Qu’est-ce qu’une lésion potentiellement maligne ?
Le concept qui autorise à désigner certaines lésions ou affections comme étant précancéreuses repose sur les constats suivants :
– le suivi longitudinal a bien donné lieu à une transformation maligne ;
– certaines de ces altérations sont observées au voisinage de carcinomes épidermoïdes (lésions érythémateuses ou blanches) ;
– certaines modifications morphologiques et cyto-logiques sont communes au carcinome épidermoïde et à ces lésions ;
– il existe une similitude des altérations chromo-somiques, génomiques et moléculaires détectées dans ces deux affections.
Les termes « précancéreux », « précurseur », « prémalin », « néoplasie intra-épithéliale » et « potentiellement malin » ne sont plus adéquats pour décrire des aspects cliniques supposés se dérouler en deux ou plusieurs étapes, alors qu’il est peu probable qu’il y ait une même et unique voie de cancérisation semblable pour tous les individus.1
Le terme consensuel retenu est « lésion ou affection potentiellement maligne ». Il suffit à recouvrir toutes les situations rencontrées.2, 3
– le suivi longitudinal a bien donné lieu à une transformation maligne ;
– certaines de ces altérations sont observées au voisinage de carcinomes épidermoïdes (lésions érythémateuses ou blanches) ;
– certaines modifications morphologiques et cyto-logiques sont communes au carcinome épidermoïde et à ces lésions ;
– il existe une similitude des altérations chromo-somiques, génomiques et moléculaires détectées dans ces deux affections.
Les termes « précancéreux », « précurseur », « prémalin », « néoplasie intra-épithéliale » et « potentiellement malin » ne sont plus adéquats pour décrire des aspects cliniques supposés se dérouler en deux ou plusieurs étapes, alors qu’il est peu probable qu’il y ait une même et unique voie de cancérisation semblable pour tous les individus.1
Le terme consensuel retenu est « lésion ou affection potentiellement maligne ». Il suffit à recouvrir toutes les situations rencontrées.2, 3
Leucoplasie
D’après la définition aujourd’hui retenue, une leuco-plasie est une lésion blanche à risque discutable de cancérisation après exclusion de toutes les lésions ou affections n’ayant pas un risque accru pour le cancer. La leucoplasie est un terme purement clinique et n’a aucune spécificité histologique.
Deux aspects qualifient ces leucoplasies : elles sont homogènes ou inhomogènes. La distinction est purement fondée sur la couleur et l’épaisseur. Elle donne une orientation évolutive ou pronostique.
La leucoplasie homogène (fig. 1 ) a un aspect de plaque blanche clairement circonscrite, plane ou légèrement surélevée, lisse ou uniformément rugueuse, légèrement granulaire et ondulée, parfois traversée par de fines crevasses ou fissures sans érythème ou avec un érythème discret et uniforme sans érosions. Cette forme de leucoplasie, la plus fréquente, présente rarement des aspects histologiques inquiétants (dysplasies) et subit rarement une transformation maligne, au contraire des leucoplasies inhomogènes. Précisons que la dysplasie ne correspond à aucun aspect clinique. C’est un terme histologique désignant des modifications cytologiques et architecturales plus ou moins importantes.
Les leucoplasies inhomogènes (fig. 2 ) peuvent comporter un aspect érythémateux, érosif, verruqueux ou nodulaire sur toute leur surface ou par endroits. La surface est irrégulière aussi en épaisseur. L’aspect peut être une plage érythémateuse mouchetée de kératose (speckled leucoplakia des Anglo-Saxons) ou érythroleucoplasie, et comporte un risque élevé de transformation.
D’autres éléments cliniques descriptifs peuvent aider à caractériser la leucoplasie : la cause, clairement rattachée à l’usage du tabac ou de la noix d’arec (ou noix de bétel), ou idiopathique, le siège dans la cavité buccale ou l’oropharynx, la taille et l’étendue de la lésion.
Le diagnostic différentiel, le plus souvent du domaine du spécialiste, se fait avec un white sponge naevus, une kératose frictionnelle, un morsicato buccarum (tic de mordillement), une lésion chimiquement induite, une candidose pseudomembraneuse, un lichen plan, une réaction lichénoïde, un lupus érythémateux discoïde, une « leucoplasie » chevelue ou une ouranite glandulaire du fumeur. Une biopsie est le plus souvent indiquée. Elle affirme le diagnostic et constate ou non la présence de dysplasie, meilleur élément prédictif efficient d’une future transformation maligne dans une lésion potentiellement maligne. Le degré de dysplasie est fonction de l’épaisseur de la zone épithéliale riche en anomalies, de l’importance des atypies et de l’aspect des mitoses. Elle est légère (mild), moyenne (moderate) ou sévère (severe), équivalant, pour certains, à un carcinome in situ (CIS). Le stade de CIS est suivi de la micro-invasion puis de l’invasion franche.
