Crise sanitaire. Vingt ans après le début de la phase humaine de la maladie de la vache folle, le constat est sombre : des dizaines de personnes victimes d’une maladie mortelle, dont l’agent causal reste une des grandes très mauvaises surprises de l’histoire des épidémies. Le drame se double d’une gestion de la crise cacophonique dans sa communication. Sur ce point, quelles leçons en tirer pour l’avenir ?
Le 20 mars 1996, l’annonce de la probable transmission de la maladie de la vache folle à l’homme par le ministre de la Santé britannique marqua l’acmé d’une grave crise sanitaire d’origine alimentaire. Une encé- phalopathie subaiguë constamment mortelle chez des personnes jeunes trouvait alors sa cause dans la consommation de produits alimentaires d’origine bovine.
Comment fut franchie la barrière d’espèce
Parmi les encéphalopathies subaiguës, certaines se distinguent par leur caractère transmissible d’un individu malade à un individu sain, mais sans qu’un agent infectieux bactérien, viral ou parasitaire soit détectable. Elles sont désignées du nom d’encéphalopathie spon- giforme subaiguë transmissible.
Le caractère transmissible de certaines encéphalopathies subaiguës était connu chez l’animal et évoqué chez l’homme depuis des décennies,1 mais le mérite est revenu à Prusiner d’avoir évoqué pour la première fois, en 1982, que le caractère transmissible de ces encéphalopathies pouvait résulter d’une anomalie protéique.2
Le caractère transmissible de certaines encéphalopathies subaiguës était connu chez l’animal et évoqué chez l’homme depuis des décennies,1 mais le mérite est revenu à Prusiner d’avoir évoqué pour la première fois, en 1982, que le caractère transmissible de ces encéphalopathies pouvait résulter d’une anomalie protéique.2
Une protéine de prion anormale
L’anomalie en cause dans la genèse et la transmissibilité de la maladie affecte une protéine normale présente notamment dans l’encéphale des vertébrés : la protéine de prion* sous forme cellulaire (PrPc). L’anomalie protéique serait une modification irréversible de sa conformation. Les hélices α se transformeraient en feuillets β, cette transformation conférant à la protéine une grande stabilité et une résistance aux enzy- mes protéolytiques.
La transmissibilité serait liée au fait qu’au contact d’une protéine de prion normale, la protéine de prion anormale serait capable d’imposer sa conformation, contribuant ainsi à l’extension d’un processus complexe comportant une accumulation de ces protéines résistantes aux enzymes protéolytiques.
Le caractère infectieux du tissu provenant d’un individu malade peut être attesté de deux façons : en mettant en évidence « l’agent infectieux » à l’aide d’un anticorps qui, après application d’enzymes protéolytiques, révèle la présence préexistante d’une protéine ayant résisté à la lyse (méthode de Western Blot) ; en démontrant la transmissibilité de « l’agent infectieux » par inoculation d’un fragment de tissu malade à un animal sain. Les tests de diagnostic des maladies à prions ont fait l’objet d’intenses recherches en vue de la mise au point de tests rapides permettant le dépistage.3
La transmissibilité serait liée au fait qu’au contact d’une protéine de prion normale, la protéine de prion anormale serait capable d’imposer sa conformation, contribuant ainsi à l’extension d’un processus complexe comportant une accumulation de ces protéines résistantes aux enzymes protéolytiques.
Le caractère infectieux du tissu provenant d’un individu malade peut être attesté de deux façons : en mettant en évidence « l’agent infectieux » à l’aide d’un anticorps qui, après application d’enzymes protéolytiques, révèle la présence préexistante d’une protéine ayant résisté à la lyse (méthode de Western Blot) ; en démontrant la transmissibilité de « l’agent infectieux » par inoculation d’un fragment de tissu malade à un animal sain. Les tests de diagnostic des maladies à prions ont fait l’objet d’intenses recherches en vue de la mise au point de tests rapides permettant le dépistage.3
La responsabilité des farines animales
Parmi les encéphalopathies subaiguës spongiformes transmissibles observées chez l’animal, les plus anciennement connues touchent le mouton et la chèvre, le vison, le wapiti et le cerf mulet des Rocheuses.4
En avril 1985, en Grande-Bretagne, une encéphalopathie subaiguë spongiforme, évoquant la tremblante du mouton, fut observée pour la première fois chez des bovins (fig. 1). Cette observation et les nombreux cas observés dans les années suivantes déclenchèrent une crise de santé publique, de portée mondiale du point de vue de la santé animale, de portée surtout européenne du point de vue de la santé humaine.
Les investigations conduites à propos de cette nouvelle maladie animale amenèrent en quelques années à une succession de constats ou d’hypothèses importants du point de vue étiologique et pathogénique : en 1987, la mise en évidence du rôle causal de l’alimentation des bovins par des farines de viande et d’os, mais aussi que le procédé de fabrication de ces farines, qui était utilisé en Grande-Bretagne depuis le xixe siècle, avait connu une modification à la fin des années 1970 (un chauffage inférieur à 600 °C en chaleur sèche, insuffisant pour inactiver l’agent transmissible ; la suppression d’une phase d’extraction par solvants). L’hypothèse la plus vraisemblable est, qu’à partir de cas sporadiques, jusqu’alors méconnus chez les bovins, liés à une mutation du gène pnrp codant la protéine de prion et produisant une protéine anormale résistante PrPres, l’alimentation des bovins à partir de farines de viande et d’os contaminées avait, du fait des multiples recyclages, entraîné une amplification de l’exposition des bovins à la pro- téine anormale. La démonstration fut aussi apportée de l’aptitude de l’agent infectieux à franchir la barrière d’espèce à la suite de la détection en Grande-Bretagne de cas, en 1990, chez le chat,5 et en 1996 chez l’homme.
