Caractérisées par une inflammation de la paroi des vaisseaux intracrâniens, en l’absence de processus inflammatoire systémique, néoplasique ou toxique, leur diagnostic est difficile, il repose sur un faisceau d’arguments au sein desquels l’imagerie cérébrale et vasculaire joue un rôle essentiel.
Les anomalies histologiques de la paroi vasculaire au cours des vascularites primitives du système nerveux central comportent des infiltrats inflammatoires de cellules mononucléées, la présence ou non de formations granulomateuses et/ou de nécrose fibrinoïde. La leptoméninge est touchée de manière quasi constante.1 Ces vascularites sont considérées comme des réactions inflammatoires non spécifiques à lymphocytes T à des agressions cérébrales variées telles que des agents infectieux, des dépôts de substances telles que l’amyloïde, etc.
Manifestations cliniques
Elles sont à la fois d’une extrême variété et non spécifiques.2 Tous les âges peuvent être touchés (mais le tableau est en général évoqué chez un sujet jeune), le sex-ratio homme/femme étant de 2/1.
Les manifestations des vascularites cérébrales combinent :
– des signes de souffrance cérébrale diffuse, dominés par les céphalées, signe cardinal qui ne manque quasiment jamais.3, 4 Celles-ci doivent faire évoquer le diagnostic lorsqu’elles précèdent la survenue d’un accident vasculaire cérébral (AVC). Elles sont souvent progressives et résistantes au traitement, plus rarement de révélation aiguë. L’atteinte cérébrale diffuse peut aussi prendre la forme d’une encéphalopathie subaiguë, avec des troubles de la vigilance, une confusion et des troubles mnésiques ;
– des signes focaux, sous forme d’AVC ischémiques ou plus rarement hémorragiques. Des crises épileptiques à point de départ focal sont possibles (pouvant s’intégrer dans l’encéphalopathie), beaucoup plus rarement des tableaux de myélopathie, d’atteinte de la queue de cheval, voire des paires crâniennes.
Les manifestations des vascularites cérébrales combinent :
– des signes de souffrance cérébrale diffuse, dominés par les céphalées, signe cardinal qui ne manque quasiment jamais.3, 4 Celles-ci doivent faire évoquer le diagnostic lorsqu’elles précèdent la survenue d’un accident vasculaire cérébral (AVC). Elles sont souvent progressives et résistantes au traitement, plus rarement de révélation aiguë. L’atteinte cérébrale diffuse peut aussi prendre la forme d’une encéphalopathie subaiguë, avec des troubles de la vigilance, une confusion et des troubles mnésiques ;
– des signes focaux, sous forme d’AVC ischémiques ou plus rarement hémorragiques. Des crises épileptiques à point de départ focal sont possibles (pouvant s’intégrer dans l’encéphalopathie), beaucoup plus rarement des tableaux de myélopathie, d’atteinte de la queue de cheval, voire des paires crâniennes.
Lire aussi | Dossier progressif n° 322
Démarche diagnostique
En pratique, on est amené à évoquer le diagnostic de vascularite primitive du système nerveux central dans deux types de situation chez un sujet jeune : une encéphalopathie subaiguë sans cause infectieuse, un AVC en l’absence de cause classique à cet âge (dissection artérielle, affection cardio-embolique, trouble de l’hémostase…).2
Explorations neuro- logiques d’orientation
Imagerie cérébrale
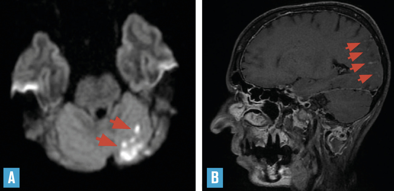
La tomodensitométrie n’a que peu d’intérêt tant sa sensibilité et sa spécificité sont faibles. L’imagerie par résonance magnétique (IRM) est donc indispensable. Aucune anomalie n’est spécifique, mais leur combinaison renforce la suspicion de vascularite (– de lésions parenchymateuses multiples : infarctus corticaux ou profonds dans des territoires différents, hémorragies cérébrales symptomatiques ou non (« microbleeds »), anomalies confluentes de la substance blanche ;
– de prises de contraste corticales et surtout leptoméningées, témoignant de l’atteinte inflammatoire (
