L’endocardite infectieuse est une maladie rare, qui intéresse autant les médecins généralistes que les infectiologues et les cardiologues. Touchant les valves ou les matériels cardiaques, elle a connu ces dernières années de profonds bouleversements concernant son épidémiologie, sa prophylaxie, ses méthodes diagnostiques et sa prise en charge thérapeutique. Si les progrès thérapeutiques sont immenses, l’endocardite infectieuse reste associée à une morbidité et à une mortalité élevées. Les recommandations de l’European Society of Cardiology (ESC) publiées en 2023 actualisent les connaissances sur cette pathologie, qui nécessite une prise en charge multidisciplinaire dans des centres spécialisés. Un dossier pour la pratique.

À lire ici :

Iung B. Endocardites infectieuses : de l’épidémiologie à la prévention.  Rev Prat 2024 ;74(6) ;634 - 88.

Bernard A, Chane-Sone N, Dion F, et al. Endocardites infectieuses : démarche diagnostique. Rev Prat 2024 ;74(6) ;639 - 45.

Arregle F. Prise en charge thérapeutique des endocardites infectieuses.  Rev Prat 2024 ;74(6) ;646 - 52.

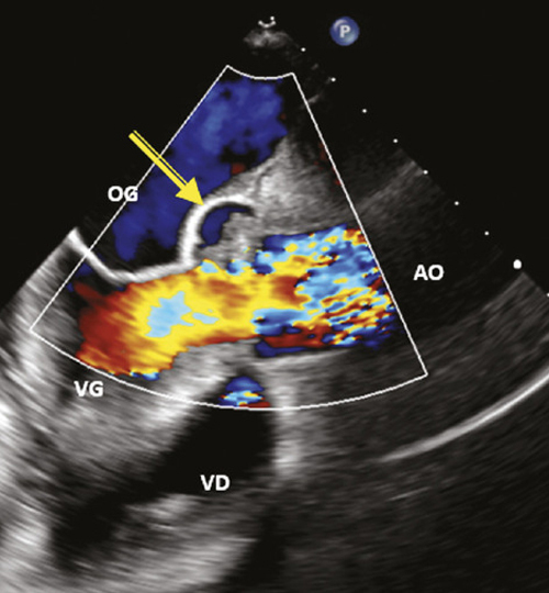
Trojette F, Di Lena C, Bohbot Y, et al. Complications de l’endocardite infectieuse.  Rev Prat 2024 ;74(6) ;653 - 9.

Habib G. Registre européen des endocardites infectieuses. Rev Prat 2024 ;74(6) ;660 - 3.

Cosyns B, Habib G. Endocardites infectieuses et cancers : résultats du registre EURO-ENDO.  Rev Prat 2024 ;74(6) ;664 - 5.

Habib G. Endocardites infectieuses : les 8 messages-clés. Rev Prat 2024 ;74(6) ;666.