En avril 1985, en Grande-Bretagne, une encéphalopathie subaiguë spongiforme, évoquant la tremblante du mouton, fut observée pour la première fois chez des bovins (fig. 1). Cette observation et les nombreux cas observés dans les années suivantes déclenchèrent une crise de santé publique, de portée mondiale du point de vue de la santé animale, de portée surtout européenne du point de vue de la santé humaine.
Les investigations conduites à propos de cette nouvelle maladie animale amenèrent en quelques années à une succession de constats ou d’hypothèses importants du point de vue étiologique et pathogénique : en 1987, la mise en évidence du rôle causal de l’alimentation des bovins par des farines de viande et d’os, mais aussi que le procédé de fabrication de ces farines, qui était utilisé en Grande-Bretagne depuis le xixe siècle, avait connu une modification à la fin des années 1970 (un chauffage inférieur à 600 °C en chaleur sèche, insuffisant pour inactiver l’agent transmissible ; la suppression d’une phase d’extraction par solvants). L’hypothèse la plus vraisemblable est, qu’à partir de cas sporadiques, jusqu’alors méconnus chez les bovins, liés à une mutation du gène pnrp codant la protéine de prion et produisant une protéine anormale résistante PrPres, l’alimentation des bovins à partir de farines de viande et d’os contaminées avait, du fait des multiples recyclages, entraîné une amplification de l’exposition des bovins à la pro- téine anormale. La démonstration fut aussi apportée de l’aptitude de l’agent infectieux à franchir la barrière d’espèce à la suite de la détection en Grande-Bretagne de cas, en 1990, chez le chat,5 et en 1996 chez l’homme.
Une crise de santé publique…
Une crise de santé publique animale de portée mondiale
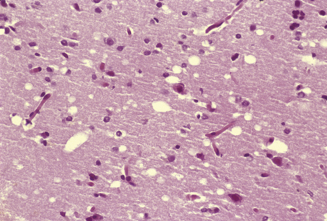
En raison de la durée d’incubation de la maladie, l’impact de la modification du procédé de fabrication des farines de viande et d’os ne devint cliniquement décelable qu’en 1986. Le tableau clinique se caractérisa alors par l’apparition de troubles comportementaux, de la locomotion et de la sensibilité, et par une altération importante de l’état général. L’examen post mortem des encéphales révéla des lésions spongiformes (fig. 2) ou la présence de la protéine anormale par Western Blot.
Ayant débuté en Grande-Bretagne en 1986, l’épizootie s’y développa de façon exponentielle jusqu’à atteindre un pic en 1992, avant de rétrocéder rapidement après 1993. Plus de 184 000 cas furent recensés en Grande- Bretagne, ce qui représenta une prévalence élevée au sein du cheptel bovin britannique comportant environ 4 millions d’animaux.
L’épizootie se caractérisa en France par un nombre de cas beaucoup moins élevé qu’en Grande-Bretagne, mais beaucoup plus élevé que dans d’autres pays de l’Union européenne, a fortiori qu’en Suisse, au Japon ou dans d’autres pays développés disposant d’un dispositif de surveillance.
Hormis l’importation d’animaux en phase d’incubation de la maladie, l’épizootie observée en France eut pour cause principale l’importation de farines contaminées provenant de Grande-Bretagne. L’épizootie ne put être maîtrisée par la seule interdiction, en 1990, de l’alimentation des bovins avec des farines de viande et d’os. Il fallut des mesures plus sévères de dépistage systématique de la maladie en abattoir pour pouvoir éviter que des animaux continuent d’être nourris par des farines possiblement contaminées.
En 2015, l’absence de cas observés permit à la France de retrouver sur la scène internationale le statut de pays « à risque négligeable », si important du point de vue des pos- sibilités d’exportation. Toutefois, en 2016, l’apparition d’un cas isolé dans les Ardennes, de mécanisme peu clair, fit rétrograder la France vers le statut des pays qui, comme la Grande-Bretagne, sont considérés comme seulement « à risque maîtrisé »
Ayant débuté en Grande-Bretagne en 1986, l’épizootie s’y développa de façon exponentielle jusqu’à atteindre un pic en 1992, avant de rétrocéder rapidement après 1993. Plus de 184 000 cas furent recensés en Grande- Bretagne, ce qui représenta une prévalence élevée au sein du cheptel bovin britannique comportant environ 4 millions d’animaux.
L’épizootie se caractérisa en France par un nombre de cas beaucoup moins élevé qu’en Grande-Bretagne, mais beaucoup plus élevé que dans d’autres pays de l’Union européenne, a fortiori qu’en Suisse, au Japon ou dans d’autres pays développés disposant d’un dispositif de surveillance.
