Objectifs
Connaître les circonstances imposant la recherche d’un paludisme et les examens complémentaires permettant de confirmer le diagnostic et d’évaluer le retentissement.
Connaître les critères de gravité, les principes de l’hospitalisation.
Connaître le traitement et les principes de la surveillance d’un accès palustre.
Connaître les principes de la prévention antivectorielle et de la protection médicamenteuse.
Accéder aux sources d’information permettant la mise en œuvre des mesures de prophylaxie adaptées.
Identifier les situations d’urgence et planifier leur prise en charge.
En 2019, le paludisme était endémique ou présent sous forme épidémique dans 85 pays dans le monde, plaçant 4 milliards d’individus à risque d’infection par une ou plusieurs des cinq espèces plasmodiales répertoriées (fig. 1). La mortalité mondiale par le paludisme touchait essentiellement l’Afrique subsaharienne (96 %), et les enfants de moins de 5 ans (77 %).
Bien que cette mortalité ait diminué de 30 % entre 2000 et 2020, le nombre de décès dus au paludisme s’élevait encore à environ 629 000 en 2020. La mortalité a été affectée par la crise du Covid-19, avec une augmentation des décès en 2020 de 12 % par rapport à 2019 (558 000).
En France métropolitaine, le nombre de cas de paludisme d’importation déclarés au Centre national de référence (CNR) était de 2 318 en 2021 (avec un nombre total estimé à 4 995 cas), majoritairement à Plasmodium falciparum. Les pays de contamination sont presque exclusivement situés en Afrique subsaharienne. Alors que le nombre de cas déclarés de paludisme d’importation est en constante diminution, le nombre d’accès graves stagne depuis quelques années, et reste élevé à 16,2 % en 2021. Plus de 98 % de ces accès graves sont dus à Plasmodium falciparum et proviennent également quasi exclusivement d’Afrique subsaharienne.

Éléments d’entomologie et de parasitologie

Les Plasmodium sont des protozoaires faisant leur reproduction sexuée chez certaines espèces d’anophèles femelles et leur reproduction asexuée chez les humains. La transmission de Plasmodium s’effectue par la piqûre infectante d’un anophèle femelle. La transmission congénitale ou lors de transfusion de sang parasité reste marginale. Les anophèles sont des moustiques de la famille des Culicidés, qui vivent dans les zones tropicales et subtropicales du globe. Dans ces zones, trois éléments nécessaires à leur reproduction coexistent : de la nourriture (sang humain ou animal), de l’eau (pour la ponte, puis la croissance des larves et nymphes) et de la chaleur (pour leur développement).
L’anophèle femelle, après avoir été fécondée, pond dans des collections d’eau, et le développement de l’œuf vers un nouvel adulte dure au minimum huit jours. Les anophèles adultes vivent à proximité de la collection d’eau qui leur a donné naissance.
Les femelles, seules potentiellement infectantes, piquent dès la tombée du jour et toute la nuit, et vivent au maximum trente jours.
Il existe cinq espèces plasmodiales : une potentiellement mortelle et la plus largement répandue (P. falciparum) et quatre autres (P. vivax, P. ovale, P. malariae et P. knowlesi).
La vie de Plasmodium peut se diviser en trois cycles, communs aux cinq espèces de Plasmodium (fig. 2).

Cycle sexué, ou étape anophélienne

L’anophèle femelle, lors de son repas sur un humain impaludé, aspire, avec le sang, des trophozoïtes, des schizontes et des gamétocytes. Seuls les gamétocytes poursuivent leur reproduction sexuée en produisant des sporozoïtes. Ces derniers, stockés dans les glandes salivaires, sont injectés dans le sang du prochain animal ou humain. Le cycle sexué complet dure de dix à quarante jours, en fonction de la température extérieure et de l’espèce d’anophèle.

Cycle asexué hépatique chez l’humain (schizogonie hépatique)

Une fois les sporozoïtes injectés dans la circulation sanguine chez l’humain, ils pénètrent rapidement dans les hépatocytes, et prennent le nom de cryptozoïtes. En cas d’infection par P. vivax ou P. ovale, les cryptozoïtes peuvent rester quiescents (devenant des hypnozoïtes) pendant une période allant jusqu’à cinq à sept ans pour P. ovale, et effectuer ensuite un cycle hépatique retardé. En revanche, si les cryptozoïtes se multiplient immédiatement (seule alternative pour P. falciparum), ils se transforment en environ sept jours en schizontes matures dans les hépatocytes. Les schizontes, en éclatant, libèrent des mérozoïtes dans la circulation sanguine, où ils pénètrent dans les hématies par endocytose.