Un système binaire plus simple et mieux reproductible pour décrire les anomalies histologiques (haut et bas grades) est de plus en plus utilisé en place de la dysplasie.
L’évolution des leucoplasies buccales peut être marquée par une régression, une extension lésionnelle, une modification de l’aspect d’homogène à inhomogène, et par une dégénérescence maligne. Cela rend une surveillance clinique et histologique indispensable pendant une longue période.
Le traitement des leucoplasies repose principalement sur l’élimination des facteurs de risque (tabac, noix d’arec) et sur l’exérèse chirurgicale qui permet un contrôle histologique de la totalité de la pièce chirur-gicale et de ses bords, et confirme, et au besoin complète ou rectifie, le diagnostic porté sur la biopsie. La destruction par le laser CO2 est exceptionnellement utilisée car elle ne permet pas l’analyse histologique parfois cruciale. Les rétinoïdes sont de faible efficacité. D’autres traitements ont été essayés, leur efficacité restant à prouver. Parfois une simple surveillance de la leucoplasie est instaurée.
Les récidives sont fréquentes et la transformation maligne est toujours possible.
Deux aspects qualifient ces leucoplasies : elles sont homogènes ou inhomogènes. La distinction est purement fondée sur la couleur et l’épaisseur. Elle donne une orientation évolutive ou pronostique.
La leucoplasie homogène (
Les leucoplasies inhomogènes (
D’autres éléments cliniques descriptifs peuvent aider à caractériser la leucoplasie : la cause, clairement rattachée à l’usage du tabac ou de la noix d’arec (ou noix de bétel), ou idiopathique, le siège dans la cavité buccale ou l’oropharynx, la taille et l’étendue de la lésion.
Le diagnostic différentiel, le plus souvent du domaine du spécialiste, se fait avec un white sponge naevus, une kératose frictionnelle, un morsicato buccarum (tic de mordillement), une lésion chimiquement induite, une candidose pseudomembraneuse, un lichen plan, une réaction lichénoïde, un lupus érythémateux discoïde, une « leucoplasie » chevelue ou une ouranite glandulaire du fumeur. Une biopsie est le plus souvent indiquée. Elle affirme le diagnostic et constate ou non la présence de dysplasie, meilleur élément prédictif efficient d’une future transformation maligne dans une lésion potentiellement maligne. Le degré de dysplasie est fonction de l’épaisseur de la zone épithéliale riche en anomalies, de l’importance des atypies et de l’aspect des mitoses. Elle est légère (mild), moyenne (moderate) ou sévère (severe), équivalant, pour certains, à un carcinome in situ (CIS). Le stade de CIS est suivi de la micro-invasion puis de l’invasion franche.
Un système binaire plus simple et mieux reproductible pour décrire les anomalies histologiques (haut et bas grades) est de plus en plus utilisé en place de la dysplasie.
L’évolution des leucoplasies buccales peut être marquée par une régression, une extension lésionnelle, une modification de l’aspect d’homogène à inhomogène, et par une dégénérescence maligne. Cela rend une surveillance clinique et histologique indispensable pendant une longue période.
Le traitement des leucoplasies repose principalement sur l’élimination des facteurs de risque (tabac, noix d’arec) et sur l’exérèse chirurgicale qui permet un contrôle histologique de la totalité de la pièce chirur-gicale et de ses bords, et confirme, et au besoin complète ou rectifie, le diagnostic porté sur la biopsie. La destruction par le laser CO2 est exceptionnellement utilisée car elle ne permet pas l’analyse histologique parfois cruciale. Les rétinoïdes sont de faible efficacité. D’autres traitements ont été essayés, leur efficacité restant à prouver. Parfois une simple surveillance de la leucoplasie est instaurée.
Les récidives sont fréquentes et la transformation maligne est toujours possible.