Hormis l’importation d’animaux en phase d’incubation de la maladie, l’épizootie observée en France eut pour cause principale l’importation de farines contaminées provenant de Grande-Bretagne. L’épizootie ne put être maîtrisée par la seule interdiction, en 1990, de l’alimentation des bovins avec des farines de viande et d’os. Il fallut des mesures plus sévères de dépistage systématique de la maladie en abattoir pour pouvoir éviter que des animaux continuent d’être nourris par des farines possiblement contaminées.
En 2015, l’absence de cas observés permit à la France de retrouver sur la scène internationale le statut de pays « à risque négligeable », si important du point de vue des pos- sibilités d’exportation. Toutefois, en 2016, l’apparition d’un cas isolé dans les Ardennes, de mécanisme peu clair, fit rétrograder la France vers le statut des pays qui, comme la Grande-Bretagne, sont considérés comme seulement « à risque maîtrisé »
Une crise européenne de santé publique chez l’homme
L’encéphalopathie subaiguë spongiforme a été identifiée chez l’homme par Creutzfeldt, puis Jakob, en 1920. Affection dégénérative du système nerveux, la maladie de Creutzfeldt- Jakob, dans sa forme sporadique, génétique ou iatrogène, est une maladie touchant un ou deux patients par million d’habitants par an.
En mars 1996, le gouvernement britannique fit état de 10 cas de personnes de moins de 40 ans ayant une forme atypique, variante de la maladie de Creutzfeldt-Jakob (nommée vMCJ), dont les caractéristiques cliniques différaient de la maladie sporadique. La spécificité des lésions cérébrales, observée par biopsie cérébrale ou après autopsie, était évocatrice d’une contamination par un agent commun à tous les malades. Les études épidémiologiques et expérimentales permirent de conclure que cette forme atypique de la maladie était liée à une contamination d’origine alimentaire par l’agent de l’encéphalopathie spongiforme bovine.
Il fut établi que la contamination d’origine alimentaire était liée principalement à la consommation de viandes séparées mécaniquement et incorporées dans des produits alimentaires broyés dits « à base de viande » (saucisse, burger, lasa- gnes…), sans doute en raison de l’incorporation de la tête ou de la colonne vertébrale dans ces viandes.
Au Royaume-Uni ou en France, l’interdiction de l’incorporation de ces éléments dans la fabrication des viandes séparées mécaniquement ne fut effective qu’entre 1994 et 1996.
En Grande-Bretagne, 177 cas humains furent repérés, dont trois liés à des transfusions sanguines à partir d’un donneur ayant ensuite exprimé la variante de la maladie de Creutzfeldt-Jakob. Le génotype 129 MM particulier pour le gène prnp fut retrouvé chez tous les malades testés, ce qui souligna l’existence d’une sensibilité géné-tique particulière sous-tendant l’expression de la maladie après une période d’incubation maximale d’environ 15 ans.
Vingt-sept cas furent identifiés en France chez des patients ayant le même génotype particulier. Ils purent être reliés à la consommation de produits à base de viande, soit importés de Grande-Bretagne, soit fabriqués en France mais contenant des viandes séparées mécaniquement importées de Grande-Bretagne, l’exposition de la population française à ces produits ayant été maximale en 1993.
Dans une dizaine d’autres pays, quelques cas furent signalés, un séjour en Grande-Bretagne durant la période à risque ayant été la plupart du temps retrouvé.
En mars 1996, le gouvernement britannique fit état de 10 cas de personnes de moins de 40 ans ayant une forme atypique, variante de la maladie de Creutzfeldt-Jakob (nommée vMCJ), dont les caractéristiques cliniques différaient de la maladie sporadique. La spécificité des lésions cérébrales, observée par biopsie cérébrale ou après autopsie, était évocatrice d’une contamination par un agent commun à tous les malades. Les études épidémiologiques et expérimentales permirent de conclure que cette forme atypique de la maladie était liée à une contamination d’origine alimentaire par l’agent de l’encéphalopathie spongiforme bovine.
Il fut établi que la contamination d’origine alimentaire était liée principalement à la consommation de viandes séparées mécaniquement et incorporées dans des produits alimentaires broyés dits « à base de viande » (saucisse, burger, lasa- gnes…), sans doute en raison de l’incorporation de la tête ou de la colonne vertébrale dans ces viandes.
Au Royaume-Uni ou en France, l’interdiction de l’incorporation de ces éléments dans la fabrication des viandes séparées mécaniquement ne fut effective qu’entre 1994 et 1996.
En Grande-Bretagne, 177 cas humains furent repérés, dont trois liés à des transfusions sanguines à partir d’un donneur ayant ensuite exprimé la variante de la maladie de Creutzfeldt-Jakob. Le génotype 129 MM particulier pour le gène prnp fut retrouvé chez tous les malades testés, ce qui souligna l’existence d’une sensibilité géné-tique particulière sous-tendant l’expression de la maladie après une période d’incubation maximale d’environ 15 ans.
Vingt-sept cas furent identifiés en France chez des patients ayant le même génotype particulier. Ils purent être reliés à la consommation de produits à base de viande, soit importés de Grande-Bretagne, soit fabriqués en France mais contenant des viandes séparées mécaniquement importées de Grande-Bretagne, l’exposition de la population française à ces produits ayant été maximale en 1993.
