Les recommandations de la Haute Autorité de santé (HAS) publiées en 2019 ont reconnu la diminution de la force et/ou de la masse musculaire comme un critère phénotypique de la dénutrition.1 Parmi les outils recommandés chez l’adulte de moins de 70 ans figure l’évaluation de la surface musculaire en imagerie scanner. Néanmoins, la plupart des cliniciens ne connaissent pas cette technique, et elle n’est quasiment jamais utilisée dans le cadre des soins habituels. Pourtant, le scanner est un examen accessible couramment utilisé en pratique clinique. Selon l’Organisation de coopération et de développement économiques (OCDE), en 2019, le nombre de scanners réalisés en France pour 1 000 habitants était de 199, positionnant notre pays au 3e rang européen en nombre d’examens réalisés.2 Un changement de paradigme devrait avoir lieu dans les prochaines années quant à l’usage de l’imagerie scanner. Actuellement, les scanners sont réalisés pour un motif précis, avec une question clinique à laquelle répond le radiologue. À l’avenir, l’imagerie pourrait contribuer à une médecine prédictive et préventive. En effet, un certain nombre d’informations peut être transmis au clinicien en sus du motif initial de réalisation du scanner telles que des données de composition corporelle et en particulier de surface musculaire.

Détermination de la surface musculaire

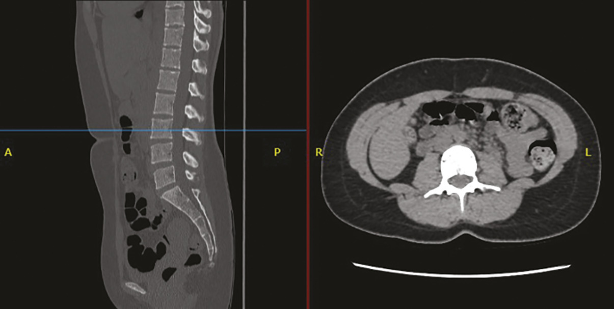
Pour déterminer la surface musculaire en imagerie scanner, deux étapes sont nécessaires.
La première consiste à identifier la troisième vertèbre lombaire puis à choisir une coupe passant par celle-ci (fig. 1).
Sur cette coupe, les muscles sont ensuite identifiés à la fois grâce à leur densité et à leur localisation anatomique, ce qui permet de déterminer la surface musculaire (fig. 2). Comme pour l’indice de masse corporelle, il est recommandé de rapporter la surface musculaire à la taille au carré pour obtenir l’indice de surface musculaire (ISM).
L’ISM est couramment utilisé dans le cadre de la recherche, notamment comme marqueur pronostique de survie dans les cancers.
La figure 3 met en parallèle les scanners de deux exemples de patients (celui de 65 ans a un ISM abaissé en faveur d’une sarcopénie selon les critères de la HAS 2019 ; les normes pour définir un ISM suffisant sont les suivantes : ≥ 52,4 cm²/m² chez l’homme et ≥ 38,5 cm²/m² chez la femme).
L’ISM n’est pas encore utilisé en pratique clinique. En effet, la détermination manuelle de la surface musculaire est fastidieuse, de l’ordre d’une dizaine de minutes pour un opérateur habitué, et elle nécessite des formats d’image et des logiciels d’imagerie réservés aux radiologues. Néanmoins, le développement de logiciels s’appuyant sur l’intelligence artificielle et l’apprentissage supervisé permettra au radiologue de joindre à son compte-­rendu la mesure de la surface musculaire quasiment automatiquement.

Plusieurs applications aux données de surface musculaire

Un des enjeux actuels est la certification de ce type de logiciel avec l’obtention d’un marquage CE. Dans les prochaines années, de tels logiciels seront probablement disponibles. Il sera ainsi possible, lors de la réalisation d’un scanner abdominal, d’avoir accès à des données de surface musculaire qui seront utiles pour le diagnostic de dénutrition mais aussi pour l’adaptation des traitements à marge thérapeutique étroite. Pour les chimiothérapies, par exemple, l’utilisation de la surface musculaire plutôt que la surface corporelle pourrait permettre de limiter les risques d’effets indésirables.
Par la suite, il conviendra d’évaluer si le développement des scanners « low dose » justifie la réalisation d’une imagerie scanner dans le seul but d’obtenir une mesure de la surface musculaire. 

Références

1. Haute Autorité de santé (HAS). Diagnostic de la dénutrition de l’enfant et de l’adulte, 2019. Disponible sur : www.has-sante.fr/jcms/p_3118872/fr/diagnostic-de-la-denutrition-de-l-enfant-et-de-l-adulte
2. OCDE. Examens tomodensitométriques (scanners) (indicateur). 2022 (consulté le 31 mars 2022). Disponible sur : data.oecd.org/fr/healthcare/examens-tomodensitometriques-scanners.htm

Dans cet article

Ce contenu est exclusivement réservé aux abonnés