dont l’objectif est de perforer le plancher du troisième ventricule pour le faire communiquer avec la citerne optochiasmatique. On trépane l’os frontal dans la zone chevelue en paramédial (côté hémisphère mineur), puis on introduit une optique creuse dans le cerveau en direction du ventricule latéral où l’on se déplace par le trou de Monro jusqu’au 3e ventricule.
Dans le même temps, on peut pratiquer des biopsies en cas de découverte d’une tumeur intraventriculaire. Cette technique est préférée en première intention dans les hydrocéphalies triventriculaires, qui sont le plus souvent en rapport avec une sténose de l’aqueduc de Sylvius (tableau).
Dérivation ventriculaire externe : traitement urgent de l’hydrocéphalie aiguë. Elle consiste en la pose transitoire d’un cathéter dans la corne frontale du ventricule latéral, relié à un système extérieur de recueil clos du LCR.
Dérivation ventriculaire interne : un cathéter est implanté entre le système ventriculaire et le péritoine ou l’atrium cardiaque. Le corps de la valve permet de régler le débit, variable, ou la pression choisie selon le modèle implanté. Chez l’adulte sénescent, les complications hémorragiques, lésionnelles et techniques (fracture et migration du matériel) sont fréquentes : un tiers des patients. La mortalité atteint 10 %.

Suivi d’une dérivation interne

Les complications (infectieuses et hémorragiques, échec de la procédure) étant fréquentes (20 %), la surveillance est nécessaire tous les mois au cours des 6 premiers mois, puis tous les ans : recherche de signes d’HTIC, mesure du périmètre crânien et du développement psychomoteur chez l’enfant. Elle concerne aussi l’état cutané en regard du matériel et la vérification de la valve par pression manuelle. En cas de dysfonctionnement, radiographies et scanner du montage s’imposent.
Encadre

Au niveau des ventricules latéraux : tumeurs +++ ou hémorragie intra- ventriculaire (HIV), ventriculite infectieuse.Du 3 ventricule : tumeurs para- ventriculaires (thalamus, glande pinéale et sa région), HIV, ventriculite.De l’aqueduc de Sylvius : dégénératif (forme chronique de l’adulte), tumeurs de la lame tectale et région pinéale (pédiatrie +++), HIV, ventriculite.Du 4e ventricule : tumeur, HIV, ventriculite.Des trous de Luschka et Magendie : congénital et dégénératif (imperforations des trous de Magendie et Luschka).De la grande citerne : malformations de Chiari, de Dandy-Walker.Des citernes de la base du crâne : hémorragie sous-arachnoïdienne après rupture anévrismale +++, méningite.Des trous de Monro : tumeurs intraventriculaires, kyste colloïde, HIV.

références
1. Chauvet D, Boch AL. Hydrocéphalie. EMC - AKOS (Traité de Médecine) 2011:1-8 [Article 5-0821].

2. Greenberg MS. Hydrocephalus. In: Handbook of Neurosurgery. New York: Thieme; 2000.

3. Bekaert O, Grandjacques B, Hodel J, Nseir R, Decq P. Gait disturbances and normal ressure hy-drocephalus. Rev Neurol (Paris)2010;166:229-34.

4. Chazal J, Lemaire JJ. Hydrocéphalie de l’adulte. In: Neurochirurgie. Ellipses/Aupelf/Uref; 1995.

Dans cet article

Ce contenu est exclusivement réservé aux abonnés
essentiel

entraîne une augmentation de la pression intracrânienne.

Le traitement consiste, selon la cause, à mettre en place une dérivation ventriculaire externe ou interne (ventriculo-péritonéale ou ventriculo-atriale) ou à pratiquer une ventriculocisternostomie.