La polypose nasosinusienne est une rhinosinusite diffuse caractérisée par la présence de polypes bilatéraux dans les cavités nasales venant du massif ethmoïdal. Sa physiopathologie repose sur une inflammation chronique de la muqueuse des cavités nasales et sinusiennes marquée par une infiltration éosinophilique plus ou moins importante. Aucune cause n’a actuellement été mise en évidence hormis une exceptionnelle association avec une mucoviscidose, une dyskinésie ciliaire, ou un déficit immunitaire.1 Deux formes cliniques doivent être distinguées : la polypose primitive isolée et la polypose s’intégrant dans le cadre d’une maladie de Widal associant un asthme et une intolérance à l’aspirine, aux anti-inflammatoires non stéroïdiens (AINS) et aux sulfites.2
Épidémiologie
La prévalence des rhinosinusites chroniques varie selon les études et selon les pays. Elle est estimée à 11 % en Europe, 12 % aux États-Unis, et 8 % en Chine. Elles représentent aux États-Unis l’une des 10 principales pathologies ayant un coût élevé estimé à 8 billions de dollars par an pour les employeurs et celui du traitement d’un patient à 2 600 dollars par an. Le coût moyen annuel en Europe a été estimé à 1 700 euros. La polypose nasosinusienne représenterait près de 40 % de l’ensemble des formes cliniques de rhinosinusite chronique, avec une prévalence d’environ 5 % en Europe. Chez l’asthmatique, la prévalence de la polypose nasosinusienne est estimée entre 7 et 15 %.
Lire aussi | Sinusites chez l’enfant : nouvelles recos HAS
Deux symptômes à forte valeur diagnostique : anosmie et perte de la flaveur
L’âge moyen des patients est compris entre 40 et 50 ans au moment du diagnostic, mais les premiers symptômes ont souvent débuté entre 25 à 30 ans (sex ratio 1,3).
L’interrogatoire a un double but : orienter le diagnostic positif et évaluer l’efficacité des traitements. La plupart des symptômes rhinologiques (obstruction nasale, rhinorrhée antérieure, rhinorrhée postérieure, crises d’éternuements, pesanteurs ou douleurs de la face) se rencontrent dans toutes les maladies rhinosinusiennes aiguës ou chroniques, mais deux symptômes ont une forte valeur d’orientation diagnostique : l’anosmie et la perte de la flaveur* qui sont presque pathognomoniques de cette maladie. L’interrogatoire recherche aussi des antécédents d’allergie, un asthme, une toux chronique, une intolérance à l’aspirine, aux AINS ou aux sulfites (vin) et des manifestations otologiques (otites à répétition, otite chronique).
L’examen clinique nécessite l’emploi d’un fibroscope souple ; il ne peut donc être réalisé que par un oto-rhino-laryngologiste (ORL). Réalisé en consultation, il permet de voir la polypose (fig. 1 ) et d’en préciser la topographie (bilatérale et à peu près symétrique). Le volume de la polypose est évalué en trois stades :
– stade 1, les polypes occupent au maximum le tiers supérieur de la cavité nasale ;
– stade 2, les polypes occupent au maximum les deux tiers de la cavité nasale ;
– stade 3, les polypes occupent plus des deux tiers de la cavité nasale.
L’examen clinique de la cavité nasale recherche également des anomalies anatomiques (déviation septale, concha bullosa, ou séquelles d’interventions antérieures).
Enfin, il faut réaliser une otoscopie systématique devant la fréquence des otites chroniques chez les patients ayant une polypose nasosinusienne.
L’interrogatoire a un double but : orienter le diagnostic positif et évaluer l’efficacité des traitements. La plupart des symptômes rhinologiques (obstruction nasale, rhinorrhée antérieure, rhinorrhée postérieure, crises d’éternuements, pesanteurs ou douleurs de la face) se rencontrent dans toutes les maladies rhinosinusiennes aiguës ou chroniques, mais deux symptômes ont une forte valeur d’orientation diagnostique : l’anosmie et la perte de la flaveur* qui sont presque pathognomoniques de cette maladie. L’interrogatoire recherche aussi des antécédents d’allergie, un asthme, une toux chronique, une intolérance à l’aspirine, aux AINS ou aux sulfites (vin) et des manifestations otologiques (otites à répétition, otite chronique).
L’examen clinique nécessite l’emploi d’un fibroscope souple ; il ne peut donc être réalisé que par un oto-rhino-laryngologiste (ORL). Réalisé en consultation, il permet de voir la polypose (
– stade 1, les polypes occupent au maximum le tiers supérieur de la cavité nasale ;
– stade 2, les polypes occupent au maximum les deux tiers de la cavité nasale ;
– stade 3, les polypes occupent plus des deux tiers de la cavité nasale.