Lire aussi | Notre dossier – Innovations en oncologie
Érythroplasie
L’érythroplasie de la muqueuse buccale est toujours considérée comme la lésion au potentiel de transformation maligne le plus élevé. Certains auteurs ne la considèrent plus comme une lésion potentiellement maligne dans la mesure où le cancer est déjà présent dans la grande majorité des cas. L’érythroplasie est une plage veloutée, rouge brillant, le plus souvent uniforme sans trace de kératinisation, souvent très étendue mais ayant une limite nette (fig. 3 ), ce qui la distingue des érythèmes inflammatoires. Le diagnostic d’érythroplasie est un diagnostic d’élimination de toutes les autres causes possibles de plages érythémateuses de la muqueuse buccale : dermatoses telles que le lichen plan érythémateux, le lupus ou la pemphigoïde cicatricielle, le syndrome de Reiter, les infections bactériennes ou mycosiques chroniques (candidoses, histoplasmose), les réactions à des agressions physiques ou chimiques, les réactions immunitaires d’hypersensibilité, les plages érythémateuses symptomatiques d’une anémie, les hémangiomes ou les lésions débutantes de maladie de Kaposi.
L’érythroplasie est très rare, et les lésions qui sont rouges avec quelques plages blanches sont plutôt des érythroleucoplasies comme vu plus haut.
L’érythroplasie est très rare, et les lésions qui sont rouges avec quelques plages blanches sont plutôt des érythroleucoplasies comme vu plus haut.
Lire aussi | Perspectives en imagerie médicale oncologique
Lésions palatines des fumeurs inversés
Cette affection est spécifique des populations qui fument avec l’extrémité incandescente de la cigarette dans la bouche. Les lésions sont palatines, rouges, blanches ou mixtes. Il n’y a pas de difficulté à la définition ou au diagnostic de ces lésions à partir du moment où cette habitude a été identifiée chez la personne dans sa communauté.
Fibrose sous-muqueuse
La fibrose sous-muqueuse est une atteinte chronique de la cavité buccale, surtout observée en Inde, mais aussi dans d’autres régions d’Asie et de plus en plus en Europe en raison des flux migratoires. Elle serait liée aux habitudes alimentaires d’ingestion d’aliments épicés, aux déficiences en vitamines B, à la mastication de noix de bétel et au tabac. La maladie est plus fréquente entre 20 et 40 ans.
Cliniquement, la fibrose sous-muqueuse se traduit par une intense sensation de brûlure et la formation de vésicules (surtout sur le palais et la langue) suivies par des ulcérations superficielles. Le stade fibreux se traduit par un blanchiment de la muqueuse qui apparaît lisse, atrophique, et perd progressivement son élasticité. La mobilité de la langue est limitée, et des zones d’atrophie papillaire sont observées, parfois au voisinage de placards kératosiques. Le palais, la loge amygdalienne et l’ensemble de la muqueuse buccale peuvent être atteints ainsi que le pharynx et l’œsophage. L’ouverture de la bouche, la mastication et la déglutition deviennent difficiles.
La fibrose sous-muqueuse est bien reconnue comme une affection potentiellement maligne.
Cliniquement, la fibrose sous-muqueuse se traduit par une intense sensation de brûlure et la formation de vésicules (surtout sur le palais et la langue) suivies par des ulcérations superficielles. Le stade fibreux se traduit par un blanchiment de la muqueuse qui apparaît lisse, atrophique, et perd progressivement son élasticité. La mobilité de la langue est limitée, et des zones d’atrophie papillaire sont observées, parfois au voisinage de placards kératosiques. Le palais, la loge amygdalienne et l’ensemble de la muqueuse buccale peuvent être atteints ainsi que le pharynx et l’œsophage. L’ouverture de la bouche, la mastication et la déglutition deviennent difficiles.
La fibrose sous-muqueuse est bien reconnue comme une affection potentiellement maligne.
Chéilites actiniques
Les chéilites actiniques sont des affections des lèvres considérées comme potentiellement malignes. L’épithélium du vermillon et le tissu conjonctif sous-jacent présentent des anomalies assez caractéristiques (kérati-nisation, atypies cellulaires, dégénérescence basophile du collagène et élastose). Le diagnostic clinique de présomption doit être confirmé par une biopsie (fig. 4 ).
