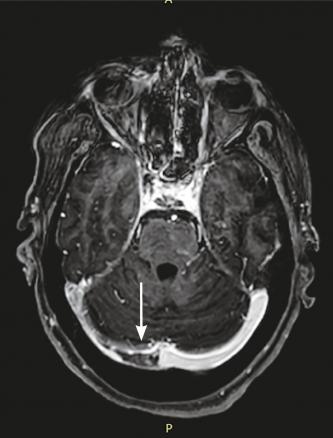
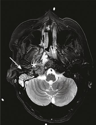
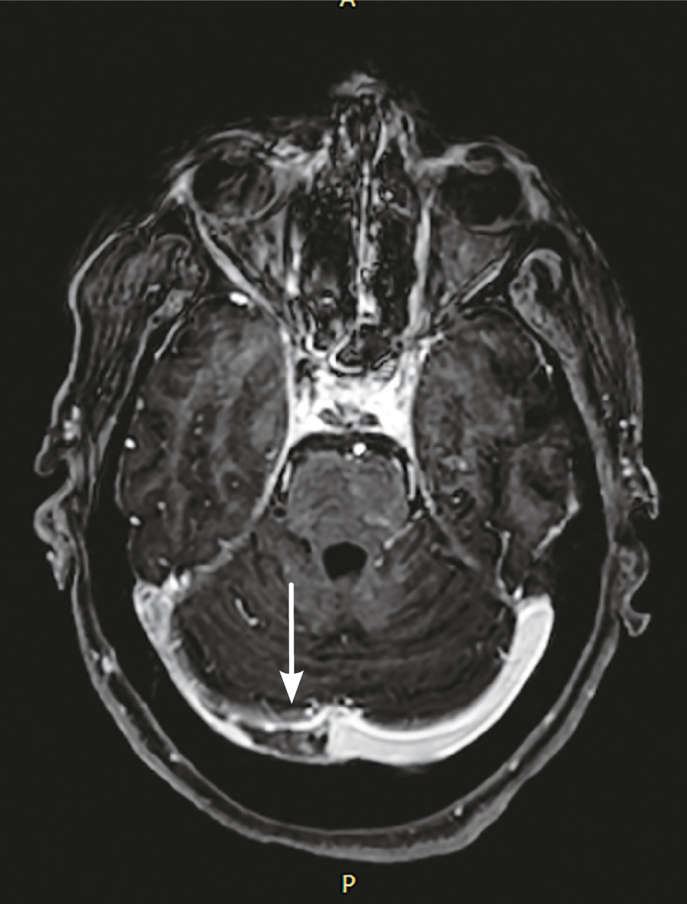
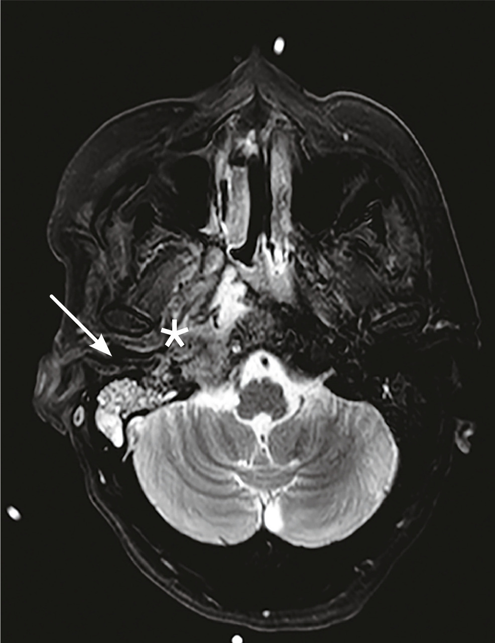
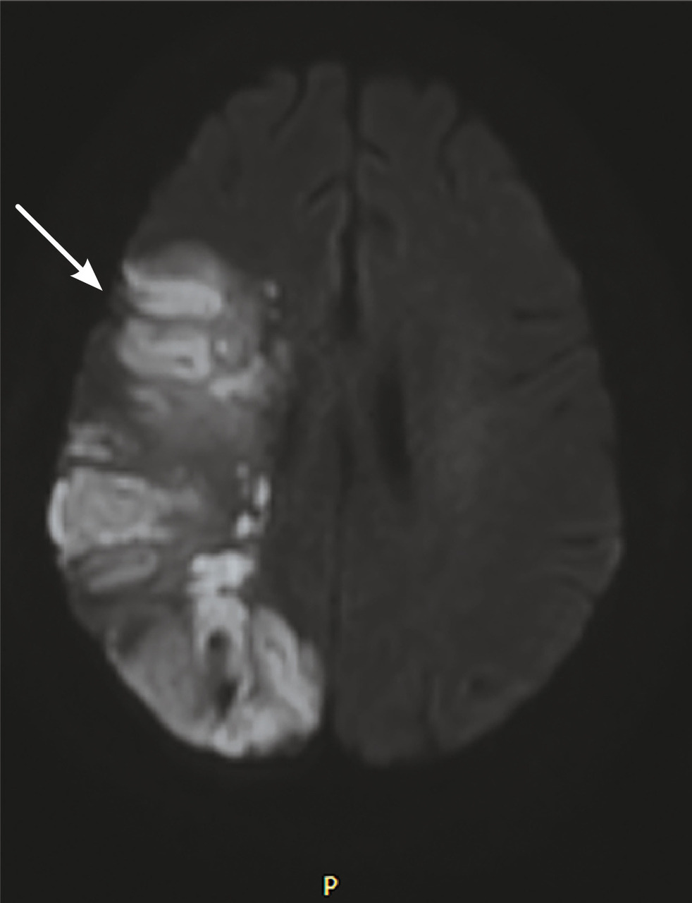
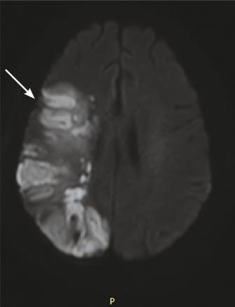
Cette femme de 45 ans était admise aux urgences à la suite d’une hémiplégie gauche. Une imagerie par résonance magnétique (IRM) cérébrale montrait un accident vasculaire cérébral ischémique aigu du territoire de l’artère cérébrale moyenne droite (fig. 1 ) avec occlusion de l’artère carotide droite. Par ailleurs, il y avait un comblant otomastoïdien droit (fig. 2 ) avec collection abcédée parapharyngée homolatérale (fig. 2 ) et thrombose de la veine jugulaire interne droite étendue au sinus sigmoïdien et latéral (fig. 3 ). Après 21 jours d’antibiothérapie intraveineuse combinée à l’anticoagulation, l’IRM de contrôle montrait une recanalisation de la carotide interne et de la veine jugulaire interne.
Le syndrome de Lemierre est une entité rare et potentiellement grave, définie par la survenue d’une thrombophlébite cérébrale touchant la veine jugulaire interne ou ses bran-ches. Il est dû, le plus souvent, à une infection par Fusobacterium necrophorum.1 Le site initial est généralement oropharyngé. En l’absence d’une antibiothérapie précoce et adaptée, ce syndrome peut rapidement évoluer vers une septicémie et à la dissémination par voie hématogène à d’autres sites métastatiques.2 L’occlusion de la carotide interne et la survenue d’un infarctus cérébral sont des complications extrêmement rares et exceptionnelles de ce syndrome.
Références
1. Morelli N, Rota E, Sacchini D, et al. Lemierre syndrome: more than ‘‘the forgotten disease’’. Neurology 2013;81:1179-80.
2. Bentham JR, Pollard AJ, Milford CA, Anslow P, Pike MG. Cerebral infarct and meningitis secondary to Lemierre’s syndrome. Pediatr Neurol 2004;30:281-3.
2. Bentham JR, Pollard AJ, Milford CA, Anslow P, Pike MG. Cerebral infarct and meningitis secondary to Lemierre’s syndrome. Pediatr Neurol 2004;30:281-3.
Une question, un commentaire ?