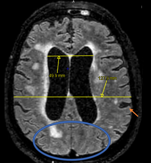
L’hydrocéphalie à pression normale (HPN) est une cause potentiellement réversible de troubles de la marche chez les patients âgés. Le diagnostic est difficile et plusieurs autres pathologies doivent être évoquées. Quand suspecter une HPN ? Quels examens réaliser ? Quelle prise en charge ? Quel suivi pour les patients porteurs d’une dérivation ?

À lire ici : Abi Jaoude S. Hydrocéphalie à pression normale.  Rev Prat Med Gen 2023 ;37(1080) :379 - 84.