Lire aussi | Innovations en oncologie : les 10 messages-clés
Lichen plan
Le lichen plan est une maladie dermatologique inflammatoire chronique d’origine immunitaire à médiation cellulaire qui survient préférentiellement chez l’adulte d’âge moyen. On estime que 30 à 77 % des malades ayant un lichen plan cutané ont une atteinte muqueuse associée. Le lichen plan muqueux isolé représente 25 % des cas de lichen plan. La muqueuse buccale est le plus souvent touchée, mais toutes les muqueuses peuvent être atteintes : la région génitale, l’anus, le larynx et, de façon exceptionnelle, le conduit auditif externe, la membrane tympanique ou l’œsophage.
Sa cause est inconnue. Dans les zones atteintes, les lymphocytes T s’accumulent en dessous de l’épithélium de la muqueuse buccale et augmentent le rythme de différenciation épithéliale. Il en résulte une hyperkératose et un érythème avec ou sans érosions. On peut observer des formes cliniques diverses :
– la forme réticulée est la plus facilement reconnaissable, les lésions sont typiquement asymptomatiques, bilatérales et réalisent un réseau blanchâtre de préférence sur la face interne des joues (fig. 5 ), sur la langue (bords libres et face ventrale) des plaques fixes blanchâtres ou sur la gencive ;
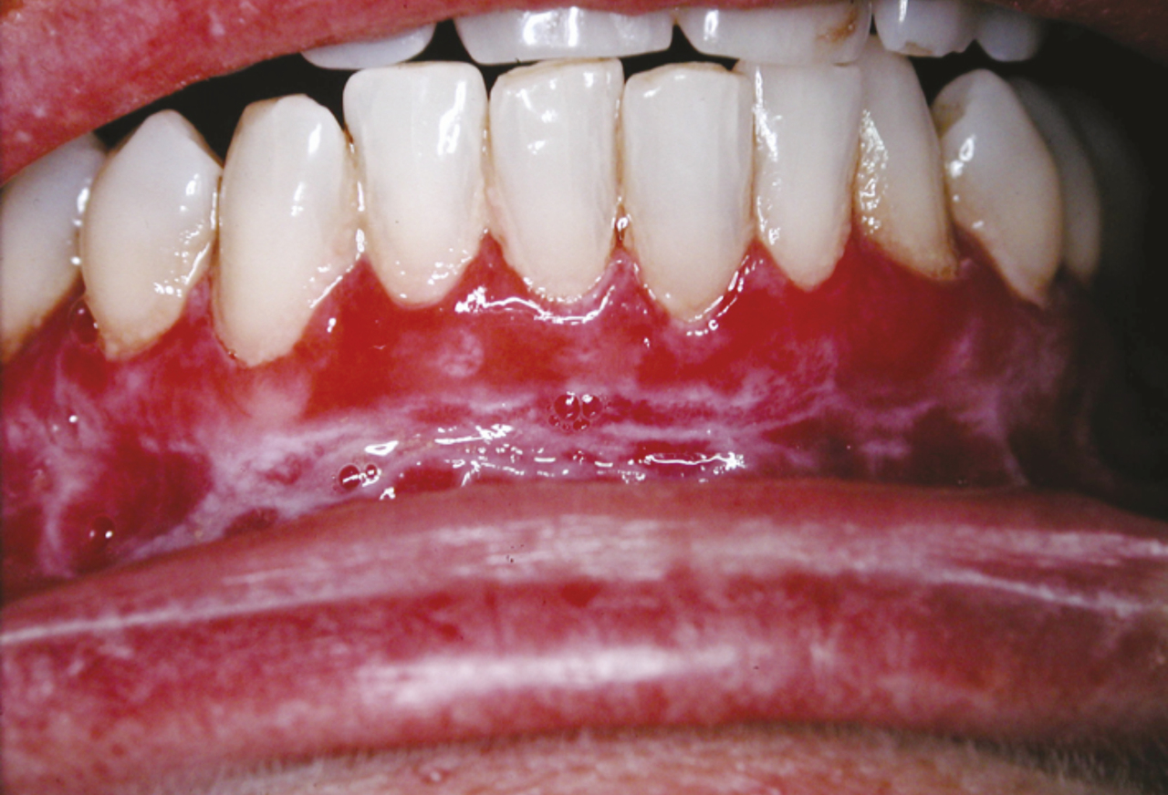
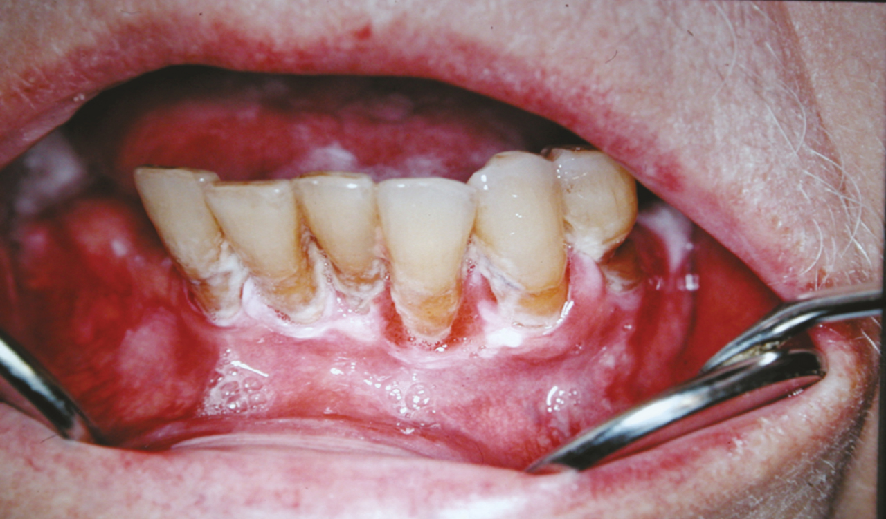
– la forme érosive, la plus fréquente, associe à un fond érythémateux des zones érosives douloureuses à limites nettes, à fond le plus souvent rouge (fig. 6 ). L’érosion peut laisser la place à une véritable ulcération avec un fond fibrineux. La présence d’un réseau lichénien en périphérie de ces lésions confirme le diagnostic. L’aspect, lorsqu’il concerne les gencives, peut être fait de lésions classiques de lichen (fig. 7 ) ou devenir celui d’une gingivite érosive et desquamative (fig. 8 ), et le diagnostic différentiel est alors difficile avec les affections bulleuses de la muqueuse orale. Les formes atrophiques s’observent plus volontiers sur la gencive, le dos de la langue où elles s’accompagnent d’une dépapillation irréversible. Les patients se plaignent d’une sensibilité accrue aux aliments épicés ou d’une irritation liée au brossage des dents.
Le lichen plan et les lésions lichénoïdes (fig. 9 ) ont des caractéristiques cliniques et histologiques permettant habituellement de les distinguer des leucoplasies. La biopsie est donc nécessaire. La distinction entre le lichen plan et les lésions lichénoïdes est du domaine du spécialiste ; elle peut être importante dans la mesure où seules les lésions lichénoïdes seraient susceptibles de transformation maligne.4
