objectifs
Argumenter les principales hypothèses diagnostiques et justifier les examens complémentaires pertinents.
Les troubles mictionnels de l’enfant sont un motif fréquent de consultation en pédiatrie. Ils peuvent être soit fonctionnels soit s’intégrer dans des pathologies malformatives et neuro­logiques. Une bonne analyse de ces troubles est indispensable afin de ne pas négliger le risque uronéphrologique et de pouvoir orienter et traiter les patients.

Cycle vésical

Le cycle vésical est composé d’une phase de continence et d’une phase de miction.
Pendant la phase de continence (ou phase de stockage), la vessie doit être compliante : elle doit se laisser distendre, à basse pression durant le remplissage vésical. Lors du remplissage vésical, l’urètre et ses sphincters lisse et strié contribuent à la continence en maintenant un tonus permanent.
Pendant la phase de miction, le complexe sphinctérien se relâche et le muscle lisse détrusorien se contracte : la vessie se vide entièrement, rapidement, à basse pression et sans poussée abdominale.
La synergie vésico-sphinctérienne est donc primordiale : le détrusor est au repos quand le sphincter est contracté et le sphincter est relâché quand le détrusor se contracte.

Innervation

Le bas appareil urinaire constitué de la vessie, de l’urètre et des sphincters a une triple innervation (tableau 1).
Certains centres encéphaliques entrent en jeu dans le comportement mictionnel, permettant notamment de déclencher la miction ou de la différer si elle n’est pas socialement acceptable.

Miction chez l’enfant : repères

Le nourrisson présente une miction automatique par contraction détrusorienne et relaxation sphinctérienne à faible volume vésical.
L’acquisition de la propreté se fait progressivement et dépend de la maturation du système nerveux, de la maturation affective de l’enfant et des relations parents-enfant. Les mictions peuvent être retardées par la contraction sphinctérienne qui va inhiber la contraction du détrusor (réflexe périnéo-détrusorien inhibiteur). Ainsi, l’enfant va acquérir une continence diurne puis nocturne, avec augmentation de la capacité vésicale.
La continence fait partie des étapes du développement de l’enfant (tableau 2).

Examen clinique

Interrogatoire

Il caractérise les troubles mictionnels et oriente le diagnostic. Les informations sont obtenues par l’interrogatoire de l’enfant, qui doit être conduit avec des termes appropriés. L’interrogatoire des parents est lui aussi informatif, mais il faut être prudent car les parents peuvent interpréter ou taire les troubles, surtout pour un premier enfant.

Antécédents

Personnels : ce sont :
  • malformations à risque : anomalie de l’appareil urinaire dont la dilatation du haut appareil urinaire diagnostiquée parfois en anté­natal, anomalie de la moelle épinière découverte sur les échographies prénatales ou suspectées sur l’examen du nouveau-né ;
  • pathologies responsables d’une hyperdiurèse dont nocturne : diabète, syndrome d’apnées du sommeil ;
  • signes d’alerte/de gravité : antécédent d’infection urinaire fébrile (pyélonéphrite aiguë) ou non ; altération de la fonction rénale.
Familiaux : âge tardif d’acquisition de la continence nocturne (énurésie nocturne) chez les parents et dans la fratrie.
Données relatives au développement de l’enfant : âge, sexe, scolarisation, développement psychomoteur (âge d’acquisition de la marche, âge d’acquisition de la continence diurne et nocturne).