Cycle asexué érythrocytaire chez l’humain (schizogonie érythrocytaire)

Dans les hématies, les mérozoïtes effectuent leur transformation en trophozoïtes puis en schizontes matures. La lyse des hématies libère de nouveaux mérozoïtes, qui contaminent d’autres hématies. La durée de ce cycle est de vingt-quatre heures pour P. knowlesi, de quarante-huit heures pour P. falciparum, P. vivax et P. ovale et de soixante-douze heures pour P. malariae. Cette étape s’effectue presque exclusivement dans les capillaires (surtout cérébraux) pour P. falciparum, expliquant l’apparition possible de signes de gravité. Après quelques cycles, des gamétocytes commencent à apparaître dans les hématies et sont libérés dans la circulation lors de l’hémolyse. Le cycle sexué, ou étape anophélienne, peut ainsi recommencer.

Épidémiologie : répartition mondiale du paludisme

L’épidémiologie mondiale du paludisme est sous l’influence de facteurs multiples : climatologiques (persistance ou multiplication des gîtes larvaires en fonction de la pluviométrie, optimisation des conditions de reproduction sexuée de Plasmodium avec le réchauffement climatique), parasitologiques (acquisition de résistances successives ; v. Focus), entomologiques (développement de résistances des anophèles aux insecticides) et socio-économiques (accès limité à la prévention personnelle antivectorielle et aux mesures de chimioprophylaxie collective, conditions sanitaires et de drainage des eaux usées propices au développement des vecteurs).
P. falciparum est l’espèce plasmodiale la plus répandue dans le monde. Il ne se développe que dans les zones tropicales, en Afrique, en Asie forestière et en Amazonie. P. vivax est le deuxième en fréquence et se répartit entre les latitudes 37° N et 25° S, en Asie, Afrique de l’Est et Amérique centrale et du Sud, tandis que P. ovale est présent principalement en Afrique, surtout dans les zones épargnées par P. vivax, à l’ouest et au centre. Enfin, P. malariae est beaucoup plus rare mais retrouvé sur les trois continents sus-cités, et P. knowlesi est limité aux zones forestières d'Asie du Sud-Est, principalement en Malaisie.
En outre, la climatologie permet de distinguer deux faciès de transmission du paludisme : une zone endémique stable, dans laquelle la transmission se fait toute l’année, en raison d’un climat tropical constant (essentiellement P. falciparum), et une zone d’endémie instable où le paludisme sévit sous forme d’épidémies saisonnières, annuelles ou non, survenant en fonction de la pluviométrie. Ceci concerne les zones tempérées chaudes et surtout P. vivax.

Formes cliniques

Les symptômes du paludisme sont directement liés au cycle érythrocytaire du parasite dans l’organisme et à ses conséquences.
Les cinq espèces plasmodiales diffèrent selon des critères parasitologiques (caractéristiques de l’hématie parasitée et du cycle parasitaire) et cliniques (durée d’incubation, complications potentielles, périodicité des accès de reviviscence, délai de survenue des recrudescences tardives). Les différences cliniques sont résumées dans le tableau 1. Certains symptômes sont communs à toutes les formes, avec des variations en matière de périodicité des accès.