Le risque de transformation maligne du lichen plan buccal (fig. 10) est très faible, amenant certains auteurs à considérer que ce risque n’est pas spécifique. Une étude finlandaise portant sur 13 100 femmes suivies de 1969 à 2012 vient d’apporter des précisions importantes :5 le « standardized incidence ratio » (SIR) [nombre de cancers observés divisé par le nombre de cancers attendus] était de 1,15 (intervalle de confiance à 95 % : 1,09-1,20). Il était plus élevé pour les localisations linguales, labiales et plus globalement de la cavité orale ainsi que pour l’œsophage et le larynx (et la vulve). Le risque était absent pour les localisations pharyngées et cutanées. Ces éléments sont importants pour le traitement et le suivi des malades atteints de lichen plan.
Sa cause est inconnue. Dans les zones atteintes, les lymphocytes T s’accumulent en dessous de l’épithélium de la muqueuse buccale et augmentent le rythme de différenciation épithéliale. Il en résulte une hyperkératose et un érythème avec ou sans érosions. On peut observer des formes cliniques diverses :
– la forme réticulée est la plus facilement reconnaissable, les lésions sont typiquement asymptomatiques, bilatérales et réalisent un réseau blanchâtre de préférence sur la face interne des joues (
– la forme érosive, la plus fréquente, associe à un fond érythémateux des zones érosives douloureuses à limites nettes, à fond le plus souvent rouge (
Le lichen plan et les lésions lichénoïdes (
Le risque de transformation maligne du lichen plan buccal (fig. 10) est très faible, amenant certains auteurs à considérer que ce risque n’est pas spécifique. Une étude finlandaise portant sur 13 100 femmes suivies de 1969 à 2012 vient d’apporter des précisions importantes :5 le « standardized incidence ratio » (SIR) [nombre de cancers observés divisé par le nombre de cancers attendus] était de 1,15 (intervalle de confiance à 95 % : 1,09-1,20). Il était plus élevé pour les localisations linguales, labiales et plus globalement de la cavité orale ainsi que pour l’œsophage et le larynx (et la vulve). Le risque était absent pour les localisations pharyngées et cutanées. Ces éléments sont importants pour le traitement et le suivi des malades atteints de lichen plan.
