objectifs
Diagnostiquer une néphroangiosclérose, une sténose de l’artère rénale, une microangiopathie thrombotique, une maladie des emboles de cristaux de cholestérol.
Sous le vocable néphropathies vasculaires sont regroupées toutes les atteintes des vaisseaux rénaux dont les causes et conséquences sont très variables. Le syndrome clinico-biologique d’atteinte rénale vasculaire associe la plupart du temps une hypertension artérielle (HTA) et une insuffisance rénale plus ou moins sévère, qui évoluent sur un mode chronique ou aigu selon l’étiologie. La protéinurie et les anomalies du sédiment urinaire sont variables.

Néphroangiosclérose « bénigne »

Définition

La néphroangiosclérose est une néphropathie vasculaire qui touche la microcirculation artérielle, secondaire à une hypertension artérielle ancienne souvent mal équilibrée.

Épidémiologie

La néphroangiosclérose est plus fréquente chez les sujets originaires d’Afrique vivant aux États-Unis, aux Caraïbes ou en Europe et, bien sûr, sa prévalence augmente avec l’âge. La néphroangiosclérose était en 2016 en France la première cause d’insuffisance rénale terminale (24,4 %), devant la néphropathie diabétique (22,9 %). L’âge moyen de prise en charge en dialyse était de 75,2 ans en 2016.

Diagnostic


Clinique

Il s’agit d’un diagnostic d’exclusion qui repose sur un faisceau d’arguments :
  • hypertension artérielle ancienne (primitive ou secondaire) mal équilibrée évoluant depuis au moins 5 ans ;
  • complications vasculaires des autres microcirculations (myocardiopathie hypertensive, rétinopathie hypertensive, démence vasculaire) ou des vaisseaux de plus gros calibre (cardiopathie ischémique, accidents vasculaires cérébraux [AVC], artério­pathie des membres inférieurs) ;
  • hypertrophie ventriculaire gauche ;
  • absence de signes extrarénaux évoquant une autre étiologie.

Biologie et histologie

La néphroangiosclérose se traduit biologiquement par un débit de filtration glomérulaire évalué (DFGe) < 60 mL/min/1,73 m². La protéinurie est inconstante (nulle, microalbuminurie, ou protéi­nurie habituellement < 1 g/24 h ou 100 mg/mmol de créatininurie). En règle générale, il n’y a ni hématurie glomérulaire ni leucocyturie aseptique.
Au plan histologique, les lésions d’endartérite fibreuse conduisent à une oblitération progressive des petits vaisseaux.

Imagerie

L’échographie rénale retrouve 2 reins de taille normale ou diminuée selon le degré d’insuffisance rénale, de contours réguliers. Une asymétrie de taille devra faire rechercher une sténose d’une ou des artères rénales.

Évolution

L’évolution se fera lentement vers l’insuffisance rénale chronique terminale. La perte moyenne annuelle de DFGe est en général comprise entre 1 et 3 mL/min/1,73 m².

Traitement

La prise en charge thérapeutique repose sur la normalisation de la pression artérielle (PA) en consultation (PA < 140/90 mmHg) confirmée en dehors du cabinet médical (PA < 135/85 mmHg). Elle a pour but de ralentir la dégradation annuelle de la fonction rénale à moins de 1 mL/min/1,73 m². Elle associe des règles hygiéno-­diététiques (prévention du risque cardiovasculaire, régime sodé à 6 g/24 h, lutte contre la sédentarité) et un traitement pharmaco­logique comportant un bloqueur du système rénine-angiotensine à la dose maximale tolérée. Pour atteindre l’objectif tensionnel, un inhibiteur calcique ou un diurétique adapté à la fonction rénale en cas de surcharge volémique peuvent être nécessaires. Si besoin, ces trois molécules sont associées et, en quatrième intention, de l’Aldactone (spironolactone) est ajouté. Un bêtabloquant est prescrit en cas d’indication privilégiée (cardiopathie ischémique, insuffisance cardiaque). Bien évidemment, la prise en charge comporte la prévention des risques cardiovasculaires et celle des complications de l’insuffisance rénale chronique.

