objectifs
DIAGNOSTIQUER un trouble de la réfraction.
DIAGNOSTIQUER un trouble de la réfraction.
Définitions
L’œil est un système optique permettant aux images de converger sur la rétine en un point central qui est le support de l’acuité visuelle fine : la macula. Les rayons lumineux atteignant la rétine sont transformés en signal électrique par les photorécepteurs rétiniens puis transmis par les neurones intrarétiniens (neurones bipolaires et neurones ganglionnaires) au nerf optique (formé des longs axones des neurones ganglionnaires) et aux voies optiques, puis enfin au cortex occipital.
La déviation des rayons lumineux au travers les milieux transparents et réfractifs de l’œil (dits les dioptres) se nomme la réfraction. Les principaux dioptres de l’œil sont la cornée (environ +40 dioptries de convergence) puis le cristallin (environ +20 dioptries de convergence).
On dénombre deux types d’anomalies de la réfraction :
La déviation des rayons lumineux au travers les milieux transparents et réfractifs de l’œil (dits les dioptres) se nomme la réfraction. Les principaux dioptres de l’œil sont la cornée (environ +40 dioptries de convergence) puis le cristallin (environ +20 dioptries de convergence).
On dénombre deux types d’anomalies de la réfraction :
- celles qui ne sont pas dues à un trouble de l’accommodation : ce sont les amétropies ;
- celle qui est due à un trouble de l’accommodation : la presbytie. La presbytie est donc un trouble de la réfraction, mais ce n’est pas une amétropie.
Lire aussi | Chirurgie réfractive : des progrès permanents
Rappel physiologique
La mise au point de l’objet sur la rétine est différente si l’objet est situé au loin ou de près.
L’objet est loin
L’œil est dit emmétrope (« normal » d’un point de vue réfractif) si ses qualités optiques font qu’un objet situé à distance (en pratique situé à plus de 1 m) voit son image se projeter spontanément (c’est-à-dire sans accommoder et sans correction optique) sur la rétine et de façon ponctuelle. L’image est perçue nette.
Le punctum remotum est défini par le point le plus éloigné que l’œil perçoit de façon nette. Il est à l’infini pour l’œil emmétrope.
L’œil est dit amétrope s’il est porteur d’un trouble de la réfraction où les images ne se forment pas sur la rétine car les rayons lumineux ne convergent pas sur la rétine (perception de l’image floue) ([fig. 1].
Il existe trois types d’amétropies :
L’objet est près
L’image d’un objet situé près se formerait en arrière de la rétine si l’accommodation, qui augmente ainsi le pouvoir de convergence du cristallin, n’intervenait pas. L’accommodation est d’autant plus nécessaire que l’objet est situé près de l’œil.
Le punctum proximum est le point le plus proche que l’œil peut voir de façon nette en accommodant (de l’ordre de 7 cm pour l’œil emmétrope) (fig. 2).
Or l’amplitude d’accommodation diminue de façon physiologique avec l’âge : c’est la presbytie, conséquence de la perte d’élasticité du cristallin qui survient à partir de 50 ans environ.
Le punctum remotum est défini par le point le plus éloigné que l’œil perçoit de façon nette. Il est à l’infini pour l’œil emmétrope.
L’œil est dit amétrope s’il est porteur d’un trouble de la réfraction où les images ne se forment pas sur la rétine car les rayons lumineux ne convergent pas sur la rétine (perception de l’image floue) ([fig. 1].
Il existe trois types d’amétropies :
- la myopie : amétropie sphérique où l’image est projetée en avant de la rétine ;
- l’hypermétropie : amétropie sphérique où l’image est projetée en arrière de la rétine (inverse de la myopie, ce qui signifie qu’un œil ne peut pas être simultanément hypermétrope et myope) ;
- l’astigmatisme : amétropie cylindrique non sphérique où l’image n’est pas ponctuelle (« déformée »). Un œil peut être hypermétrope et astigmate ou encore myope et astigmate.
L’image d’un objet situé près se formerait en arrière de la rétine si l’accommodation, qui augmente ainsi le pouvoir de convergence du cristallin, n’intervenait pas. L’accommodation est d’autant plus nécessaire que l’objet est situé près de l’œil.