Accès de primo-invasion palustre, commun à toutes les formes de Plasmodium

Il survient chez les sujets non immuns (voyageurs, migrants ayant perdu leur immunité en résidant en zone non endémique, ou enfants résidant en zone endémique mais n’ayant pas encore acquis d’immunité) après une incubation minimale de sept jours correspondant au cycle hépatique. L’incubation peut durer jusqu’à trois mois après la sortie de la zone d’endémie pour P. falciparum.Des émergences sont possibles après plusieurs mois, voire plusieurs années, après le séjour, pour les espèces comportant des hypnozoïtes (P. vivax, P. ovale) et pour P. malariae.
La fièvre est le signe majeur, présent dans 90 % des accès palustres. Elle survient au cours du cycle érythrocytaire, lors de l’hémolyse due à l’éclatement des schizontes dans les hématies, libérant des mérozoïtes dans la circulation. Classiquement, la fièvre est progressivement croissante, peut atteindre plus de 40 °C, et est anarchique (pas de périodicité) car les cycles érythrocytaires sont encore asynchrones. Un tableau pseudogrippal accompagne souvent la fièvre, avec céphalées et signes digestifs (diarrhée, nausées, vomissements…). Chez l’enfant, les signes digestifs peuvent être au premier plan (piège de la gastroentérite fébrile).
Au-delà de ces signes d’appel, l’interrogatoire, étape capitale du diagnostic, doit identifier la durée d’évolution des symptômes et la prise d’antipaludiques, que ce soit en traitement présomptif (risque de frottis et de goutte épaisse « faussement » négatifs) ou en chimioprophylaxie (dont la prise même annoncée comme régulière par le patient ne doit pas faire récuser le diagnostic). En outre, l’examen clinique doit être extrêmement attentif pour détecter précocement des signes de gravité. La fièvre peut être absente lors de l’examen (en dehors du cycle d’hémolyse, en cas de prise d’antipyrétiques ou d’antipaludiques).
En raison de la gravité potentielle d’un accès à P. falciparum méconnu, un principe en médecine des voyages est de considérer que « toute fièvre au retour de zone tropicale est un paludisme jusqu’à preuve du contraire ».

Accès de reviviscence palustre

Les accès de primo-invasion par P. vivax, P. ovale ou P. malariae peuvent être asymptomatiques ou passer inaperçus, et donner lieu ensuite à des accès intermittents. Ils correspondent à des reviviscences schizogoniques à partir d’hypnozoïtes intrahépatiques (P. vivax et P. ovale) ou à un réveil d’une schizogonie érythrocytaire latente (P. malariae). Ils peuvent également succéder à un accès de primo-invasion par P. falciparum si l’accès est non ou mal traité.
L’accès comporte trois stades, très stéréotypés : un stade de frissons avec sensation de froid intense et ascension thermique, d’une durée d’une heure ; un stade de chaleur avec un plateau fébrile à 40-41 °C, d’une durée de trois à quatre heures ; un stade de sueurs avec défervescence brutale, d’une durée de deux à quatre heures.
Les accès surviennent par périodes régulières, en fonction de la durée de la schizogonie érythrocytaire (tableau 1).

Accès grave (P. falciparum quasi exclusivement)

Les signes de gravité, listés dans le tableau 2, sont liés à la physiopathologie et au cycle parasitaire. Ils peuvent être présents d’emblée ou s’installer secondairement en cas de primo-invasion à P. falciparum méconnue.
Les signes de gravité peuvent être consécutifs à :
  • la lyse des hématies dans les capillaires et un phénomène de cyto-adhérence, provoquant une hypoxie des organes concernés : hypoxie cérébrale (troubles de la conscience, convulsions, prostration), atteinte pulmonaire (détresse respiratoire aiguë, œdème pulmonaire lésionnel), atteinte rénale (insuffisance rénale aiguë) ;
  • une souffrance viscérale généralisée (hyperlactatémie, acidose, hypoglycémie, collapsus circulatoire) ;
  • une hémolyse sévère (anémie sévère, ictère grave).
Une hyperparasitémie supérieure à 4 % sur le frottis, isolée, chez un sujet non immun n’est pas un critère de gravité stricto sensu mais est à considérer avec attention en raison du risque d’apparition rapide de critères de gravité. Une parasitémie supérieure à 10 % est un signe de gravité et, si elle est supérieure à 15 % (10 % chez l’enfant), nécessite une hospitalisation en réanimation, même en l’absence d’autres critères de gravité.

Autres formes

Il existe des formes beaucoup plus rares, telles que la fièvre bilieuse hémoglobinurique, la splénomégalie chronique (paludisme viscéral évolutif ou splénomégalie palustre hyperréactive), la néphrite quartane (liée à P. malariae) ou des formes asymptomatiques (surtout chez des individus semi-immuns, originaires d’un pays d’endémie stable et ayant récemment émigré).

