Un adolescent de 16 ans, sans antécédent particulier, consulte en urgence pour un traumatisme du pied droit.
À l’examen, on objective une douleur périmalléolaire externe isolée et sans diffusion à l’arrière-pied.
Une entorse de cheville simple est alors évoquée.
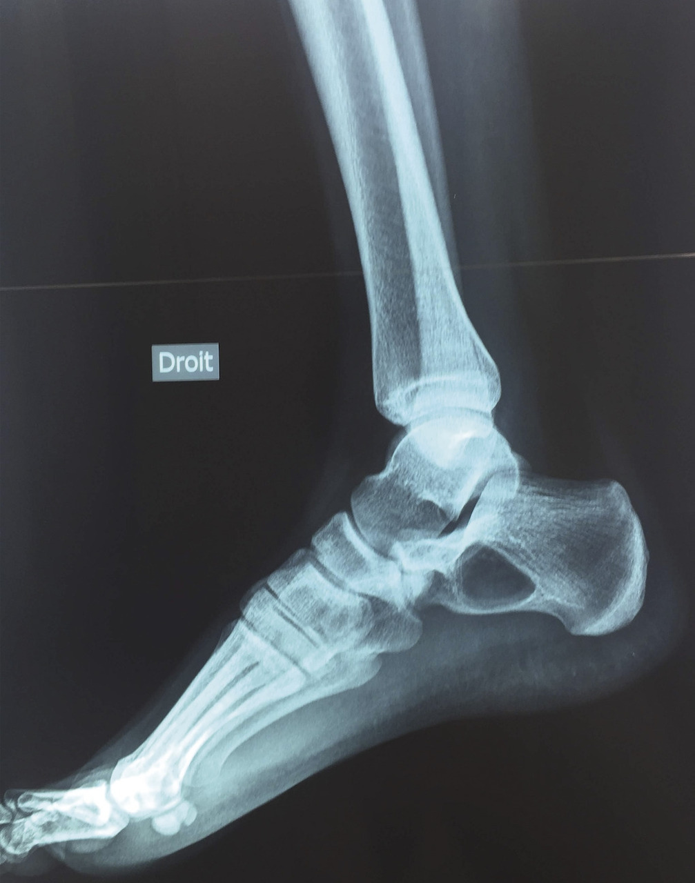
La radiographie et l’échographie du pied droit montrent une discrète inflammation du ligament calcanéo-fibulaire et une importante lésion lacunaire du calcanéum (fig. 1).
Devant cette lésion de découverte fortuite, le patient est adressé à un chirurgien orthopédique, qui programme une étude dynamique tomographique des chevilles et des pieds ainsi qu’une scintigraphie du corps entier.
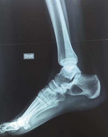
Ces examens permettent de poser le diagnostic de kyste osseux essentiel calcanéen, lésion bénigne qui ne nécessitera qu’une surveillance radiologique (fig. 2A et 2B).
À l’examen, on objective une douleur périmalléolaire externe isolée et sans diffusion à l’arrière-pied.
Une entorse de cheville simple est alors évoquée.
La radiographie et l’échographie du pied droit montrent une discrète inflammation du ligament calcanéo-fibulaire et une importante lésion lacunaire du calcanéum (fig. 1).
Devant cette lésion de découverte fortuite, le patient est adressé à un chirurgien orthopédique, qui programme une étude dynamique tomographique des chevilles et des pieds ainsi qu’une scintigraphie du corps entier.
Ces examens permettent de poser le diagnostic de kyste osseux essentiel calcanéen, lésion bénigne qui ne nécessitera qu’une surveillance radiologique (fig. 2A et 2B).
Le kyste osseux essentiel (ou simple) est la tumeur osseuse bénigne la plus fréquente (90 % des cas dans les deux premières décennies de la vie). Il est de prédominance masculine (2 à 3 hommes pour 1 femme). Il s’agit d’une dystrophie osseuse kystique uni- ou pluriloculaire, localisée le plus souvent sur la métaphyse des os longs (humérus dans plus 50 % des cas, calcanéum dans 3 % des cas), à proximité d’un cartilage de croissance. Il peut être actif ou inactif. Dans le premier cas, il peut se rapprocher de la diaphyse en s’allongeant et en fragilisant l’os.
