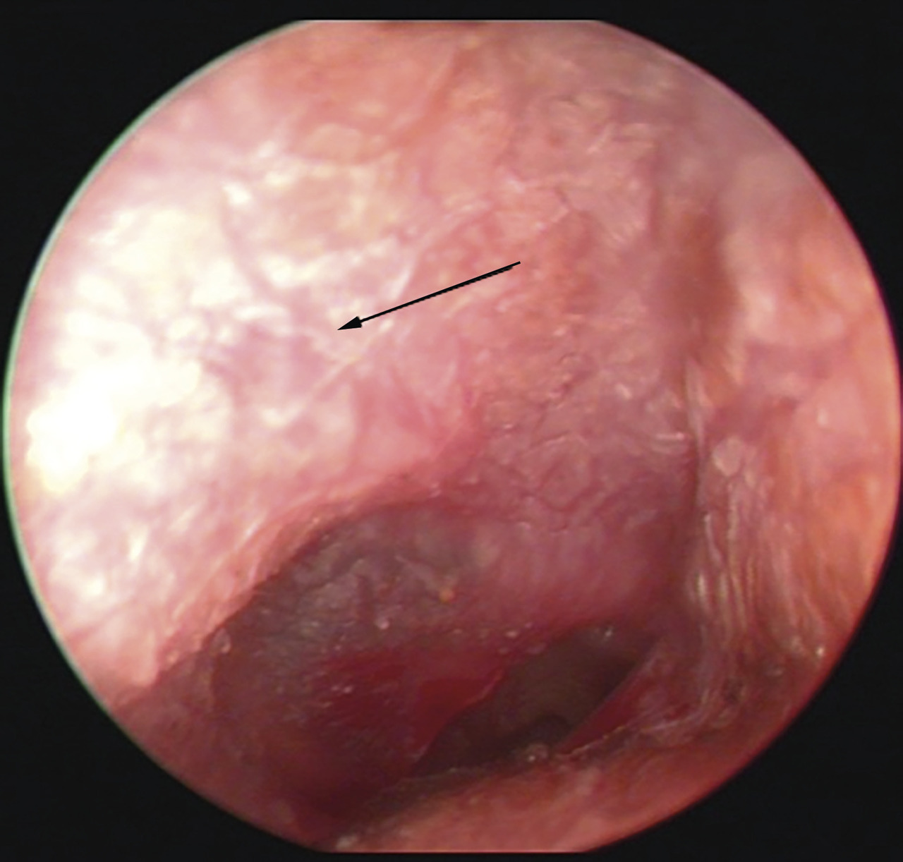
Prospert, 60 ans, consulte pour une otalgie intense, accompagnée de prurit et d’une sensation de plénitude de l’oreille. L’inspection montre une inflammation et un œdème diffus du conduit auditif, dont la peau est très abimée.
Observation
C’est une infection du conduit auditif externe (CAE) fréquente dans les climats chauds et humides, et pendant la période estivale, favorisée par les bains de mer ou en piscine.
À l’examen : douleur à la pression du tragus ou à la mobilisation du pavillon, inflammation et œdème diffus du CAE responsables d’une sténose. Le tympan est normal. Les traumatismes engendrés par coton-tige, grattage (notamment en cas d’eczéma du conduit auditif), prothèses auditives ou bouchons protecteurs sont souvent déclenchants.
Le traitement est essentiellement local : nettoyage doux du conduit auditif externe par aspiration des sécrétions et des débris ;solution auriculaire efficace sur les germes à Gram négatif : antibiotique (néomycine ou framycétine) habituellement associé à un corticoïde : Antibio Synalar, Panotile, Polydexa, à appliquer matin et soir pendant 7 jours (en l’absence de perforation tympanique) ; proscrire la baignade pendant 10 jours, éviter les traumatismes du conduit.
À l’examen : douleur à la pression du tragus ou à la mobilisation du pavillon, inflammation et œdème diffus du CAE responsables d’une sténose. Le tympan est normal. Les traumatismes engendrés par coton-tige, grattage (notamment en cas d’eczéma du conduit auditif), prothèses auditives ou bouchons protecteurs sont souvent déclenchants.
Le traitement est essentiellement local : nettoyage doux du conduit auditif externe par aspiration des sécrétions et des débris ;solution auriculaire efficace sur les germes à Gram négatif : antibiotique (néomycine ou framycétine) habituellement associé à un corticoïde : Antibio Synalar, Panotile, Polydexa, à appliquer matin et soir pendant 7 jours (en l’absence de perforation tympanique) ; proscrire la baignade pendant 10 jours, éviter les traumatismes du conduit.
Une question, un commentaire ?
Sur le même thème
Article