Diagnostic biologique

Le diagnostic biologique repose sur la recherche directe du parasite, de ses antigènes ou de son génome, toujours en urgence (rendu de résultat impérativement en moins de deux heures).
Il convient d’associer à un frottis mince :
  • une technique sensible en première intention : goutte épaisse, QBC (marquage fluores­cent des parasites), ou technique de biologie moléculaire à réponse rapide ;
  • un test de diagnostic rapide (TDR) en cas d’indisponibilité des techniques ci-dessus. La sensibilité n'est en revanche pas optimale, et en cas de premier résultat négatif, il est nécessaire de réitérer le test douze à vingt-quatre heures plus tard.
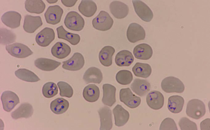
Le frottis mince permet de faire un diagnostic d’espèce (fig. 3) et d’évaluer la parasitémie. La goutte épaisse est plus sensible que le frottis pour les faibles parasitémies (détection à partir de 10 parasites par µL de sang, contre 100 à 150 pour le frottis), mais sa lecture est techniquement difficile et ne permet pas toujours le diagnostic d’espèce. Le frottis et la goutte épaisse sont opérateurs-dépendants. Ils peuvent donc être rendus faussement négatifs en cas de parasitémie faible (patient sous chimioprophylaxie ou traitement présomptif mal conduit, par exemple). Pour ces raisons, et en l'absence de méthodes moléculaires ou de QBC, la recherche d’antigènes de Plasmodium par bandelettes immunochromatographiques est d’une grande valeur ajoutée. Les antigènes détectés sont soit communs à tous les Plasmodium (pLDH ou aldolase), mais avec des sensibilités différentes pour chaque espèce, soit spécifiques d’un Plasmodium donné, comme l’antigène HRP2 (P. falciparum, avec un seuil de détection de 100 parasites par µL, proche de celui du frottis), les antigènes PfLDH (P. falciparum) ou PvLDH (P. vivax). Il est à noter que l’antigène HRP2 peut rester positif après la fin du traitement, en général pendant deux semaines, sans corrélation avec une rechute.
La biologie moléculaire (PCR) est la technique la plus sensible (permet de détecter 0,01 à 1 parasite/µL) et la plus spécifique ; elle représente par conséquent la méthode de référence en cas de difficultés diagnostiques, de suspicion d'infection mixte ou d'infection à P. knowlesi.
Les signes biologiques indirects de paludisme peuvent être d’une grande aide en cas de négativité des tests de détection directs du parasite et de forte présomption clinique. Ils sont consécutifs à l’hémolyse (hyperbilirubinémie libre, lactate déshydrogénase élevée, anémie normocytaire normochrome régénérative), à la séquestration splénique (thrombopénie) et au cycle hépatique (cyto­lyse). Il n’y a pas d’hyperéosinophilie.
La sérologie n’a pas de place dans l’urgence, mais elle peut être utile pour le diagnostic de certaines formes chroniques.
Un algorithme résume la démarche diagnostique biologique en cas de suspicion de paludisme (fig. 4).

Prise en charge thérapeutique

Dans tous les cas, il s’agit d’une urgence thérapeutique, et le traitement approprié doit être mis en route dès le diagnostic posé (ou suspecté dans les formes graves), sans attendre un éventuel transfert ou une hospitalisation.

Ambulatoire ou hospitalisation ?

Les critères de prise en charge ambulatoire d’un accès palustre sont bien codifiés (fig. 5). En plus des critères de gravité déjà énumérés ci-dessus (mais moins sévères pour les critères biologiques), il s’agit des facteurs de risque de mauvaise observance ou de mauvaise tolérance du traitement, ainsi que certains terrains particuliers.

Prise en charge de l’accès simple à P. falciparum

Le traitement de première intention d’un accès palustre simple repose sur une bithérapie d’antipaludiques, afin d’éviter l’émergence de mutants résistants. Plusieurs associations ont l’autorisation de mise sur le marché (AMM) en France pour cette indication (tableau 3).
Un traitement combiné à base de dérivés de l'artémisinine (ACT pour Artemisinin-based Combination Therapy) est recommandé en première intention (arténimol-pipéraquine ou artéméther-luméfantrine).
En cas de contre-indication à ces associations, l’atovaquone-proguanil peut être utilisé en deuxième ligne et la quinine en troisième ligne. La méfloquine n'est plus retenue chez l’adulte en raison de sa mauvaise tolérance clinique, en particulier neuropsychiatrique. Elle reste recommandée en deuxième ligne chez l’enfant.
L’absence de rejet des comprimés, garante de l’efficacité du traitement, est étroitement surveillée. En cas de vomissements, le traitement est basé sur la quinine par voie intraveineuse, avec un relais oral par une ACT (ou atovaquone-proguanil en fonction des éléments cliniques et électrocardiographiques, l’atovaquone-proguanil permettant d'éviter le cumul d’effets indésirables cardiaques) dès l’arrêt des vomissements.
La défervescence thermique, consécutive à la clairance parasitaire, est rapide pour les associations fondées sur les dérivés de l’artémisinine (moins de 48 heures en général). Elle peut être plus prolongée (jusqu’à 72 heures) pour l’association atovaquone-proguanil.