Le punctum proximum est le point le plus proche que l’œil peut voir de façon nette en accommodant (de l’ordre de 7 cm pour l’œil emmétrope) (fig. 2).
Or l’amplitude d’accommodation diminue de façon physiologique avec l’âge : c’est la presbytie, conséquence de la perte d’élasticité du cristallin qui survient à partir de 50 ans environ.
Lire aussi | Strabisme chez l’enfant
Étude de la réfraction et de l’acuité visuelle
Étude de la réfraction
Après un interrogatoire recueillant les signes fonctionnels pouvant orienter vers tel ou tel trouble réfractif, l’ophtalmologue procède à une mesure de la réfraction du patient. Pour un œil emmétrope, l’acuité visuelle est spontanément satisfaisante. Une mauvaise acuité visuelle peut être due soit à une maladie de l’œil ou des voies optiques (dans ce cas, l’acuité visuelle n’est pas améliorable), soit à une anomalie de la réfraction (l’acuité est alors améliorable par le port d’une correction optique).
L’étude de la réfraction est donc essentielle : elle permet de distinguer une pathologie organique oculaire ou des voies optiques d’une anomalie fonctionnelle réfractive.
Il existe différentes méthodes de réfractométrie.
L’étude de la réfraction est donc essentielle : elle permet de distinguer une pathologie organique oculaire ou des voies optiques d’une anomalie fonctionnelle réfractive.
Il existe différentes méthodes de réfractométrie.
Méthodes de réfractométrie objectives
Elles mesurent la meilleure correction optique sphéro-cylindrique nécessaire pour obtenir la meilleure acuité visuelle :- les réfractomètres automatiques (les plus utilisés actuellement) sont des machines rapides et très efficaces qui permettent une mesure automatisée de la réfraction (fig. 3) ;
- un modèle portable peut être utilisé en pédiatrie ou lorsque le patient ne tient pas assis (fig. 3) ;
- la skiascopie manuelle reste la méthode de référence de mesure de la réfraction objective même si elle est moins pratiquée à ce jour. La réfraction du patient est déterminée par l’observation du reflet rétinien balayé par une fente lumineuse en plaçant des verres sphériques et cylindriques de puissances différentes devant l’œil. Néanmoins, elle reste irremplaçable dans certaines situations cliniques où le patient est peu coopérant, notamment en pédiatrie (fig. 4) ;
- la kératométrie, qui consiste à mesurer la courbure de la cornée et donc l’astigmatisme cornéen d’un patient peut être déterminée de façon manuelle par l’ophtalmomètre de Javal (fig. 5) ou de façon automatisée par une topographie cornéenne ou un réfracteur automatique (fig. 6).
Méthodes de réfractométrie subjectives
Elles sont également réalisées au cours de l’examen ophtalmologique :- le test du trou sténopéïque (fig. 7) est utilisé lorsque l’acuité visuelle de loin n’est pas bonne. Ce dispositif est composé un cache percé d’un trou de 1 mm de diamètre environ et sert de pupille artificielle. On place le trou sténopéïque devant l’œil pour restreindre les rayons lumineux au centre de la cornée. Si l’acuité visuelle est améliorée par ce test, le patient présente un trouble des milieux transparents (cataracte par exemple) ;
- l’interposition de verres de puissances croissantes, soit avec monture d’essai, soit avec réfracteur automatique (sorte de « robot à lunettes »), permet d’obtenir la meilleure acuité visuelle corrigée (fig. 7).
Détermination de l’acuité visuelle
L’acuité visuelle est la valeur chiffrée de la fonction visuelle de l’œil. Elle est mesurée par plusieurs échelles :
D’autres échelles, notamment à progression logarithmiques existent et permettent une détermination plus précise de l’acuité visuelle, et sont volontiers utilisées en recherche clinique (par exemple, échelles ETDRS et LogMar).
L’acuité visuelle de près (à 33 cm) est déterminée par l’échelle de Parinaud (chiffrée de Pa14 à Pa1,5 : meilleure acuité visuelle de près) [fig. 8].