Troubles mictionnels

Chez l’enfant, il existe une définition précise des symptômes du bas appareil urinaire d’après l’International Children’s ContinenceSociety (ICCS) pour les enfants de plus de 5 ans ou dès l’acquisition de la propreté.
Comme chez l’adulte, on classe les symptômes en symptômes de la phase de remplissage et symptômes de la phase mictionnelle.
Symptômes de la phase de remplissage : ce sont :
  • fréquence mictionnelle : normale entre 4 et 7/j ; pollakiurie diurne si ≥ 8/j ; fréquence mictionnelle réduite si ≤ 3/j ;
  • incontinence : perte involontaire d’urine (fig. 1). L’énurésie (incontinence nocturne) est dite primaire ou secondaire s’il y a déjà eu une période d’au moins 6 mois de continence ;
  • urgenturie : désir soudain, impérieux et fréquemment irrépressible d’uriner. Le délai de sécurité peut être réduit ;
  • nycturie : besoin d’uriner réveillant le patient.
Symptômes de la phase mictionnelle : ce sont :
  • jet hésitant : retard à l’initiation de la miction ;
  • miction par poussées : l’enfant doit faire un effort pour initier et maintenir la miction (vu par les parents, à demander à l’enfant qui ne s’en plaindra pas spontanément) ;
  • jet faible ;
  • jet interrompu : miction hachée, non continue ;
  • dysurie : difficulté à évacuer les urines.
Symptômes post-mictionnels : ce sont :
  • sensation de vidange incomplète, avec éventuellement nécessité de retourner aux toilettes pour uriner à nouveau (miction en deux temps) ;
  • gouttes retardataires : incontinence juste après la miction pouvant être en relation avec une miction vaginale chez la fille.
Autres : ce sont :
  • évaluation des apports hydriques et de leur répartition au cours de la journée ;
  • manœuvre pour se retenir lors d’urgenturie : jambes croisées, pression sur les organes génitaux ou l’abdomen (par exemple, accroupi avec le talon enfoncé dans le périnée ou assis sur le bord d’une chaise reproduisant le réflexe périnéo-détrusorien pour inhiber une contraction vésicale).
Comme dans tout interrogatoire, il faut préciser :
  • mode d’apparition des symptômes ;
  • facteurs calmants et aggravants ;
  • durée d’évolution et chronologie des symptômes ;
  • caractère paroxystique, intermittent, continu ;
  • traitements entrepris et leur efficacité.

Signes associés

Des troubles anorectaux sont très fréquemment associés dans le cadre d’une constipation fonctionnelle elle-même très fréquente en pédiatrie :
  • constipation ;
  • douleurs défécatoires ;
  • encoprésie (incontinence anale) ;
  • dyschésie anorectale (difficulté à évacuer les selles).
Leur caractérisation est importante car une constipation fonctionnelle ou un fécalome peuvent provoquer des troubles mictionnels. De plus, leur association à des troubles urinaires oriente parfois vers une étiologie neurologique (innervation commune).

Examen physique

Les éléments à évaluer sont :
  • taille, poids, courbes de croissance staturo-pondérale ;
  • examen uro-génital : méat urinaire, organes génitaux externes ;
  • examen abdominal : masse, encombrement stercoral, globe vésical ;
  • examen neurologique : marche, réflexes ostéo-tendineux, tonus, motricité, sensibilité, réflexes cutanéo-plantaires, réflexes cutanés abdominaux ;
  • examen orthopédique : inégalité de longueur des membres inférieurs, scoliose, déformations, pieds creux ;
  • examen de la charnière lombo-sacrée : angiome, lipome, fossette, touffe de poils, appendice caudal.

Examens complémentaires

Non invasifs


Examen cytobactériologique des urines (ECBU)

Une infection urinaire provoque des symptômes urinaires, qui sont à réévaluer après traitement. Dans le cas d’une vessie neuro­logique, la bactériurie est très fréquente, on ne parle d’infection urinaire qu’en cas de symptômes urinaires associés.

Catalogue mictionnel (ou calendrier mictionnel)

C’est un prolongement de l’examen clinique, il est indispensable pour caractériser les troubles (fig. 2). Pendant 2 jours, l’heure des mictions est notée avec le volume uriné. Pour les fuites, on note l’heure, les circonstances (sport, besoin urgent) et leur abondance (quelques gouttes, culotte mouillée, voire pantalon).
Pour évaluer l’énurésie, il faut faire un calendrier sur 7 jours avec épisodes d’incontinence urinaire nocturne et volumes.
Le calendrier mictionnel permet une évaluation objective des symptômes. La diurèse des 24 heures permet d’éliminer une polyurie.
La capacité vésicale maximale peut être comparée à la capacité vésicale théorique, qui se calcule selon l’âge : 30 × (âge + 1), en mL entre 4 et 12 ans. La capacité vésicale est normale entre 65 et 150 % de la capacité vésicale théorique.

Débitmétrie

La débitmétrie constitue également un prolongement de l’examen clinique. C’est un examen simple : il suffit de demander à l’enfant d’uriner sur le siège des toilettes au-dessous duquel se trouve un débitmètre. La débitmétrie permet de mesurer le débit maximal, le volume uriné, le temps pour arriver au débit maximal, le temps de miction total. L’analyse de la forme de la courbe permet d’affiner l’orientation diagnostique.
Pour que la débitmétrie soit interprétable, il faut que le remplissage vésical initial soit supérieur à 50 % de la capacité vésicale théorique.
L’association d’un enregistrement électromyographique des muscles périnéaux (par électrodes de surface) à la débitmétrie classique permet d’apprécier la synergie entre la vessie et les muscles périnéaux.
Concernant les normes, le débit maximal est normal si (débit maximal)2 > volume uriné.
La forme de la courbe de débitmétrie est déterminée par la contraction du détrusor et elle est influencée par la contraction abdominale, la coordination avec la musculature sous-vésicale et l’obstruction anatomique sous-vésicale (fig. 3).