Dans une dizaine d’autres pays, quelques cas furent signalés, un séjour en Grande-Bretagne durant la période à risque ayant été la plupart du temps retrouvé.
La gestion du risque de santé publique
Elle fut dominée par un élément essentiel, la longue durée d’incubation de la maladie.La protection maximale de la santé des consommateurs ne put être assurée que par des mesures touchant la santé animale et la santé humaine, aux échelons international, européen et national.À l’échelon international, l’appréciation globale du risque fut faite par l’Office international des épizooties**. De celle-ci résulta la détermination des possibilités d’exportation des marchandises d’origine bovine selon trois niveaux de risque (négligeable, maîtrisé, indéterminé) fixés en fonction de la durée et de la nature des mesures mises en place et des résultats épidémiologiques observés. À partir de 1988, au fur et à mesure de la compréhension scientifique de l’épizootie et de ses conséquences pour l’homme, l’Union européenne, la Grande-Bretagne et la France multiplièrent les mesures règlementaires visant à réduire le risque pour la santé des consommateurs et pour la santé animale : la déclaration obligatoire des cas d’encéphalopathie spongiforme bovine ; l’interdiction de l’utilisation des farines de viande et d’os en alimentation bovine, puis chez tous les animaux d’élevage ; le système de traçabilité vers l’amont et l’aval, qui vise à donner une dimension opérationnelle au dispositif de maîtrise du risque (un numéro d’identification unique est attribué à chaque animal par l’établissement d’élevage ; ce même numéro permet aussi la traçabilité aval après découpe et transformation) ; la mise en place d’un programme de dépistage des animaux ante mortem en élevage et à l’abattoir et post mortem, incluant des tests rapides puis, en cas de suspicion, des tests immuno-histochi- miques ou par Western Blot ; le retrait de la chaîne alimentaire, suivi d’incinération, des matériels à risque spécifiés (principalement le crâne, la moelle épinière, la colonne vertébrale, les amygdales et la terminaison de l’intestin).De façon plus générale, afin de concilier la meilleure maîtrise possible du risque, par l’interdiction d’entrée dans la chaîne alimentaire humaine, et l’accent mis de façon croissante sur l’économie circulaire visant à ne pas gaspiller, les sous-produits animaux furent rangés en trois catégories : la catégorie 1, qui comporte les matières animales constituant un risque important pour la santé publique, par exemple du fait du risque d’encéphalopathie spongiforme transmissible, et qui sont vouées à l’incinération ; la catégorie 2, qui comporte des sous-produits animaux présentant un risque moins important pour la santé publique (par exemple, animal mort en élevage), mais qui peuvent être valorisés en dehors de l’alimentation animale (par exemple, pour conversion en biogaz, compostage ou fabrication d’engrais organiques) ; enfin, la catégorie 3, qui comporte des sous-produits ne présentant pas de risque pour la santé humaine ou animale, et qui peuvent être valorisés après transformation agréée pour l’alimentation animale ou divers autres usages. Vingt ans après, le drame de la vache folle reste donc emblématique d’une crise de santé publique de haute gravité, touchant à la fois la santé animale et la santé humaine même si le constat est resté moins sombre que le faisaient redouter certaines prévisions épidémiologiques établies au plus fort de la crise. Des milliers d’animaux furent touchés, surtout en Grande-Bretagne, mais aussi en France et, à un moindre degré, dans d’autres pays. Des dizaines de personnes jeunes, ayant consommé des produits alimentaires d’origine bovine dans les années 1980 et 1990 et ayant un facteur de susceptibilité génétique, furent frappées par une encéphalopathie subaiguë spongiforme à prions constamment mortelle et considérée comme une variante de la maladie de Creutzfeldt-Jakob. Des interrogations persistent quant à la possibilité d’une très longue durée d’incubation de la maladie chez certaines personnes, pour des raisons de moindre susceptibilité génétique.6, 7 Vingt ans après, « On ne sait ce qui peut arriver ».
…mais aussi une crise de la communication
John Gummer, alors ministre de l’Agriculture britannique, invitant le 16 mai 1990 sa fille Cordelia à manger un hamburger devant les caméras, et la vache folle de Plantu s’installant en une du quotidien Le Monde pour regarder passer les événements furent certaines des images chocs qui signèrent cette crise.
Dans un contexte où il fallait, à la fois, protéger la santé de la population, assurer la maîtrise de l’épizootie, s’efforcer que les décisions soient fondées sur la science, préserver la confiance des consommateurs dans la viande de bœuf, sauver de l’effondrement toute une filière professionnelle, préserver les relations entre États au sein de l’Union européenne et sur la scène internationale, la communication prit une importance capitale. Elle fut dominée par la confusion et la cacophonie. Elle resta comme un des aspects les plus difficiles de la gestion de cette crise.
Alors que la situation liée à l’encéphalopathie spongiforme bovine semble en voie de normalisation et afin de mieux se préparer pour d’éventuelles crises sanitaires d’origine alimentaire à venir, il était tentant, après un recul de 20 ans, de tirer des leçons de cette crise du point de vue de la communication. La tâche de faire émerger des recommandations consensuelles fut confiée en 2016 à un groupe de concertation du Conseil national de l’alimentation, réunissant toutes les parties prenantes : professionnels de la filière agroalimentaire, représentants des consommateurs, experts scientifiques de nombreuses disciplines et pouvoirs publics.
