Ce patient de 19 ans, récemment émigré du Mali, consultait en raison d’une toux fébrile évoluant depuis 2 semaines. L’examen clinique était peu contributif et la biologie notait un syndrome inflammatoire aspécifique et une hyponatrémie.
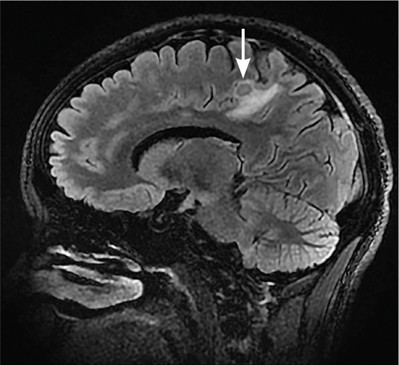
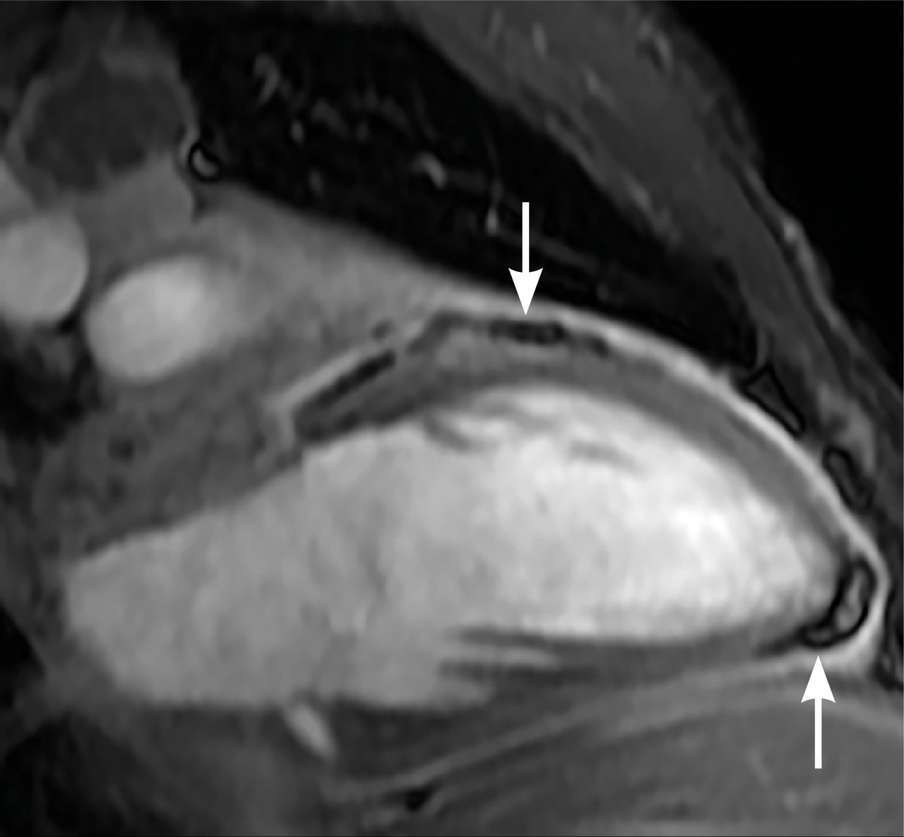
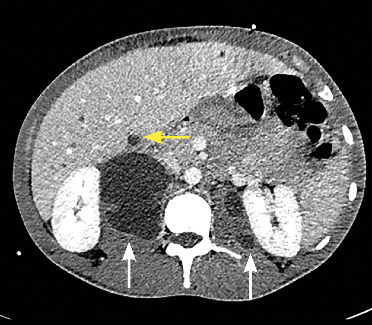
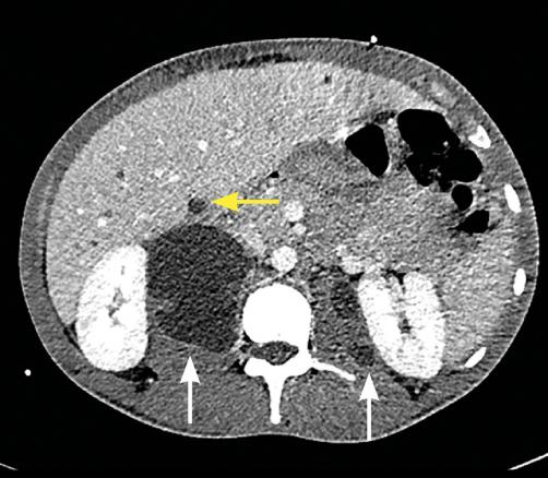
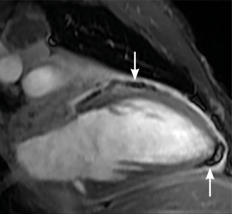
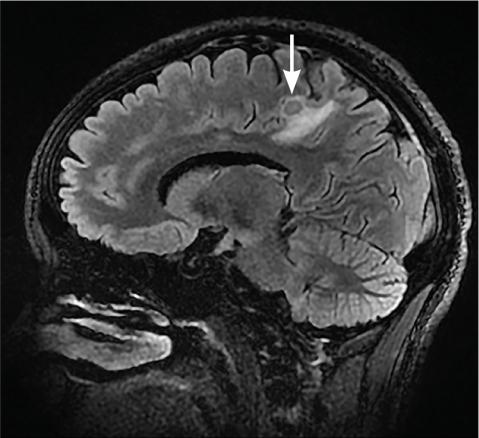
L’imagerie montrait : sur la tomodensitométrie (TDM) thoracique une miliaire tuberculeuse pulmonaire et des adénopathies médiastinales ; sur l’imagerie par résonance magnétique (IRM) du rachis une spondylodiscite T11-T12 (fig. 1 ) ; sur la TDM abdominale des abcès paravertébraux de T9 à T12 le long des psoas (fig. 2 , flèches blanches) et des lésions micronodulaires hépatiques multiples (fig. 2 , flèche jaune) ; sur l’IRM myocardique des signes de péricardite (fig. 3 , flèches). La ponction lombaire montrait une méningite. Un tuberculome était visible sur l’IRM cérébrale, entouré d’un œdème périlésionnel (fig. 4 ). Le diagnostic de tuberculose disséminée était prouvé par polymerase chain reaction sur une ponction d’abcès. Compte tenu de l’atteinte neuroméningée, un traitement adjuvant par corticothérapie s’imposait dans le cas présent, de même qu’une antibiothérapie de 9 à 12 mois.1