Chez les patients sachant lire
L’acuité visuelle de loin (à 5 m) est déterminée en France en pratique clinique courante par l’échelle de Monoyer graduée en dixièmes (chiffrée de 1/10 à 10/10, voire 12/10 : meilleure acuité visuelle de loin) [fig. 8]. Notez que 12/10 voire 14/10 sont possibles, notamment chez de jeunes emmétropes, cela correspond à un pouvoir discriminatif supérieur à 1 minute d’arc du 10/10.D’autres échelles, notamment à progression logarithmiques existent et permettent une détermination plus précise de l’acuité visuelle, et sont volontiers utilisées en recherche clinique (par exemple, échelles ETDRS et LogMar).
L’acuité visuelle de près (à 33 cm) est déterminée par l’échelle de Parinaud (chiffrée de Pa14 à Pa1,5 : meilleure acuité visuelle de près) [fig. 8].
Chez les patients ne sachant pas lire, ou les enfants
L’acuité visuelle est déterminée grâce à l’utilisation d’échelles basées sur la reconnaissance de l’orientation des lettres ou de signes (échelle de Snellen, par exemple) ou de dessins (test du Cadet [fig. 9].
Lire aussi | Examen ophtalmologique (item 83)
Amétropies
Il en existe trois : deux sphériques (myopie et hypermétropie) et une cylindrique (astigmatisme).
Myopie
Étude optique
De loin : l’œil myope est trop convergent. On peut le considérer comme un œil trop puissant par rapport à sa longueur. Les rayons lumineux convergent en avant de la rétine et le sujet voit ainsi flou de loin. Cette anomalie concerne environ 15 % de la population occidentale et est plus fréquente en Asie.De près : de près, en revanche, le sujet voit net à condition de rapprocher son texte, et ceci sans accommoder.
Étude clinique
Symptômes : un seul symptôme, le sujet voit flou de loin. Souvent, il ferme un peu les paupières afin de faire son propre « trou sténopéique » qui permet ainsi de faire converger un peu les rayons lumineux pour voir plus net, la myopie n’est pas source de céphalées car le sujet n’accommode pas du tout ! En revanche, le sujet voit net de près, et même de très près. À noter qu’il devient presbyte plus tard de ce fait (mais restera myope toute sa vie).Formes cliniques :
- myopie de courbure : elle est due à une courbure cornéenne trop importante (cornée trop convexe, trop convergente). Elle est bénigne car elle reste faible (entre 0 et -6 dioptries). Elle est parfois familiale et apparaît souvent à l’adolescence. C’est la myopie « estudiantine », classiquement observée dans les amphithéâtres de faculté ;
- myopie d’indice : lors de la survenue d’une cataracte particulière dite cataracte nucléaire, l’indice de réfraction du cristallin augmente et par là même devient plus convergent. Ainsi, lorsqu’un patient devient myope après 60 ans, l’ophtalmologiste doit rechercher une cataracte nucléaire à l’examen. On peut également observer une myopie d’origine cristallinienne lors d’un trouble du métabolisme du cristallin, dans le diabète insulino-dépendant, par exemple ;
- myopie axile : elle est due à une longueur axiale de l’œil trop grande (> 26 mm). En pratique, 1 mm de longueur axiale supplémentaire correspond à -3 dioptries (œil emmétrope = 23 mm de long). Elle est souvent grave, forte (> -6 dioptries), familiale, très évolutive, pouvant apparaître dans la petite enfance (6-7 ans). La myopie forte donne de « gros yeux globuleux » avec un aspect de fausse exophtalmie. Il existe quatre types de complications de cette myopie « maladie » qui en font la gravité et imposent un examen annuel par l’ophtalmologiste :