Échographie vésico-rénale et des voies urinaires vessie pleine avec mesure du résidu post-mictionnel (RPM)

Il s’agit d’un outil clé dans l’évaluation des troubles mictionnels de l’enfant et de leurs retentissements. Elle permet d’apprécier :
  • une anomalie du parenchyme rénal : malformation, cicatrices de pyélonéphrites ;
  • une dilatation des cavités pyélocalicielles en faveur d’un reflux vésico-urétéral ;
  • des signes de lutte vésicale (paroi vésicale épaissie, diverticules) ;
  • la mesure du volume pré-mictionnel et du résidu post-mictionnel ;
  • la présence de calculs vésicaux et/ou rénaux.
En physiologie, il n’y a pas de résidu post-mictionnel. Ce résidu est considéré comme anormal selon l’âge si ≥ 10-30 mL ou si ≥ 5-20 % de la capacité vésicale (résidu post-mictionnel + volume uriné).
Le résidu post-mictionnel est analysable si la miction a été effectuée dans des conditions standard : vessie entre 50 et 115 % de la capacité vésicale théorique.

Invasifs


Cystomanométrie

Cet examen fait partie du bilan urodynamique.
Réalisation et objectifs : elle doit être réalisée avec un ECBU stérile ou après une stérilisation des urines par une antibiothérapie adaptée.
Elle consiste en l’analyse des pressions vésicales (sonde vésicale) et abdominales (sonde rectale) au cours de la phase de remplissage et au cours de la miction (où une débitmétrie concomitante peut être réalisée).
La phase de continence est étudiée après vidange totale de la vessie, puis instillation de liquide stérile dans la vessie à une vitesse se rapprochant de la vitesse physiologique. Elle permet de décrire la sensation vésicale, l’activité du détrusor, la compliance vésicale et la capacité cystomanométrique maximale. Physiologiquement, au cours du remplissage, il n’y a ni augmentation de la pression vésicale ni contraction du détrusor. Chez l’enfant, toute activité contractile du détrusor observée avant la miction est considérée comme pathologique : il s’agit d’une hyperactivité détrusorienne. La capacité vésicale cystomanométrique est le volume vésical à la fin du remplissage avant que soit donnée l’autorisation d’uriner. La compliance vésicale (C= ΔV/ΔP [mL/cm d'eau]) reflète la capacité de la vessie à se laisser distendre sans augmentation de pression.
Indication : troubles urinaires incompris, suspicion de vessie neurologique, ou en cas d'échec de prise en charge.

Urétrocystographie rétrograde et per-mictionnelle (UCRM)

Comme la cystomanométrie, elle doit être réalisée avec un ECBU (examen cytobactériologique des urines) stérile ou après une stérilisation des urines par une antibio­thérapie adaptée.
Elle consiste en l'analyse de la morphologie de l'appareil urinaire grâce à des radiographies pendant le remplissage vésical (par une sonde vésicale, avec du produit de contraste) et pendant la miction (après ablation de la sonde).
Elle permet de :
  • visualiser l’existence d’un reflux vésico-rénal. Le reflux est dit passif s’il survient pendant le remplissage vésical ou actif s’il survient pendant la miction. Cet examen est notamment réalisé en cas de dilatation des voies urinaires sur l’échographie, et en cas de pyélonéphrites aiguës répétées ;
  • préciser l’anatomie vésicale et urétrale.

Autres


Évaluation de la fonction rénale

Sa mesure est nécessaire afin d’évaluer le retentissement des troubles vésico-sphinctériens sur la fonction rénale. La fonction rénale est évaluée à l’aide de la créatininémie enzymatique, au mieux avec la clairance de la créatinine mesurée sur les urines des 24 heures. Un complément est possible par une scintigraphie rénale.

Examens morphologiques

Selon le contexte et l’orientation diagnostique, notamment en cas de suspicion de troubles mictionnels d’origine neurologique, peuvent être réalisées une IRM médullaire, des radiographies rachidiennes, etc.

Orientation diagnostique

Les causes sont le plus souvent fonctionnelles puis neurologiques et enfin urologiques.