Néphroangiosclérose « maligne »

Définition

La néphroangiosclérose maligne est une complication rénale d’une hypertension artérielle maligne. Cette dernière est caractérisée par une hypertension artérielle sévère associée à une rétinopathie hypertensive (stades III ou IV de la classification Keith et Wagener ou stade III de la classification de Kirkendall). Les atteintes suivantes sont possibles :
  • microangiopathie, avec coagulation intravasculaire disséminée ;
  • encéphalopathie hypertensive (dans environ 15 % des cas) ;
  • insuffisance cardiaque aiguë ;
  • détérioration aiguë de la fonction rénale caractérisant la néphro­angiosclérose maligne.

Épidémiologie

En France, l’incidence de l’hypertension artérielle maligne est en régression. Les populations dites « précaires » qui ont un suivi médical insuffisant sont à risque. Les sujets originaires d’Afrique noire sont aussi plus sensibles à l’hypertension artérielle maligne et donc à la néphro­angiosclérose maligne.
Une hypertension artérielle maligne peut émailler l’évolution d’une hypertension artérielle essentielle non diagnostiquée ou insuffisamment contrôlée (deux tiers des cas). Elle peut aussi être le mode de découverte d’une hypertension artérielle secondaire (un tiers des cas).

Physiopathologie

Dans la genèse de l’hypertension artérielle maligne, il y a un cercle vicieux entre une pression artérielle élevée, une vasoconstriction artériolaire rénale, une sécrétion de rénine par les reins ischémiques et un hyperaldostéronisme secondaire (à l’hyperréninisme), conduisant à augmenter la pression artérielle. Il existe une hypovolémie paradoxale associée à une hypokaliémie par l’intermédiaire de la relation pression/natriurèse et de l’hyperaldostéronisme secondaire. La pression artérielle très élevée est responsable des lésions vasculaires rénales conduisant à une insuffisance rénale d’aggravation rapide (fig. 1).

Signes cliniques

Dans les semaines qui précèdent le diagnostic, le patient a souvent présenté des signes :
  • généraux (asthénie) ;
  • liés à la sévérité de l’hypertension artérielle (céphalées, phosphènes, acouphènes, vertiges, épistaxis) ;
  • liés à la déshydratation extracellulaire (perte de poids, syndrome polyuro-polydipsique).
La pression artérielle est souvent très élevée, de grade III ( 180/110 mmHg) [actualisation ESH-ESC 2018].
L’examen clinique doit rechercher des signes liés aux atteintes organiques :
  • cardiaques : dyspnée, angor ;
  • neurologiques :
. encéphalopathie (somnolence, léthargie, crise convulsive, troubles de la conscience) ;
. signes d’accident vasculaire cérébral, souvent hémorragique ;
  • oculaires : flou visuel.

Biologie

En plus d’une insuffisance rénale d’aggravation rapide, on peut observer :
  • une anémie hémolytique mécanique avec schizocytes au frottis ;
  • une protéinurie pouvant dépasser 3 g/L ;
  • une hypokaliémie ;
  • une rénine et une aldostérone plasmatiques très élevées (non dosées en pratique).

Ponction-biopsie rénale

Elle n’est pas indispensable au diagnostic dans les formes typiques. Elle est contre-indiquée tant que la pression artérielle est insuffisamment contrôlée. Elle est souvent réalisée en cas de doute diagnostique avec une autre néphropathie rapidement progressive, en particulier les microangiopathies thrombotiques.
Les lésions siègent principalement au niveau des artérioles et comprennent :
  • une obstruction totale ou partielle de la lumière des vaisseaux par une prolifération myo-intimale (aspect en « bulbe d’oignon ») ;
  • des lésions de nécrose fibrinoïde artériolaire typique ;
  • des glomérules ischémiques ;
  • des lésions de microangiopathie thrombotique ;
  • une prolifération cellulaire avec obstruction de certains vaisseaux.