Dans un contexte où il fallait, à la fois, protéger la santé de la population, assurer la maîtrise de l’épizootie, s’efforcer que les décisions soient fondées sur la science, préserver la confiance des consommateurs dans la viande de bœuf, sauver de l’effondrement toute une filière professionnelle, préserver les relations entre États au sein de l’Union européenne et sur la scène internationale, la communication prit une importance capitale. Elle fut dominée par la confusion et la cacophonie. Elle resta comme un des aspects les plus difficiles de la gestion de cette crise.
Alors que la situation liée à l’encéphalopathie spongiforme bovine semble en voie de normalisation et afin de mieux se préparer pour d’éventuelles crises sanitaires d’origine alimentaire à venir, il était tentant, après un recul de 20 ans, de tirer des leçons de cette crise du point de vue de la communication. La tâche de faire émerger des recommandations consensuelles fut confiée en 2016 à un groupe de concertation du Conseil national de l’alimentation, réunissant toutes les parties prenantes : professionnels de la filière agroalimentaire, représentants des consommateurs, experts scientifiques de nombreuses disciplines et pouvoirs publics.
Du concept de crise à la crise de la vache folle
Le concept de crise est issu de la médecine hippocratique et lié au choix du moment opportun pour agir.9 Ce concept a, pendant des siè- cles, été limité au champ de la médecine, qualifiant de multiples tableaux pathologiques, de la crise délirante à la crise cardiaque, en passant par la crise épileptique ou d’asthme. Avatar de la médicalisation de la société – Foucault aurait dit du biopouvoir –, le concept de crise a ensuite diffusé à d’autres domaines, pour devenir crise diplomatique, politique, sociale ou économique. Tout est devenu « crisible ».
De multiples définitions de la crise ont été données, se centrant souvent sur la déstabilisation et la remise en cause des missions affectant un système, qu’il soit un organisme public ou privé, ou un gouvernement. Afin de faire le lien entre la racine médicale du concept de crise et sa portée aujourd’hui très générale, il faut souligner que la crise trouve sa source dans la survenue d’un événement qui déstabilise, en faisant passer de la vie « agissante » et « réagissante », mais dans l’habitude,10 au régime de l’urgence, de la nécessité vécue sous l’emprise du temps et incitant à une réaction vive.11 La crise comporte toujours un certain degré de publicité.
Dans la crise liée à l’urgence médicale, la publicité reste limitée à l’entourage proche du malade, à son médecin et, souvent ensuite, au service des urgences de l’hôpital. La publicité est beaucoup plus large lorsque, par exemple en santé publique, la crise touche une institution, une entreprise ou un pays, voire toute la planète, et que les médias jouent alors à plein leur rôle d’amplification et de modulation. Touchant les sociétés britannique, française et européenne dans leur ensemble, la crise de la vache folle connut un haut niveau de publicité entre 1986 et le début des années 2000
De multiples définitions de la crise ont été données, se centrant souvent sur la déstabilisation et la remise en cause des missions affectant un système, qu’il soit un organisme public ou privé, ou un gouvernement. Afin de faire le lien entre la racine médicale du concept de crise et sa portée aujourd’hui très générale, il faut souligner que la crise trouve sa source dans la survenue d’un événement qui déstabilise, en faisant passer de la vie « agissante » et « réagissante », mais dans l’habitude,10 au régime de l’urgence, de la nécessité vécue sous l’emprise du temps et incitant à une réaction vive.11 La crise comporte toujours un certain degré de publicité.