Des présentations radiologiques trompeuses ont été rapportées, telles qu’une large lésion unique d’aspect pseudotumoral, ou encore un aspect de leucoencéphalopathie postérieure. La sensibilité élevée de l’IRM pour déceler des anomalies intracérébrales de petite taille peut être source de difficulté : la présence d’hypersignaux de la substance blanche en séquences T2/FLAIR (leucoaraïose), fréquente dans de nombreuses circonstances, ne doit pas être interprétée trop facilement comme étant un signe de vascularite. Outre les signes parenchymateux sus-décrits, il peut exister en séquence FLAIR (sans injection) une hyperdensité d’artères corticales, témoignant d’un ralentissement circulatoire du fait de sténoses distales. L’exploration parenchymateuse est complétée par une angiographie par résonance magnétique (ARM) intracrânienne pour étudier le polygone de Willis et les premiers centimètres de ses branches de division (
Analyse du liquide céphalorachidien
Elle montre dans plus de 80 % des cas une anomalie, le plus souvent une méningite lymphocytaire ou panachée avec hyperprotéinorachie modérée et parfois augmentation des gammaglobulines (répartition oligoclonale). La place de marqueurs plus spécifiques d’inflammation, comme l’élévation dans le liquide céphalorachidien (LCR) de l’interleukine 17 ou la baisse du taux de protéine β-amyloïde A4, fait l’objet des recherches actuelles.6Explorations artérielles intracrâniennes
Angiotomodensitométrie
L’angioscanner a une sensibilité de plus en plus élevée pour l’étude des vaisseaux intracrâniens grâce au développement des appareils multibarrettes. Il est aujourd’hui possible de visualiser des sténoses ou dilatations pour un calibre artériel distal (proche de 500 µm). Il est souvent réalisé en complément de l’ARM.Angiographie conventionnelle
Cet examen reste néanmoins l’exploration artérielle de référence.2 Le risque du cathétérisme est extrêmement faible chez un patient jeune sans athérosclérose ni trouble de la coagulation. Pour que la sensibilité de l’examen soit optimale, l’examen doit être réalisé selon une technique parfaite, avec exploration des quatre axes. L’aspect caractéristique d’une vascularite primitive du système nerveux central associe des rétrécissements artériels segmentaires et étagés avec parfois des dilatations fusiformes interposées, des occlusions distales et des irrégularités pariétales (Explorations extraneurologiques
Elles sont d’une grande importance à la fois pour suspecter le diagnostic de vascularite cérébrale et pour différencier vascularite primitive et vascularite cérébrale secondaire.2
Examen ophtalmologique
Il est d’un intérêt particulier, car les petites artères rétiniennes visibles au fond d’œil et surtout à l’angiographie rétinienne peuvent être atteintes au même titre que les artères cérébrales dans les vascularites primitives.Explorations biologiques sanguines
La liste des causes possibles de vascularite cérébrale est longue, ne permettant pas d’établir un « bilan biologique type » : ce dernier sera adapté à chaque situation particulière, selon la situation clinico-radiologique. Sont systématiquement prescrits : bilans biologique (standard avec électrophorèse des protides sériques et protéine C-réactive), immunologique (recherche de facteurs antinucléaires, anticorps anti-ADN, anticorps anticytoplasme des polynucléaires neutrophiles [ANCA], antiphospholipides, facteur rhumatoïde, anticoagulant circulant, cryoglobuline, complément, enzyme de conversion), infectieux (sérologies pour Herpesvirus simplex 1 et 2 et le virus varicelle-zona, hépatites, virus de l’immunodéficience humaine, et maladie de Lyme).2Explorations morphologiques extraneurologiques
Lorsqu’une maladie systémique est préalablement connue, la mise en évidence d’une reprise évolutive extraneurologique est un point essentiel pour orienter le diagnostic. Une biopsie de l’organe atteint confortera l’atteinte vasculaire inflammatoire, laquelle peut s’étendre au système nerveux central.Hiérarchisation des examens complémentaires
Tout patient suspect de vascularite du système nerveux central à partir des données cliniques et de l’IRM doit bénéficier d’un premier groupe d’examens, à la recherche d’arguments concordants : bilan biologique minimal (v. supra), ponction lombaire, IRM avec injection de gadolinium si celle-ci n’a pas été faite d’emblée, visualisation non invasive des artères intracrâniennes (ARM ou angioscanner), examen ophtalmologique.3 À partir de ces résultats, la décision clé consiste, en cas de suspicion persistante, à prescrire une angiographie conventionnelle. Une fois l’angiographie pratiquée, un traitement est décidé sur un faisceau d’arguments suffisamment solides. Le doute diagnostique peut néanmoins persister pour toutes les raisons décrites ci-dessus :
