« Oreille bouchée » : multiples étiologies possibles.
Otoscopie : élimine les pathologies du conduit auditif externe et de l’oreille moyenne (essentiellement otitiques).
Interrogatoire, examen clinique et acoumétrie (encadré ) : orientent le diagnostic en médecine générale.
Bilan spécialisé ORL (audiométrie tonale, vocale, recherche du réflexe stapédien) : caractérise le type d’atteinte.
Otoscopie : élimine les pathologies du conduit auditif externe et de l’oreille moyenne (essentiellement otitiques).
Interrogatoire, examen clinique et acoumétrie (
Bilan spécialisé ORL (audiométrie tonale, vocale, recherche du réflexe stapédien) : caractérise le type d’atteinte.
Surdité de transmission ou mixte
Défaut de transmission entre la source du son et la cochlée ; atteinte au niveau de l’oreille interne et/ou moyenne.
Caractéristiques cliniques et acoumétriques :
– latéralisation du côté sourd à l’épreuve de Weber (fig. 1 ) ;
– si transmissionnelle pure : perte inférieure à 50 dB ;
– acouphène (s’il existe) plutôt grave (bourdonnement).
Otospongiose :
– ostéodystrophie de la capsule labyrinthique, responsable d’une ankylose de l’étrier et donc d’un défaut de transmission des sons vers l’oreille interne ;
– à prédominance féminine, aggravée par les épisodes de la vie génitale (grossesse surtout) ;
– le caractère familial – bien que non systématique – est très évocateur ;
– diagnostic confirmé par le scanner des rochers (fig. 2 ) ;
– prise en charge chirurgicale.
Anomalies ossiculaires :
– acquises : disjonction post-traumatique, tympanosclérose ;
– congénitales : blocage ossiculaire par fixation de la tête du marteau, malformation (aplasie mineure), cholestéatome congénital…
Anomalieslabyrinthiques : syndrome de Minor/déhiscence du canal semi-circulaire supérieur.
Caractéristiques cliniques et acoumétriques :
– latéralisation du côté sourd à l’épreuve de Weber (
– si transmissionnelle pure : perte inférieure à 50 dB ;
– acouphène (s’il existe) plutôt grave (bourdonnement).
Otospongiose :
– ostéodystrophie de la capsule labyrinthique, responsable d’une ankylose de l’étrier et donc d’un défaut de transmission des sons vers l’oreille interne ;
– à prédominance féminine, aggravée par les épisodes de la vie génitale (grossesse surtout) ;
– le caractère familial – bien que non systématique – est très évocateur ;
– diagnostic confirmé par le scanner des rochers (
– prise en charge chirurgicale.
Anomalies ossiculaires :
– acquises : disjonction post-traumatique, tympanosclérose ;
– congénitales : blocage ossiculaire par fixation de la tête du marteau, malformation (aplasie mineure), cholestéatome congénital…
Anomalieslabyrinthiques : syndrome de Minor/déhiscence du canal semi-circulaire supérieur.
Surdité de perception
Correspond à une souffrance neurosensorielle par atteinte de l’oreille interne (endocochléaire) ou de l’une des structures situées entre cette dernière et les aires cérébrales auditives (rétrocochléaire).
Caractéristiques cliniques et acoumétriques :
– Weber latéralisé du côté sain (fig. 1 ) ;
– surdité légère à totale, associée ou non à un syndrome vestibulaire périphérique et un acouphène plutôt aigu (« sifflement »).
Prise en charge thérapeutique : urgente ou non selon le mode évolutif et les symptômes associés.
Caractéristiques cliniques et acoumétriques :
– Weber latéralisé du côté sain (
– surdité légère à totale, associée ou non à un syndrome vestibulaire périphérique et un acouphène plutôt aigu (« sifflement »).
Prise en charge thérapeutique : urgente ou non selon le mode évolutif et les symptômes associés.
Surdités endocochléaires
D’apparition brutale :
– surdité brusque idiopathique : définie comme une perte d’audition de plus de 30 dB sur 3 fréquences contiguës ; diagnostic d’élimination qui doit motiver une consultation ORL en urgence (exclure une origine virale, tumorale ou vasculaire). Traitement : essentiellement corticothérapie orale 1 mg/kg/j pendant 7 jours ;
– traumatisme sonore : touche surtout les fréquences aiguës, de 4 000 à 6 000 Hz ; à traiter comme une surdité brusque ;
– ou crânien : fracture du rocher translabyrinthique, confirmée au scanner ; demander un avis ORL en urgence ;
– labyrinthite infectieuse : virale ou bactérienne, peut faire suite à une otite moyenne aiguë ; impose une consultation ORL dans les plus brefs délais ;
– ou auto-immune : s’intègre le plus souvent à une maladie systémique.