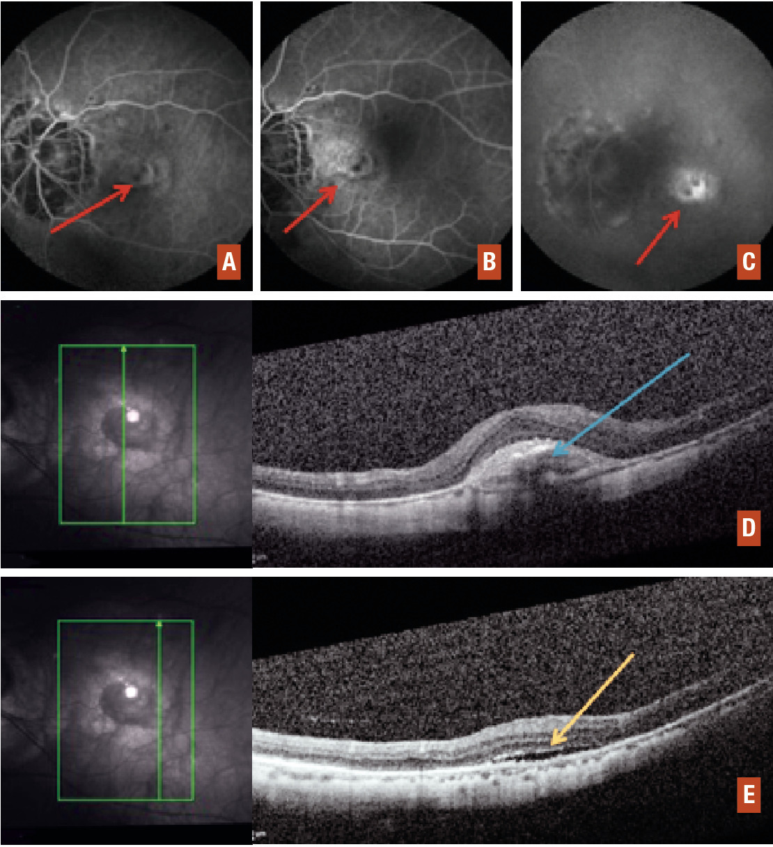
. risque accru de dégénérescence maculaire myopique. Un peu comme la dégénérescence maculaire liée à l’âge, les myopes forts présentent souvent une atrophie de la rétine du pôle postérieur (dite choroïdose myopique) qui est responsable dans certains cas d’une dégradation inexorable de l’acuité visuelle (fig. 11), généralement lente, parfois précipitée par une complication hémorragique maculaire due à la survenue d’un néovaisseau du myope fort (fig. 12). Les néovaisseaux maculaires, comme dans la dégénérescence maculaire liée à l’âge exsudative, peuvent bénéficier d’injections intravitréennes d’anti-VEGF. À noter que la myopie forte est une des causes de malvoyance du sujet de moins de 50 ans dans les pays à haut niveau de vie ;
. risque accru de cataracte précoce (fig. 13). Les myopes forts font plus souvent des cataractes notamment nucléaires, vers l’âge de 50-60 ans. À noter que cette cataracte nucléaire surajoute une myopie d’indice (de l’ordre de -3 à -5 dioptries) qui s’ajoute à leur myopie axile ;
. risque accru de glaucome chronique. Les myopes forts font plus souvent un glaucome chronique. À noter que l’appréciation de la papille et du champ visuel peut être délicate et altérée par la myopie forte en plus du glaucome.
Traitement (tableau)
Verres correcteurs (fig. 14) : ils sont sphériques, concaves, divergents à centre fin et bords épais, notés négativement en dioptries. Dans les myopies fortes, outre l’aspect quelque peu disgracieux (visage rétréci), le champ visuel peut être rétréci par le port d’une correction optique par lunettes.Lentilles de contact (fig. 15) : les patients myopes sont les plus consommateurs de lentilles de contact car le passage des lunettes aux lentilles leur permet un meilleur confort de vision et une restauration du champ visuel.
Les lentilles peuvent être souples, rigides ou hybrides avec différents types de renouvellement et matériaux disponibles. Cette adaptation en lentilles est en général facile et gratifiante, le patient ayant un champ visuel alors préservé même pour une myopie forte.
Chirurgie réfractive cornéenne : elle est envisagée lors d’une intolérance aux lentilles, pour des raisons professionnelles ou désormais pour un simple choix de confort. Le but de la chirurgie cornéenne est de rendre l’œil moins convergent en procédant à l’ablation centrale d’une épaisseur de cornée (cornée oblate). Différentes techniques existent : la photokératectomie, où un laser Eximer procède directement à l’ablation du matériel cornéen, et le LASIK (laser-assisted in-situ keratomileusis) (fig. 16), où un capot de cornée est découpé préalablement au laser femtoseconde à l’ablation Eximer, sont les plus courantes (fig. 17). La photokératectomie est plutôt réservée aux myopies faibles (de -1 à -3 dioptries), alors que la technique du LASIK peut permettre de prendre en charge toutes les myopies, des plus faibles jusqu’aux plus importantes (jusqu’à -12 dioptries).