– si la situation paraît stable, une option raisonnable consiste à surveiller le patient et répéter les examens (IRM, angioscanner/ARM, parfois angiographie et ponction lombaire) quelques semaines plus tard : les modifications des anomalies artérielles sur un temps court renforcent la présomption ;
– dans le cas contraire (céphalées invalidantes, nouvelles lésions sur les IRM de contrôle, etc.), l’absence de diagnostic peut pousser à la réalisation d’une biopsie cérébroméningée, après discussion multidisciplinaire, pour un diagnostic rapide permettant un traitement agressif. Elle se fait préférentiellement de manière conventionnelle (à ciel ouvert) pour permettre un prélèvement histologique à la fois du parenchyme cérébral et la de leptoméninge (pré-dominance, rappelons-le, de l’inflammation à ce niveau). Plus rarement (lésion IRM unique et profonde), une biopsie en condition stéréotaxique est pratiquée. Du fait du caractère segmentaire des lésions vasculaires, la biopsie peut être normale ou ne montrer que des anomalies cicatricielles.1 Le diagnostic repose alors sur le faisceau d’arguments rassemblés au préalable.
– si la situation paraît stable, une option raisonnable consiste à surveiller le patient et répéter les examens (IRM, angioscanner/ARM, parfois angiographie et ponction lombaire) quelques semaines plus tard : les modifications des anomalies artérielles sur un temps court renforcent la présomption ;
– dans le cas contraire (céphalées invalidantes, nouvelles lésions sur les IRM de contrôle, etc.), l’absence de diagnostic peut pousser à la réalisation d’une biopsie cérébroméningée, après discussion multidisciplinaire, pour un diagnostic rapide permettant un traitement agressif. Elle se fait préférentiellement de manière conventionnelle (à ciel ouvert) pour permettre un prélèvement histologique à la fois du parenchyme cérébral et la de leptoméninge (pré-dominance, rappelons-le, de l’inflammation à ce niveau). Plus rarement (lésion IRM unique et profonde), une biopsie en condition stéréotaxique est pratiquée. Du fait du caractère segmentaire des lésions vasculaires, la biopsie peut être normale ou ne montrer que des anomalies cicatricielles.1 Le diagnostic repose alors sur le faisceau d’arguments rassemblés au préalable.
Lire aussi | Vascularite à IgA de l’adulte
Diagnostic différentiel
La distinction entre vascularite primitive ou secondaire du système nerveux central repose sur le caractère isolé de l’atteinte cérébrale, à partir de la clinique et d’un bilan paraclinique variable selon la situation. Des signes généraux comme une fièvre, un syndrome sec, des anomalies cutanées, arthralgies, adénopathies ou une hépatosplénomégalie font évoquer la possibilité d’une vascularite secondaire. Dans le cas de la vascularite primitive, une fièvre est néanmoins présente dans 15 % des cas environ.3
Les manifestations cliniques des vascularites cérébrales peuvent mimer celles de nombreuses affections cérébrales, telles que les méningo-encéphalites, les encéphalopathies métaboliques, les atteintes inflammatoires non vasculaires du système nerveux central et notamment la sclérose en plaques, les tumeurs et abcès cérébraux, et bien entendu les AVC de toute origine.2
La présence de rétrécissements segmentaires étagés sur les artères intracrâniennes n’est pas spécifique des vascularites cérébrales : outre le syndrome de vasoconstriction cérébrale réversible déjà évoqué (v . tableau ), il peut s’agir d’emboles multiples en voie de recanalisation (origine cardiaque ou artérielle) ou de sténoses athéromateuses. L’atteinte prédominante sur les artères de gros et de moyen calibre, la présence de facteurs de risque vasculaire et des calcifications sur les parois artérielles à la tomodensitométrie cérébrale sont autant d’arguments en faveur d’une athérosclérose intracrânienne, que l’on rencontre en particulier chez les sujets non caucasiens (africains et asiatiques) et chez les diabétiques.2 En cas de difficulté diagnostique, la répétition des explorations artérielles aide à rattacher des anomalies artérielles à une vascularite, en montrant leurs modifications (amélioration ou aggravation) en quelques semaines.