Prise en charge ambulatoire des accès de primo-invasion ou des reviviscences à Plasmodium non falciparum

Le traitement curatif des accès palustres à P. non falciparum s’appuie sur une ACT, la chloroquine n’étant plus commercialisée depuis septembre 2022. Ceci est d’autant plus pertinent en cas d’infection mixte ou de paludisme à P. vivax survenant au retour d’une zone de résistance à la chloroquine.
Un traitement d’éradication par un produit schizonticide hépatique et hypnozoïticide est indiqué dès le premier accès pour P. vivax ou P. ovale afin de limiter le risque de rechute et d’éviter une transmission autochtone dans les zones où des vecteurs potentiels sont présents (par exemple en Corse). Ce traitement repose sur la primaquine (autorisation d'accès compassionnel) à 30 mg/j (ou 0,5 mg/kg/j avec un maximum de 30 mg/j pour les enfants) pendant quatorze jours, après s’être assuré de l’absence de déficit en G6PD, car il existe alors un risque d’anémie hémolytique. Cette complication est recherchée pendant et au décours du traitement, même en l’absence de déficit.

Prise en charge de l’accès palustre avec signes de gravité (P. falciparum ou non)

Le traitement de première intention repose sur l’artésunate par voie intraveineuse (Malacef), en urgence (disponible en autorisation d’accès compassionnel). La posologie est de 2,4 mg/kg à H0, H12 et H24, puis toutes les vingt-quatre heures, sur un total de sept jours (9 doses au maximum). Le relais par voie orale est instauré au minimum après trois doses d’artésunate IV et est impératif pour toute durée inférieure à sept jours. Le relais est pris par le schéma habituel curatif avec une des associations contenant des dérivés d’artémisinine ou, en cas de contre-indication, par l’association atovaquone-proguanil.
En cas d’impossibilité de traitement immédiat par artésunate IV, un traitement par quinine IV est entrepris en urgence (dose de charge de 16 mg/kg sur 4 heures, puis, 4 heures plus tard, 8 mg/kg/8 h IV à la seringue électrique), tout en surveillant la glycémie et l’électrocardiogramme. Un traitement symptomatique est associé. Le relais par artésunate IV est entrepris dès que possible, au maximum dans les vingt-quatre heures.
En cas d’accès palustre grave en provenance d’une zone de résistance à l’artésunate (Asie du Sud-Est), le traitement associe l’artésunate à la quinine aux doses habituelles, et dans certains cas à la doxycycline (ou la clindamycine chez la femme enceinte ou l’enfant).

Terrains particuliers

Femmes enceintes

L’artésunate IV peut être utilisé chez la femme enceinte au cours des deuxième et troisième trimestres de grossesse, en raison des bénéfices apportés en matière de morbi-mortalité au cours des accès graves. Au cours du premier trimestre, son utilisation par rapport à celle de la quinine doit être mise en balance à la gravité de l’accès. Les accès simples à P. falciparum comme à P. non falci­parum sont traités par quinine orale ou par ato­vaquone-proguanil en l’absence d’alternative lors du premier trimestre. À partir du deuxième trimestre, l’artéméther-­luméfantrine doit être privilégiée. Une surveillance obstétricale est nécessaire dans tous les cas.
 

Enfants

La prise en charge doit systématiquement avoir lieu en milieu hospitalier pour tout type d’accès à P. falciparum, du fait de la fréquence des troubles digestifs et de l’aggravation potentiellement rapide. En cas d’accès grave, la prise en charge est identique à celle de l’adulte (artésunate IV), sans limite inférieure d’âge. En cas d’accès simple, le traitement se fait en première intention par une ACT (artéméther-luméfantrine, arténimol-pipéraquine). L’atovaquone-proguanil et la méfloquine sont des médicaments de deuxième intention (tableau 3).