Hypermétropie
Étude optique
De loin : les rayons lumineux ne convergent pas assez. L’œil est considéré comme trop divergent, « trop court » pour son pouvoir de réfraction. L’image se forme en arrière de la rétine, mais le patient, en accommodant en permanence, ramène l’image sur la rétine (s’il est jeune et que l’hypermétropie est faible ou modérée). Ceci permet de comprendre que les symptômes ressentis sont plus liés à l’hyperaccommodation permanente qu’à la vision floue. L’image de loin peut en effet être vue nette.De près : le sujet va encore plus accommoder. Il risque de ne pas pouvoir ramener l’image sur la rétine, surtout après un certain âge où l’amplitude d’accommodation va diminuer. Il va alors devenir presbyte précocement et voir flou de près.
Étude clinique
Symptômes : les symptômes sont différents selon l’âge de révélation et la puissance de l’hypermétropie. Il y a parfois des antécédents familiaux. Le patient voit flou de près mais est en réalité plus gêné par l’hyperaccommodation qui se manifeste par une fatigue visuelle, des picotements oculaires, une rougeur oculaire bilatérale, un larmoiement et des céphalées frontales surtout en fin de journée et à la lecture notamment sur écran.Formes cliniques :
- hypermétropie du nourrisson ou du jeune enfant (de 0 à 6 ans). L’hyperaccommodation permanente peut faire décompenser un strabisme convergent dit ésotropie (fig. 18). Ceci est lié au reflexe accommodation-convergence. Ainsi devant tout strabisme chez un jeune enfant, l’ophtalmologiste doit rechercher une hypermétropie grâce à un examen de la réfraction réalisé sous cycloplégie (paralysie de l’accommodation par instillation de collyre cycloplégique type atropine ou Skiacol). L’ophtalmologiste réalise ensuite une skiascopie ou un examen au réfracteur automatique portable ;
- hypermétropie de l’enfant et de l’adulte jeune (de 6 à 40 ans). Les symptômes liés à l’hyperaccommodation sont fréquents et accentués en fin de journée ou après un effort visuel : picotements, rougeur, larmoiement, céphalées… Toute céphalée chronique dont l’examen somatique est négatif doit être montrée à l’ophtalmologiste afin de chercher une hypermétropie, débusquée après cycloplégie car le patient lit souvent 10/10 aux 2 yeux ;
- hypermétropie et glaucome aigu à angle fermé. L’hypermétropie, d’autant plus qu’elle est forte, est un facteur de risque de glaucome aigu par fermeture de l’angle surtout après 60 ans quand le cristallin augmente de volume. L’œil est court et a un angle irido-cornéen plus étroit que l’emmétrope qui risque la fermeture en cas de dilatation (collyre ou médicament à effet sympathomimétique ou parasympathicolytique, ou encore séjour prolongé dans l’obscurité ou stress intense) ;
- hypermétropie et aphakie. Les patients opérés de cataractes autrefois étaient laissés aphake (a [sans] phake [cristallin]) sans mise en place de cristallin artificiel. Ils présentent donc une hypermétropie géante qui pouvait se corriger par des lunettes « loupes » (de forte puissance), des lentilles ou l’implantation secondaire d’un cristallin artificiel fixé à l’iris.
Traitement (tableau)
Verres correcteurs (fig. 19) : ils ont sphériques, convexes, convergents, à centre épais et à bords fins, notés positivement en dioptries.Lentilles de contact : une adaptation en lentilles peut être réalisée dès le plus jeune âge dans certaines situations cliniques, notamment dans la prise en charge d’une l’aphakie unilatérale en rapport avec une cataracte congénitale. À noter que chez l’enfant, les indications de lentilles sont strictement thérapeutiques et non esthétiques. Les lentilles sont toujours rigides avec un matériau très perméable à l’oxygène.
Chirurgie réfractive cornéenne : le but de la chirurgie cornéenne est de rendre l’œil plus convergent en procédant à l’ablation périphérique d’une certaine épaisseur de cornée. Elle est réalisée soit au laser excimer seul, soit mieux avec l’association laser Femtoseconde + laser Excimer (dit LASIK) et s’adresse aux patients hypermétropes de +1 à +6 dioptries.