Les manifestations cliniques des vascularites cérébrales peuvent mimer celles de nombreuses affections cérébrales, telles que les méningo-encéphalites, les encéphalopathies métaboliques, les atteintes inflammatoires non vasculaires du système nerveux central et notamment la sclérose en plaques, les tumeurs et abcès cérébraux, et bien entendu les AVC de toute origine.2
La présence de rétrécissements segmentaires étagés sur les artères intracrâniennes n’est pas spécifique des vascularites cérébrales : outre le syndrome de vasoconstriction cérébrale réversible déjà évoqué (
Lire aussi | Testez-vous sur l’item 193 (partie 2)
Pronostic et traitement
Les cohortes récentes fixent la mortalité de la maladie à moins de 10 % à 5 ans.3, 4 Les mêmes travaux ont permis de dégager un certain nombre de facteurs pronostiques : la présence d’un ou plusieurs infarctus cérébraux sur l’imagerie initiale, l’atteinte des artères intracrâniennes de gros ou moyens calibres (premiers centimètres au-delà du polygone de Willis) sont de mauvais pronostic, tandis que les prises de contraste parenchymateuses et surtout méningées témoignent d’un risque élevé de rechute à l’arrêt des traitements. Ces trois constatations poussent donc à un traitement agressif, superposable à celui proposé dans les vascularites systémiques extensives : association d’une corticothérapie à fortes doses (volontiers par bolus de 500 à 1000 mg initialement) et d’immunosuppresseurs pendant 6 mois, suivie d’un traitement d’entretien.7 Le cyclophosphamide est l’immunosuppresseur recommandé en induction (protocole proposé : bolus de 0,6 g/m2 à J1, J15 et J30, puis 0,7 g/m2 toutes les 3 semaines). L’importance d’un traitement immunosuppresseur d’entretien pendant au moins 12 à 18 mois est démontrée,7 en utilisant le plus souvent le rituximab (anti-CD20) ou le mycophénolate mofétil. Ce dernier semble particulièrement intéressant dans les formes pédiatriques de vascularite primitive du système nerveux central, où le niveau d’inflammation artérielle est très élevé.8
Lorsque les facteurs de mauvais pronostic sont absents, un traitement par corticothérapie seule peut s’avérer suffisant, en sachant que toute aggravation doit mener à la mise sous immunosuppresseur.9
Les difficultés diagnostiques d’une vascularite primitive du système nerveux central se retrouvent lorsqu’il s’agit d’évaluer la possibilité de diminuer les doses thérapeutiques. Auparavant, il convient de juger de la stabilité de l’atteinte inflammatoire sur des arguments cliniques (disparition des céphalées, absence de symptôme neurologique focal récent), biologiques (normalisation du LCR) et radiologiques (disparition des prises de contraste, absence de nouvelle lésion à l’IRM et stabilisation des anomalies artérielles, en sachant que des sténoses séquellaires sont possibles). Un suivi strict par IRM et examens radiologiques est indispensable.
Au total, la durée du traitement est rarement inférieure à 2 ans (6 mois d’induction et 18 mois d’entretien) et peut se poursuivre pendant des années.7 Les séquelles sont celles provoquées par les atteintes vasculaires cérébrales tout au long de la maladie (AVC, anomalies de la substance blanche), avec des troubles cognitifs fréquents liés aux petits infarctus profonds liés à la micro-angiopathie.
Lorsque les facteurs de mauvais pronostic sont absents, un traitement par corticothérapie seule peut s’avérer suffisant, en sachant que toute aggravation doit mener à la mise sous immunosuppresseur.9
Les difficultés diagnostiques d’une vascularite primitive du système nerveux central se retrouvent lorsqu’il s’agit d’évaluer la possibilité de diminuer les doses thérapeutiques. Auparavant, il convient de juger de la stabilité de l’atteinte inflammatoire sur des arguments cliniques (disparition des céphalées, absence de symptôme neurologique focal récent), biologiques (normalisation du LCR) et radiologiques (disparition des prises de contraste, absence de nouvelle lésion à l’IRM et stabilisation des anomalies artérielles, en sachant que des sténoses séquellaires sont possibles). Un suivi strict par IRM et examens radiologiques est indispensable.