Traitement

Il s’agit d’une urgence médicale qui nécessite le plus souvent une hospitalisation en soins intensifs. Le traitement a pour but de faire baisser progressivement, en plusieurs heures, la pression artérielle moyenne de 20 à 25 % et de rétablir la volémie.
Le traitement initial est intraveineux (en première intention labé­talol ou nicardipine et nitroprussiate de sodium ou urapidil en seconde intention). Une réhydratation avec supplémentation en potassium prudente permet de compenser l’hypovolémie et l’hypo­kaliémie. Une fois la volémie restaurée, le traitement oral avec des bloqueurs du système rénine-angiotensine ou des bêtabloquants est très efficace pour bloquer l’hyperactivation du système rénine-angiotensine-aldostérone. Des doses initiales faibles doivent être utilisées car ces patients peuvent être très sensibles à ces agents pharmacologiques. Les diurétiques doivent être évités sauf en cas de décompensation cardiaque où ils deviennent parfois nécessaires.

Évolution

Le terme « malin » reflète le très mauvais pronostic en l’absence de traitement. La survie à court terme des patients présentant une hypertension artérielle maligne s’est considérablement améliorée au cours des dernières décennies. Néanmoins, ces patients présentent un risque élevé de complications cardiovasculaires et rénales à court, moyen et long terme.
Au niveau néphrologique, la baisse initiale de la pression artérielle s’accompagne d’une augmentation initiale de la créatininémie pouvant rendre nécessaires des séances d’hémodialyse. À moyen terme, la fonction rénale s’améliore, mais une insuffisance rénale chronique persiste souvent.

Sténose de l’artère rénale

Épidémiologie et physiopathologie

Les sténoses d’une(ou des) artère(s) rénale(s) sont des rétrécissements de la lumière des artères rénales. Elles sont soit d’origine athéromateuse (90 %), soit dues à des fibrodysplasies de l’artère rénale (10 %). Lorsque la réduction du calibre artériel dépasse 70 %, une réduction de la pression de perfusion en aval de la sténose peut provoquer une ischémie rénale et une stimulation du système rénine-angiotensine-aldostérone, à l’origine d’une hypertension artérielle et d’une rétention hydrosodée.
La sténose de l’artère rénale athéromateuse est une complication athéromateuse touchant l’intima et la média de l’artère rénale. Dans 90 % des cas, la localisation de la sténose de l’artère rénale athéromateuse touche l’ostium et le tiers proximal de l’artère rénale.
La sténose de l’artère rénale par fibrodysplasie touche 4 personnes sur 1 000, les femmes étant plus fréquemment atteintes (environ 4 femmes pour 1 homme). La fibrodysplasie est une anomalie de la paroi de certaines artères (à 85 % la média) qui peut entraîner des rétrécissements localisés du diamètre des artères atteintes (sténoses) et, plus rarement, des dilatations (anévrismes) ou une déchirure de la paroi (dissection artérielle). La maladie atteint principalement les artères rénales et du cou (artères carotides et artères vertébrales). Elle atteint plus rarement les artères digestives, les artères des membres inférieurs et les artères intracrâniennes. Elle atteint exceptionnellement les coronaires. Son étiologie est inconnue. Elle est congénitale et le plus souvent non héréditaire.

Diagnostic


Terrain

Sténose de l’artère rénale athéromateuse :
  • âge supérieur à 50 ans ;
  • facteurs de risque cardiovasculaire (hypertension artérielle, diabète, tabagisme, dyslipidémie) et autres atteintes athéromateuses (coronaires, carotides, aorte, iliaques, fémorales).
Sténose de l’artère rénale par fibrodysplasie :
  • âge inférieur à 40 ans, 4 femmes pour 1 homme ;
  • hypertension artérielle isolée ;
  • pas ou peu de facteurs de risque cardiovasculaire.

