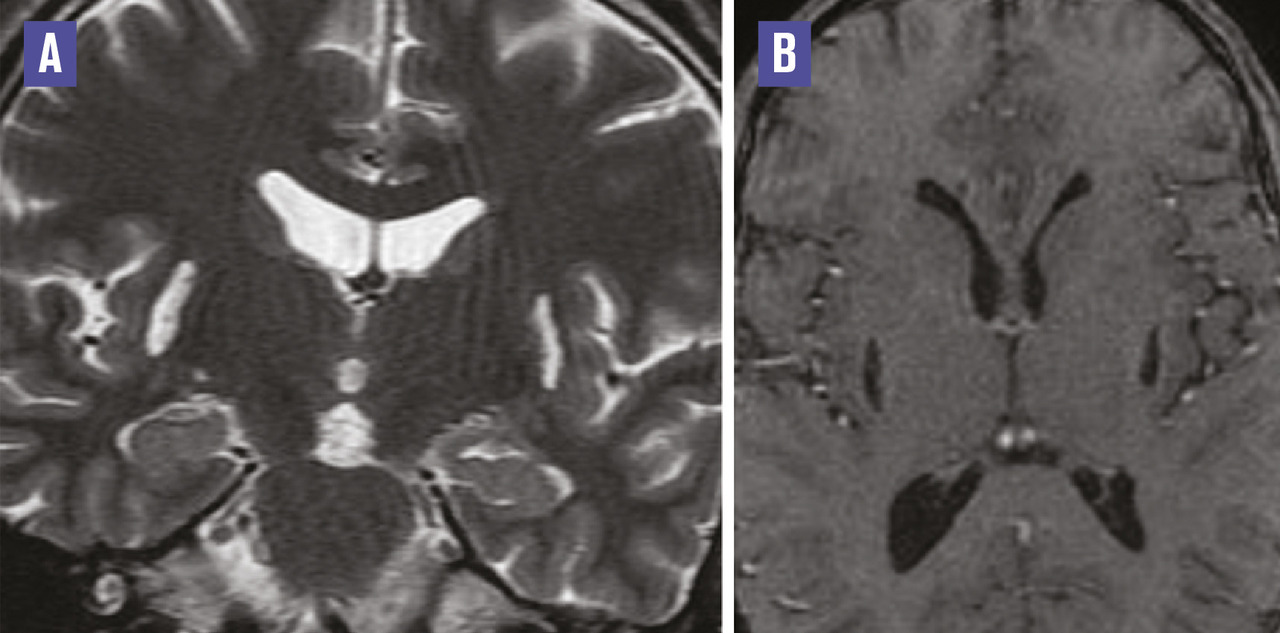
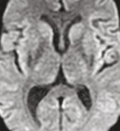
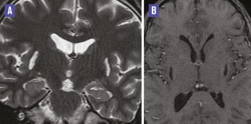
Cet homme de 36 ans, alcoolique chronique, était admis au service d’ophtalmologie pour l’exploration d’une cécité bilatérale. L’imagerie par résonance magnétique (IRM) orbito-encéphalique, demandée dans le cadre du bilan causal, montrait une atteinte putaminale bilatérale et symétrique de signal liquidien ; hyperintense en T2 (fig. 1A ), hypo-intense en T1 et Flair, sans restriction de la diffusion (fig. 2 ) ni rehaussement sur les séquences injectées (fig. 1B ) en rapport avec une nécrose de liquéfaction de type pseudokystique putaminal. Les voies optiques et la substance blanche sous-corticale étaient sans anomalie. Le diagnostic d’une intoxication au méthanol était confirmé par un taux sanguin élevé de méthanol.
L’intoxication au méthanol est une affection sévère dont le pronostic vital et fonctionnel dépend de la rapidité de la prise en charge. De nombreuses intoxications ont été décrites lors de l’utilisation abusive de méthanol dans la fabrication d’alcool frelaté. Le méthanol induit des lésions cytotoxiques d’origine hypoxique par accumulation d’acide formique. Celles-ci prédominent au niveau des noyaux gris centraux, des voies optiques et de certaines régions périphériques sous-corticales de la substance blanche. Leur répartition bilatérale, voire symétrique, est fortement évocatrice. Ces atteintes peuvent toucher aussi le cervelet, l’hypothalamus.1 Au sein des noyaux gris centraux la nécrose putaminale est la lésion la plus fréquemment observée. Ces lésions sont par ailleurs évolutives dans le temps, avec au départ une composante œdémateuse qui laisse ensuite la place à une lésion de nécrose de liquéfaction de type pseudokystique. L’atteinte ophtalmologique survient dans un second temps, avec œdème papillaire, atteinte de la vision des couleurs et baisse de l’acuité visuelle en rapport avec une névrite optique.2
Références
1. Ayé YD, Ayé YM, Babo CJ, Bouh KJ, Amonkou AA. Atteintes putaminales au cours d’une intoxication à l’alcool frelaté : à propos d’un cas. Société de l’anesthésie réanimation d’Afrique francophone, juillet 2012;17. https://bit.ly/3vTjvgy
2. Moussala M, Fotso JM, Njamshi A, Esiene A. 558 Manifestations oculaires de l’intoxication aiguë au méthanol : à propos d’une intoxication de masse au Cameroun. J Fr Ophtalmol 2005;28:302.
2. Moussala M, Fotso JM, Njamshi A, Esiene A. 558 Manifestations oculaires de l’intoxication aiguë au méthanol : à propos d’une intoxication de masse au Cameroun. J Fr Ophtalmol 2005;28:302.
Une question, un commentaire ?
Sur le même thème
Exercice
Exercice