Dans la crise liée à l’urgence médicale, la publicité reste limitée à l’entourage proche du malade, à son médecin et, souvent ensuite, au service des urgences de l’hôpital. La publicité est beaucoup plus large lorsque, par exemple en santé publique, la crise touche une institution, une entreprise ou un pays, voire toute la planète, et que les médias jouent alors à plein leur rôle d’amplification et de modulation. Touchant les sociétés britannique, française et européenne dans leur ensemble, la crise de la vache folle connut un haut niveau de publicité entre 1986 et le début des années 2000
Grandes étapes et principaux déterminants de la crise de communication
Indifférence
La première phase de la crise se déroula entre les années 1986 et 1995. Durant cette première phase, qui vit l’émergence d’événements inquiétants, principalement en Grande-Bretagne (épizootie touchant largement le cheptel ; interdiction d’alimenter les bovins avec des farines de viandes et d’os), la publicité de la crise resta, en France, assez limitée. En dépit de la survenue d’un premier cas bovin dans un élevage des Côtes-d’Armor en 1991, cette première phase fut, en France, une période d’incubation, la population française restant peu craintive face au risque auquel était exposé le cheptel britannique.Panique
La situation changea radicalement en 1996 : à l’annonce, le 20 mars 1996, des premiers cas humains en Grande-Bretagne, fit suite celle du premier cas humain en France, le 5 avril. En France, la perception du risque devint alors aussi aiguë qu’en Grande-Bretagne, car le consommateur français apprit peu à peu que : l’encéphalopathie spongiforme bovine était transmissible à l’homme, selon les conclusions du rapport du comité scientifique sur les encéphalopathies subaiguës spongiformes transmissibles et les prions que son président, Dominique Dormont, remit au gouvernement en mai 1996 ; l’évaluation et la gestion du risque, aux niveaux britannique, européen et français, avaient été défaillantes,12 imposant la création, dès le 1er juillet 1998, de l’Agence française de sécu- rité sanitaire des aliments (AFSSA) dédiée à l’évaluation du risque sanitaire en matière d’alimentation ; des farines de viande et d’os potentiel- lement contaminées et interdites pour les bovins en Grande-Bretagne avaient été largement exportées, notamment de la Grande-Bretagne vers la France, et pendant près de 8 ans, jusqu’en 1991.13Rechute
La troisième étape de la crise prit l’apparence d’une rechute dans le cadre d’une gestion du risque insuffisamment analysée et clarifiée. Elle fut déclenchée lorsque, peu après l’annonce du deuxième cas humain, le 16 décembre 1999, il fut perçu que, face à un risque de maladie mortelle, la gestion du risque restait fragile, et même que la fraude pouvait être soupçonnée.À propos de l’affaire Soviba-Carrefour, dite « affaire de la treizième vache », le Journal du dimanche titra le 22 octobre 2000 : « La vache folle vendue dans nos supermarchés ». Quelques jours auparavant, l’inspection en abattoir avait repéré avant abattage, puis écarté, un animal d’évidence malade et dont l’état clini- que se révéla être dû à l’encéphalopathie spongiforme bovine. Le soupçon de fraude résulta du fait que 12 vaches, apparemment indemnes mais venant de chez le même négociant, avaient été abattues 5 jours auparavant dans le même abattoir de Villers-Bocage, puis introduites dans la chaîne alimentaire. L’entreprise Carrefour déclencha alors, par précaution, un rappel de l’ensemble des produits concernés en vente dans ses supermarchés. Ce rappel sembla valider les soupçons de fraude et aggrava même le niveau d’inquiétude, lorsqu’il fut constaté que 50 % des muscles avaient déjà été consommés.
Confusion et cacophonie
Tout au long de cette crise à étapes, les pouvoirs publics, les professionnels concernés et les scientifiques sollicités s’efforcèrent d’informer les consommateurs (fig. 3) et de leur transmettre des recommandations. La confusion et la cacophonie résultèrent du fait que ces différents porteurs de messages étaient en même temps porteurs d’intérêts pouvant sembler différents, sinon divergents.Pour l’État, il fallait à la fois protéger la santé de la population et celle du cheptel mais aussi éviter l’effondrement d’une filière économique, d’élevage, d’industrie agroalimentaire et de distribution, le tout dans un environnement concurrentiel à de multiples niveaux (la filière de la viande bovine versus les autres filières de la viande ; les acteurs économiques français versus leurs concurrents européens et internationaux ; les responsables politiques entre eux). Pour les autres acteurs (experts scientifiques divers, représentants des acteurs économiques, représentants des consommateurs), le devoir d’information s’appuyait aussi sur la défense des enjeux dont ils étaient responsables.
Leçons et recommandations pour la communication de crise
Cette crise illustra les connaissances acquises dans le domaine de la science de la communication, notamment sur les moteurs de la percep- tion du risque, et elle souligna les exigences à satisfaire en vue d’une communication efficace sur l’évaluation et la gestion du risque.
La perception du risque fut aussi troublée par l’expression cacophonique des multiples acteurs concernés, traduisant ainsi la complexité de la filière qui mène de la fourche à la fourchette. Elle fut enfin fortement soumise aux changements du marché de l’information, devenu éclaté et dispersé, au tournant du siècle, en d’innombrables bulles cognitives confortant les croyances installées et développant une aptitude accrue à la propagation des rumeurs.
L’objectif de ce travail préparatoire doit être non seulement que les messages répondent aux exigences de la communication sur le risque mais aussi qu’ils garantissent que la parole de l’État, gestionnaire du risque, et celle des autres acteurs concernés, y compris des leaders d’opinion, soient les plus cohérentes possibles. Sans viser à générer des messages consensuels, la prise en considé- ration de l’ensemble de ces acteurs doit chercher, à tout le moins, à éviter les messages mésestimant la menace ou contradictoires.