Signes cliniques

Les sténoses de l’artère rénale sont fréquemment asymptomatiques.
Les manifestations suivantes sont possibles :
  • hypertension artérielle d’apparition récente, brutale, sévère ou résistante à une trithérapie ;
  • souffle vasculaire para-ombilical (inconstant) ;
  • asymétrie de taille rénale (petit rein du côté de la sténose) ;
  • œdème pulmonaire flash (détresse respiratoire d’apparition brutale liée à un œdème pulmonaire hémodynamique) ;
  • dégradation de la fonction rénale sous inhibiteurs de l’enzyme de conversion (IEC) ou antagonistes des récepteurs de type 1 de l’angiotensine II (ARA2) ;
  • insuffisance rénale chronique ;
  • plus rarement, hypokaliémie, voire alcalose métabolique (consé­quences de l’hyperaldostéronisme secondaire).

Examens complémentaires diagnostiques

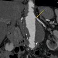
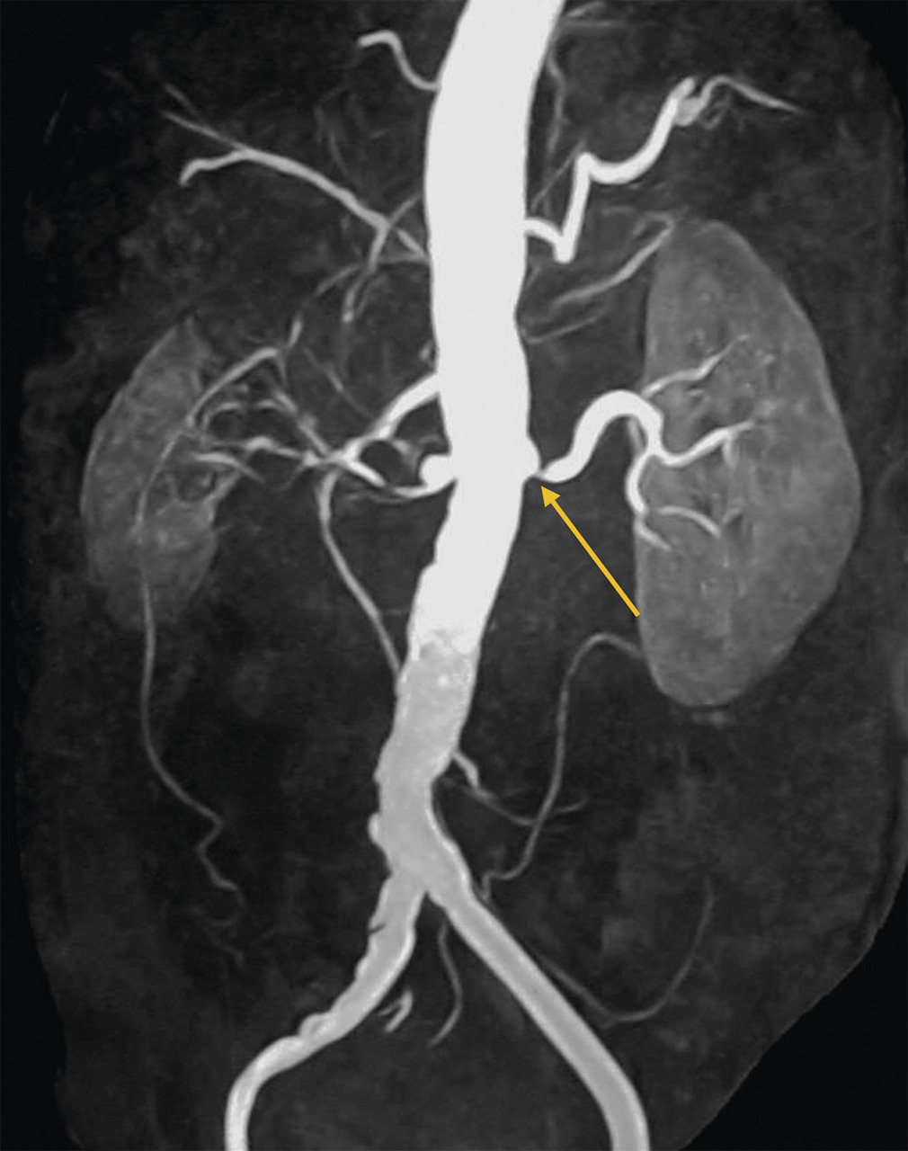
L’échographie-Doppler, l’angio-tomodensitométrie (angio-TDM [fig. 2] et l’angio-imagerie par résonance magnétique (angio-IRM) [fig. 3] permettent le diagnostic de sténose de l'artère rénale. Ils estiment à la fois le degré de sténose (exprimé en pourcentage de réduction du diamètre) et l’impact sur la vascularisation d’aval. Ces 3 examens sont validés et recommandés en première intention. Leur utilisation dépend de l’accessibilité et des habitudes locales. Il est à noter que l’écho-Doppler, très sensible et spécifique dans la sténose de l'artère rénale athéromateuse sous réserve d’un opérateur entraîné, est de sensibilité imparfaite dans la fibrodysplasie, dans laquelle l’angio-TDM est l’examen de référence.
Le tableau résume les avantages et inconvénients respectifs des 3 examens de référence. L’artériographie est réservée aux revascularisations (fig. 4), et n’a pas de place à titre diagnostique.
Dans la sténose de l'artère rénale athéromateuse, on retrouve une plaque habituellement unique, plus une moins calcifiée, ostiale, proximale ou tronculaire, responsable d’une réduction du diamètre endoluminal d’une ou des artères rénales (fig. 2 et 3).
En cas de fibrodysplasie, les lésions sont multiples, distales, souvent bilatérales, avec aspect en « collier de perles » (fig. 4). Il est recommandé, dans cette pathologie qui est souvent multifocale, de rechercher d’autres lésions artérielles (sténoses ou anévrismes) au niveau des artères digestives, cervicales et intracrâniennes.