L’examen clinique de la cavité nasale recherche également des anomalies anatomiques (déviation septale, concha bullosa, ou séquelles d’interventions antérieures).
Enfin, il faut réaliser une otoscopie systématique devant la fréquence des otites chroniques chez les patients ayant une polypose nasosinusienne.
Quel bilan paraclinique ?
Les examens complémentaires sont dominés par les examens radiologique, pneumologique et allergologique.
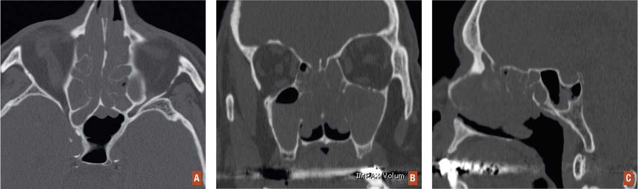
Bilan radiologique
Les clichés standard de la face ne sont d’aucune utilité ; ils ne doivent plus être prescrits en pathologie rhinosinusienne aiguë ou chronique. L’imagerie volumétrique par faisceau conique ou « cone beam »(cone beam computed tomography [CBCT]) est l’examen de référence. L’imagerie par résonance magnétique (IRM) n’a que des indications très limitées et ne doit être prescrite que par le spécialiste ORL. Le cone beam doit être effectué en coupes axiales et coronales, voire sagittales, sans injection de produit de contraste. Il peut être couplé à une tomodensitométrie dentaire si l’on suspecte l’existence de pathologies dentaires apicales. Cet examen doit être fait dans des conditions strictes :
– il ne doit pas être réalisé après une cure de corticoïdes per os ; en effet, ce traitement va diminuer les lésions muqueuses minimisant les images radiologiques et conduisant à des erreurs diagnostiques ; un délai d’un mois après la prise d’une corticothérapie orale doit être respecté ;
– il ne doit pas être réalisé après une poussée de surinfection car cela augmente toujours les lésions muqueuses maximisant les images radiologiques et conduisant également à des erreurs diagnostiques ; un délai d’un mois après une poussée de surinfection doit être respecté. L’examen doit être fait dans l’état de base du patient.
Cet examen a quatre objectifs :
– confirmer le diagnostic topographique (fig. 2 ) ; l’atteinte des cellules ethmoïdales est bilatérale et symétrique ; une atteinte unilatérale doit conduire à suspecter une tumeur et à réaliser une IRM ;
– quantifier l’étendue des lésions ;
– rechercher des lésions associées (lésions apicales dentaires, aspergillose) ;
– analyser les repères anatomiques (risque chirurgical).
– il ne doit pas être réalisé après une cure de corticoïdes per os ; en effet, ce traitement va diminuer les lésions muqueuses minimisant les images radiologiques et conduisant à des erreurs diagnostiques ; un délai d’un mois après la prise d’une corticothérapie orale doit être respecté ;
– il ne doit pas être réalisé après une poussée de surinfection car cela augmente toujours les lésions muqueuses maximisant les images radiologiques et conduisant également à des erreurs diagnostiques ; un délai d’un mois après une poussée de surinfection doit être respecté. L’examen doit être fait dans l’état de base du patient.
Cet examen a quatre objectifs :
– confirmer le diagnostic topographique (
– quantifier l’étendue des lésions ;
– rechercher des lésions associées (lésions apicales dentaires, aspergillose) ;
– analyser les repères anatomiques (risque chirurgical).
Bilan pneumologique
La polypose nasosinusienne doit être considérée comme une maladie intrinsèque de la muqueuse respiratoire et doit ainsi conduire à rechercher une atteinte des autres muqueuses respiratoires (poumon et oreille moyenne). Devant une polypose nasosinusienne isolée, sans asthme, il est important de demander des épreuves fonctionnelles respiratoires – souvent normales – couplées avec un test à la méthacholine révélant une hyperréactivité bronchique.
Bilan allergologique
Il est réalisé par un test de dépistage sanguin type Phadiatop. L’allergie n’est pas responsable d’une polypose nasosinusienne mais peut lui être associée.
Un cas particulier : la triade de Widal
La triade de Widal associe polypose nasosinusienne, asthme et intolérance à l’aspirine, aux AINS et aux sulfites (vin) [tableau 1] . Elle affecte 2,5 % de la population et 10 % des patients ayant un asthme intrinsèque. Le marqueur biochimique de cette entité est une exacerbation importante des réponses respiratoires à l’ingestion de substances inhibant la cyclo-oxygénase 1. C’est donc un mécanisme biochimique et non allergique. La polypose nasosinusienne est, dans ce cadre, souvent corticorésistante, et les indications chirurgicales sont plus fréquentes.
Lire aussi | Rhinorrhée chronique de l’enfant
Quelle prise en charge ?