Causes fonctionnelles


Syndrome clinique d’hyperactivité vésicale

Il est caractérisé par des urgenturies, éventuellement associées à une pollakiurie, des fuites urinaires et une énurésie. Une constipation chronique fonctionnelle est très souvent associée et doit être traitée avant de réaliser le catalogue mictionnel. Le catalogue mictionnel peut retrouver une faible capacité vésicale. L’échographie vésico-rénale est le plus souvent normale. Un bilan urodynamique peut être parfois nécessaire pour adapter le traitement. En cas de doute sur une cause neurologique, il est nécessaire de faire des explorations morphologiques (IRM...).

Dyssynergie vésico-sphinctérienne fonctionnelle

Elle est cliniquement caractérisée par une dysurie et éventuellement des fuites, des infections urinaires. Il s’agit d’un obstacle fonctionnel par absence de relaxation sphinctérienne au cours de la miction (peur des microbes des toilettes publiques, trauma­tisme, abus sexuel…).
Elle peut se compliquer dans les formes sévères de reflux vésico- rénal, voire d’insuffisance rénale. Elle est mise en évidence sur la débitmétrie avec EMG : renforcement EMG au moment de la miction. L’échographie peut retrouver un RPM.

Énurésie nocturne primaire isolée

L’énurésie correspond à une incontinence urinaire survenant pendant le sommeil. L’énurésie nocturne primaire isolée est une incontinence intermittente, pendant le sommeil, après l’âge de 5 ans, en l’absence de période continue de continence supérieure à 6 mois, sans aucun autre symptôme associé, en particulier diurne. Son diagnostic est clinique, par exclusion de toutes les autres pathologies urinaires. Aucune imagerie ou examen complémentaire n’est nécessaire en première intention au diagnostic d’énurésie nocturne primaire isolée. Le calendrier mictionnel de 48 heures permet de confirmer le diagnostic : il est normal dans la journée.
L’énurésie nocturne primaire isolée est favorisée par une petite capacité vésicale, une synthèse accrue d’urine (polyurie nocturne) et un sommeil profond. Ainsi, un diabète et un syndrome d’apnées du sommeil sont à éliminer en cas signes évocateurs et il faudra évaluer les apports hydriques et leur répartition. L’énurésie nocturne primaire isolée peut être associée aux troubles avec déficit d’attention/hyperactivité (TDAH) : 20 % des enfants souffrant de ces troubles ont une énurésie nocturne primaire isolée, et 10 % environ des énurésies nocturnes primaires isolées souffrent de trouble de déficit d’attention et hyperactivité. Cette comorbidité doit donc être recherchée.