Fluctuante :
– évolue par crises, avec récupération plus ou moins complète entre les épisodes ;
– si accompagnée de vertiges, acouphènes et plénitude d’oreille : évoquer une maladie pressionnelle type Menière (atteinte idiopathique du labyrinthe membraneux par hausse de pression du liquide qu’il contient).
Chronique :
– presbyacousie : hypoacousie bilatérale, symétrique, apparaissant sur les fréquences aiguës vers l’âge de 50 ans (vieillissement physiologique de l’oreille interne) ;
– traumatismes sonores répétés : exposition professionnelle, loisirs ;
– ototoxicité : le plus souvent bilatérale, définitive et sur les fréquences aiguës. Produits incriminés : aminoglycosides, antimitotiques comme les platines, dérivés de la quinine, acide acétylsalicylique à haute dose (rhumatologie) ;
– maladie pressionnelle : évolue le plus souvent par crises, avec d’abord une surdité séquellaire sur les fréquences graves ; évoquer une maladie de Menière ou des troubles de la circulation du LCR (hypertension intracrânienne, malformation de la charnière cervico-occipitale type Arnold-Chiari…) ;
– surdité congénitale : uni- ou bilatérale, pouvant s’aggraver progressivement.
Fluctuante :
– évolue par crises, avec récupération plus ou moins complète entre les épisodes ;
– si accompagnée de vertiges, acouphènes et plénitude d’oreille : évoquer une maladie pressionnelle type Menière (atteinte idiopathique du labyrinthe membraneux par hausse de pression du liquide qu’il contient).
Chronique :
Rétrocochléaires
Schwannome du paquet acoustico-facial :
– tumeur rare (1/100 000), bénigne, à croissance lente, se développant le plus souvent aux dépens du nerf vestibulaire inférieur dans le méat auditif interne ;
– suspecté devant une surdité unilatérale ou asymétrique, des troubles vestibulaires (léger déséquilibre, démarche ébrieuse ou embardées ; 50 % des cas) ;
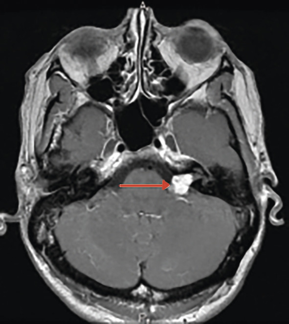
– confirmé par l’IRM qui doit être injectée (le produit de contraste permet de déceler de minuscules schwannomes intracanalaires ou cochléaires ;fig. 3 ).
Autres tumeurs de l’angle ponto-cérébelleux (nerf cochléaire touché) : méningiome, cholestéatome intrapétreux, gliome….
Surdités centrales (liées à une atteinte des voies auditives situées en amont du nerf cochléaire) évoquées si :
– surdité de perception aiguë ou chronique, unilatérale ou bilatérale associée à des signes neurologiques ;
– peuvent être en cause : AVC, méningo-encéphalite, sclérose en plaques, tumeur cérébrale, démences séniles.
– tumeur rare (1/100 000), bénigne, à croissance lente, se développant le plus souvent aux dépens du nerf vestibulaire inférieur dans le méat auditif interne ;
– suspecté devant une surdité unilatérale ou asymétrique, des troubles vestibulaires (léger déséquilibre, démarche ébrieuse ou embardées ; 50 % des cas) ;
– confirmé par l’IRM qui doit être injectée (le produit de contraste permet de déceler de minuscules schwannomes intracanalaires ou cochléaires ;
Autres tumeurs de l’angle ponto-cérébelleux (nerf cochléaire touché) : méningiome, cholestéatome intrapétreux, gliome….
Surdités centrales (liées à une atteinte des voies auditives situées en amont du nerf cochléaire) évoquées si :
– surdité de perception aiguë ou chronique, unilatérale ou bilatérale associée à des signes neurologiques ;
– peuvent être en cause : AVC, méningo-encéphalite, sclérose en plaques, tumeur cérébrale, démences séniles.
Encadre
Sensation d’oreille bouchée : que faire ?
Interrogatoire :
• Délai d’installation
• Facteurs déclenchants
• Loisirs, exposition professionnelle, traitements ototoxiques
• Antécédents :
– personnels, otitiques, vasculaires, infectieux, inflammatoire, auto-immun
– familiaux otologiques (surdité précoce)
• Symptômes associés : acouphènes, vertiges ou instabilité, paralysie faciale, signes neurologiques
Examen clinique :
• Otoscopie
• Examen vestibulaire et neurologique
• Acoumétrie (test de Weber)
Pour en savoir plus
– Leveque P, de Régloix S, Raynal R, et al. Surdité de l’adulte. Rev Prat Med Gen 2018;27:199-205.