Cliniquement, le kyste osseux essentiel est le plus souvent asymptomatique, de découverte fortuite lors d’une radiographie ou à la suite d’une fracture pathologique.
Dans la plupart des cas, les radiographies standard sont suffisantes pour faire le diagnostic. Elles montrent une lésion lacunaire à contours nets, centrale, parallèle à l’axe de l’os et se situant au contact d’un cartilage de croissance. Les corticales sont respectées. Le kyste est généralement unique et peut contenir de fins septas internes. Les autres examens (scintigraphie, tomodensitométrie, imagerie par résonance magnétique [IRM]) sont inutiles. La ponction biopsique est rarement indiquée.
Le kyste osseux essentiel régresse spontanément à la fin de la période de croissance.
Le diagnostic différentiel le plus fréquent est le kyste anévrismal, potentiellement plus agressif, dont la localisation métaphysaire est plus excentrée. Son diagnostic, posé par IRM, indique la réalisation d’une biopsie pour éliminer une cause maligne.
En l’absence de fracture, la prise en charge dépend de la taille du kyste :
– s’il est de petite taille et sans symptôme, une surveillance radiologique simple suffit ;
– s’il est plus volumineux avec un risque élevé de fracture, deux options thérapeutiques d’efficacité équivalente sont possibles : la chirurgie (brochage, vis) ou l’aspiration du kyste associée à l’injection de corticoïdes ou de moelle osseuse.
Les fractures sur kyste osseux essentiel guérissent généralement par immobilisation simple, sans nécessité de recourir à la chirurgie.
Cliniquement, le kyste osseux essentiel est le plus souvent asymptomatique, de découverte fortuite lors d’une radiographie ou à la suite d’une fracture pathologique.
Dans la plupart des cas, les radiographies standard sont suffisantes pour faire le diagnostic. Elles montrent une lésion lacunaire à contours nets, centrale, parallèle à l’axe de l’os et se situant au contact d’un cartilage de croissance. Les corticales sont respectées. Le kyste est généralement unique et peut contenir de fins septas internes. Les autres examens (scintigraphie, tomodensitométrie, imagerie par résonance magnétique [IRM]) sont inutiles. La ponction biopsique est rarement indiquée.
Le kyste osseux essentiel régresse spontanément à la fin de la période de croissance.
Le diagnostic différentiel le plus fréquent est le kyste anévrismal, potentiellement plus agressif, dont la localisation métaphysaire est plus excentrée. Son diagnostic, posé par IRM, indique la réalisation d’une biopsie pour éliminer une cause maligne.
En l’absence de fracture, la prise en charge dépend de la taille du kyste :
– s’il est de petite taille et sans symptôme, une surveillance radiologique simple suffit ;
– s’il est plus volumineux avec un risque élevé de fracture, deux options thérapeutiques d’efficacité équivalente sont possibles : la chirurgie (brochage, vis) ou l’aspiration du kyste associée à l’injection de corticoïdes ou de moelle osseuse.
Les fractures sur kyste osseux essentiel guérissent généralement par immobilisation simple, sans nécessité de recourir à la chirurgie.
Pour en savoir plus
1. Université de Tours. Kyste osseux essentiel. Imagerie de la pathologie de l’arrière-pied [en ligne, consulté le 13 avril 2021].
https://bit.ly/3y7mwMc
2. Mascard E. Kystes osseux : kyste osseux essentiel et kyste osseux anévrysmal. In: Conférence d’enseignement 2014. Paris: Elsevier; 2014, p. 171-82.
3. Les kystes osseux. Orthopédie-pédiatrique.com 2021 [en ligne, consulté le 13 avril 2021]. https://bit.ly/374aCqw
2. Mascard E. Kystes osseux : kyste osseux essentiel et kyste osseux anévrysmal. In: Conférence d’enseignement 2014. Paris: Elsevier; 2014, p. 171-82.
3. Les kystes osseux. Orthopédie-pédiatrique.com 2021 [en ligne, consulté le 13 avril 2021]. https://bit.ly/374aCqw
Une question, un commentaire ?
Sur le même thème
Article
Article