Causes neurologiques

À l’âge pédiatrique, les troubles mictionnels fonctionnels sont très fréquents et banalisés. Les troubles mictionnels neurologiques se présentent de façon peu différente des troubles fonctionnels, et il est nécessaire d’éliminer systématiquement toute cause neurologique devant un trouble mictionnel apparemment banal.
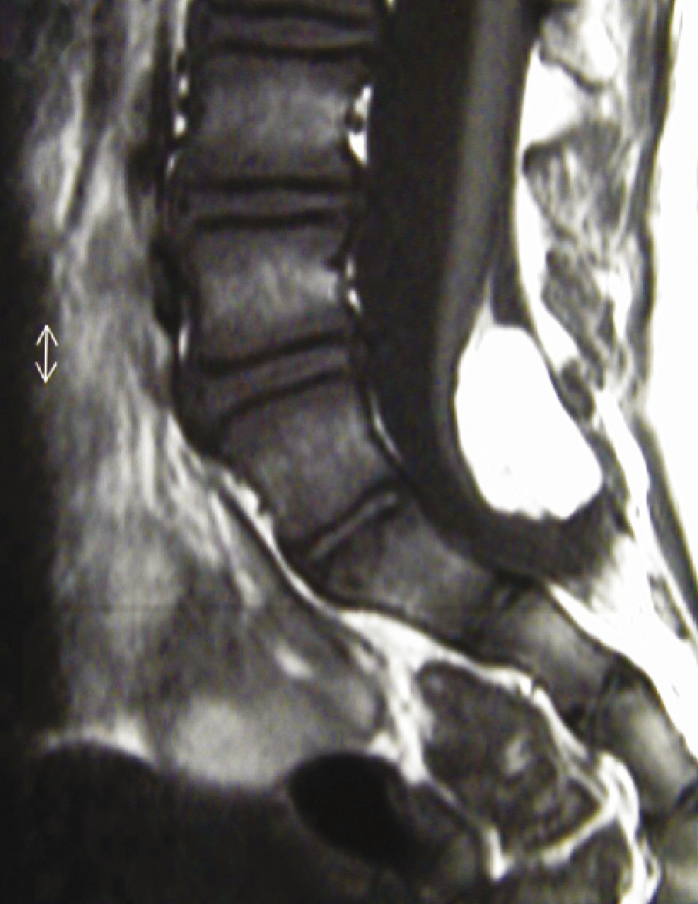
Les malformations vertébro-médullaires ou dysraphismes sont la cause la plus fréquente de troubles mictionnels neurologiques de l’enfant. Ces dysraphismes sont suspectés par un stigmate cutané sur le raphé médian lombaire souvent typique (fossette, masse sous-cutanée [fig. 4], appendice caudal, angiome plan ou tubéreux...). Les dysraphismes fermés (lipome du cône médullaire [fig. 5], lipome du filum terminal, syndrome de régression caudale...) sont des atteintes caudales sans aucune anomalie cérébrale ni cervico-occipitale contrairement aux dysraphismes ouverts (myéloméningocèles). Ces dysraphismes fermés sont responsables de troubles neurologiques médullaires essentiellement sphinctériens et distaux des membres inférieurs (pieds creux varus équin, inégalité de longueur des membres inférieurs). De ce fait, l’examen de tout enfant porteur de troubles urinaires doit comporter un examen clinique de la partie médiane du rachis lombo-sacré et des pieds.
Les autres causes médullaires peuvent être évidentes (paraplégie post-traumatique) ou peuvent être évoquées devant la présence d’un syndrome rachidien et doivent alors faire évoquer une pathologie du contenant osseux (sarcome d’Ewing sacré, kyste anévrismal vertébral...) ou du contenu intracanalaire (astro­cytome médullaire, épendymome de la queue de cheval...).
Les causes cérébrales sont beaucoup moins documentées, notamment pour les enfants traumatisés crâniens et les paralysés cérébraux.
Dans la sclérose en plaques de l’enfant, les troubles urinaires sont souvent inauguraux et à l’origine de complications infectieuses et rénales nécessitant un diagnostic et une prise en charge rapide

Causes urologiques


Sténose acquise ou congénitale de l'urètre chez le garçon

Valves de l’urètre postérieur. Rares, elles sont suspectées devant une dilatation des voies urinaires sur les échographies anténatales, des infections urinaires ou une dysurie chez le garçon.
Il s’agit d’une urgence diagnostique dont le pronostic uronéphrologique est mauvais en cas de chirurgie tardive.
Sténoses acquises du méat urétral chez le plus grand garçon pouvant faire suite à une posthectomie.

Implantation ectopique d’un uretère

Elle est suspectée devant une incontinence urinaire continue avec des mictions préservées. Chez la fille, il s’agit d’un abouchement de l’uretère en dessous du système sphinctérien (urètre, vagin, vulve) qui explique le flux continu incontrôlable. Le traitement est alors chirurgical.
Nous ne décrirons pas les autres causes, plus rares.
Points forts
Troubles de la miction chez l’enfant

Interroger l’enfant

Les causes sont par ordre de fréquence fonctionnelles, neurologiques ou urologiques

Traiter toute constipation

Examen systématique du raphé médian et des pieds

Catalogue mictionnel systématique

Importance de l'échographie vésico-rénale : anomalies de l'appareil urinaire, volumes pré et post-mictionnels

Énurésie nocturne isolée secondaire + polyurie bandelette urinaire : diabète ?

Message auteur

Troubles de la miction chez l’enfant

Les troubles mictionnels de l’enfant sont fréquents, le plus souvent fonctionnels, mais peuvent révéler des pathologies neurologiques ou urologiques. Deux grands types de question peuvent survenir :

1. dans un contexte de médecine générale :

– fuites urinaires apparues alors que l’enfant entre à l’école avec une constipation associée ;

– énurésie nocturne isolée ;

2. dans un contexte neurologique avec troubles urinaires, troubles neuro-orthopédiques, scoliose.

Pour en savoir
Aubert, et al. Énurésie nocturne primaire isolée : diagnostic et prise en charge. Recommandations par consensus formalisé d’experts. Progrès en urologie. 2010.
Austin, et al. The standardization of terminology of lower urinary tract function in children and adolescents: update report from the standardization committee of the International children’s continence society. Journal of Urology. 2014.

Dans cet article

Ce contenu est exclusivement réservé aux abonnés