Les aphtes banals sont les causes les plus fréquentes d’ulcérations buccales mais certaines formes nécessitent une enquête étiologique et des pièges existent. Quels traitements proposer ? Quand évoquer une pathologie sous-jacente ? Quels diagnostics différentiels écarter ? Les réponses dans cet article richement illustré.

Aphtose buccale

L’aphte buccal est fréquent, souvent banal, les critères diagnostiques sont précis et ce diagnostic est souvent porté par excès. C’est une ulcération ronde ou ovale, très douloureuse, de quelques millimètres de diamètre à bords réguliers, entourée d’un halo rouge inflammatoire, son fond est gris ou jaune « beurre frais » (fig. 1), et il repose sur une base souple. Les aphtes siègent préférentiellement sur les muqueuses souples (lèvres, joues, langue), l’atteinte gingivale ou palatine est rare. Ils guérissent spontanément en une dizaine de jours. L’étiopathogénie reste mal connue.

L’aphtose est « herpétiforme » quand 20 à 100 lésions confluent ou réalisent une miliaire.

Un aphte « géant » est défini par un diamètre supérieur à 1 cm (fig. 2) ; c’est une forme sévère extrêmement douloureuse pouvant demander plusieurs semaines voire plusieurs mois pour cicatriser en l’absence de traitement. Peu fréquente, elle est généralement liée à une immunodépression (infection par le VIH).

L’aphtose récidivante est une entité mal définie qui se traduit par des poussées plus ou moins rapprochées. Ces formes nécessitent une enquête étiologique : maladie de Behçet, anémies par carence en vitamine B12, en folates ou en fer qui, même frustes sur le plan biologique, peuvent se manifester par des plages érythémateuses buccales et des ulcérations « aphtoïdes » douloureuses, souvent de petite taille et multiples. Les neutropénies, les MICI (maladie de Crohn, rectocolite hémorragique, maladie cœliaque) peuvent être révélées par des ulcérations buccales récidivantes. L’interrogatoire permet parfois d’incriminer un médicament favorisant : nicorandil, inhibiteurs de m-TOR, AINS, méthotrexate, sirolimus, tacrolimus, inhibiteurs anti-EGFR…

Il n’existe actuellement pas de traitement curatif des aphtes. En cas de douleur mal supportée, les antiseptiques locaux (chlorhexidine), les antalgiques topiques (xylocaïne visqueuse ou lidocaïne chlorhydrate, Dynexan 2 %), les pansements gastriques (sucralfate) utilisés en bains de bouche entraînent un soulagement transitoire.

Certains traitements sont à écarter : salicylés en gel (salicylate de choline) pour application buccale, peroxyde d’hydrogène (eau oxygénée) et solutions pour bains de bouche contenant de l’alcool.

Les corticoïdes topiques appliqués précocement réduisent la douleur et la durée d’évolution des petits aphtes.

Dans l’aphte géant, une corticothérapie générale de courte durée est possible, mais le médicament le plus efficace en cas de poussée très handicapante est la thalidomide (50 à 100 mg/j pendant 1 à 2 semaines, puis décroissance progressive).

En raison des nombreux effets secondaires et de son risque tératogène, sa prescription est réservée aux services hospitaliers.

En cas de formes récidivantes, la recherche étiologique (et le traitement de la pathologie en cause le cas échéant) est indispensable. La colchicine à la dose de 1 mg/j, généralement bien tolérée, a une efficacité inconstante et suspensive. Quelques essais ouverts de traitement par la pentoxifylline, effectués sur de petits échantillons, semblent confirmer une amélioration des aphtoses récidivantes avec, là encore, un effet suspensif, nécessitant un traitement continu. La corticothérapie systémique ne peut pas constituer un traitement de fond de l’aphtose buccale, car elle expose les patients aux effets délétères d’un traitement prolongé. De nombreux autres traitements sont régulièrement rapportés pour limiter la fréquence des récidives (vitamine C, aciclovir, lévamisole, dapsone, sulfate de zinc, fer, vitamines B1, B6 et B12, homéopathie, acupuncture, patchs de nicotine…) ; aucun n’a fait l’objet d’études contrôlées.