Le traitement de la polypose nasosinusienne repose sur un traitement médical, parfois couplé à un traitement chirurgical.3 Plusieurs méta-analyses sur ce traitement ont été publiées ces dernières années.
Traitement médical4, 5
Le lavage des cavités nasales est un point essentiel du traitement de la polypose nasosinusienne. Une méta- analyse a récemment souligné l’intérêt du lavage des cavités nasales dans les rhinosinusites chroniques, incluant la polypose.
La corticothérapie locale est le traitement de base de la polypose nasosinusienne. En France, trois molécules ont une autorisation de mise sur le marché avec l’indication « traitement symptomatique de la polypose nasosinusienne » (tableau 2 ). Les principaux effets indésirables sont la survenue d’épistaxis le plus souvent très minimes, et plus rarement de cataracte et de glaucome ou de perforation du septum nasal. Les études n’ont pas mis en évidence d’effet sur l’axe hypothalamo-hypophysaire avec un traitement local continu.
Les corticoïdes oraux améliorent les symptômes et la qualité de vie des patients ayant une polypose nasosinusienne mais leur durée d’action est courte (moins d’un mois). Le traitement repose sur le principe de la cure courte : corticoïde à élimination rapide, pendant 8 jours, en respectant les contre-indications, sans régime sans sel (excepté pour les terrains à risque), sans décroissance des doses, avec une posologie de 1 mg/kg/j. Les molécules sont la prednisone, la prednisolone, la bêtaméthasone, et la méthylprednisone. Il est essentiel de limiter le nombre de cures annuelles à trois au maximum afin d’éviter les complications de la corticothérapie au long cours.
Les corticoïdes per os administrés en cure courte sont efficaces dans le traitement de la polypose nasosinusienne mais sur une courte période (quelques semaines), tandis que les corticoïdes locaux sont efficaces avec une efficacité moindre mais ils peuvent être prescrits sur une longue période sans effet délétère important. Il faut donc coupler ces deux voies d’administration : la voie générale étant utilisée afin de réduire le volume de la polypose, la voie locale pour le traitement de fond. Avec une telle association thérapeutique, 85 % des patients jugent le traitement efficace. L’intensité des symptômes diminue de 80 % pour l’obstruction nasale, de 77 % pour la rhinorrhée postérieure, de 59 % pour la dysosmie. La consommation de prednisone est voisine de 700 mg durant la première année de traitement (soit environ 2 cures/an) et diminue à moins de 100 mg les années suivantes. Seulement 15 % des patients ont dû bénéficier d’un traitement chirurgical complémentaire.6
Enfin, la conférence de consensus européen sur la polypose nasosinusienne ne recommande pas un traitement antihistaminique.
La corticothérapie locale est le traitement de base de la polypose nasosinusienne. En France, trois molécules ont une autorisation de mise sur le marché avec l’indication « traitement symptomatique de la polypose nasosinusienne » (
Les corticoïdes oraux améliorent les symptômes et la qualité de vie des patients ayant une polypose nasosinusienne mais leur durée d’action est courte (moins d’un mois). Le traitement repose sur le principe de la cure courte : corticoïde à élimination rapide, pendant 8 jours, en respectant les contre-indications, sans régime sans sel (excepté pour les terrains à risque), sans décroissance des doses, avec une posologie de 1 mg/kg/j. Les molécules sont la prednisone, la prednisolone, la bêtaméthasone, et la méthylprednisone. Il est essentiel de limiter le nombre de cures annuelles à trois au maximum afin d’éviter les complications de la corticothérapie au long cours.
Les corticoïdes per os administrés en cure courte sont efficaces dans le traitement de la polypose nasosinusienne mais sur une courte période (quelques semaines), tandis que les corticoïdes locaux sont efficaces avec une efficacité moindre mais ils peuvent être prescrits sur une longue période sans effet délétère important. Il faut donc coupler ces deux voies d’administration : la voie générale étant utilisée afin de réduire le volume de la polypose, la voie locale pour le traitement de fond. Avec une telle association thérapeutique, 85 % des patients jugent le traitement efficace. L’intensité des symptômes diminue de 80 % pour l’obstruction nasale, de 77 % pour la rhinorrhée postérieure, de 59 % pour la dysosmie. La consommation de prednisone est voisine de 700 mg durant la première année de traitement (soit environ 2 cures/an) et diminue à moins de 100 mg les années suivantes. Seulement 15 % des patients ont dû bénéficier d’un traitement chirurgical complémentaire.6
Enfin, la conférence de consensus européen sur la polypose nasosinusienne ne recommande pas un traitement antihistaminique.
