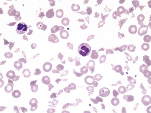
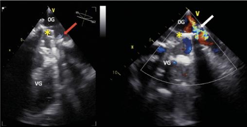
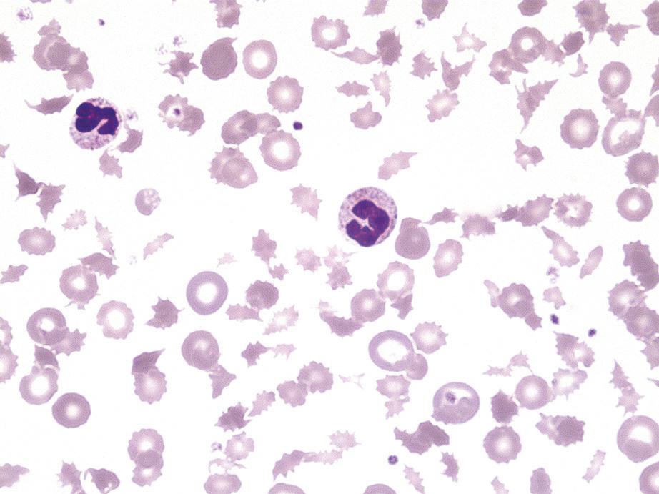
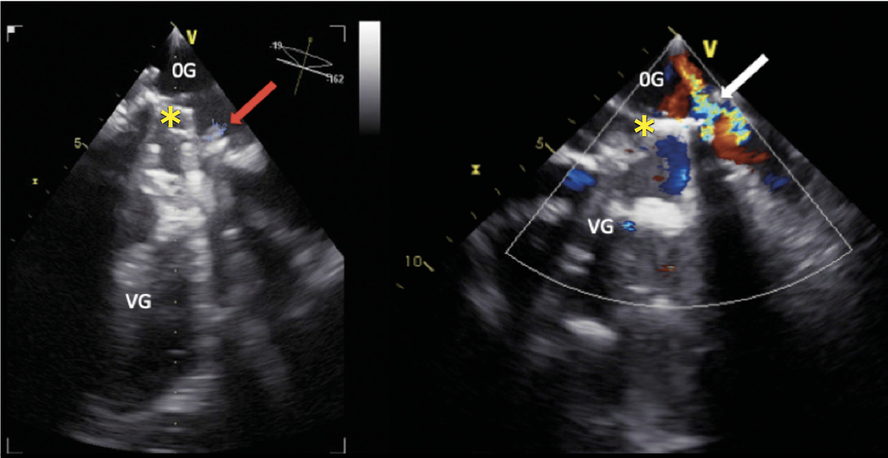
Cette femme de 67 ans avait une asthénie et par intermittence des urines sombres. Une insuffisance mitrale rhumatismale avait été traitée 22 ans auparavant par remplacement valvulaire chirurgical. Le bilan biologique révélait une anémie (7,6 g/dL) normochrome normocytaire régénérative (taux de réticulocytes à 278 000/mm3), un taux de lacticodéshydrogénase à 2 688 UI/L, un taux d’haptoglobine inférieur au seuil de détection et un taux normal de bilirubine totale. Le frottis sanguin (fig. 1 ) notait de très nombreux schizocytes (plus de 500/1 000). L’échocardiographie transœsophagienne (ETO)montrait la présence d’une végétation et une fuite prothétique (fig. 2 ). Il s’agissait d’une endocardite infectieuse à Pseudomonas aeruginosa compliquée d’une désinsertion de valve prothétique.
Les schizocytes, fragments circulants d’hématies, sont caractéristiques de l’hémolyse mécanique, telle que la microangiopathie thrombotique.1 Une hémolyse infraclinique chronique peut être présente en cas de valve prothétique de fonctionnement normal. Son incidence tend à diminuer du fait des améliorations de conception des prothèses.2 Un syndrome anémique ou des stigmates biologiques témoignent d’un dysfonctionnement ou plus fréquemment d’une fuite paraprothétique.3 L’hémolyse résulte de forces de cisaillement en lien avec la turbulence du flux.2 Une fuite paravalvulaire tardive traduit souvent une déhiscence de suture, favorisée par la calcification annulaire ou causée par une infection.3
Références
1. Zini G, d’Onofrio G, Briggs C, et al. ICSH recommendations for identification, diagnostic value, and quantitation of schistocytes. Int J Lab Hem 2012;34:107-16.
2. Mecozzi G, Milano AD, De Carlo M, et al. Intravascular hemolysis in patients with new-generation prosthetic heart valves: a prospective study. J Thorac Cardiovasc Surg 2002;123:550-6.
3. Shapira Y, Vaturi M, Sagie A. Hemolysis associated with prosthetic heart valves: a review. Cardiol Rev 2009;17:121-4.
2. Mecozzi G, Milano AD, De Carlo M, et al. Intravascular hemolysis in patients with new-generation prosthetic heart valves: a prospective study. J Thorac Cardiovasc Surg 2002;123:550-6.
3. Shapira Y, Vaturi M, Sagie A. Hemolysis associated with prosthetic heart valves: a review. Cardiol Rev 2009;17:121-4.
Une question, un commentaire ?