Astigmatisme
Étude optique
C’est l’amétropie la plus complexe, généralement due à une perte de sphéricité de la cornée. C’est la seule amétropie cylindrique. La cornée se déforme dans une direction (un rayon de courbure) et devient ainsi cylindrique dite torique, comme une « douelle de tonneau ». Une direction (dits axe) sera vue nette (direction respectant la courbure), les axes orthogonaux seront vus flous. En pratique, un astigmatisme se caractérise donc par sa puissance et son axe. Il peut être mesuré objectivement par l’ophtalmomètre de Javal, le réfracteur automatique, la topographie cornéenne ou la skiascopie.L’image du point à l’infini n’est pas un point comme dans le cas des amétropies sphériques, mais 2 droites perpendiculaires appelées focales (fig. 20). Selon la position des focales, on distingue :
- les astigmatismes myopiques = focales en avant de la rétine ;
- les astigmatismes hypermétropiques = focales en arrière de la rétine ;
- les astigmatismes mixtes = focales de part et d’autre de la rétine.
- idiopathiques, dans l’immense majorité des cas. Parfois familial, souvent révélé dans l’enfance ou à l’âge du jeune adulte ;
- secondaires parfois à une plaie de cornée, à une chirurgie (par exemple incision de la cornée pour une cataracte) ou plus rarement à une maladie de la cornée : le kératocône (fig. 21).
Étude clinique
Un astigmatisme peut se révéler à tout âge mais souvent chez le grand enfant ou l’adulte jeune. Le patient présente une vision floue avec quelques particularités : confusion des lettres de loin comme de près, notamment celles ayant des barres horizontales (E confondu avec F), symptômes liés à l’hyperaccommodation (fatigue visuelle, picotements oculaires, rougeur, larmoiement, céphalée surtout en fin de journée). En cas d’astigmatisme, il peut exister un dédoublement de l’image de l’œil astigmate (on parle de diplopie binoculaire).Traitement (tableau)
Verres correcteurs : ils sont cylindriques (car orientés selon un axe), positifs ou négatifs. On les reconnaît en regardant au travers et en faisant tourner le verre : il déforme les objets dans une direction.Lentilles de contact : cette adaptation est la plus délicate. Les lentilles sont dites toriques avec différents systèmes de prismes ou de ballasts qui permettent aux lentilles d’avoir un axe de correction de l’astigmatisme stable et peu sensible à la rotation lors du clignement des paupières.
Chirurgie réfractive cornéenne : la chirurgie cornéenne fait appel au LASIK dont le but sera de modeler la cornée. Des incisions relaxantes effectuées au laser femtoseconde sur le méridien le plus cambré sont aussi possibles. Elles ont un effet relaxant sur le méridien cambré, qu’elles aplatissent, tandis qu’elles cambrent le méridien le plus plat
Presbytie
Étude optique
Il ne s’agit pas d’une amétropie mais d’un trouble de l’accommodation. Ce trouble est même physiologique : il est lié à la perte d’élasticité du cristallin apparaissant avec l’âge, qui entraîne une réduction de l’amplitude d’accommodation après 50 ans (perte d’environ +1 dioptrie tous les 5 ans jusqu’à un maximum de + 3 dioptries vers 60 ans).
L’image d’un point de vision de près se projette en arrière de la rétine alors que l’image d’un point de loin n’est pas modifiée.
Ainsi, les objets lointains restent nets (sauf si le patient est également porteur d’une amétropie) alors que les objets de près sont vus flous d’autant plus qu’ils sont situés près du patient.
L’image d’un point de vision de près se projette en arrière de la rétine alors que l’image d’un point de loin n’est pas modifiée.
Ainsi, les objets lointains restent nets (sauf si le patient est également porteur d’une amétropie) alors que les objets de près sont vus flous d’autant plus qu’ils sont situés près du patient.
Étude clinique
La presbytie peut être diagnostiquée dès l’interrogatoire, au téléphone même ! À partir de 40-45 ans, le patient se plaint d’avoir une vision de près floue et est obligé de reculer l’objet pour pouvoir lire. Il tend les bras pour lire son journal et consulte l’ophtalmologiste lorsque ses bras ne sont plus assez longs !