Lire aussi | Innovations en radiothérapie
Lupus érythémateux discoïde
Cette affection chronique auto-immune est de cause inconnue. La distinction clinique entre lupus érythé-mateux discoïde, lichen plan et érythroplasie est parfois difficile. Les données sont contradictoires quant au potentiel de malignité de cette maladie. Des cas de transformation maligne ont été rapportés, le plus souvent lorsque la localisation est labiale.6
Lire aussi | Dossier progressif n° 323
Affections héréditaires
Deux maladies héréditaires (très rares) peuvent entraîner un risque accru de cancer dans la cavité buccale : la dyskératose congénitale et l’épidermolyse bulleuse. Dans la dyskératose congénitale liée au chromosome X et ne touchant que les sujets de sexe masculin, des plaques blanches de la face dorsale de la langue peuvent être présentes. Elles sont distinguées des leucoplasies du fait de l’absence de facteurs de risque et du jeune âge des patients qui oriente vers une affection héréditaire. Des cancers sur les lésions blanches ont été rapportés.
CONCLUSION
Les leucoplasies sont les principales lésions potentiel-lement malignes de la muqueuse orale. Elles sont liée à une cause (tabac, noix d’arec) ou idiopathiques. L’aspect clinique est précieux : il distingue les leucoplasies homogènes (en couleur et en relief) qui se transforment peu et les leucoplasies inhomogènes susceptibles de transformation maligne. La surveillance clinique et histo-logique est primordiale et doit permettre un diagnostic très précoce de la cancérisation à un stade où les possibilités thérapeutiques sont efficaces sans répercussions majeures sur la qualité de vie.
Le lichen plan oral doit être considéré le plus souvent comme une dermatose chronique bénigne avec des possibilités de cancérisation nécessitant le traitement des poussées et une surveillance régulière. D’autres lésions ou affections potentiellement malignes peuvent être présentes comme certaines formes de lupus ou certaines affections héréditares. Elles sont rares.
Le lichen plan oral doit être considéré le plus souvent comme une dermatose chronique bénigne avec des possibilités de cancérisation nécessitant le traitement des poussées et une surveillance régulière. D’autres lésions ou affections potentiellement malignes peuvent être présentes comme certaines formes de lupus ou certaines affections héréditares. Elles sont rares.
Références
1. Warnakulasuriya S, Johnson NW, van der Waal I. Nomenclature and classification of potentially malignant disorders of the oral mucosa. J Oral Pathol Med 2007;36:575-80.
2. Ben Slama L. Affections potentiellement malignes de la muqueuse buccale : Nomenclature et classification. Rev Stomatol Chir Maxillofac 2010;111:208-12.
3. Van der Waal I. Oral potentially malignant disorders: is malignant transformation predictable and preventable? Med Oral Patol Oral Cir Bucal 2014;19:e386-90.
4. Mares S, Ben Slama L, Gruffaz F, Goudot P, Bertolus C. Caractère potentiellement malin du lichen plan oral et des lésions lichénoïdes. Rev Stomatol Chir Maxillofac Chir Orale 2013;114:293-8.
5. Halonen P, Jakobsson M, Heikinheimo O, Riska A, Gissler M, Pukkala E. Cancer risk of lichen planus: A cohort study of 13,100 women in Finland. Int J Cancer 2018;142:18-22.
2. Ben Slama L. Affections potentiellement malignes de la muqueuse buccale : Nomenclature et classification. Rev Stomatol Chir Maxillofac 2010;111:208-12.
3. Van der Waal I. Oral potentially malignant disorders: is malignant transformation predictable and preventable? Med Oral Patol Oral Cir Bucal 2014;19:e386-90.
4. Mares S, Ben Slama L, Gruffaz F, Goudot P, Bertolus C. Caractère potentiellement malin du lichen plan oral et des lésions lichénoïdes. Rev Stomatol Chir Maxillofac Chir Orale 2013;114:293-8.
5. Halonen P, Jakobsson M, Heikinheimo O, Riska A, Gissler M, Pukkala E. Cancer risk of lichen planus: A cohort study of 13,100 women in Finland. Int J Cancer 2018;142:18-22.