Prise en charge thérapeutique


Buts du traitement

L’évolution naturelle de la sténose de l'artère rénale conduit à une ischémie rénale progressive responsable d’une hypotrophie rénale, avec quelquefois une occlusion complète secondaire à une thrombose de l’artère.
Les buts de la prise en charge thérapeutique sont de :
  • normaliser la pression artérielle ;
  • préserver la fonction rénale ;
  • prendre en charge le risque cardiovasculaire et les atteintes extrarénales.

Options thérapeutiques

Le traitement médical est à base de :
  • bloqueurs du système rénine-angiotensine (en surveillant la tolérance fonctionnelle rénale) pour lutter contre l’hypertension artérielle. Une association d’antihypertenseurs est souvent nécessaire pour atteindre les objectifs tensionnels ;
  • statine pour lutter contre l’hypercholestérolémie ;
  • antiagrégant plaquettaire en prévention de la thrombose.
L’angioplastie avec ou sans stent a :
  • un bénéfice qui est débattu dans la sténose athéromateuse, en dehors des rares situations d’œdèmes aigus du poumon (OAP) flashs ;
  • de fortes chances de normaliser la pression artérielle dans la SAR par fibrodysplasie. Les récidives sont moins fréquentes que dans la sténose athéromateuse ;
  • des complications : dissection de l’artère rénale, emboles de cholestérol (SAR athéromateuse), occlusion de l’artère rénale et infarctus rénal, récidive.
Le traitement chirurgical est exceptionnellement utilisé.