Au-delà de la cohérence des messages s’impose aussi une coordination dans l’enchaînement de ceux-ci afin d’éviter la cacophonie. Le sociologue Jean-Pierre Corbeau a élaboré un « diadrame du manger » qui, dans une représentation concentrique de la filière du « manger », analyse les interactions multiples entre les dif- férentes catégories d’acteurs de l’alimentation : professionnels de la filière agroalimentaire, scientifiques, médias, décideurs de tous niveaux. La coordination de la communication doit chercher à ce que les messages émanant de tous ces acteurs reflètent mieux la complémentarité des métiers, et dans une ambiance polyphonique à même de rendre le consommateur réceptif.14
Une telle préparation à la communication aurait sans doute évité beaucoup d’incompréhension15 dans la grande crise de la grippe aviaire qui, en 2005, succéda à celle de la vache folle…
Il faut que « le malheur donne de la mémoire »16…
Ce qui a brouillé la perception des risques
Il apparut que la genèse de la perception des risques et de leur gestion face à l’information fournie avait été influencée par : des défauts d’explication (par exemple sur la question des délais, d’incubation ou de mise en route d’une mesure de gestion décidée, ou sur le fait paradoxal qu’une augmentation du nombre de cas repérés peut résulter d’une surveillance plus efficace plutôt que d’une défaillance de la gestion du risque) ; des incompréhensions liées à la terminologie employée (ante mortem, post mortem) ; des biais cognitifs, notamment liés à la confrontation des informations reçues à des représentations préexistantes (par exemple, que la vache mange de l’herbe) ; enfin, par l’installation médiatique d’une dramaturgie mettant en scène les héros (scientifiques lanceurs d’alerte), les vilains (acteurs économiques) et les victimes (consommateurs).La perception du risque fut aussi troublée par l’expression cacophonique des multiples acteurs concernés, traduisant ainsi la complexité de la filière qui mène de la fourche à la fourchette. Elle fut enfin fortement soumise aux changements du marché de l’information, devenu éclaté et dispersé, au tournant du siècle, en d’innombrables bulles cognitives confortant les croyances installées et développant une aptitude accrue à la propagation des rumeurs.
Coordonner la communication
Parmi les recommandations qui furent formulées de façon consensuelle par le groupe de concertation, il apparut que la tâche prioritaire, lors de l’incubation de la crise, à tout le moins à son début, était de cartographier précisément l’ensemble des acteurs concernés (pouvoirs publics, consommateurs, professionnels, experts scientifiques, médias) afin d’identifier les leviers et les contraintes qui déterminent leur expression.L’objectif de ce travail préparatoire doit être non seulement que les messages répondent aux exigences de la communication sur le risque mais aussi qu’ils garantissent que la parole de l’État, gestionnaire du risque, et celle des autres acteurs concernés, y compris des leaders d’opinion, soient les plus cohérentes possibles. Sans viser à générer des messages consensuels, la prise en considé- ration de l’ensemble de ces acteurs doit chercher, à tout le moins, à éviter les messages mésestimant la menace ou contradictoires.
Au-delà de la cohérence des messages s’impose aussi une coordination dans l’enchaînement de ceux-ci afin d’éviter la cacophonie. Le sociologue Jean-Pierre Corbeau a élaboré un « diadrame du manger » qui, dans une représentation concentrique de la filière du « manger », analyse les interactions multiples entre les dif- férentes catégories d’acteurs de l’alimentation : professionnels de la filière agroalimentaire, scientifiques, médias, décideurs de tous niveaux. La coordination de la communication doit chercher à ce que les messages émanant de tous ces acteurs reflètent mieux la complémentarité des métiers, et dans une ambiance polyphonique à même de rendre le consommateur réceptif.14
Prérequis nécessaires
Une meilleure gestion de la commu- nication en situation de crise de sécurité sanitaire d’origine alimentaire suppose aussi plusieurs prérequis : des explications régulières, en dehors de toute crise, sur l’évolution des modes de production et de transformation agricoles ; une plus grande solidarité entre tous les acteurs de l’alimentation, afin qu’en situation de crise, la communication soit « coo- pétitive », plutôt que compétitive ; une confiance accrue dans les sciences de la communication pour nourrir les décisions de gestion de crise ; la valorisation de l’expertise scientifique collégiale ; la promotion des bonnes pratiques dans le champ des médias, avec un rôle de régulation renforcé du Conseil supérieur de l’audiovisuel ; un renforcement de la coordination interministérielle, mais aussi au niveau européen, en vue de favoriser la cohérence des messages émis dans les différents États membres, en particulier alors que les réseaux sociaux amplifient l’effet « sans frontière » des messages véhiculés.Une telle préparation à la communication aurait sans doute évité beaucoup d’incompréhension15 dans la grande crise de la grippe aviaire qui, en 2005, succéda à celle de la vache folle…
Il faut que « le malheur donne de la mémoire »16…
* Prion : mot proposé par Prusiner à partir de cinq lettres des deux mots Proteinaceous infectious.** Fondé en 1942, l’OIE regroupe 180 États membres et est reconnu comme organisme de référence par l’Organisation mondiale du commerce.
Cet article s’inspire de l’avis n° 79 sur la « Gestion de crise et communication : enseignements tirés de la crise de l’encéphalopathie spongiforme bovine » adopté le 16 octobre 2017 par le Conseil national de l’alimentation. Il s’inspire pour sa 1re partie notamment des informations fournies par Thierry Baron, Jeanne Brugère-Picoux, Jean-Philippe Deslys, Marc Savey, Bernard Vallat et Sylvie Vareille lors de leurs auditions par le groupe de concertation (fiches thématiques 1 [p. 21-30] et 3 [p. 36-44]), et pour sa seconde partie sur celles fournies par Nacera Amraoui, Benoît Assémat, Jean-Pierre Corbeau, Olivier Fourcadet, Louis Orenga et Jocelyn Raude (p. 10-15 et fiche thématique 2 (p. 31-35)).