Au total, la durée du traitement est rarement inférieure à 2 ans (6 mois d’induction et 18 mois d’entretien) et peut se poursuivre pendant des années.7 Les séquelles sont celles provoquées par les atteintes vasculaires cérébrales tout au long de la maladie (AVC, anomalies de la substance blanche), avec des troubles cognitifs fréquents liés aux petits infarctus profonds liés à la micro-angiopathie.
Références
1. Chu CT, Gray L, Goldstein LB, Hulette CM. Diagnosis of intracranial vasculitis: a multi-disciplinary approach. J Neuropathol Exp Neurol 1998;57:30-8.
2. Zuber M. Isolated angiitis of the central nervous system. In : Uncommon causes of strokes. L Caplan ed. Cambridge : Cambridge University Press, 2008:1-9.
3. De Boysson H, Zuber M, Naggara O, et al.; French Vasculitis Study Group and the French NeuroVascular Society . Primary angiitis of the central nervous system: description of the first fifty-two adults enrolled in the French cohort of patients with primary vasculitis of the central nervous system. Arthritis Rheumatol 2014;66:1315-26.
4. Salvarani C, Brown RD, Christianson TJ, et al. An update of the Mayo Clinic cohort of patients with adult primary central nervous system vasculitis. Description of 163 patients. Medicine (Baltimore) 2015;94:e738.
5. Boulouis G, de Boysson H, Zuber M, et al.; French Vasculitis Group. Primary angiitis of the central nervous system: MRI spectrum of parenchymal, meningeal and vascular lesions at baseline. Stroke 2017;48:1248-55.
6. Deb-Chatterji M, Schuster S, Haeussier V, Gerloff C, Thomalla G, Magnus T. Primary angiitis of the central nervous system: new potential imaging techniques and biomarkers in blood and cerebrospinal fluid. Front Neurol 2019;10:568.
7. De Boysson H, Arquizan C, Touzé E, et al. Treatment and long-term outcomes of primary central nervous system vasculitis - Updated results from the French registry. Stroke 2018;49:1946-52.
8. Hutchinson C, Elbers J, Halliday W, et al. Treatment of small vessel primary CNS vasculitis in children: an open-label cohort study. Lancet Neurol 2010;9:1078-84.
9. Salvarani C, Pipitone P, Hunder GG. Management of primary and secondary central nervous system vasculitis. Curr Opin Rheumatol 2015;28:21-8.
2. Zuber M. Isolated angiitis of the central nervous system. In : Uncommon causes of strokes. L Caplan ed. Cambridge : Cambridge University Press, 2008:1-9.
3. De Boysson H, Zuber M, Naggara O, et al.; French Vasculitis Study Group and the French NeuroVascular Society . Primary angiitis of the central nervous system: description of the first fifty-two adults enrolled in the French cohort of patients with primary vasculitis of the central nervous system. Arthritis Rheumatol 2014;66:1315-26.
4. Salvarani C, Brown RD, Christianson TJ, et al. An update of the Mayo Clinic cohort of patients with adult primary central nervous system vasculitis. Description of 163 patients. Medicine (Baltimore) 2015;94:e738.
5. Boulouis G, de Boysson H, Zuber M, et al.; French Vasculitis Group. Primary angiitis of the central nervous system: MRI spectrum of parenchymal, meningeal and vascular lesions at baseline. Stroke 2017;48:1248-55.
6. Deb-Chatterji M, Schuster S, Haeussier V, Gerloff C, Thomalla G, Magnus T. Primary angiitis of the central nervous system: new potential imaging techniques and biomarkers in blood and cerebrospinal fluid. Front Neurol 2019;10:568.
7. De Boysson H, Arquizan C, Touzé E, et al. Treatment and long-term outcomes of primary central nervous system vasculitis - Updated results from the French registry. Stroke 2018;49:1946-52.
8. Hutchinson C, Elbers J, Halliday W, et al. Treatment of small vessel primary CNS vasculitis in children: an open-label cohort study. Lancet Neurol 2010;9:1078-84.
9. Salvarani C, Pipitone P, Hunder GG. Management of primary and secondary central nervous system vasculitis. Curr Opin Rheumatol 2015;28:21-8.