Microangiopathies thrombotiques

Généralités

Le syndrome de microangiopathie thrombotique (MAT) se caractérise par des anomalies biologiques associant une anémie hémolytique mécanique (lactate déshydrogénase [LDH] élevée, haptoglobine effondrée, schizocytes au frottis sanguin) et une thrombopénie plus ou moins profonde, reflet d’une consommation plaquettaire périphérique.
Les causes sont multiples et impliquent une agression endothéliale qui entraîne l’activation de la cellule endothéliale et la formation de micro-thrombi dans les capillaires.
L’agression endothéliale peut être provoquée par :
  • des toxines bactériennes ;
  • des anticorps ou des complexes immuns ;
  • une activation inappropriée du complément ;
  • des agents pharmacologiques ;
  • l’augmentation des forces de cisaillement au niveau endothélial (shear stress) [fig. 5].
Parmi les microangiopathies thrombotiques, on distingue deux grands syndromes.
Le syndrome hémolytique et urémique (SHU) : atteinte rénale prédominante avec hypertension artérielle, hématurie et protéinurie glomérulaire. Trois formes existent, qui se distinguent selon leur étiologie : typique, atypique et secondaire.
Le purpura thrombotique thrombocytopénique (PTT) : atteinte neurologique au premier plan (encéphalopathie, déficit, coma) et thrombopénie parfois très profonde. L’atteinte rénale y est souvent modérée, voire absente. Cette forme touche plutôt les adultes.
La lésion histologique de micro-angiopathie thrombotique est une occlusion de la lumière artériolaire et des capillaires par des thrombi fibrineux. Au niveau glomérulaire, l’endothélium peut présenter des doubles contours avec une mésangiolyse et une obstruction segmentaire par ces microthrombi.

Syndrome hémolytique et urémique typique


Définition

Il s’agit de la forme majoritaire des SHU de l’enfant, et elle constitue la première cause d’insuffisance rénale aiguë avant l’âge de 3 ans. L’agression endothéliale est causée par des toxines (shiga-like toxins ou SLT) produites par des entéro­bactéries (Escherichia coli, Salmonella, Shigella, Yersinia…). La bactérie le plus souvent en cause est la souche O157:H7 d’E. coli. Il s’agit d’une toxi-infection alimentaire à déclaration obligatoire chez l’enfant.

Diagnostic

La présentation clinique débute par un syndrome dysentérique : diarrhée sanglante fébrile d’installation brutale. Une hypertension artérielle sévère et une insuffisance rénale aiguë souvent d’emblée anurique s’y associent. Le contexte estival ainsi que le groupement de cas en épidémies sont très évocateurs du diagnostic. La ponction-biopsie rénale est rarement réalisée, puisqu’elle est inutile au diagnostic quand le contexte est typique, et dangereuse dans le contexte de thrombopénie.
Le diagnostic repose sur le tableau clinico-biologique. La copro­culture ou l’écouvillonnage rectal ne retrouvent que rarement la bactérie en cause. Seule la PCR (polymerase chain reaction) permet de retrouver le gène codant pour la toxine dans les selles.

Traitement

Le traitement est essentiellement symptomatique (dialyse, contrôle de l’hypertension…). La prescription d’antibiotiques n’est pas recommandée en l’absence de signes de sepsis sévère ou de choc septique. L’évolution est le plus souvent spontanément favorable, avec un bon pronostic rénal à long terme.

Syndrome hémolytique et urémique atypique


Définition

Il s’agit d’une cause rare de microangiopathie thrombotique, plutôt retrouvée chez l’adulte. On ne retrouve pas, contrairement au SHU typique, de notion d’épisode diarrhéique. La cause se situe le plus souvent dans une anomalie de la voie alterne du complément. Cette anomalie cible les protéines régulatrices de son activation et est causée soit par des mutations génétiques (familiales ou sporadiques), soit par des anticorps spécifiques dirigés contre ces protéines.

