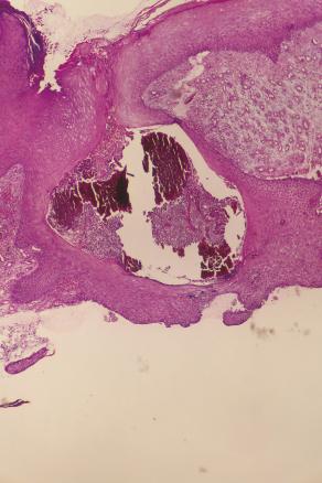
Cette femme de 65 ans, d’origine rurale, avait une tuméfaction du pied droit évoluant depuis 10 ans. L’examen notait une pseudotumeur, multinodulaire, polyfistulisée, de l’avant-pied (fig. 1 ) parsemée de grains noirs. L’examen mycologique des grains montrait des filaments. À l’histologie, on notait une hyperplasie épidermique pseudo-épithéliomateuse avec des structures brunâtres en grains entourées de polynucléaires neutrophiles au niveau du derme (fig. 2 ), permettant le diagnostic de mycétome fongique. Le bilan d’extension ne montrait pas d’atteinte osseuse. Un débridement chirurgical des tissus atteints (fig. 3 ) avec traitement systémique par itraconazole était réalisé. Une récidive était notée 1 an plus tard.
Le mycétome fongique du pied est une mycose profonde de la peau et des tissus sous-cutanés, produisant des grains.1 Elle touche des patients d’origine rurale. Le pied en est la principale localisation.2, 3 L’aspect clinique est celui d’une pseudo-tumeur inflammatoire, polyfistulisée avec des grains souvent de couleur noire.1, 2 Le diagnostic est confirmé par l’examen mycologique. Madurella mycetomatis est l’agent fongique le plus fréquent.1 L’atteinte osseuse est la complication la plus grave, source de morbidité élevée.2 Le traitement médico–chirurgical repose sur les dérivés azolés et le débridement large des tissus atteints.3 Le taux de récidive est élevé. En cas d’atteinte osseuse, l’amputation est la seule option. La prévention porte sur l’importance du chaussage et l’intérêt de la consultation précoce.
Références
1. Develoux M. Mycetoma and their treatment. J Mycol Medicale 2016;26:77‑85.
2. Zijlstra EE, van de Sande WWJ, Welsh O, Mahgoub ES, Goodfellow M, Fahal AH. Mycetoma: a unique neglected tropical disease. Lancet Infect Dis 2016;16:100‑12.
3. Nenoff P, van de Sande WWJ, Fahal AH, Reinel D, Schöfer H. Eumycetoma and actinomycetoma – an update on causative agents, epidemiology, pathogenesis, diagnostics and therapy. J Eur Acad Dermatol Venereol 2015;29:1873‑83.
2. Zijlstra EE, van de Sande WWJ, Welsh O, Mahgoub ES, Goodfellow M, Fahal AH. Mycetoma: a unique neglected tropical disease. Lancet Infect Dis 2016;16:100‑12.
3. Nenoff P, van de Sande WWJ, Fahal AH, Reinel D, Schöfer H. Eumycetoma and actinomycetoma – an update on causative agents, epidemiology, pathogenesis, diagnostics and therapy. J Eur Acad Dermatol Venereol 2015;29:1873‑83.
Une question, un commentaire ?