Cet article s’inspire de l’avis n° 79 sur la « Gestion de crise et communication : enseignements tirés de la crise de l’encéphalopathie spongiforme bovine » adopté le 16 octobre 2017 par le Conseil national de l’alimentation. Il s’inspire pour sa 1re partie notamment des informations fournies par Thierry Baron, Jeanne Brugère-Picoux, Jean-Philippe Deslys, Marc Savey, Bernard Vallat et Sylvie Vareille lors de leurs auditions par le groupe de concertation (fiches thématiques 1 [p. 21-30] et 3 [p. 36-44]), et pour sa seconde partie sur celles fournies par Nacera Amraoui, Benoît Assémat, Jean-Pierre Corbeau, Olivier Fourcadet, Louis Orenga et Jocelyn Raude (p. 10-15 et fiche thématique 2 (p. 31-35)).
Remerciements à Karine Boquet, secrétaire interministérielle du Conseil national de l’alimentation, et à Alice Maurin, chargée d’études.
Références
1. Gajdusek DC, Zigas V. Kuru: clinical, pathological and epidemiological study of acute progressive degenerative disease of CNS among natives of Eastern Highland of New Guinea, Am J Med 1959;26:442-69.
2. Prusiner SB. Novel proteinaceous infectious particles cause scrapie. Science 1982;216:136-44.
3. Buton CA. Méthodes de diagnostic des maladies à prions chez l’homme et l’animal. Thèse de doctorat. École nationale vétérinaire d’Alfort, 2006.
4. Ibid., p. 11.
5. Ibid., p. 30.
6. Valleron AJ, Boelle PY, Chatignoux E, Cesbron JY. Can a second wave of new variant of the CJD be discarded in absence of observation of clinical non Met-Met cases? Rev Epidemiol Santé Pub 2006;54:111-5.
7. Collinge J, Whitfield J, McKintosh E, et al. Kuru in the 21st century – an acquired human prion disease with very long incubation period. Lancet 2006;367:2068-74.
8. Dumas A. Vingt ans après. Tome 2. Paris : Nelson/Calmann-Lévy Éditeurs 1937:569.
9. Debru A. Crise. In : Lecourt D. Dictionnaire de la pensée médicale. Paris : Presses universitaires de France, 2004:297-300.
10. Ravaisson F. De l’habitude. Paris : Éditions Payot et Rivages, 1997 : 50.
11. Houssin D. Maintenant ou trop tard. Essai sur le phénomène de l’urgence. Paris : Éditions Denoël, 2003 : 155.
12. Mattéi JF. De la vache folle à la vache émissaire. Assemblée nationale, 1997 : rapport d’information n° 3291.
13. The BSE Inquiry Report, October 2000. webarchive.nationalarchives.gov.uk ou https://bit.ly/2I7eVXg
14. Précigout F. Sociologie appliquée à l’alimentation : ouvrir l’Université et la recherche sur l’extérieur. Entretien avec Jean-Pierre Corbeau J.P., Anthropology of food, October 2016. journals.openedition.org ou https://bit.ly/2Icuwot
15. Houssin D. Face au risque épidémique. Paris : Éditions Odile Jacob, 2014 : 85.
16. Dumas A. Vingt ans après. Tome 2. Paris : Nelson/Calmann-Lévy Éditeurs 1937:58
2. Prusiner SB. Novel proteinaceous infectious particles cause scrapie. Science 1982;216:136-44.
3. Buton CA. Méthodes de diagnostic des maladies à prions chez l’homme et l’animal. Thèse de doctorat. École nationale vétérinaire d’Alfort, 2006.
4. Ibid., p. 11.
5. Ibid., p. 30.
6. Valleron AJ, Boelle PY, Chatignoux E, Cesbron JY. Can a second wave of new variant of the CJD be discarded in absence of observation of clinical non Met-Met cases? Rev Epidemiol Santé Pub 2006;54:111-5.
7. Collinge J, Whitfield J, McKintosh E, et al. Kuru in the 21st century – an acquired human prion disease with very long incubation period. Lancet 2006;367:2068-74.
8. Dumas A. Vingt ans après. Tome 2. Paris : Nelson/Calmann-Lévy Éditeurs 1937:569.
9. Debru A. Crise. In : Lecourt D. Dictionnaire de la pensée médicale. Paris : Presses universitaires de France, 2004:297-300.
10. Ravaisson F. De l’habitude. Paris : Éditions Payot et Rivages, 1997 : 50.
11. Houssin D. Maintenant ou trop tard. Essai sur le phénomène de l’urgence. Paris : Éditions Denoël, 2003 : 155.
12. Mattéi JF. De la vache folle à la vache émissaire. Assemblée nationale, 1997 : rapport d’information n° 3291.
13. The BSE Inquiry Report, October 2000. webarchive.nationalarchives.gov.uk ou https://bit.ly/2I7eVXg
14. Précigout F. Sociologie appliquée à l’alimentation : ouvrir l’Université et la recherche sur l’extérieur. Entretien avec Jean-Pierre Corbeau J.P., Anthropology of food, October 2016. journals.openedition.org ou https://bit.ly/2Icuwot
15. Houssin D. Face au risque épidémique. Paris : Éditions Odile Jacob, 2014 : 85.
16. Dumas A. Vingt ans après. Tome 2. Paris : Nelson/Calmann-Lévy Éditeurs 1937:58