Traitement (tableau)
Le traitement de la presbytie est fondé sur l’obtention d’une multifocalité. Il s’agit d’une propriété optique qui permet à une lentille, un implant, ou un tissu (la cornée) de focaliser la lumière en au moins deux foyers distincts et donc de créer plusieurs images nettes à différentes distances : une pour la vision de loin et l’autre pour la vision de près.
Verres progressifs (fig. 22) : verres sphériques, convergents, convexes, notés positivement en dioptries, de +1 à +3 dioptries, pour la vision de près. Cette correction est à ajouter aux verres correcteurs pour la vision de loin si le sujet est porteur d’une amétropie. Les verres peuvent alors être bifocaux (avec une barre visible), progressifs (sans barre visible). Le sujet peut aussi avoir uniquement une paire de lunettes en vision de près (verres demi-lunes ou complets qu’il quitte quand il ne lit pas).
Lentilles de contact : elles peuvent être progressives ou bifocales. L’adaptation peut être plus difficile pour le patient car la multiplicité de puissances réfractives présentes dans différentes zones pupillaires nécessite un phénomène de neuro-adaptation. Le traitement de la presbytie par lentilles progressives dites multifocales représente un compromis entre la vision de loin et de près. C’est pourquoi ce type de correction est généralement plus facile et rapidement acceptée chez un presbyte déjà porteur d’une amétropie de loin et habitué à une vision imparfaite de loin et de près.
Chirurgie réfractive cornéenne ou cristallinienne : la chirurgie réfractive cornéenne consiste à créer un profil multifocal au sein de la cornée (PresbyLASIK) afin d’augmenter la profondeur de champ du patient. Il s’agit d’un processus de pseudo-accommodation. On peut aussi réaliser chez un sujet myope des deux yeux un LASIK d’un seul œil pour corriger la myopie et laisser l’autre œil myope, en créant ainsi une bascule : un œil voit bien de près et l’autre voit bien de loin. Le sujet est ainsi confortable en vison binoculaire.
v
Verres progressifs (fig. 22) : verres sphériques, convergents, convexes, notés positivement en dioptries, de +1 à +3 dioptries, pour la vision de près. Cette correction est à ajouter aux verres correcteurs pour la vision de loin si le sujet est porteur d’une amétropie. Les verres peuvent alors être bifocaux (avec une barre visible), progressifs (sans barre visible). Le sujet peut aussi avoir uniquement une paire de lunettes en vision de près (verres demi-lunes ou complets qu’il quitte quand il ne lit pas).
Lentilles de contact : elles peuvent être progressives ou bifocales. L’adaptation peut être plus difficile pour le patient car la multiplicité de puissances réfractives présentes dans différentes zones pupillaires nécessite un phénomène de neuro-adaptation. Le traitement de la presbytie par lentilles progressives dites multifocales représente un compromis entre la vision de loin et de près. C’est pourquoi ce type de correction est généralement plus facile et rapidement acceptée chez un presbyte déjà porteur d’une amétropie de loin et habitué à une vision imparfaite de loin et de près.
Chirurgie réfractive cornéenne ou cristallinienne : la chirurgie réfractive cornéenne consiste à créer un profil multifocal au sein de la cornée (PresbyLASIK) afin d’augmenter la profondeur de champ du patient. Il s’agit d’un processus de pseudo-accommodation. On peut aussi réaliser chez un sujet myope des deux yeux un LASIK d’un seul œil pour corriger la myopie et laisser l’autre œil myope, en créant ainsi une bascule : un œil voit bien de près et l’autre voit bien de loin. Le sujet est ainsi confortable en vison binoculaire.
v
Points forts
Troubles de la réfraction
Il existe deux types d’anomalies de la réfraction :
– non dues à un trouble de l’accomodation : les amétropies ;
– dues à un trouble de l’accomodation : la presbytie.
Il existe trois types d’amétropie :
– la myopie : amyétropie sphérique, l’image est projetée en avant de la rétine ;
– l’hypermétropie : amyétropie sphérique, l’image est projetée en arrière de la rétine ;
– l’astigmatisme : amyétropie sphérique, l’image n’est pas ponctuelle.
Un œil ne peut pas être simultanément myope et hypermétrope.
Un œil peut être hypermétrope et astigmate, ou myope et astigmate.