Traitement chirurgical7, 8
Le traitement chirurgical de la polypose nasosinusienne s’est développé avec l’apport des techniques de vidéochirurgie endonasale, puis de la navigation assistée par ordinateur.
Ses indications sont fondées sur deux critères concommitants :
– la présence de symptômes altérant la qualité de vie du patient ;
– la résistance prouvée au traitement médical, c’est-à-dire un patient imposant l’administration de plus de trois cures annuelles de corticoïdes per os afin d’obtenir un résultat fonctionnel satisfaisant.
Les complications de la chirurgie ethmoïdale sont exceptionnelles et dominées par les complications endocrâniennes (0,3 % des interventions) et les complications ophtalmologiques (0,2 %).
Ses indications sont fondées sur deux critères concommitants :
– la présence de symptômes altérant la qualité de vie du patient ;
– la résistance prouvée au traitement médical, c’est-à-dire un patient imposant l’administration de plus de trois cures annuelles de corticoïdes per os afin d’obtenir un résultat fonctionnel satisfaisant.
Les complications de la chirurgie ethmoïdale sont exceptionnelles et dominées par les complications endocrâniennes (0,3 % des interventions) et les complications ophtalmologiques (0,2 %).
Lire aussi | Pathologie rhinosinusienne : les messages clés
Conclusion
La polypose nasosinusienne est la forme la plus sévère de rhinosinusite chronique de l'adulte. Elle témoigne d'une maladie intrinsèque de la muqueuse respiratoire haute et peut s'associer à un asthme dans le cadre de la maladie de Widal. Le traitement est toujours médical basé sur la corticothérapie, mais il convient de ne pas laisser passer une indication chirurgicale lorsque la gêne fonctionnelle persiste malgré 3 cures courtes de corticoïdes per os annuelles.
* Ensemble des sensations olfactives et gustatives en rapport avec les produits alimentaires.
Références
1. Hulse KE, Stevens WW, Tan BK, Schleimer RP. Pathogenesis of nasal polyposis. Clin Exp Allergy 2015;45:328-46.
2. Makowska J, Lewandowska-Polak A, Kowalski ML. Hypersensitivity to Aspirin and other NSAIDs: diagnostic approach in patients with chronic rhinosinusitis. Curr Allergy Asthma Rep 2015;15:47.
3. Bachert C, Holtappels G. Pathophysiology of chronic rhinosinusitis, pharmaceutical therapy options. GMS Curr Top Otorhinolaryngol Head Neck Surg 2015;14:Doc09.
4. Leung RM, Dinnie K, Smith TL. When do the risks of repeated courses of corticosteroids exceed the risks of surgery? Int Forum Allergy Rhinol 2014;4:871-6.
5. Bonfils P, Norès JM, Halimi P, Avan P. Corticosteroid treatment in nasal polyposis with a three-year follow-up period. Laryngoscope 2003;113:683-7.
6. Bonfils P. Evaluation of the combined medical and surgical treatment in nasal polyposis. I: Functional results. Acta Otolaryngol 2007;127:436-46.
7. Dalziel K, Stein K, Round A, Garside R, Exeter P. Systematic review of endoscopic sinus surgery for nasal polyps. Health Technol Assess 2003;7:1-159.
8. Bonfils P, Halimi P, Gaultier AL, Lisan Q. La polypose nasosinusienne - La rhinosinusite chronique avec polypes – EMC (Elsevier), ORL, 20-435-A-10 (21 pages).
2. Makowska J, Lewandowska-Polak A, Kowalski ML. Hypersensitivity to Aspirin and other NSAIDs: diagnostic approach in patients with chronic rhinosinusitis. Curr Allergy Asthma Rep 2015;15:47.
3. Bachert C, Holtappels G. Pathophysiology of chronic rhinosinusitis, pharmaceutical therapy options. GMS Curr Top Otorhinolaryngol Head Neck Surg 2015;14:Doc09.
4. Leung RM, Dinnie K, Smith TL. When do the risks of repeated courses of corticosteroids exceed the risks of surgery? Int Forum Allergy Rhinol 2014;4:871-6.
5. Bonfils P, Norès JM, Halimi P, Avan P. Corticosteroid treatment in nasal polyposis with a three-year follow-up period. Laryngoscope 2003;113:683-7.
6. Bonfils P. Evaluation of the combined medical and surgical treatment in nasal polyposis. I: Functional results. Acta Otolaryngol 2007;127:436-46.
7. Dalziel K, Stein K, Round A, Garside R, Exeter P. Systematic review of endoscopic sinus surgery for nasal polyps. Health Technol Assess 2003;7:1-159.
8. Bonfils P, Halimi P, Gaultier AL, Lisan Q. La polypose nasosinusienne - La rhinosinusite chronique avec polypes – EMC (Elsevier), ORL, 20-435-A-10 (21 pages).