Surveillance de l’efficacité et de la tolérance

Un frottis et une goutte épaisse sont recommandés à 72 heures de la mise en route du traitement curatif, à J7 et à J28, afin de détecter des rechutes précoces ou des échecs de traitement. La parasitémie doit être inférieure à 25 % de la parasitémie initiale à J3 et impérativement négative à J7. L’hémogramme et les ALAT sont également contrôlés. En outre, chez les patients traités par artésunate IV, il convient de rechercher une anémie hémolytique toutes les semaines pendant quatre semaines, car elle surviendrait dans 15 % des cas. La chimioprophylaxie ne doit pas être reprise à l’issue d’un traitement curatif en cas de sortie de zone endémique.

Prévention du paludisme

Il s’agit de l’ensemble des mesures individuelles prises par le voyageur, à la fois pour éviter les piqûres d’anophèle (prophylaxie d’exposition) et pour éviter la réplication parasitaire en cas d’inoculation (chimioprophylaxie). Ces mesures individuelles s’intègrent à la lutte antivectorielle mise en place par les programmes sanitaires nationaux des pays endémiques.

Protection personnelle antivectorielle

Elle repose sur l’utilisation systématique d’une moustiquaire imprégnée d’insecticide, de répulsifs cutanés, et sur le port de vêtements longs et couvrants, du crépuscule à l’aube. L’efficacité relative des différents moyens de prévention personnelle antivectorielle est rapportée dans le tableau 4, la liste des répulsifs disponibles et leurs modalités d’utilisation selon l’âge dans le tableau 5.

Chimioprophylaxie antipaludique

En complément de la prévention personnelle antivectorielle, une chimioprophylaxie doit être envisagée. Le choix de prescription dépend de facteurs individuels, comme l’âge, la présence d’une grossesse, d’antécédents pathologiques ou d’intolérance médicamenteuse, ou liés au séjour : lieu, durée, type et conditions de séjour (saison, zone urbaine ou rurale, proximité d’un centre de soins), type de Plasmodium prédominant, présence de chimiorésistance. De manière générale, il faut retenir que la chimioprophylaxie vise prioritairement à prévenir les risques d’infection à P. falciparum puisqu’elle n’empêche que l’accès primaire, pas les rechutes. Elle est donc impérative pour tout séjour en Afrique subsaharienne, et le plus souvent non indiquée en cas de séjour touristique en Asie ou en Amérique latine, où elle ne doit être discutée qu'en zone forestière (tableau 6).
Le détail de la liste des pays (et des zones à risque localement) ainsi que les modalités de prophylaxie recommandées sont mis à jour annuellement par la commission spécialisée maladies infectieuses, maladies émergentes (CSMIME) du Haut Conseil de la santé publique et paraissent chaque année en juin dans le Bulletin épidémiologique hebdomadaire (BEH) publié par Santé publique France.
Les trois options de chimioprophylaxie recommandées (atovaquone-proguanil, doxycycline, méfloquine) sont résumées dans le tableau  7. Leur prescription doit être discutée avec le patient afin d’optimiser son observance. Il est à noter que la chloroquine n’est plus recommandée pour la chimioprophylaxie du paludisme.
En cas de voyages fréquents ou d’expatriations prolongées (plus de 6 mois) avec difficultés d’accès à un diag­nostic rapide, la prescription d’un traitement de réserve (traitement présomptif d’urgence) peut être discutée. Il utilise une des associations du tableau 3.

Développement vaccinal

Depuis 2021, un premier vaccin est disponible et recommandé par l'Organisation mondiale de la Santé (OMS) chez les enfants (dès 5 mois) vivant en zone d’endémie. Son efficacité étant limitée, une extension aux adultes ou aux voyageurs n’est pas envisagée dans l’immédiat. D’autres essais sont en cours avec, pour certains, des résultats prometteurs, mais la recherche d’un vaccin antipaludique se heurte à la complexité de l’interaction du parasite avec le système immunitaire et à la grande variabilité antigénique du parasite. 
Points forts
Paludisme

POINTS FORTS À RETENIR

Le paludisme est une maladie parasitaire due à un protozoaire intracellulaire, Plasmodium, transmis par la piqûre d’un moustique infectant, l’anophèle femelle.

Il sévit dans les zones tropicales et subtropicales, majoritairement en Afrique, où il représente la première cause de mortalité des enfants de moins de 5 ans.

Les voyageurs vers les zones endémiques palustres sont également exposés à cette maladie. Il convient donc : – de connaître les moyens de sa prévention, associant une chimioprophylaxie et une protection personnelle antivectorielle ; – d’évoquer systématiquement un paludisme chez un voyageur fébrile au retour de zone d’endémie, ce d’autant que l’accès palustre peut être plus grave chez un individu non immun.