L’imagerie montrait : sur la tomodensitométrie (TDM) thoracique une miliaire tuberculeuse pulmonaire et des adénopathies médiastinales ; sur l’imagerie par résonance magnétique (IRM) du rachis une spondylodiscite T11-T12 (
La tuberculose, infection à Mycobacterium tuberculosis, reste un problème de santé publique et est à l’origine de près de 1,6 million de décès dans le monde en 2017. La forme disséminée de la maladie représente 1 à 5 % des cas et est plus fréquente chez les patients immunodéprimés, notamment dans un contexte d’infection par le virus de l’immunodéficience humaine.2 Elle se caractérise par une atteinte multiviscérale en raison d’une dissémination hématogène. En cas d’atteinte neuroméningée, un traitement adjuvant par corticothérapie s’impose, associé à une antibiothérapie de 9 à 12 mois.1
Références
1. Collège de maladies infectieuses et tropicales. UE6 - N°155 - Tuberculose de l’adulte et de l’enfant in ECN PILLY : maladies infectieuses et tropicales. Paris : Éditions ALINÉA Plus, 2017.
2. Suárez I, Maria Fünger S, Jung N, et al. Severe disseminated tuberculosis in HIV-negative refugees. Lancet Infect Dis 2019;19:e352-e359.
2. Suárez I, Maria Fünger S, Jung N, et al. Severe disseminated tuberculosis in HIV-negative refugees. Lancet Infect Dis 2019;19:e352-e359.
Une question, un commentaire ?
Sur le même thème
Exercice
Article
Exercice
Exercice
Exercice