Diagnostic

Le diagnostic est évoqué devant un syndrome biologique de MAT associé à une hypertension artérielle sévère et une insuffisance rénale de gravité variable, en l’absence d’argument pour un syndrome hémolytique et urémique secondaire.
Le dosage des fractions circulantes du complément retrouve souvent un C3 bas voire effondré de façon isolée.
Le diagnostic de certitude est apporté par la biopsie rénale, qui retrouve des microthrombi, et par l’identification de l’anomalie de la voie alterne : mutation d’un des gènes codant pour une protéine régulatrice du complément (C3 du complément, facteur H, facteur I, CD46), mutation du gène de la thrombomoduline, ou anticorps anti-facteur H.

Traitement

Le traitement, longtemps fondé sur les échanges plasmatiques, repose aujourd’hui sur la prescription d’un anticorps anti-C5 convertase : l’éculizumab.

Syndrome hémolytique et urémique secondaire

Les étiologies suivantes peuvent être à l’origine d’une agression endothéliale qui se complique d’un syndrome hémolytique et urémique :
  • médicaments : ciclosporine, tacrolimus, gemcitabine, mito­mycine C ;
  • infections : septicémie, virus de l’immunodéficience humaine (VIH) ;
  • hypertension artérielle maligne ;
  • éclampsie ;
  • cancers ;
  • maladies dysimmunitaires : lupus, syndrome des antiphospholipides, sclérodermie.

Purpura thrombotique thrombocytopénique

Le purpura thrombotique thrombocytopénique est une forme acquise (anticorps anti-ADAMTS-13) ou héréditaire (mutation inactivatrice du gène codant pour l’ADAMTS-13) de MAT impliquant la protéase du facteur de von Willebrand (vWF) : l’ADAMTS-13.
Cliniquement, les troubles neurologiques plus ou moins graves (encéphalopathie avec obnubilation et confusion, déficits sensitivomoteurs, voire coma) associés à un purpura sont au premier plan.
Biologiquement, la thrombopénie isolée est sévère et l’insuffisance rénale variable.
Le traitement comporte des échanges plasmatiques avec apport de plasma frais contenant de l’ADAMTS-13. Dans les formes acquises, une biothérapie à visée antiproductrice des anticorps de type anticorps anti-CD20 (rituximab) peut être associée.

Maladie des emboles de cristaux de cholestérol

Définition

La maladie correspond à la rupture d’une plaque d’athérome avec migration dans la circulation de cristaux de cholestérol qui embolisent dans les petits vaisseaux, artérioles et capillaires, particulièrement au niveau des reins et des membres inférieurs. Bien que rare, son incidence est probablement sous-estimée.

Diagnostic

Le diagnostic est suspecté devant l’apparition d’une néphropathie vasculaire associant une hypertension artérielle et une insuffisance rénale aiguë parfois sévère dans un contexte de terrain athéromateux et dans les suites d’un événement précipitant.

Facteurs déclenchants

Un geste endovasculaire artériel en amont des artères rénales est le plus souvent responsable de la rupture de la plaque. Parfois, la rupture de plaque est secondaire à la simple introduction d’anticoagulants ou de thrombolytiques.

Clinique

Elle associe, après un temps de latence d’une dizaine de jours en moyenne (jusqu’à plusieurs semaines) :
  • une insuffisance rénale aiguë vasculaire ;
  • des signes cutanés périphériques (orteils pourpres ou blue-toe syndrome, livedo à limite nette, gangrène distale),
  • des signes d’atteinte d’autres territoires artériels (ischémie mésentérique, tableau neurologique d’accident vasculaire cérébral ou d’accident ischémique transitoire [AIT], troubles visuels…).

Biologie

Outre l’insuffisance rénale aiguë, on peut retrouver, de façon fugace et précoce :
  • un syndrome inflammatoire biologique ;
  • une hyperéosinophilie sanguine ;
  • une hyperéosinophilurie ;
  • une hypocomplémentémie.

