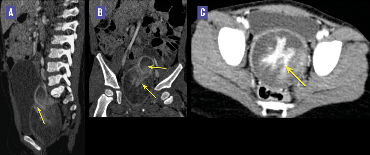
Cette enfant de 2 ans, en bon état général, était adressée pour une masse prolabée à travers l’hymen évoluant depuis 4 mois. L’examen urogénital montrait une masse extériorisée perforé sans envahissement local visible. Un scanner abdomino-pelvien (v. figure ) révélait de volumineuses masses tissulaires hétérogènes confluentes, de contours irréguliers, comblant la lumière vaginale trop dilatée, s’étendant à travers le col utérin vers la lumière utérine qui était comblée et responsable d’un aspect aminci du myomètre. Aucune localisation secondaire à distance n’était notée. Une vaginoscopie montrait plusieurs formations polyploïdes. Une exérèse de 12 formations était alors réalisée. L’étude histologique était en faveur d’un rhabdomyosarcome botryoïde classé risque standard type C devant l’âge de la patiente, la taille, le site favorable, l’absence d’adénopathies et le type botryoïde (embryonnaire). L’enfant est actuellement sous chimiothérapie.
Le rhabdomyosarcome est la tumeur des tissus mous la plus fréquente chez l’enfant (8 % des tumeurs solides) et atteint la tête, le cou, le tractus urogénital, puis les extrémités ; sa localisation est gynécologique dans 20 % des cas.1 La localisation vaginale chez la petite fille est 5 fois plus fréquente que la localisation cervicale, qui est l’apanage de la jeune fille et de la femme en activité génitale. Ces tumeurs sont classées histologiquement en 4 sous-types : embryonnaire, alvéolaire, polymorphe et indifférencié ; le type « botryoïde » est une variante du sous-type embryonnaire. La tumeur peut se manifester par des métrorragies, des leucorrhées ou par un polype extériorisé à la vulve avec une surface bosselée dite en « grappe de raisin » (botrys, en grec). La prise en charge thérapeutique s’appuie sur une démarche pluridisciplinaire comprenant des indications de chirurgie conservatrice, la chimiothérapie, la radiothérapie et la curiethérapie.2 Le pronostic semble être surtout lié au degré d’extension clinique.
Références
1. Malempati S, Hawkins DS. Rhabdomyosarcoma: review of the children’s oncology group (COG) soft-tissue sarcoma committee experience and rationale for current COG studies. Pediatr Blood Cancer 2012;59:5-10.
2. Stevens MCG, Rey A, Bouvet N, et al. Treatment of nonmetastatic rhabdomyosarcoma in childhood and adolescence: third study of the International Society of Paediatric Oncology — SIOP Malignant Mesenchymal Tumor 89. J Clin Oncol 2005;23:2618-28.
2. Stevens MCG, Rey A, Bouvet N, et al. Treatment of nonmetastatic rhabdomyosarcoma in childhood and adolescence: third study of the International Society of Paediatric Oncology — SIOP Malignant Mesenchymal Tumor 89. J Clin Oncol 2005;23:2618-28.
Une question, un commentaire ?