Une ulcération ne correspondant pas à la description ci-dessous ou l’absence de cicatrisation spontanée sous 2 à 3 semaines doivent alerter. Les diagnostics différentiels sont nombreux (tableau). Attention à ne pas méconnaître un carcinome épidermoïde débutant (fig. 3). Le diagnostic précoce d’une lésion potentiellement maligne est encore le meilleur moyen d’appliquer suffisamment tôt le traitement pour éviter l’évolution vers ce cancer dont le pronostic à 5 ans reste sombre, autour de 40 % de survie.

Lire aussi | Dermatoses bulleuses

Ulcération traumatique

L’ulcération traumatique est souvent unique, de taille variable, douloureuse à fond fibrineux et à bordure blanchâtre. Elle est souple, ne s’accompagne pas d’adénopathie satellite. L’agent traumatisant est souvent évident : carie, couronne dentaire défectueuse, prothèse inadaptée ou crochet blessant (fig. 4) ; sa suppression permet la cicatrisation en une dizaine de jours.

Dermatoses bulleuses

Les dermatoses bulleuses auto-immunes (DBAI), telles le pemphigus vulgaire (PV) ou la pemphigoïde cicatricielle (PC), et non auto-immunes, comme l’érythème polymorphe, les syndromes de Lyell et de Steven-Johnson, sont des affections rares se révélant volontiers par une atteinte orale initiale.

Elles doivent être évoquées chez un adulte ayant des érosions buccales douloureuses et traînantes, associées à l’apparition secondaire de bulles flasques sur peau saine.

Conduite à tenir :

– adresser le patient à un spécialiste pour une biopsie cutanée ou orale et analyse par immunofluorescence (IF) directe ;

– ne pas démarrer un traitement (surtout si corticothérapie générale) avant la confirmation du diagnostic (risque de négativer les examens immunologiques, en particulier l’IF) ;

– ne pas négliger la symptomatologie buccale en l’attribuant à tort à des aphtes.

Le médecin traitant joue un rôle clé dans le suivi : évaluation de la régression des lésions sous traitement ; maintien d’une alimentation normale au début, avant la cicatrisation ; surveillance de la corticothérapie.

Par ailleurs, il est indispensable d’aider le patient à conserver une hygiène orale adaptée dont les modalités (souplesse de la brosse à dents, dentifrice, etc.) changent avec l’évolution de la maladie. Un suivi régulier par un chirurgien-dentiste est essentiel.

Stomatites

Dans la syphilis primaire, le chancre est une érosion unique ou une ulcération souvent sensible, sur la langue, les lèvres, l’amygdale ; sa base est cartonnée et il s’accompagne d’une volumineuse adénopathie sous-maxillaire. La tuberculose buccale est rare : il s’agit le plus souvent d’un chancre d’inoculation chez un patient atteint d’une tuberculose pulmonaire (toux, expectorations, altération de l’état général) avec une ulcération chronique, linguale ou gingivale, douloureuse.