Examens complémentaires

Les principaux diagnostics différentiels doivent être éliminés : néphropathie immuno-allergique aux antagonistes de la vitamine K (AVK), vascularite des artères de petit calibre, néphropathie aux produits de contraste iodés.
En cas de doute diagnostique persistant, la certitude est apportée par la visualisation au fond d’œil d’emboles dans les vaisseaux rétiniens (plaque d’Hollenhorst) et l’identification sur la biopsie d’un territoire atteint (peau, rein) d’occlusions artériolaires et capillaires par des cristaux de cholestérol.

Traitement

Le traitement est essentiellement symptomatique : contrôle tensionnel, dialyse si nécessaire. Les facteurs déclenchants doivent être évités : arrêt des anticoagulants et contre-indication des gestes endovasculaires. De faibles doses de corticoïdes peuvent être proposées à la phase aiguë.
La mortalité reste élevée, avec plus de 40 % de décès à 6 mois.•
Points forts
Néphropathie vasculaire

POINTS FORTS À RETENIR

La néphroangiosclérose bénigne est un diagnostic d’exclusion, elle représente l’atteinte de l’hypertension artérielle sur la microcirculation rénale. En raison de la prévalence de l’hypertension artérielle, elle était en 2016 la première cause d’insuffisance rénale terminale en France (24,4 %).

La néphroangiosclérose maligne est une complication de l’hypertension artérielle maligne et représente une urgence thérapeutique. Le traitement repose sur des vasodilatateurs par voie intraveineuse pour obtenir une baisse de la pression artérielle de 20 à 25 % en quelques heures et la restauration de la volémie.

Les sténoses de l’artère rénale sont le plus souvent d’origine athéromateuse (90 %) et représentent le plus souvent une conséquence athéromateuse de l’hypertension artérielle et des autres facteurs de risque cardiovasculaire.

Les microangiopathies thrombotiques associent constamment une thrombopénie et une anémie hémolytique mécanique à une atteinte d’organe cible (rein, cœur, foie, cerveau). Le traitement des microangiopathies thrombotiques est fonction de l’origine de la dysfonction endothéliale associé à un traitement symptomatique.

La maladie des emboles de cholestérol constitue une insuffisance rénale vasculaire apparaissant quelques jours à quelques semaines après une procédure endovasculaire artérielle sur un terrain athéromateux. Le traitement est surtout symptomatique et le pronostic rénal est sombre.

Message auteur

Néphropathie vasculaire

L’item est vaste par les pathologies qu’il englobe, mais son utilisation dans les cas cliniques est limitée par le fait que les objectifs de l’ECNI ne demandent pas explicitement aux étudiants de maîtriser la prise en charge thérapeutique des néphropathies vasculaires.

Les pathologies aiguës (microangiopathie thrombotique, néphroangiosclérose maligne, maladie des emboles de cristaux de cholestérol) semblent plus intéressantes à placer dans des cas cliniques que la néphroangiosclérose bénigne et la sténose d’artère rénale.

La néphroangiosclérose bénigne peut être évoquée (peu de chances qu’elle fasse l’objet d’un dossier complet) dans une question au sein d’un dossier d’hypertension artérielle. La sténose d’artère rénale pourrait éventuellement être abordée sur le plan diagnostique avec une interprétation d’imagerie injectée. Pour les microangiopathies thrombotiques, le syndrome hémolytique et urémique typique a plus de probabilité d’être utilisé car les connexions avec la déclaration des toxi-infections alimentaires et la pédiatrie sont multiples. Les autres atteintes (syndrome hémolytique et urémique atypique ou secondaire, PTT) restent plus difficiles et spécialisées. La néphro-angiosclérose maligne peut s’intégrer dans un dossier d’hypertension artérielle secondaire. Les emboles de cristaux de cholestérol peuvent constituer un cas transversal associant une pathologie nécessitant un geste endovasculaire (AOMI, infarctus du myocarde) puis débouchant sur l’insuffisance rénale terminale. Il faut donc y penser devant un cas clinique associant un geste endovasculaire et une IRA.

Dans cet article

Ce contenu est exclusivement réservé aux abonnés