Parmi les cinq espèces de Plasmodium connues à ce jour, une, P. falciparum, est prépondérante et peut s’accompagner de formes graves potentiellement mortelles. Il est donc impératif d’en faire le diagnostic en urgence, en associant un frottis sanguin et une goutte épaisse, un QBC ou une technique de biologie moléculaire rapide, voire éventuellement un test de diagnostic rapide, d’en rechercher les signes de gravité et d’en assurer une prise en charge thérapeutique urgente dans un environnement adapté à la forme clinique observée.

L’évolution des résistances de Plasmodium aux antipaludiques impose une mise à jour régulière des recommandations thérapeutiques : il est donc impératif de bien connaître une source fiable d’information sur ces recommandations, le Bulletin épidémiologique hebdomadaire (BEH).

Message auteur

Paludisme

L’item n° 170 « Paludisme » pourrait faire l’objet d’un dossier clinique entier ou d’une grande partie d’un dossier tant les différents aspects qui le constituent relèvent de la pratique quotidienne en pathologie infectieuse et tropicale, ou du moins doivent relever de « réflexes quasi monosynaptiques », en particulier pour ce qui concerne les modalités de diagnostic au retour de voyage, ou le caractère urgent de la prise en charge, qui sont des messages clés.

Ce dossier entier pourrait en effet aborder de façon successive :

– le volet diagnostique au retour, qui permet en outre d’aborder dans une question inaugurale les éventuels diagnostics différentiels (vus dans l’item « Voyage en pays tropical ») : il est impératif de penser systématiquement au diagnostic de paludisme, en cas de fièvre survenant au cours des trois mois suivant un retour de zone d’endémie, même en cas de chimioprophylaxie bien conduite. Il faut donc en connaître les moyens de diagnostic direct et indirect et surtout le caractère urgent de ce diagnostic ;

– le volet d’évaluation et thérapeutique.Une fois le diagnostic suspecté (puis établi), il faut savoir évaluer la présence ou non de signes de gravité nécessitant un avis réanimatoire au moindre doute (ou une hospitalisation en réanimation) ou, au contraire, la présence de tous les critères de prise en charge ambulatoire. Cette prise en charge relève d’un algorithme très précis, à connaître. Ensuite, il faut connaître les modalités du traitement et de sa surveillance, clinique et biologique. On peut aussi imaginer une question qui porterait sur une rechute à long terme (1 ou 2 ans après l’accès de primo-invasion), faisant diagnostiquer un accès de reviviscence à P. vivax ou P. ovale, et évoquer les modalités du traitement d’éradication par primaquine ;

– le volet préventif pourrait là encore s’inscrire dans le cadre plus général du conseil aux voyageurs, avec les vaccinations et les autres conseils avant un nouveau séjour en zone tropicale (abordé dans l’item « Voyage en pays tropical ») et donner lieu à une ou plusieurs sous-questions.

Il faut connaître les modalités de la prévention, en particulier l’usage de la protection personnelle antivectorielle (qui est aussi utile pour la protection contre d’autres risques vectoriels), en plus de l’éventuelle chimioprophylaxie antipaludique.

À défaut de connaître précisément toutes les zones de résistance aux antipaludiques, il faut absolument connaître (et citer !) les sources d’information fiables qui traitent de cette question.

Enfin, cet item peut permettre de se raccrocher à d’autres modules au travers de la prise en charge de catégories de personnes particulières : les femmes enceintes et les jeunes enfants en particulier, qui relèvent de spécificités de prise en charge à connaître, tant en curatif qu’en prophylactique.

Pour en savoir plus
SPILF. Prise en charge et prévention du paludisme d’importation à Plasmodium falciparum : recommandations pour la pratique clinique 2017 (révision de la conférence de consensus 2007). Texte long. Med Mal Infect 2020;50(2):113-126. http://www.infectiologie.com/
BEH. Recommandations sanitaires aux voyageurs. https://vu.fr/jVwV
Société de médecine des voyages et Société française de parasitologie. Recommandations de bonnes pratiques cliniques (texte court). Protection personnelle antivectorielle.
https://vu.fr/agdW
Rapport d'activités CNR paludisme 2021 https://vu.fr/UQCy

Dans cet article

Ce contenu est exclusivement réservé aux abonnés