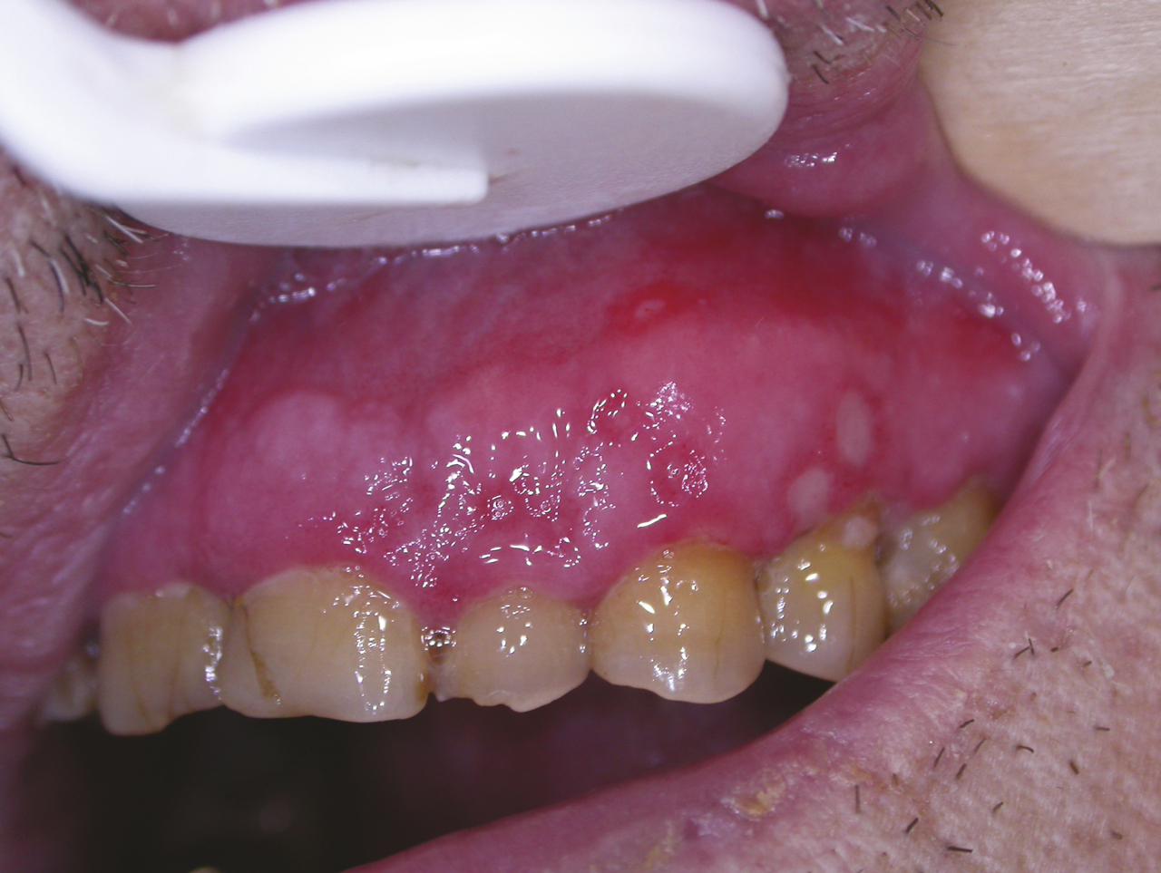
La primo-infection herpétique se traduit par une gingivostomatite aiguë survenant souvent pendant la petite enfance, mais elle n’est pas rare chez l’adolescent ou l’adulte jeune. Elle débute par de la fièvre, un malaise général, des douleurs pharyngées et gingivales ; des vésicules multiples parfois confluentes et polycycliques apparaissent sur une muqueuse érythémateuse. L’atteinte gingivale est constante (fig. 5) associée à des adénopathies cervicales sensibles. La guérison est spontanée en 2 à 3 semaines.

La survenue d’une poussée d’« aphtes buccaux » chez l’enfant doit faire penser au syndrome main-pied-bouche, infection virale bénigne à Coxsackie A16, touchant surtout les moins de 10 ans, souvent à l’occasion de petites épidémies contractées à la crèche ou à l’école. Il se manifeste par l’apparition de vésicules dans la bouche (douloureuses), sur les mains et les pieds (indolores) et une fébricule. La guérison est spontanée, sans séquelles, en une dizaine de jours.

Dans l’herpangine (Coxsackie A2-8, A10), les lésions siègent sur les piliers antérieurs des amygdales et le voile du palais, respectant les amygdales et la langue.

Enfin, les papillomes sont des élevures de quelques millimètres de diamètre, indolores à surface kératosique (fig. 6). La présence de papillomes multiples (fig. 7) fait rechercher une immunodépression.

D’après
Agbo-Godeau S. Pathologies bénignes de la muqueuse buccale.  Rev Prat 2019;69(8);850-5.
Messeca C, Halimi C, Ejeil AL. Pathologies des muqueuses buccales.  Rev Prat Med Gen 2018;32(1008);691-8.
À lire aussi :
Nobile C. Lésions blanches des muqueuses buccales.  Rev Prat (en ligne) 20 juin 2022.

Dans cet article

Ce contenu est exclusivement réservé aux abonnés